SRPK1 Recombinant Rabbit Monoclonal Antibody [PSH08-26]
cat.: HA751217
Product Type: Recombinant Rabbit monoclonal IgG, primary antibodies
Species reactivity: Human, Mouse
Applications: WB, IF-Cell, IHC-P, IF-Tissue, FC, IP
Clonality: Monoclonal
Clone number: PSH08-26
Form: Liquid
Storage condition: Store at +4℃ after thawing. Aliquot store at -20℃. Avoid repeated freeze / thaw cycles.
Storage buffer: 1*PBS (pH7.4).
Concentration: 1ug/ul
Purification: Protein A affinity purified.
Molecular weight: Predicted band size: 74 kDa
Isotype: IgG
Immunogen: Recombinant protein within human SRPK1 aa 251-500.
Positive control: NCI-H226 cell lysate, Jurkat cell lysate, Caco-2 cell lysate, HeLa cell lysate, MDA-MB-231 cell lysate, BxPC-3 cell lysate, Mouse testis tissue lysate, Jurkat, human breast tissue, human colon cancer tissue, human testis tissue, mouse testis tissue, NIH/3T3.
Subcellular location: Cytoplasm, Nucleus, nucleoplasm, Nucleus speckle, Chromosome.
Recommended Dilutions:
  WB
  IF-Cell
  IHC-P
  IF-Tissue
  FC
  IP

1:5,000
1:500
1:200-1:1,000
1:200
1:1,000
1-2μg/sample
Uniprot #: SwissProt: Q96SB4 Human | O70551 Mouse
Entrez Gene: 361811 Rat
Alternative names: Serine/arginine rich protein specific kinase 1 Serine/arginine rich splicing factor kinase 1 Serine/arginine-rich protein-specific kinase 1 Serine/threonine protein kinase SRPK1 Serine/threonine-protein kinase SRPK1 SFRS protein kinase 1 SFRSK1 SR protein kinase 1 SR protein specific kinase 1 SR-protein-specific kinase 1 SRPK1 SRPK1_HUMAN
Images
HA751217_1.jpg Fig1: Western blot analysis of SRPK1 on different lysates with Rabbit anti-SRPK1 antibody (HA751217) at 1/5,000 dilution.

Lane 1: NCI-H226 cell lysate (20 µg/Lane)
Lane 2: Jurkat cell lysate (20 µg/Lane)
Lane 3: Caco-2 cell lysate (20 µg/Lane)
Lane 4: HeLa cell lysate (20 µg/Lane)
Lane 5: MDA-MB-231 cell lysate (20 µg/Lane)
Lane 6: BxPC-3 cell lysate (20 µg/Lane)
Lane 7: Mouse testis tissue lysate (40 µg/Lane)

Predicted band size: 74 kDa
Observed band size: 100 kDa

Exposure time: 8 seconds; ECL: K1801;

4-20% SDS-PAGE gel.

Proteins were transferred to a PVDF membrane and blocked with 5% NFDM/TBST for 1 hour at room temperature. The primary antibody (HA751217) at 1/5,000 dilution was used in 5% NFDM/TBST at 4℃ overnight. Goat Anti-Rabbit IgG - HRP Secondary Antibody (HA1001) at 1/50,000 dilution was used for 1 hour at room temperature.
HA751217_2.jpg Fig2: Immunocytochemistry analysis of Jurkat cells labeling SRPK1 with Rabbit anti-SRPK1 antibody (HA751217) at 1/500 dilution.

Cells were fixed in 4% paraformaldehyde for 15 minutes at room temperature, permeabilized with 0.1% Triton X-100 in PBS for 15 minutes at room temperature, then blocked with 1% BSA in 10% negative goat serum for 1 hour at room temperature. Cells were then incubated with Rabbit anti-SRPK1 antibody (HA751217) at 1/500 dilution in 1% BSA in PBST overnight at 4 ℃. Goat Anti-Rabbit IgG H&L (iFluor™ 488, HA1121) was used as the secondary antibody at 1/1,000 dilution. PBS instead of the primary antibody was used as the secondary antibody only control. Nuclear DNA was labelled in blue with DAPI.

Beta tubulin (HA601187, red) was stained at 1/100 dilution overnight at +4℃. Goat Anti-Mouse IgG H&L (iFluor™ 594, HA1126) was used as the secondary antibody at 1/1,000 dilution.
HA751217_3.jpg Fig3: Immunohistochemical analysis of paraffin-embedded human breast tissue with Rabbit anti-SRPK1 antibody (HA751217) at 1/200 dilution.

The section was pre-treated using heat mediated antigen retrieval with Tris-EDTA buffer (pH 9.0) for 20 minutes. The tissues were blocked in 1% BSA for 20 minutes at room temperature, washed with ddH2O and PBS, and then probed with the primary antibody (HA751217) at 1/200 dilution for 1 hour at room temperature. The detection was performed using an HRP conjugated compact polymer system. DAB was used as the chromogen. Tissues were counterstained with hematoxylin and mounted with DPX.
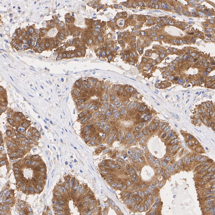
HA751217_4.jpg Fig4: Immunohistochemical analysis of paraffin-embedded human colon cancer tissue with Rabbit anti-SRPK1 antibody (HA751217) at 1/1,000 dilution.

The section was pre-treated using heat mediated antigen retrieval with Tris-EDTA buffer (pH 9.0) for 20 minutes. The tissues were blocked in 1% BSA for 20 minutes at room temperature, washed with ddH2O and PBS, and then probed with the primary antibody (HA751217) at 1/1,000 dilution for 1 hour at room temperature. The detection was performed using an HRP conjugated compact polymer system. DAB was used as the chromogen. Tissues were counterstained with hematoxylin and mounted with DPX.
HA751217_5.jpg Fig5: Immunohistochemical analysis of paraffin-embedded human testis tissue with Rabbit anti-SRPK1 antibody (HA751217) at 1/1,000 dilution.

The section was pre-treated using heat mediated antigen retrieval with Tris-EDTA buffer (pH 9.0) for 20 minutes. The tissues were blocked in 1% BSA for 20 minutes at room temperature, washed with ddH2O and PBS, and then probed with the primary antibody (HA751217) at 1/1,000 dilution for 1 hour at room temperature. The detection was performed using an HRP conjugated compact polymer system. DAB was used as the chromogen. Tissues were counterstained with hematoxylin and mounted with DPX.
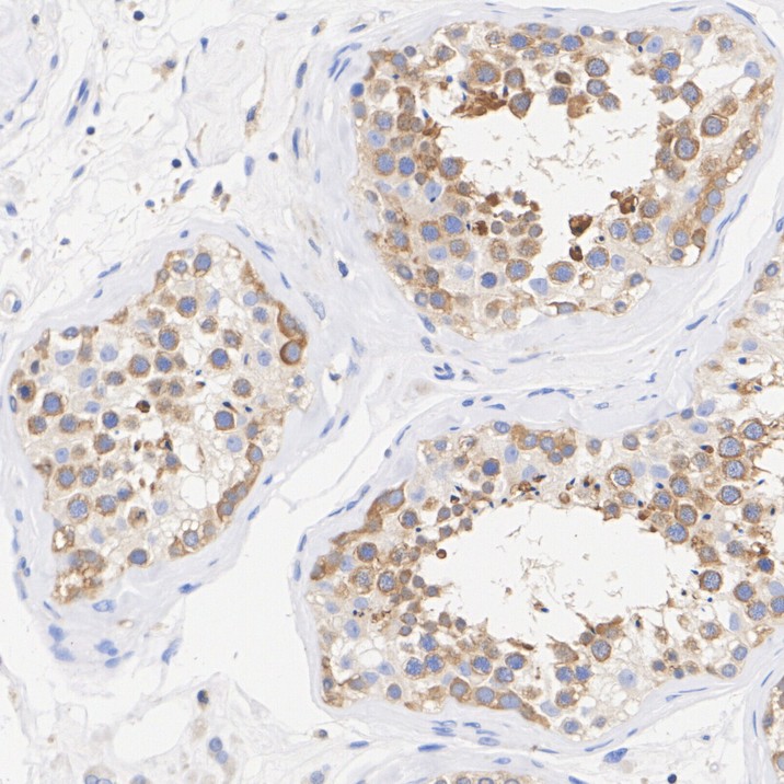
HA751217_6.jpg Fig6: Immunohistochemical analysis of paraffin-embedded mouse testis tissue with Rabbit anti-SRPK1 antibody (HA751217) at 1/1,000 dilution.

The section was pre-treated using heat mediated antigen retrieval with Tris-EDTA buffer (pH 9.0) for 20 minutes. The tissues were blocked in 1% BSA for 20 minutes at room temperature, washed with ddH2O and PBS, and then probed with the primary antibody (HA751217) at 1/1,000 dilution for 1 hour at room temperature. The detection was performed using an HRP conjugated compact polymer system. DAB was used as the chromogen. Tissues were counterstained with hematoxylin and mounted with DPX.
HA751217_7.jpg Fig7: Flow cytometric analysis of Jurkat cells labeling SRPK1.

Cells were fixed and permeabilized. Then stained with the primary antibody (HA751217, 1/1,000) (red) compared with Rabbit IgG Isotype Control (green). After incubation of the primary antibody at +4℃ for an hour, the cells were stained with a iFluor™ 488 conjugate-Goat anti-Rabbit IgG Secondary antibody (HA1121) at 1/1,000 dilution for 30 minutes at +4℃. Unlabelled sample was used as a control (cells without incubation with primary antibody; black).
HA751217_8.jpg Fig8: Flow cytometric analysis of NIH/3T3 cells labeling SRPK1.

Cells were fixed and permeabilized. Then stained with the primary antibody (HA751217, 1/1,000) (red) compared with Rabbit IgG Isotype Control (green). After incubation of the primary antibody at +4℃ for an hour, the cells were stained with a iFluor™ 488 conjugate-Goat anti-Rabbit IgG Secondary antibody (HA1121) at 1/1,000 dilution for 30 minutes at +4℃. Unlabelled sample was used as a control (cells without incubation with primary antibody; black).
HA751217_9.jpg Fig9: SRPK1 was immunoprecipitated from 0.2 mg Jurkat cell lysate with HA751217 at 2 µg/10 µl beads. Western blot was performed from the immunoprecipitate using HA751217 at 1/1,000 dilution. Mouse Anti-Rabbit IgG kappa light chain secondary antibody (M1208-2) at 1/5,000 dilution was used for 1 hour at room temperature.

Lane 1: Jurkat cell lysate (input)
Lane 2: HA751217 IP in Jurkat cell lysate
Lane 3: Rabbit IgG instead of HA751217 in Jurkat cell lysate

Blocking/Dilution buffer: 5% NFDM/TBST
Exposure time: 7 seconds; ECL: K1801
Note: All products are “FOR RESEARCH USE ONLY AND ARE NOT INTENDED FOR DIAGNOSTIC OR THERAPEUTIC USE”.