Interferon alpha 2 Recombinant Rabbit Monoclonal Antibody [PSH08-23]
cat.: HA751214
Product Type: Recombinant Rabbit monoclonal IgG, primary antibodies
Species reactivity: Human
Applications: WB, IF-Cell, IHC-P
Clonality: Monoclonal
Clone number: PSH08-23
Form: Liquid
Storage condition: Store at +4℃ after thawing. Aliquot store at -20℃. Avoid repeated freeze / thaw cycles.
Storage buffer: 1*PBS (pH7.4).
Concentration: 1ug/ul
Purification: Protein A affinity purified.
Molecular weight: Predicted band size: 22 kDa
Isotype: IgG
Immunogen: Synthetic peptide within human Interferon alpha 2 aa 139-188.
Positive control: 293T transfected with Interferon alpha 2 cell lysate, 293T cells transfected with Interferon alpha 2.
Subcellular location: Secreted.
Recommended Dilutions:
  WB
  IF-Cell
  IHC-P

1:2,000
1:10,000
1:1,000
Uniprot #: SwissProt: P01563 Human
Alternative names: Alpha 2a interferon IFN alpha 2 IFN alphaA IFN IFN-alpha-2 IFNA Ifna2 IFNA2_HUMAN IFNA2B Interferon alpha 2a Interferon alpha 2b Interferon alpha A Interferon alpha-2 Interferon alpha-A Interferon LeIF A LeIFA MGC125764 MGC125765
Images
HA751214_1.jpg Fig1: Western blot analysis of Interferon alpha 2 on different lysates with Rabbit anti-Interferon alpha 2 antibody (HA751214) at 1/2,000 dilution.

Lane 1: 293T transfected with empty control cell lysate
Lane 2: 293T transfected with Interferon alpha 2 cell lysate

Lysates/proteins at 10 µg/Lane.

Predicted band size: 22 kDa
Observed band size: 22 kDa

Exposure time: 10 seconds; ECL: K1801;

4-20% SDS-PAGE gel.

Proteins were transferred to a PVDF membrane and blocked with 5% NFDM/TBST for 1 hour at room temperature. The primary antibody (HA751214) at 1/2,000 dilution was used in 5% NFDM/TBST at 4℃ overnight. Goat Anti-Rabbit IgG - HRP Secondary Antibody (HA1001) at 1/50,000 dilution was used for 1 hour at room temperature.
HA751214_2.jpg Fig2: Immunocytochemistry analysis of 293T cells transfected with or without Interferon alpha 2 labeling Interferon alpha 2 with Rabbit anti-Interferon alpha 2 antibody (HA751214) at 1/10,000 dilution.

Cells were fixed in 4% paraformaldehyde for 15 minutes at room temperature, permeabilized with 0.1% Triton X-100 in PBS for 15 minutes at room temperature, then blocked with 1% BSA in 10% negative goat serum for 1 hour at room temperature. Cells were then incubated with Rabbit anti-Interferon alpha 2 antibody (HA751214) at 1/10,000 dilution in 1% BSA in PBST overnight at 4 ℃. Goat Anti-Rabbit IgG H&L (iFluor™ 488, HA1121) was used as the secondary antibody at 1/1,000 dilution. PBS instead of the primary antibody was used as the secondary antibody only control. Nuclear DNA was labelled in blue with DAPI.

Beta tubulin (HA601187, red) was stained at 1/100 dilution overnight at +4℃. Goat Anti-Mouse IgG H&L (iFluor™ 594, HA1126) was used as the secondary antibody at 1/1,000 dilution.
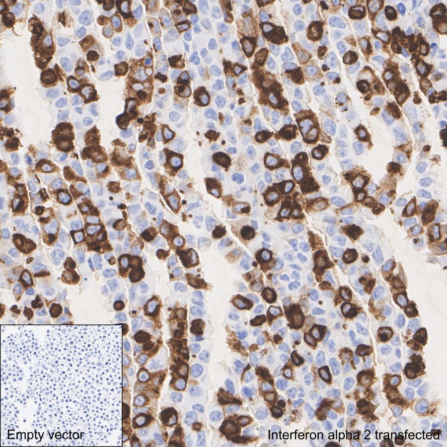
HA751214_3.jpg Fig3: Immunohistochemical analysis of paraffin-embedded 293T cells transfected with Interferon alpha 2 with Rabbit anti-Interferon alpha 2 antibody (HA751214) at 1/1,000 dilution.

The section was pre-treated using heat mediated antigen retrieval with Tris-EDTA buffer (pH 9.0) for 20 minutes. The tissues were blocked in 1% BSA for 20 minutes at room temperature, washed with ddH2O and PBS, and then probed with the primary antibody (HA751214) at 1/1,000 dilution for 1 hour at room temperature. The detection was performed using an HRP conjugated compact polymer system. DAB was used as the chromogen. Tissues were counterstained with hematoxylin and mounted with DPX.
Note: All products are “FOR RESEARCH USE ONLY AND ARE NOT INTENDED FOR DIAGNOSTIC OR THERAPEUTIC USE”.