CGRP Recombinant Rabbit Monoclonal Antibody [PSH08-45]
cat.: HA751220
Product Type: Recombinant Rabbit monoclonal IgG, primary antibodies
Species reactivity: Human, Mouse, Rat
Applications: WB, IF-Cell, IHC-P, FC, IHC-Fr
Clonality: Monoclonal
Clone number: PSH08-45
Form: Liquid
Storage condition: Store at +4℃ after thawing. Aliquot store at -20℃. Avoid repeated freeze / thaw cycles.
Storage buffer: 1*PBS (pH7.4).
Concentration: 1ug/ul
Purification: Protein A affinity purified.
Molecular weight: Predicted band size: 14 kDa
Isotype: IgG
Immunogen: Recombinant protein within rat CGRP aa 1-128.
Positive control: TT cell lysate, human brain tissue, mouse spinal cord tissue, rat spinal cord tissue, mouse colon tissue, rat colon tissue, TT.
Subcellular location: Secreted.
Recommended Dilutions:
  WB
  IF-Cell
  IHC-P
  FC
  IHC-Fr

1:2,000
1:100
1:200-1:1,000
1:10,000
1:500
Uniprot #: SwissProt: P06881 Human | P10092 Human | P70160 Mouse | Q99JA0 Mouse | P01256 Rat | P01257 Rat
Alternative names: Calcitonin/calcitonin related polypeptide alpha Alpha type CGRP Beta type CGRP CALC1 CALC2 CALCA CALCB Calcitonin 1 Calcitonin 2 Calcitonin gene related peptide I Calcitonin gene related peptide II Calcitonin related polypeptide alpha Calcitonin related polypeptide beta CGRP CGRP I CGRP II CGRP1 CGRP2 CT Katacalcin KC
Images
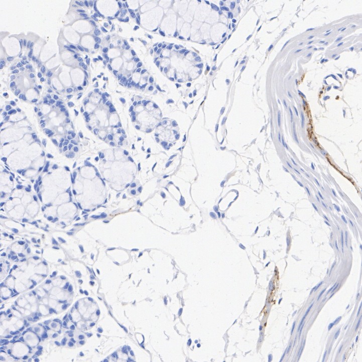
HA751220_1.jpg Fig1: Application: IHC-Fr

Species: Mouse

Site: Colon

Sample: Frozen section

Antibody concentration: 1/500

Antigen retrieval: Not required
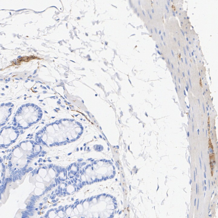
HA751220_2.jpg Fig2: Application: IHC-Fr

Species: Rat

Site: Colon

Sample: Frozen section

Antibody concentration: 1/500

Antigen retrieval: Not required
HA751220_3.jpg Fig3: Western blot analysis of CGRP on different lysates with Rabbit anti-CGRP antibody (HA751220) at 1/2,000 dilution.

Lane 1: TT cell lysate
Lane 2: HeLa cell lysate (negative)

Lysates/proteins at 20 µg/Lane.

Predicted band size: 14 kDa
Observed band size: 10 kDa

Exposure time: 1 minute; ECL: K1802;

4-20% SDS-PAGE gel.

Proteins were transferred to a PVDF membrane and blocked with 5% NFDM/TBST for 1 hour at room temperature. The primary antibody (HA751220) at 1/2,000 dilution was used in 5% NFDM/TBST at room temperature for 2 hours. Goat Anti-Rabbit IgG - HRP Secondary Antibody (HA1001) at 1/50,000 dilution was used for 1 hour at room temperature.
HA751220_4.jpg Fig4: Western blot analysis of CGRP on different lysates with Rabbit anti-CGRP antibody (HA751220) at 1/2,000 dilution.

Lane 1: 293T transfected with empty control cell lysate
Lane 2: 293T transfected with rat CGRP cell lysate

Lysates/proteins at 15 µg/Lane.

Exposure time: 10 seconds; ECL: K1801;

4-20% SDS-PAGE gel.

Proteins were transferred to a PVDF membrane and blocked with 5% NFDM/TBST for 1 hour at room temperature. The primary antibody (HA751220) at 1/2,000 dilution was used in 5% NFDM/TBST at 4℃ overnight. Goat Anti-Rabbit IgG - HRP Secondary Antibody (HA1001) at 1/50,000 dilution was used for 1 hour at room temperature.
HA751220_5.jpg Fig5: Immunohistochemical analysis of paraffin-embedded human brain tissue with Rabbit anti-CGRP antibody (HA751220) at 1/200 dilution.

The section was pre-treated using heat mediated antigen retrieval with Tris-EDTA buffer (pH 9.0) for 20 minutes. The tissues were blocked in 1% BSA for 20 minutes at room temperature, washed with ddH2O and PBS, and then probed with the primary antibody (HA751220) at 1/200 dilution for 1 hour at room temperature. The detection was performed using an HRP conjugated compact polymer system. DAB was used as the chromogen. Tissues were counterstained with hematoxylin and mounted with DPX.
HA751220_6.jpg Fig6: Immunohistochemical analysis of paraffin-embedded mouse spinal cord tissue with Rabbit anti-CGRP antibody (HA751220) at 1/1,000 dilution.

The section was pre-treated using heat mediated antigen retrieval with Tris-EDTA buffer (pH 9.0) for 20 minutes. The tissues were blocked in 1% BSA for 20 minutes at room temperature, washed with ddH2O and PBS, and then probed with the primary antibody (HA751220) at 1/1,000 dilution for 1 hour at room temperature. The detection was performed using an HRP conjugated compact polymer system. DAB was used as the chromogen. Tissues were counterstained with hematoxylin and mounted with DPX.
HA751220_7.jpg Fig7: Immunohistochemical analysis of paraffin-embedded rat spinal cord tissue with Rabbit anti-CGRP antibody (HA751220) at 1/1,000 dilution.

The section was pre-treated using heat mediated antigen retrieval with Tris-EDTA buffer (pH 9.0) for 20 minutes. The tissues were blocked in 1% BSA for 20 minutes at room temperature, washed with ddH2O and PBS, and then probed with the primary antibody (HA751220) at 1/1,000 dilution for 1 hour at room temperature. The detection was performed using an HRP conjugated compact polymer system. DAB was used as the chromogen. Tissues were counterstained with hematoxylin and mounted with DPX.
HA751220_8.jpg Fig8: Immunohistochemical analysis of paraffin-embedded mouse colon tissue with Rabbit anti-CGRP antibody (HA751220) at 1/1,000 dilution.

The section was pre-treated using heat mediated antigen retrieval with Tris-EDTA buffer (pH 9.0) for 20 minutes. The tissues were blocked in 1% BSA for 20 minutes at room temperature, washed with ddH2O and PBS, and then probed with the primary antibody (HA751220) at 1/1,000 dilution for 1 hour at room temperature. The detection was performed using an HRP conjugated compact polymer system. DAB was used as the chromogen. Tissues were counterstained with hematoxylin and mounted with DPX.
HA751220_9.jpg Fig9: Immunohistochemical analysis of paraffin-embedded rat colon tissue with Rabbit anti-CGRP antibody (HA751220) at 1/1,000 dilution.

The section was pre-treated using heat mediated antigen retrieval with Tris-EDTA buffer (pH 9.0) for 20 minutes. The tissues were blocked in 1% BSA for 20 minutes at room temperature, washed with ddH2O and PBS, and then probed with the primary antibody (HA751220) at 1/1,000 dilution for 1 hour at room temperature. The detection was performed using an HRP conjugated compact polymer system. DAB was used as the chromogen. Tissues were counterstained with hematoxylin and mounted with DPX.
HA751220_10.jpg Fig10: Immunocytochemistry analysis of TT (positive) and HeLa (negative) labeling CGRP with Rabbit anti-CGRP antibody (HA751220) at 1/100 dilution.

Cells were fixed in 4% paraformaldehyde for 15 minutes at room temperature, permeabilized with 0.1% Triton X-100 in PBS for 15 minutes at room temperature, then blocked with 1% BSA in 10% negative goat serum for 1 hour at room temperature. Cells were then incubated with Rabbit anti-CGRP antibody (HA751220) at 1/100 dilution in 1% BSA in PBST overnight at 4 ℃. Goat Anti-Rabbit IgG H&L (iFluor™ 488, HA1121) was used as the secondary antibody at 1/1,000 dilution. PBS instead of the primary antibody was used as the secondary antibody only control. Nuclear DNA was labelled in blue with DAPI.

Beta tubulin (HA601187, red) was stained at 1/100 dilution overnight at +4℃. Goat Anti-Mouse IgG H&L (iFluor™ 594, HA1126) was used as the secondary antibody at 1/1,000 dilution.
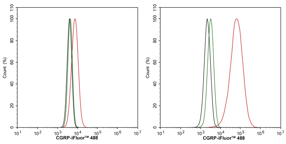
HA751220_11.jpg Fig11: Flow cytometric analysis of HeLa (left, negative) and TT (right, positive) cells labeling CGRP.

Cells were fixed and permeabilized. Then stained with the primary antibody (HA751220, 1/10,000) (red) compared with Rabbit IgG Isotype Control (green). After incubation of the primary antibody at +4℃ for an hour, the cells were stained with a iFluor™ 488 conjugate-Goat anti-Rabbit IgG Secondary antibody (HA1121) at 1/1,000 dilution for 30 minutes at +4℃. Unlabelled sample was used as a control (cells without incubation with primary antibody; black).
Note: All products are “FOR RESEARCH USE ONLY AND ARE NOT INTENDED FOR DIAGNOSTIC OR THERAPEUTIC USE”.