VIRMA Recombinant Rabbit Monoclonal Antibody [PSH08-28]
cat.: HA751219
Product Type: Recombinant Rabbit monoclonal IgG, primary antibodies
Species reactivity: Human, Rat, Monkey
Applications: WB, IF-Cell, IHC-P, FC, IP
Clonality: Monoclonal
Clone number: PSH08-28
Form: Liquid
Storage condition: Store at +4℃ after thawing. Aliquot store at -20℃. Avoid repeated freeze / thaw cycles.
Storage buffer: 1*PBS (pH7.4).
Concentration: 1ug/ul
Purification: Protein A affinity purified.
Molecular weight: Predicted band size: 202 kDa
Isotype: IgG
Immunogen: Recombinant protein within human VIRMA aa 1,431-1,730.
Positive control: K-562 cell lysate, MCF7 cell lysate, HeLa cell lysate, PC-3 cell lysate, T-47D cell lysate, SK-OV-3 cell lysate, COS-1 cell lysate, PC-12 cell lysate, C6 cell lysate, HeLa, PC-12, human colon cancer tissue, human stomach tissue, human testis tissue, rat stomach tissue, rat testis tissue.
Subcellular location: Nucleus speckle, Nucleus, nucleoplasm, Cytoplasm.
Recommended Dilutions:
  WB
  IF-Cell
  IHC-P
  FC
  IP

1:2,000
1:50-1:100
1:200-1:1,000
1:1,000
1-2μg/sample
Uniprot #: SwissProt: Q69YN4 Human
Entrez Gene: 313061 Rat
Alternative names: DKFZp434I116 DKFZp781B2117 fSAP121 KIAA1429 MGC138493 MGC141940 MSTP054 Protein virilizer homolog VIR_HUMAN
Images
HA751219_1.jpg Fig1: Western blot analysis of VIRMA on different lysates with Rabbit anti-VIRMA antibody (HA751219) at 1/2,000 dilution.

Lane 1: K-562 cell lysate
Lane 2: MCF7 cell lysate
Lane 3: HeLa cell lysate
Lane 4: PC-3 cell lysate
Lane 5: T-47D cell lysate
Lane 6: SK-OV-3 cell lysate
Lane 7: COS-1 cell lysate
Lane 8: PC-12 cell lysate
Lane 9: C6 cell lysate

Lysates/proteins at 20 µg/Lane.

Predicted band size: 202 kDa
Observed band size: 240 kDa

Exposure time: 10 seconds; ECL: K1801;

4-20% SDS-PAGE gel.

Proteins were transferred to a PVDF membrane and blocked with 5% NFDM/TBST for 1 hour at room temperature. The primary antibody (HA751219) at 1/2,000 dilution was used in 5% NFDM/TBST at 4℃ overnight. Goat Anti-Rabbit IgG - HRP Secondary Antibody (HA1001) at 1/50,000 dilution was used for 1 hour at room temperature.
HA751219_2.jpg Fig2: Immunocytochemistry analysis of HeLa cells labeling VIRMA with Rabbit anti-VIRMA antibody (HA751219) at 1/100 dilution.

Cells were fixed in 4% paraformaldehyde for 15 minutes at room temperature, permeabilized with 0.1% Triton X-100 in PBS for 15 minutes at room temperature, then blocked with 1% BSA in 10% negative goat serum for 1 hour at room temperature. Cells were then incubated with Rabbit anti-VIRMA antibody (HA751219) at 1/100 dilution in 1% BSA in PBST overnight at 4 ℃. Goat Anti-Rabbit IgG H&L (iFluor™ 488, HA1121) was used as the secondary antibody at 1/1,000 dilution. PBS instead of the primary antibody was used as the secondary antibody only control. Nuclear DNA was labelled in blue with DAPI.

Beta tubulin (HA601187, red) was stained at 1/100 dilution overnight at +4℃. Goat Anti-Mouse IgG H&L (iFluor™ 594, HA1126) was used as the secondary antibody at 1/1,000 dilution.
HA751219_3.jpg Fig3: Immunocytochemistry analysis of PC-12 cells labeling VIRMA with Rabbit anti-VIRMA antibody (HA751219) at 1/50 dilution.

Cells were fixed in 4% paraformaldehyde for 15 minutes at room temperature, permeabilized with 0.1% Triton X-100 in PBS for 15 minutes at room temperature, then blocked with 1% BSA in 10% negative goat serum for 1 hour at room temperature. Cells were then incubated with Rabbit anti-VIRMA antibody (HA751219) at 1/50 dilution in 1% BSA in PBST overnight at 4 ℃. Goat Anti-Rabbit IgG H&L (iFluor™ 488, HA1121) was used as the secondary antibody at 1/1,000 dilution. PBS instead of the primary antibody was used as the secondary antibody only control. Nuclear DNA was labelled in blue with DAPI.

Beta tubulin (HA601187, red) was stained at 1/100 dilution overnight at +4℃. Goat Anti-Mouse IgG H&L (iFluor™ 594, HA1126) was used as the secondary antibody at 1/1,000 dilution.
HA751219_4.jpg Fig4: Immunohistochemical analysis of paraffin-embedded human colon cancer tissue with Rabbit anti-VIRMA antibody (HA751219) at 1/1,000 dilution.

The section was pre-treated using heat mediated antigen retrieval with Tris-EDTA buffer (pH 9.0) for 20 minutes. The tissues were blocked in 1% BSA for 20 minutes at room temperature, washed with ddH2O and PBS, and then probed with the primary antibody (HA751219) at 1/1,000 dilution for 1 hour at room temperature. The detection was performed using an HRP conjugated compact polymer system. DAB was used as the chromogen. Tissues were counterstained with hematoxylin and mounted with DPX.
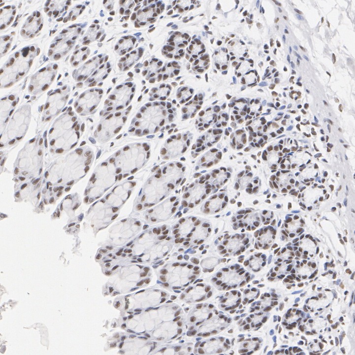
HA751219_5.jpg Fig5: Immunohistochemical analysis of paraffin-embedded human stomach tissue with Rabbit anti-VIRMA antibody (HA751219) at 1/200 dilution.

The section was pre-treated using heat mediated antigen retrieval with Tris-EDTA buffer (pH 9.0) for 20 minutes. The tissues were blocked in 1% BSA for 20 minutes at room temperature, washed with ddH2O and PBS, and then probed with the primary antibody (HA751219) at 1/200 dilution for 1 hour at room temperature. The detection was performed using an HRP conjugated compact polymer system. DAB was used as the chromogen. Tissues were counterstained with hematoxylin and mounted with DPX.
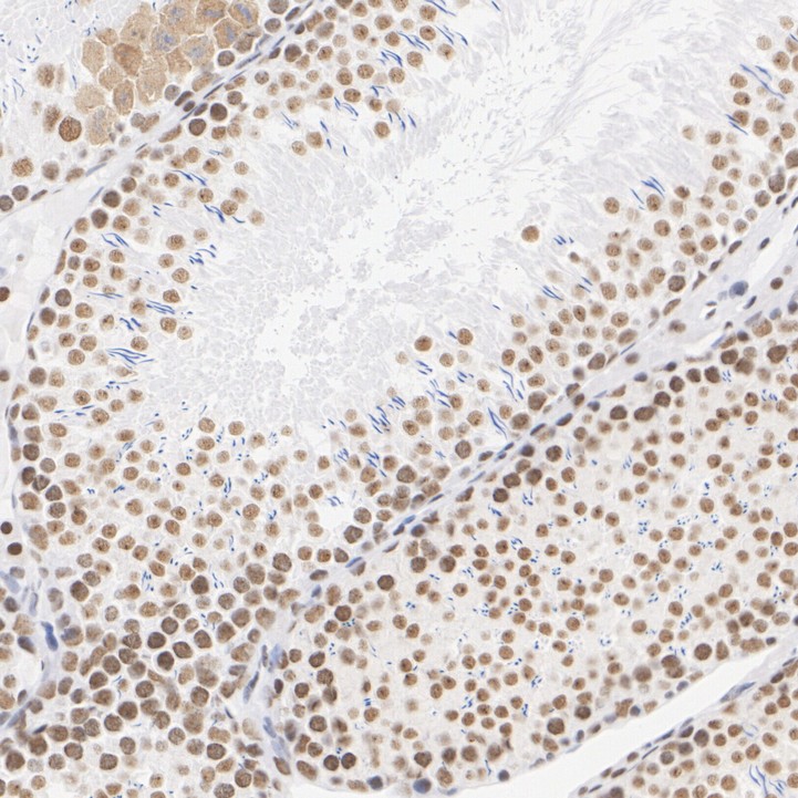
HA751219_6.jpg Fig6: Immunohistochemical analysis of paraffin-embedded human testis tissue with Rabbit anti-VIRMA antibody (HA751219) at 1/1,000 dilution.

The section was pre-treated using heat mediated antigen retrieval with Tris-EDTA buffer (pH 9.0) for 20 minutes. The tissues were blocked in 1% BSA for 20 minutes at room temperature, washed with ddH2O and PBS, and then probed with the primary antibody (HA751219) at 1/1,000 dilution for 1 hour at room temperature. The detection was performed using an HRP conjugated compact polymer system. DAB was used as the chromogen. Tissues were counterstained with hematoxylin and mounted with DPX.
HA751219_7.jpg Fig7: Immunohistochemical analysis of paraffin-embedded rat stomach tissue with Rabbit anti-VIRMA antibody (HA751219) at 1/200 dilution.

The section was pre-treated using heat mediated antigen retrieval with Tris-EDTA buffer (pH 9.0) for 20 minutes. The tissues were blocked in 1% BSA for 20 minutes at room temperature, washed with ddH2O and PBS, and then probed with the primary antibody (HA751219) at 1/200 dilution for 1 hour at room temperature. The detection was performed using an HRP conjugated compact polymer system. DAB was used as the chromogen. Tissues were counterstained with hematoxylin and mounted with DPX.
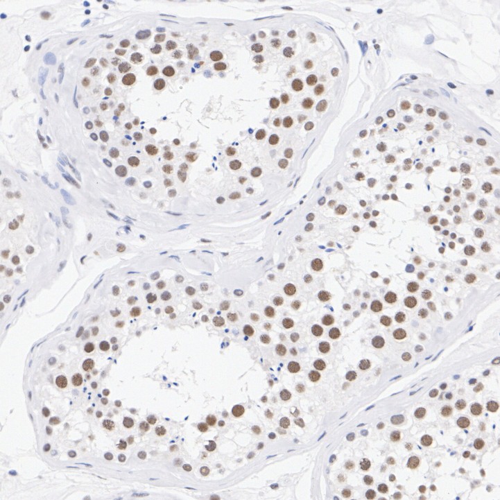
HA751219_8.jpg Fig8: Immunohistochemical analysis of paraffin-embedded rat testis tissue with Rabbit anti-VIRMA antibody (HA751219) at 1/1,000 dilution.

The section was pre-treated using heat mediated antigen retrieval with Tris-EDTA buffer (pH 9.0) for 20 minutes. The tissues were blocked in 1% BSA for 20 minutes at room temperature, washed with ddH2O and PBS, and then probed with the primary antibody (HA751219) at 1/1,000 dilution for 1 hour at room temperature. The detection was performed using an HRP conjugated compact polymer system. DAB was used as the chromogen. Tissues were counterstained with hematoxylin and mounted with DPX.
HA751219_9.jpg Fig9: Flow cytometric analysis of HeLa cells labeling VIRMA.

Cells were fixed and permeabilized. Then stained with the primary antibody (HA751219, 1/1,000) (red) compared with Rabbit IgG Isotype Control (green). After incubation of the primary antibody at +4℃ for an hour, the cells were stained with a iFluor™ 488 conjugate-Goat anti-Rabbit IgG Secondary antibody (HA1121) at 1/1,000 dilution for 30 minutes at +4℃. Unlabelled sample was used as a control (cells without incubation with primary antibody; black).
HA751219_10.jpg Fig10: VIRMA was immunoprecipitated from 0.2 mg K-562 cell lysate with HA751219 at 2 µg/10 µl beads. Western blot was performed from the immunoprecipitate using HA751219 at 1/1,000 dilution. Mouse Anti-Rabbit IgG kappa light chain secondary antibody (M1208-2) at 1/5,000 dilution was used for 1 hour at room temperature.

Lane 1: K-562 cell lysate (input)
Lane 2: HA751219 IP in K-562 cell lysate
Lane 3: Rabbit IgG instead of HA751219 in K-562 cell lysate

Blocking/Dilution buffer: 5% NFDM/TBST
Exposure time: 41 seconds; ECL: K1801
Note: All products are “FOR RESEARCH USE ONLY AND ARE NOT INTENDED FOR DIAGNOSTIC OR THERAPEUTIC USE”.