CD41 Recombinant Rabbit Monoclonal Antibody [PSH08-01]
cat.: HA751201
Product Type: Recombinant Rabbit monoclonal IgG, primary antibodies
Species reactivity: Mouse
Applications: IHC-P, FC, IF-Cell, Depletion
Clonality: Monoclonal
Clone number: PSH08-01
Form: Liquid
Storage condition: Store at +4℃ after thawing. Aliquot store at -20℃. Avoid repeated freeze / thaw cycles.
Storage buffer: 1*PBS (pH7.4).
Concentration: 1ug/ul
Purification: Protein A affinity purified.
Molecular weight: Predicted band size: 113 kDa
Isotype: IgG
Immunogen: Recombinant protein within mouse CD41 aa 451-989.
Positive control: Mouse placenta tissue, mouse spleen tissue, mouse platelets.
Subcellular location: Membrane.
Recommended Dilutions:
  IHC-P
  FC
  IF-Cell

1:1,000
1:1,000
1:1,000
Uniprot #: SwissProt: Q9QUM0 Mouse
Alternative names: antigen CD41 BDPLT16 BDPLT2 CD41 CD41B form 2 GP2B GPalpha IIb GPIIb GT GTA HPA3 Integrin alpha 2b Integrin alpha IIb Integrin alpha-IIb light chain Integrin, alpha 2b (platelet glycoprotein IIb of IIb/IIIa complex, antigen CD41) ITA2B_HUMAN Itga2b ITGAB platelet fibrinogen receptor, alpha subunit platelet glycoprotein IIb of IIb/IIIa complex Platelet membrane glycoprotein IIb platelet specific antigen BAK PPP1R93
Images
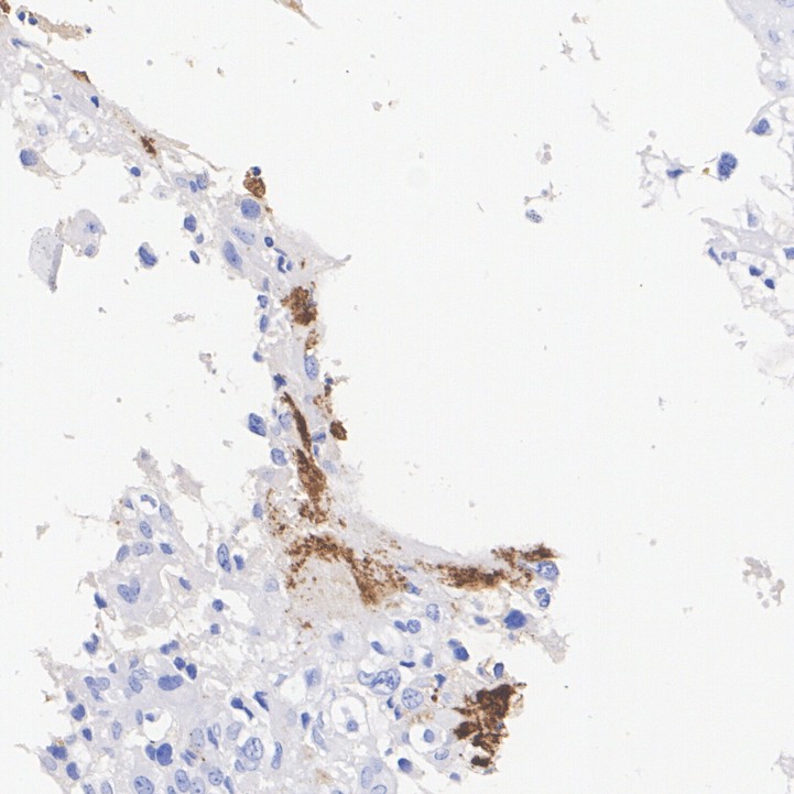
HA751201_1.jpg Fig1: Immunohistochemical analysis of paraffin-embedded mouse placenta tissue with Rabbit anti-CD41 antibody (HA751201) at 1/1,000 dilution.

The section was pre-treated using heat mediated antigen retrieval with Tris-EDTA buffer (pH 9.0) for 20 minutes. The tissues were blocked in 1% BSA for 20 minutes at room temperature, washed with ddH2O and PBS, and then probed with the primary antibody (HA751201) at 1/1,000 dilution for 1 hour at room temperature. The detection was performed using an HRP conjugated compact polymer system. DAB was used as the chromogen. Tissues were counterstained with hematoxylin and mounted with DPX.
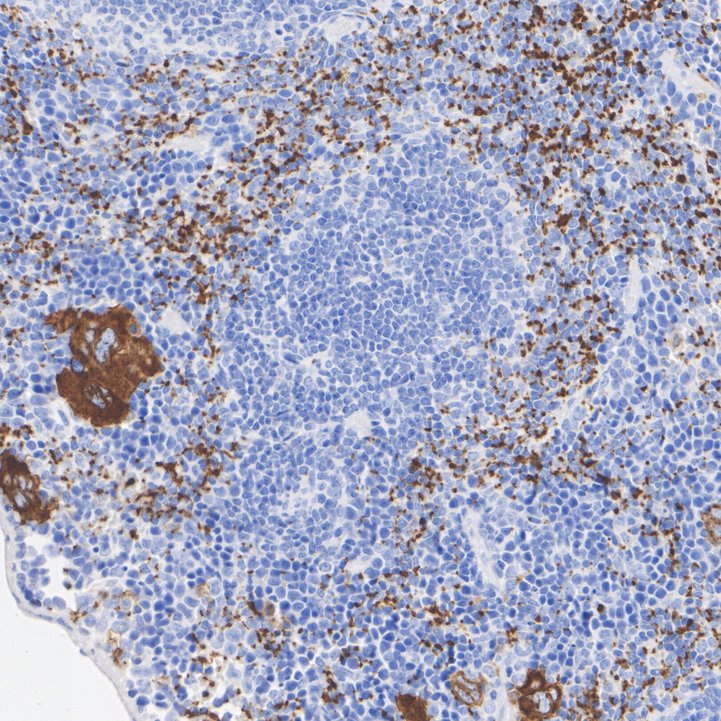
HA751201_2.jpg Fig2: Immunohistochemical analysis of paraffin-embedded mouse spleen tissue with Rabbit anti-CD41 antibody (HA751201) at 1/1,000 dilution.

The section was pre-treated using heat mediated antigen retrieval with Tris-EDTA buffer (pH 9.0) for 20 minutes. The tissues were blocked in 1% BSA for 20 minutes at room temperature, washed with ddH2O and PBS, and then probed with the primary antibody (HA751201) at 1/1,000 dilution for 1 hour at room temperature. The detection was performed using an HRP conjugated compact polymer system. DAB was used as the chromogen. Tissues were counterstained with hematoxylin and mounted with DPX.
HA751201_3.jpg Fig3: Flow cytometric analysis of mouse platelets labeling CD41.

Cells were washed twice with cold PBS and resuspend. Then stained with the primary antibody (HA751201, 1/1,000) (red) compared with Rabbit IgG Isotype Control (green). After incubation of the primary antibody at +4℃ for an hour, the cells were stained with a iFluor™ 488 conjugate-Goat anti-Rabbit IgG Secondary antibody (HA1121) at 1/1,000 dilution for 30 minutes at +4℃. Unlabelled sample was used as a control (cells without incubation with primary antibody; black).
HA751201_4.jpg Fig4: Immunocytochemistry analysis of mouse platelets labeling CD41 with Rabbit anti-CD41 antibody (HA751201, cyan) at 1/1,000 dilution.
HA751201_5.png Fig5: Validation of anti-CD41 antibody depletion function in vivo.
Note: All products are “FOR RESEARCH USE ONLY AND ARE NOT INTENDED FOR DIAGNOSTIC OR THERAPEUTIC USE”.