Presenilin 1 / PS-1 Recombinant Rabbit Monoclonal Antibody [PSH08-49]
cat.: HA751224
Product Type: Recombinant Rabbit monoclonal IgG, primary antibodies
Species reactivity: Human, Mouse, Rat, Cynomolgus monkey, Pig
Applications: IHC-P, IHC-Fr, IF-Tissue
Clonality: Monoclonal
Clone number: PSH08-49
Form: Liquid
Storage condition: Store at +4℃ after thawing. Aliquot store at -20℃. Avoid repeated freeze / thaw cycles.
Storage buffer: 1*PBS (pH7.4).
Concentration: 1ug/ul
Purification: Protein A affinity purified.
Molecular weight: Predicted band size: 53 kDa
Isotype: IgG
Immunogen: Synthetic peptide within human Presenilin 1 aa 1-50.
Positive control: Mouse brain tissue, mouse cerebellum tissue, human brain tissue, human cerebellum tissue, rat brain tissue, rat cerebellum tissue.
Subcellular location: Endoplasmic reticulum, Endoplasmic reticulum membrane, Golgi apparatus membrane, Cytoplasmic granule, Cell membrane, Cell projection, growth cone, Early endosome, Early endosome membrane, neuron projection, axon, Synapse.
Recommended Dilutions:
  IHC-P
  IHC-Fr
  IF-Tissue

1:5,000
1:500
1:500-1:1,000
Uniprot #: SwissProt: P49768 Human | P49769 Mouse | P97887 Rat
Alternative names: AD3 Ad3h FAD Homo Sapiens Clone CC44 Senilin 1 Presenilin-1 CTF12 Protein S182 PS 1 PS-1 PS1-CTF12 PSEN1 PSN1_HUMAN PSNL1 S182
Images
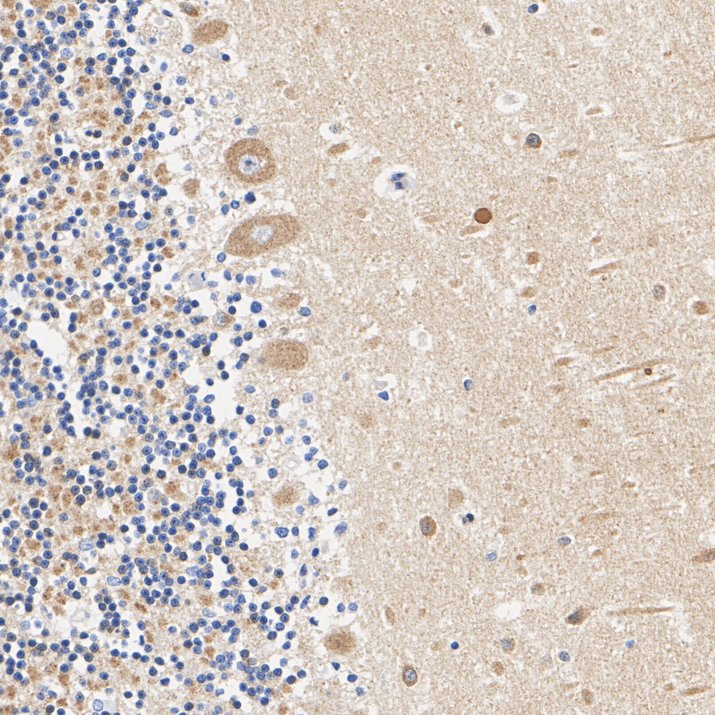
HA751224_1.jpg Fig1: Application: IHC-Fr

Species: Mouse

Site: Cerebral cortex

Sample: Frozen section

Antibody concentration: 1/500

Antigen retrieval: Not required
HA751224_2.jpg Fig2: Application: IHC-Fr

Species: Rat

Site: Cerebral cortex

Sample: Frozen section

Antibody concentration: 1/500

Antigen retrieval: Not required
HA751224_3.jpg Fig3: Immunohistochemical analysis of paraffin-embedded mouse brain tissue with Rabbit anti-Presenilin 1 / PS-1 antibody (HA751224) at 1/5,000 dilution.

The section was pre-treated using heat mediated antigen retrieval with sodium citrate buffer (pH 6.0) (high pressure) for 2 minutes. The tissues were blocked in 1% BSA for 20 minutes at room temperature, washed with ddH2O and PBS, and then probed with the primary antibody (HA751224) at 1/5,000 dilution for 1 hour at room temperature. The detection was performed using an HRP conjugated compact polymer system. DAB was used as the chromogen. Tissues were counterstained with hematoxylin and mounted with DPX.
HA751224_4.jpg Fig4: Immunohistochemical analysis of paraffin-embedded mouse cerebellum tissue with Rabbit anti-Presenilin 1 / PS-1 antibody (HA751224) at 1/5,000 dilution.

The section was pre-treated using heat mediated antigen retrieval with sodium citrate buffer (pH 6.0) (high pressure) for 2 minutes. The tissues were blocked in 1% BSA for 20 minutes at room temperature, washed with ddH2O and PBS, and then probed with the primary antibody (HA751224) at 1/5,000 dilution for 1 hour at room temperature. The detection was performed using an HRP conjugated compact polymer system. DAB was used as the chromogen. Tissues were counterstained with hematoxylin and mounted with DPX.
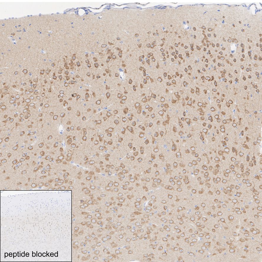
HA751224_5.jpg Fig5: Immunohistochemical analysis of paraffin-embedded human brain tissue with Rabbit anti-Presenilin 1 / PS-1 antibody (HA751224) at 1/5,000 dilution.

The section was pre-treated using heat mediated antigen retrieval with sodium citrate buffer (pH 6.0) (high pressure) for 2 minutes. The tissues were blocked in 1% BSA for 20 minutes at room temperature, washed with ddH2O and PBS, and then probed with the primary antibody (HA751224) at 1/5,000 dilution for 1 hour at room temperature. The detection was performed using an HRP conjugated compact polymer system. DAB was used as the chromogen. Tissues were counterstained with hematoxylin and mounted with DPX.
HA751224_6.jpg Fig6: Immunohistochemical analysis of paraffin-embedded human cerebellum tissue with Rabbit anti-Presenilin 1 / PS-1 antibody (HA751224) at 1/5,000 dilution.

The section was pre-treated using heat mediated antigen retrieval with sodium citrate buffer (pH 6.0) (high pressure) for 2 minutes. The tissues were blocked in 1% BSA for 20 minutes at room temperature, washed with ddH2O and PBS, and then probed with the primary antibody (HA751224) at 1/5,000 dilution for 1 hour at room temperature. The detection was performed using an HRP conjugated compact polymer system. DAB was used as the chromogen. Tissues were counterstained with hematoxylin and mounted with DPX.
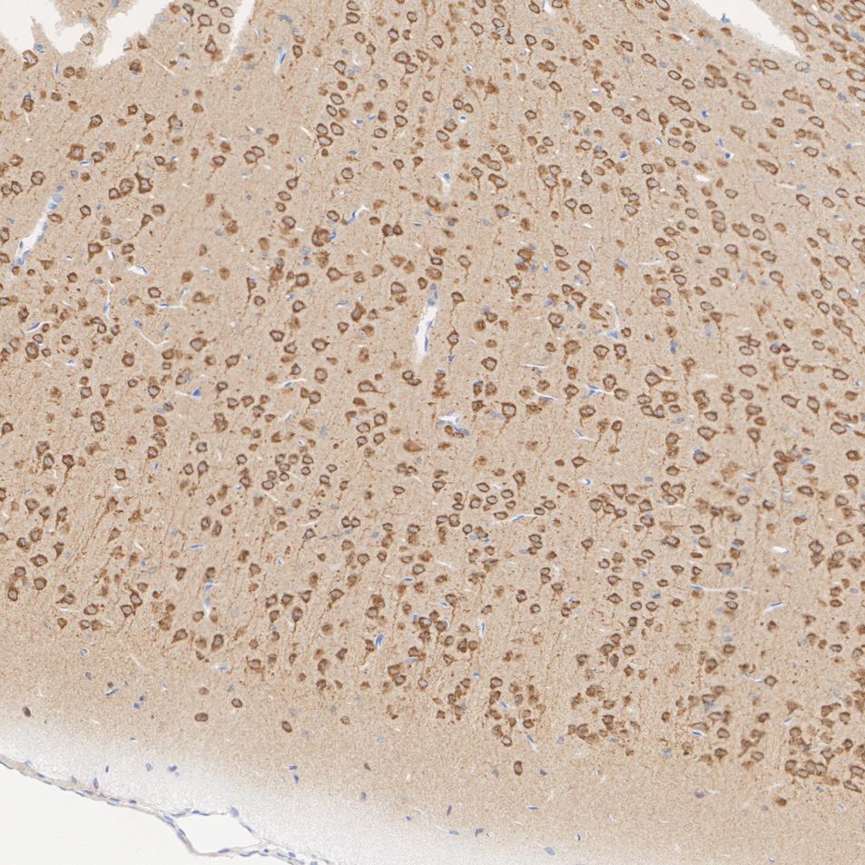
HA751224_7.jpg Fig7: Immunohistochemical analysis of paraffin-embedded rat brain tissue with Rabbit anti-Presenilin 1 / PS-1 antibody (HA751224) at 1/5,000 dilution.

The section was pre-treated using heat mediated antigen retrieval with sodium citrate buffer (pH 6.0) (high pressure) for 2 minutes. The tissues were blocked in 1% BSA for 20 minutes at room temperature, washed with ddH2O and PBS, and then probed with the primary antibody (HA751224) at 1/5,000 dilution for 1 hour at room temperature. The detection was performed using an HRP conjugated compact polymer system. DAB was used as the chromogen. Tissues were counterstained with hematoxylin and mounted with DPX.
HA751224_8.jpg Fig8: Immunohistochemical analysis of paraffin-embedded rat cerebellum tissue with Rabbit anti-Presenilin 1 / PS-1 antibody (HA751224) at 1/5,000 dilution.

The section was pre-treated using heat mediated antigen retrieval with sodium citrate buffer (pH 6.0) (high pressure) for 2 minutes. The tissues were blocked in 1% BSA for 20 minutes at room temperature, washed with ddH2O and PBS, and then probed with the primary antibody (HA751224) at 1/5,000 dilution for 1 hour at room temperature. The detection was performed using an HRP conjugated compact polymer system. DAB was used as the chromogen. Tissues were counterstained with hematoxylin and mounted with DPX.
Note: All products are “FOR RESEARCH USE ONLY AND ARE NOT INTENDED FOR DIAGNOSTIC OR THERAPEUTIC USE”.