CD41 Recombinant Rabbit Monoclonal Antibody [PSH08-03]
cat.: HA751203
Product Type: Recombinant Rabbit monoclonal IgG, primary antibodies
Species reactivity: Human, Mouse, Rat
Applications: WB, IHC-P
Clonality: Monoclonal
Clone number: PSH08-03
Form: Liquid
Storage condition: Store at +4℃ after thawing. Aliquot store at -20℃. Avoid repeated freeze / thaw cycles.
Storage buffer: 1*PBS (pH7.4).
Concentration: 1ug/ul
Purification: Protein A affinity purified.
Molecular weight: Predicted band size: 113 kDa
Isotype: IgG
Immunogen: Recombinant protein within mouse CD41 aa 451-989.
Positive control: Human lung tissue lysate, Mouse spleen tissue lysate, Mouse lung tissue lysate, Mouse placenta tissue lysate, Rat spleen tissue lysate, Rat lung tissue lysate, human lung tissue, human spleen tissue, mouse placenta tissue, mouse spleen tissue, rat spleen tissue.
Subcellular location: Membrane.
Recommended Dilutions:
  WB
  IHC-P

1:2,000
1:1,000
Uniprot #: SwissProt: P08514 Human | Q9QUM0 Mouse
Entrez Gene: 685269 Rat
Alternative names: antigen CD41 BDPLT16 BDPLT2 CD41 CD41B form 2 GP2B GPalpha IIb GPIIb GT GTA HPA3 Integrin alpha 2b Integrin alpha IIb Integrin alpha-IIb light chain Integrin, alpha 2b (platelet glycoprotein IIb of IIb/IIIa complex, antigen CD41) ITA2B_HUMAN Itga2b ITGAB platelet fibrinogen receptor, alpha subunit platelet glycoprotein IIb of IIb/IIIa complex Platelet membrane glycoprotein IIb platelet specific antigen BAK PPP1R93
Images
HA751203_1.jpg Fig1: Western blot analysis of CD41 on different lysates with Rabbit anti-CD41 antibody (HA751203) at 1/2,000 dilution.

Lane 1: Human lung tissue lysate
Lane 2: Mouse spleen tissue lysate
Lane 3: Mouse lung tissue lysate
Lane 4: Mouse placenta tissue lysate
Lane 5: Rat spleen tissue lysate
Lane 6: Rat lung tissue lysate

Lysates/proteins at 40 µg/Lane.

Predicted band size: 113 kDa
Observed band size: 113-130 kDa

Exposure time: 10 seconds; ECL: K1801;

4-20% SDS-PAGE gel.

Proteins were transferred to a PVDF membrane and blocked with 5% NFDM/TBST for 1 hour at room temperature. The primary antibody (HA751203) at 1/2,000 dilution was used in 5% NFDM/TBST at 4℃ overnight. Goat Anti-Rabbit IgG - HRP Secondary Antibody (HA1001) at 1/50,000 dilution was used for 1 hour at room temperature.
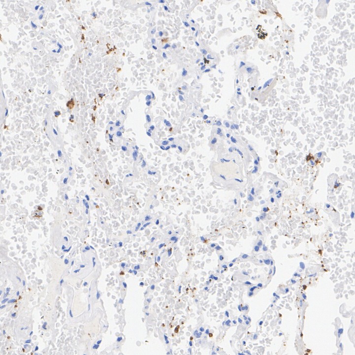
HA751203_2.jpg Fig2: Immunohistochemical analysis of paraffin-embedded human lung tissue with Rabbit anti-CD41 antibody (HA751203) at 1/1,000 dilution.

The section was pre-treated using heat mediated antigen retrieval with Tris-EDTA buffer (pH 9.0) for 20 minutes. The tissues were blocked in 1% BSA for 20 minutes at room temperature, washed with ddH2O and PBS, and then probed with the primary antibody (HA751203) at 1/1,000 dilution for 1 hour at room temperature. The detection was performed using an HRP conjugated compact polymer system. DAB was used as the chromogen. Tissues were counterstained with hematoxylin and mounted with DPX.
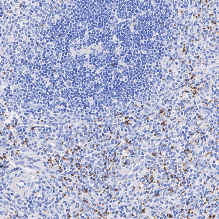
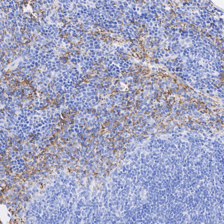
HA751203_3.jpg Fig3: Immunohistochemical analysis of paraffin-embedded human spleen tissue with Rabbit anti-CD41 antibody (HA751203) at 1/1,000 dilution.

The section was pre-treated using heat mediated antigen retrieval with Tris-EDTA buffer (pH 9.0) for 20 minutes. The tissues were blocked in 1% BSA for 20 minutes at room temperature, washed with ddH2O and PBS, and then probed with the primary antibody (HA751203) at 1/1,000 dilution for 1 hour at room temperature. The detection was performed using an HRP conjugated compact polymer system. DAB was used as the chromogen. Tissues were counterstained with hematoxylin and mounted with DPX.
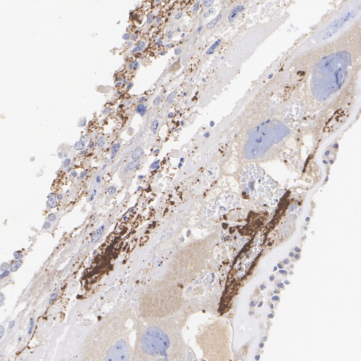
HA751203_4.jpg Fig4: Immunohistochemical analysis of paraffin-embedded mouse placenta tissue with Rabbit anti-CD41 antibody (HA751203) at 1/1,000 dilution.

The section was pre-treated using heat mediated antigen retrieval with Tris-EDTA buffer (pH 9.0) for 20 minutes. The tissues were blocked in 1% BSA for 20 minutes at room temperature, washed with ddH2O and PBS, and then probed with the primary antibody (HA751203) at 1/1,000 dilution for 1 hour at room temperature. The detection was performed using an HRP conjugated compact polymer system. DAB was used as the chromogen. Tissues were counterstained with hematoxylin and mounted with DPX.
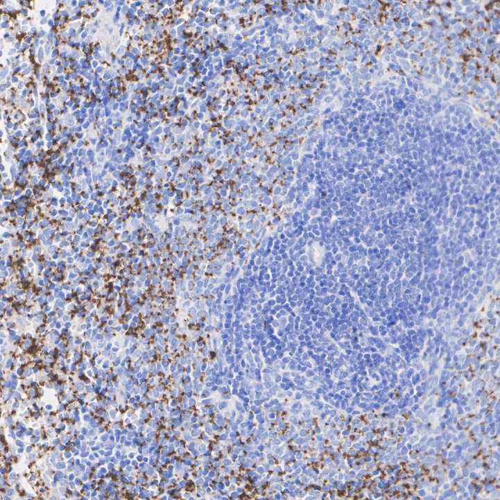
HA751203_5.jpg Fig5: Immunohistochemical analysis of paraffin-embedded mouse spleen tissue with Rabbit anti-CD41 antibody (HA751203) at 1/1,000 dilution.

The section was pre-treated using heat mediated antigen retrieval with Tris-EDTA buffer (pH 9.0) for 20 minutes. The tissues were blocked in 1% BSA for 20 minutes at room temperature, washed with ddH2O and PBS, and then probed with the primary antibody (HA751203) at 1/1,000 dilution for 1 hour at room temperature. The detection was performed using an HRP conjugated compact polymer system. DAB was used as the chromogen. Tissues were counterstained with hematoxylin and mounted with DPX.
HA751203_6.jpg Fig6: Immunohistochemical analysis of paraffin-embedded rat spleen tissue with Rabbit anti-CD41 antibody (HA751203) at 1/1,000 dilution.

The section was pre-treated using heat mediated antigen retrieval with Tris-EDTA buffer (pH 9.0) for 20 minutes. The tissues were blocked in 1% BSA for 20 minutes at room temperature, washed with ddH2O and PBS, and then probed with the primary antibody (HA751203) at 1/1,000 dilution for 1 hour at room temperature. The detection was performed using an HRP conjugated compact polymer system. DAB was used as the chromogen. Tissues were counterstained with hematoxylin and mounted with DPX.
Note: All products are “FOR RESEARCH USE ONLY AND ARE NOT INTENDED FOR DIAGNOSTIC OR THERAPEUTIC USE”.