Parkin Recombinant Rabbit Monoclonal Antibody [PSH08-11]
cat.: HA751206
Product Type: Recombinant Rabbit monoclonal IgG, primary antibodies
Species reactivity: Human, Mouse, Rat, Monkey, Cynomolgus monkey, Pig
Applications: WB, IHC-P, IF-Tissue, IF-Cell, FC, IP, IHC-Fr
Clonality: Monoclonal
Clone number: PSH08-11
Form: Liquid
Storage condition: Store at +4℃ after thawing. Aliquot store at -20℃. Avoid repeated freeze / thaw cycles.
Storage buffer: 1*PBS (pH7.4).
Concentration: 1ug/ul
Purification: Protein A affinity purified.
Molecular weight: Predicted band size: 52 kDa
Isotype: IgG
Immunogen: Recombinant protein within human Parkin aa 1-200.
Positive control: SH-SY5Y cell lysate, 293T cell lysate, COS-1 cell lysate, Neuro-2a cell lysate, C6 cell lysate, Mouse brain tissue lysate, Rat brain tissue lysate, mouse brain tissue, rat brain tissue, SH-SY5Y, Neuro-2a, C6.
Subcellular location: Mitochondrion, mitochondrion outer membrane, endoplasmic reticulum, cytosol, Nucleus, neuron projection, postsynaptic density, presynapse.
Recommended Dilutions:
  WB
  IHC-P
  IF-Tissue
  IF-Cell
  FC
  IP
  IHC-Fr

1:2,000-1:10,000
1:1,000
1:200
1:50-1:100
1:1,000
IP: 1-2μg/sample
1:500
Uniprot #: SwissProt: O60260 Human | Q9WVS6 Mouse | Q9JK66 Rat
Alternative names: AR JP E3 ubiquitin ligase E3 ubiquitin protein ligase parkin E3 ubiquitin-protein ligase parkin FRA6E LPRS 2 LPRS2 PARK 2 Park2 Parkin 2 Parkinson disease (autosomal recessive juvenile) 2 Parkinson disease (autosomal recessive, juvenile) 2, parkin Parkinson disease protein 2 Parkinson juvenile disease protein 2 Parkinson protein 2 E3 ubiquitin protein ligase Parkinson protein 2, E3 ubiquitin protein ligase (parkin) PDJ PRKN 2 PRKN PRKN2 PRKN2_HUMAN Ubiquitin E3 ligase PRKN
Images
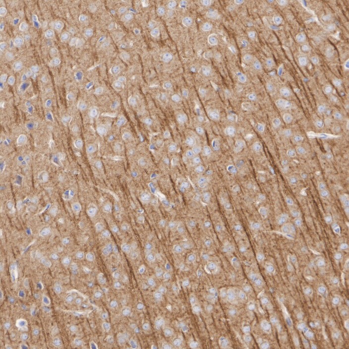
HA751206_1.jpg Fig1: Application: IHC-Fr

Species: Mouse

Site: Cerebral cortex

Sample: Frozen section

Antibody concentration: 1/500

Antigen retrieval: The section was pre-treated using heat mediated antigen retrieval with sodium citrate buffer (pH 6.0) for about 2 minutes in microwave oven.
HA751206_2.jpg Fig2: Application: IHC-Fr

Species: Rat

Site: Cerebral cortex

Sample: Frozen section

Antibody concentration: 1/500

Antigen retrieval: The section was pre-treated using heat mediated antigen retrieval with sodium citrate buffer (pH 6.0) for about 2 minutes in microwave oven.
HA751206_3.jpg Fig3: Immunohistochemical analysis of paraffin-embedded mouse brain tissue with Rabbit anti-Parkin antibody (HA751206) at 1/1,000 dilution.

The section was pre-treated using heat mediated antigen retrieval with Tris-EDTA buffer (pH 9.0) for 20 minutes. The tissues were blocked in 1% BSA for 20 minutes at room temperature, washed with ddH2O and PBS, and then probed with the primary antibody (HA751206) at 1/1,000 dilution for 1 hour at room temperature. The detection was performed using an HRP conjugated compact polymer system. DAB was used as the chromogen. Tissues were counterstained with hematoxylin and mounted with DPX.
HA751206_4.jpg Fig4: Immunohistochemical analysis of paraffin-embedded rat brain tissue with Rabbit anti-Parkin antibody (HA751206) at 1/1,000 dilution.

The section was pre-treated using heat mediated antigen retrieval with Tris-EDTA buffer (pH 9.0) for 20 minutes. The tissues were blocked in 1% BSA for 20 minutes at room temperature, washed with ddH2O and PBS, and then probed with the primary antibody (HA751206) at 1/1,000 dilution for 1 hour at room temperature. The detection was performed using an HRP conjugated compact polymer system. DAB was used as the chromogen. Tissues were counterstained with hematoxylin and mounted with DPX.
HA751206_5.jpg Fig5: Western blot analysis of Parkin on different lysates with Rabbit anti-Parkin antibody (HA751206) at 1/2,000 dilution.

Lane 1: SH-SY5Y cell lysate (20 µg/Lane)
Lane 2: 293T cell lysate (20 µg/Lane)
Lane 3: COS-1 cell lysate (20 µg/Lane)
Lane 4: Neuro-2a cell lysate (20 µg/Lane)
Lane 5: C6 cell lysate (20 µg/Lane)
Lane 6: Mouse brain tissue lysate (30 µg/Lane)
Lane 7: Rat brain tissue lysate (30 µg/Lane)

Predicted band size: 52 kDa
Observed band size: 52 kDa

Exposure time: 6 seconds; ECL: K1801;
4-20% SDS-PAGE gel.

Proteins were transferred to a PVDF membrane and blocked with 5% NFDM/TBST for 1 hour at room temperature. The primary antibody (HA751206) at 1/2,000 dilution was used in 5% NFDM/TBST at 4℃ overnight. Goat Anti-Rabbit IgG - HRP Secondary Antibody (HA1001) at 1/50,000 dilution was used for 1 hour at room temperature.
HA751206_6.jpg Fig6: Immunocytochemistry analysis of SH-SY5Y cells labeling Parkin with Rabbit anti-Parkin antibody (HA751206) at 1/100 dilution.

Cells were fixed in 4% paraformaldehyde for 15 minutes at room temperature, permeabilized with 0.1% Triton X-100 in PBS for 15 minutes at room temperature, then blocked with 1% BSA in 10% negative goat serum for 1 hour at room temperature. Cells were then incubated with Rabbit anti-Parkin antibody (HA751206) at 1/100 dilution in 1% BSA in PBST overnight at 4 ℃. Goat Anti-Rabbit IgG H&L (iFluor™ 488, HA1121) was used as the secondary antibody at 1/1,000 dilution. PBS instead of the primary antibody was used as the secondary antibody only control. Nuclear DNA was labelled in blue with DAPI.

Beta tubulin (HA601187, red) was stained at 1/100 dilution overnight at +4℃. Goat Anti-Mouse IgG H&L (iFluor™ 594, HA1126) was used as the secondary antibody at 1/1,000 dilution.
HA751206_7.jpg Fig7: Immunocytochemistry analysis of Neuro-2a cells labeling Parkin with Rabbit anti-Parkin antibody (HA751206) at 1/50 dilution.

Cells were fixed in 4% paraformaldehyde for 15 minutes at room temperature, permeabilized with 0.1% Triton X-100 in PBS for 15 minutes at room temperature, then blocked with 1% BSA in 10% negative goat serum for 1 hour at room temperature. Cells were then incubated with Rabbit anti-Parkin antibody (HA751206) at 1/50 dilution in 1% BSA in PBST overnight at 4 ℃. Goat Anti-Rabbit IgG H&L (iFluor™ 488, HA1121) was used as the secondary antibody at 1/1,000 dilution. PBS instead of the primary antibody was used as the secondary antibody only control. Nuclear DNA was labelled in blue with DAPI.

Beta tubulin (HA601187, red) was stained at 1/100 dilution overnight at +4℃. Goat Anti-Mouse IgG H&L (iFluor™ 594, HA1126) was used as the secondary antibody at 1/1,000 dilution.
HA751206_8.jpg Fig8: Immunocytochemistry analysis of C6 cells labeling Parkin with Rabbit anti-Parkin antibody (HA751206) at 1/50 dilution.

Cells were fixed in 4% paraformaldehyde for 15 minutes at room temperature, permeabilized with 0.1% Triton X-100 in PBS for 15 minutes at room temperature, then blocked with 1% BSA in 10% negative goat serum for 1 hour at room temperature. Cells were then incubated with Rabbit anti-Parkin antibody (HA751206) at 1/50 dilution in 1% BSA in PBST overnight at 4 ℃. Goat Anti-Rabbit IgG H&L (iFluor™ 488, HA1121) was used as the secondary antibody at 1/1,000 dilution. PBS instead of the primary antibody was used as the secondary antibody only control. Nuclear DNA was labelled in blue with DAPI.

Beta tubulin (HA601187, red) was stained at 1/100 dilution overnight at +4℃. Goat Anti-Mouse IgG H&L (iFluor™ 594, HA1126) was used as the secondary antibody at 1/1,000 dilution.
HA751206_9.jpg Fig9: Flow cytometric analysis of SH-SY5Y cells labeling Parkin.

Cells were fixed and permeabilized. Then stained with the primary antibody (HA751206, 1μg/mL) (red) compared with Rabbit IgG Isotype Control (green). After incubation of the primary antibody at +4℃ for an hour, the cells were stained with a iFluor™ 488 conjugate-Goat anti-Rabbit IgG Secondary antibody (HA1121) at 1/1,000 dilution for 30 minutes at +4℃. Unlabelled sample was used as a control (cells without incubation with primary antibody; black).
HA751206_10.jpg Fig10: Flow cytometric analysis of Neuro-2a cells labeling Parkin.

Cells were fixed and permeabilized. Then stained with the primary antibody (HA751206, 1μg/mL) (red) compared with Rabbit IgG Isotype Control (green). After incubation of the primary antibody at +4℃ for an hour, the cells were stained with a iFluor™ 488 conjugate-Goat anti-Rabbit IgG Secondary antibody (HA1121) at 1/1,000 dilution for 30 minutes at +4℃. Unlabelled sample was used as a control (cells without incubation with primary antibody; black).
HA751206_11.jpg Fig11: Flow cytometric analysis of C6 cells labeling Parkin.

Cells were fixed and permeabilized. Then stained with the primary antibody (HA751206, 1μg/mL) (red) compared with Rabbit IgG Isotype Control (green). After incubation of the primary antibody at +4℃ for an hour, the cells were stained with a iFluor™ 488 conjugate-Goat anti-Rabbit IgG Secondary antibody (HA1121) at 1/1,000 dilution for 30 minutes at +4℃. Unlabelled sample was used as a control (cells without incubation with primary antibody; black).
HA751206_12.jpg Fig12: Parkin was immunoprecipitated from 0.2 mg SH-SY5Y cell lysate with HA751206 at 2 µg/10 µl beads. Western blot was performed from the immunoprecipitate using Mouse anti-Parkin antibody at 1/1,000 dilution. Anti-Mouse IgG for IP Nano-secondary antibody (NBI02H) at 1/5,000 dilution was used for 1 hour at room temperature.

Lane 1: SH-SY5Y cell lysate (input)
Lane 2: HA751206 IP in SH-SY5Y cell lysate
Lane 3: Mouse IgG instead of HA751206 in SH-SY5Y cell lysate

Blocking/Dilution buffer: 5% NFDM/TBST
Exposure time: 2 minutes; ECL: K1801
Note: All products are “FOR RESEARCH USE ONLY AND ARE NOT INTENDED FOR DIAGNOSTIC OR THERAPEUTIC USE”.