Myelin PLP Recombinant Rabbit Monoclonal Antibody [PSH08-21]
cat.: HA751212
Product Type: Recombinant Rabbit monoclonal IgG, primary antibodies
Species reactivity: Human, Mouse, Rat
Applications: WB, IHC-P, IF-Tissue, IHC-Fr
Clonality: Monoclonal
Clone number: PSH08-21
Form: Liquid
Storage condition: Store at +4℃ after thawing. Aliquot store at -20℃. Avoid repeated freeze / thaw cycles.
Storage buffer: 1*PBS (pH7.4).
Concentration: 1ug/ul
Purification: Protein A affinity purified.
Molecular weight: Predicted band size: 30 kDa
Isotype: IgG
Immunogen: Recombinant protein within human Myelin PLP aa 1-233.
Positive control: Mouse brain tissue lysate, Rat brain tissue lysate, human brain tissue, mouse brain tissue, rat brain tissue.
Subcellular location: Cell membrane, Myelin membrane.
Recommended Dilutions:
  WB
  IHC-P
  IF-Tissue
  IHC-Fr

1:5,000
1:800
1:500
1:500-1:1,000
Uniprot #: SwissProt: P60201 Human | P60202 Mouse | P60203 Rat
Alternative names: HLD1 Lipophilin Major myelin proteolipid protein MMPL Myelin proteolipid protein MYPR_HUMAN PLP 1 PLP PLP/DM20 PLP1 PMD Proteolipid protein 1 SPG2
Images
HA751212_1.jpg Fig1: Immunofluorescence analysis of frozen mouse brain tissue with Rabbit anti-Myelin PLP antibody (HA751212) at 1/1,000 dilution.

The section was not undergone antigen retrieval.

The tissues were blocked in 10% negative goat serum for 1 hour at room temperature, washed with PBS, and then probed with the primary antibody (HA751212, green) at 1/1,000 dilution overnight at 4 ℃, washed with PBS. Goat Anti-Rabbit IgG H&L (iFluor™ 488, HA1121) was used as the secondary antibody at 1/1,000 dilution. Nuclei were counterstained with DAPI (blue).
HA751212_2.jpg Fig2: Immunofluorescence analysis of frozen rat brain tissue with Rabbit anti-Myelin PLP antibody (HA751212) at 1/500 dilution.

The section was not undergone antigen retrieval.

The tissues were blocked in 10% negative goat serum for 1 hour at room temperature, washed with PBS, and then probed with the primary antibody (HA751212, green) at 1/500 dilution overnight at 4 ℃, washed with PBS. Goat Anti-Rabbit IgG H&L (iFluor™ 488, HA1121) was used as the secondary antibody at 1/1,000 dilution. Nuclei were counterstained with DAPI (blue).
HA751212_3.jpg Fig3: Western blot analysis of Myelin PLP on different lysates with Rabbit anti-Myelin PLP antibody (HA751212) at 1/5,000 dilution.

Lane 1: Mouse brain tissue lysate (no heat) (20 µg/Lane)
Lane 2: Mouse liver tissue lysate (negative) (20 µg/Lane)
Lane 3: Rat brain tissue lysate (no heat) (20 µg/Lane)
Lane 4: Rat liver tissue lysate (negative) (20 µg/Lane)

Notice: no heat means the lysate is not boiled.

Predicted band size: 30 kDa
Observed band size: 25/20 kDa

Exposure time: 1 minute; ECL: K1801;
4-20% SDS-PAGE gel.

Proteins were transferred to a PVDF membrane and blocked with 5% NFDM/TBST for 1 hour at room temperature. The primary antibody (HA751212) at 1/5,000 dilution was used in 5% NFDM/TBST at 4℃ overnight. Goat Anti-Rabbit IgG - HRP Secondary Antibody (HA1001) at 1/50,000 dilution was used for 1 hour at room temperature.
HA751212_4.jpg Fig4: Immunohistochemical analysis of paraffin-embedded human brain tissue with Rabbit anti-Myelin PLP antibody (HA751212) at 1/800 dilution.

The section was pre-treated using heat mediated antigen retrieval with Tris-EDTA buffer (pH 9.0) for 20 minutes. The tissues were blocked in 1% BSA for 20 minutes at room temperature, washed with ddH2O and PBS, and then probed with the primary antibody (HA751212) at 1/800 dilution for 1 hour at room temperature. The detection was performed using an HRP conjugated compact polymer system. DAB was used as the chromogen. Tissues were counterstained with hematoxylin and mounted with DPX.
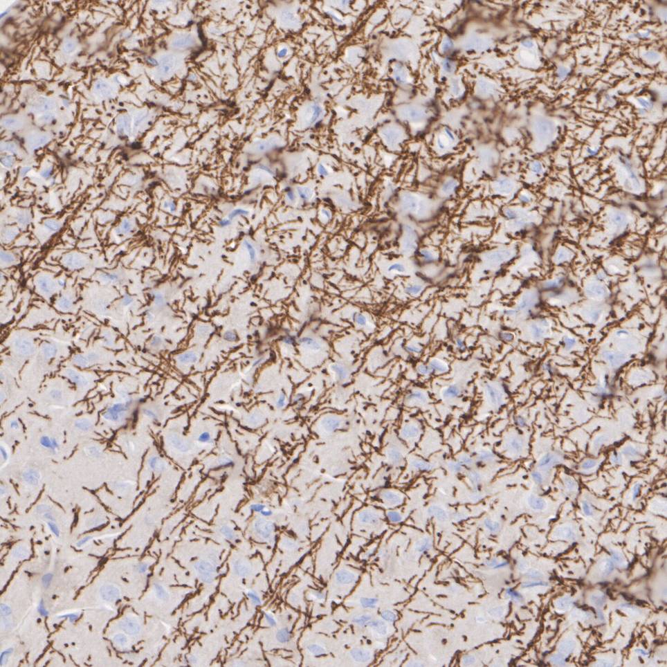
HA751212_5.jpg Fig5: Immunohistochemical analysis of paraffin-embedded mouse brain tissue with Rabbit anti-Myelin PLP antibody (HA751212) at 1/800 dilution.

The section was pre-treated using heat mediated antigen retrieval with Tris-EDTA buffer (pH 9.0) for 20 minutes. The tissues were blocked in 1% BSA for 20 minutes at room temperature, washed with ddH2O and PBS, and then probed with the primary antibody (HA751212) at 1/800 dilution for 1 hour at room temperature. The detection was performed using an HRP conjugated compact polymer system. DAB was used as the chromogen. Tissues were counterstained with hematoxylin and mounted with DPX.
HA751212_6.jpg Fig6: Immunohistochemical analysis of paraffin-embedded rat brain tissue with Rabbit anti-Myelin PLP antibody (HA751212) at 1/800 dilution.

The section was pre-treated using heat mediated antigen retrieval with Tris-EDTA buffer (pH 9.0) for 20 minutes. The tissues were blocked in 1% BSA for 20 minutes at room temperature, washed with ddH2O and PBS, and then probed with the primary antibody (HA751212) at 1/800 dilution for 1 hour at room temperature. The detection was performed using an HRP conjugated compact polymer system. DAB was used as the chromogen. Tissues were counterstained with hematoxylin and mounted with DPX.
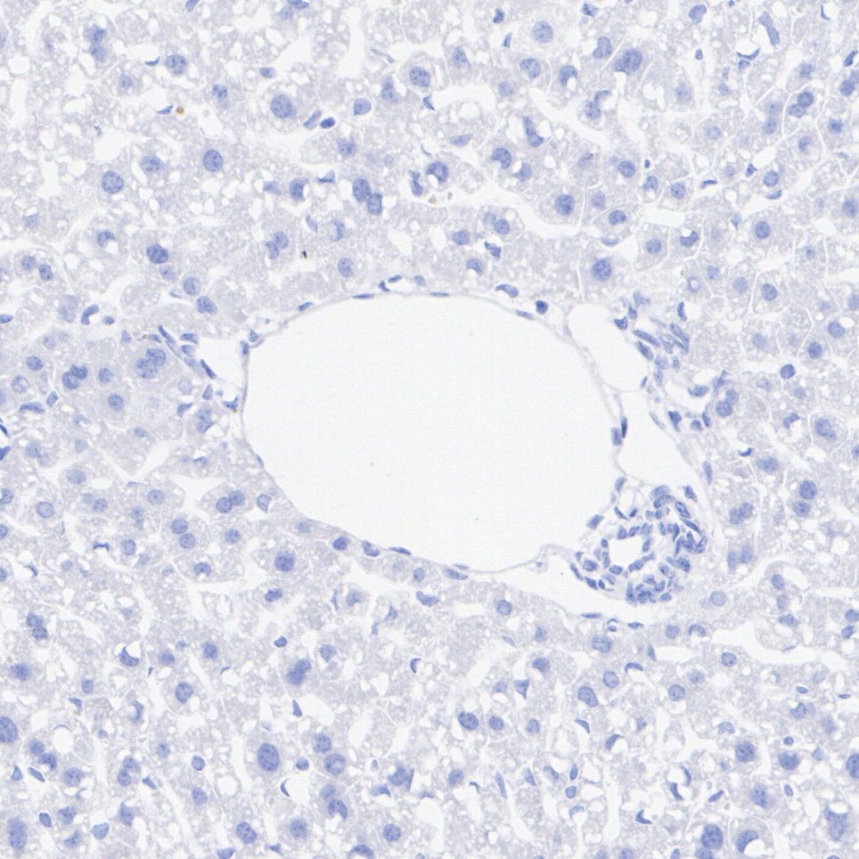
HA751212_7.jpg Fig7: Immunohistochemical analysis of paraffin-embedded human liver tissue (negative) with Rabbit anti-Myelin PLP antibody (HA751212) at 1/800 dilution.

The section was pre-treated using heat mediated antigen retrieval with Tris-EDTA buffer (pH 9.0) for 20 minutes. The tissues were blocked in 1% BSA for 20 minutes at room temperature, washed with ddH2O and PBS, and then probed with the primary antibody (HA751212) at 1/800 dilution for 1 hour at room temperature. The detection was performed using an HRP conjugated compact polymer system. DAB was used as the chromogen. Tissues were counterstained with hematoxylin and mounted with DPX.
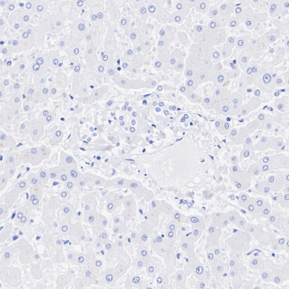
HA751212_8.jpg Fig8: Immunohistochemical analysis of paraffin-embedded mouse liver tissue (negative) with Rabbit anti-Myelin PLP antibody (HA751212) at 1/800 dilution.

The section was pre-treated using heat mediated antigen retrieval with Tris-EDTA buffer (pH 9.0) for 20 minutes. The tissues were blocked in 1% BSA for 20 minutes at room temperature, washed with ddH2O and PBS, and then probed with the primary antibody (HA751212) at 1/800 dilution for 1 hour at room temperature. The detection was performed using an HRP conjugated compact polymer system. DAB was used as the chromogen. Tissues were counterstained with hematoxylin and mounted with DPX.
HA751212_9.jpg Fig9: Immunohistochemical analysis of paraffin-embedded rat liver tissue (negative) with Rabbit anti-Myelin PLP antibody (HA751212) at 1/800 dilution.

The section was pre-treated using heat mediated antigen retrieval with Tris-EDTA buffer (pH 9.0) for 20 minutes. The tissues were blocked in 1% BSA for 20 minutes at room temperature, washed with ddH2O and PBS, and then probed with the primary antibody (HA751212) at 1/800 dilution for 1 hour at room temperature. The detection was performed using an HRP conjugated compact polymer system. DAB was used as the chromogen. Tissues were counterstained with hematoxylin and mounted with DPX.
HA751212_10.jpg Fig10: Application: IF-Tissue

Species: Mouse

Site: brain

Sample: Paraffin-embedded section

Antibody concentration: 1/500
Note: All products are “FOR RESEARCH USE ONLY AND ARE NOT INTENDED FOR DIAGNOSTIC OR THERAPEUTIC USE”.