PKA C-alpha Recombinant Rabbit Monoclonal Antibody [PSH08-57]
cat.: HA751232
Product Type: Recombinant Rabbit monoclonal IgG, primary antibodies
Species reactivity: Human, Mouse, Rat, Monkey
Applications: WB, IHC-P, IF-Cell, FC, IP
Clonality: Monoclonal
Clone number: PSH08-57
Form: Liquid
Storage condition: Store at +4℃ after thawing. Aliquot store at -20℃. Avoid repeated freeze / thaw cycles.
Storage buffer: 1*PBS (pH7.4).
Concentration: 1ug/ul
Purification: Protein A affinity purified.
Molecular weight: Predicted band size: 41 kDa
Isotype: IgG
Immunogen: Recombinant protein within human PKA C-alpha aa 1-351.
Positive control: HEK-293 cell lysate, PC-3 cell lysate, MCF7 cell lysate, PC-12 cell lysate, C6 cell lysate, COS-1 cell lysate, NIH/3T3 cell lysate, human brain tissue, human stomach tissue, human testis tissue, mouse testis tissue, rat testis tissue, MCF7, NIH/3T3, C6, HEK-293.
Subcellular location: Cytoplasm, Cell membrane, Membranem Nucleus, Mitochondrion.
Recommended Dilutions:
  WB
  IHC-P
  IF-Cell
  FC
  IP

1:2,000
1:200-1:1,000
1:50
1:1,000
1-2μg/sample
Uniprot #: SwissProt: P17612 Human | P05132 Mouse | P27791 Rat
Alternative names: cAMP-dependent protein kinase catalytic subunit alpha PKA C-alpha PRKACA PKACA
Images
HA751232_1.jpg Fig1: Western blot analysis of PKA C-alpha on different lysates with Rabbit anti-PKA C-alpha antibody (HA751232) at 1/2,000 dilution.

Lane 1: HEK-293 cell lysate
Lane 2: PC-3 cell lysate
Lane 3: MCF7 cell lysate
Lane 4: PC-12 cell lysate
Lane 5: C6 cell lysate
Lane 6: COS-1 cell lysate

Lysates/proteins at 15 µg/Lane.

Predicted band size: 41 kDa
Observed band size: 41 kDa

Exposure time: 20 seconds; ECL: K1801;
4-20% SDS-PAGE gel.

Proteins were transferred to a PVDF membrane and blocked with 5% NFDM/TBST for 1 hour at room temperature. The primary antibody (HA751232) at 1/2,000 dilution was used in 5% NFDM/TBST at 4℃ overnight. Goat Anti-Rabbit IgG - HRP Secondary Antibody (HA1001) at 1/50,000 dilution was used for 1 hour at room temperature.
HA751232_2.jpg Fig2: Western blot analysis of PKA C-alpha on different lysates with Rabbit anti-PKA C-alpha antibody (HA751232) at 1/2,000 dilution.

Lane 1: HEK-293 cell lysate
Lane 2: NIH/3T3 cell lysate
Lane 3: C6 cell lysate

Lysates/proteins at 20 µg/Lane.

Predicted band size: 41 kDa
Observed band size: 41 kDa

Exposure time: 10 seconds; ECL: K1801;
4-20% SDS-PAGE gel.

Proteins were transferred to a PVDF membrane and blocked with 5% NFDM/TBST for 1 hour at room temperature. The primary antibody (HA751232) at 1/2,000 dilution was used in 5% NFDM/TBST at 4℃ overnight. Goat Anti-Rabbit IgG - HRP Secondary Antibody (HA1001) at 1/50,000 dilution was used for 1 hour at room temperature.
HA751232_3.jpg Fig3: Immunohistochemical analysis of paraffin-embedded human brain tissue with Rabbit anti-PKA C-alpha antibody (HA751232) at 1/1,000 dilution.

The section was pre-treated using heat mediated antigen retrieval with Tris-EDTA buffer (pH 9.0) for 20 minutes. The tissues were blocked in 1% BSA for 20 minutes at room temperature, washed with ddH2O and PBS, and then probed with the primary antibody (HA751232) at 1/1,000 dilution for 1 hour at room temperature. The detection was performed using an HRP conjugated compact polymer system. DAB was used as the chromogen. Tissues were counterstained with hematoxylin and mounted with DPX.
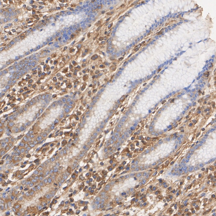
HA751232_4.jpg Fig4: Immunohistochemical analysis of paraffin-embedded human stomach tissue with Rabbit anti-PKA C-alpha antibody (HA751232) at 1/200 dilution.

The section was pre-treated using heat mediated antigen retrieval with Tris-EDTA buffer (pH 9.0) for 20 minutes. The tissues were blocked in 1% BSA for 20 minutes at room temperature, washed with ddH2O and PBS, and then probed with the primary antibody (HA751232) at 1/200 dilution for 1 hour at room temperature. The detection was performed using an HRP conjugated compact polymer system. DAB was used as the chromogen. Tissues were counterstained with hematoxylin and mounted with DPX.
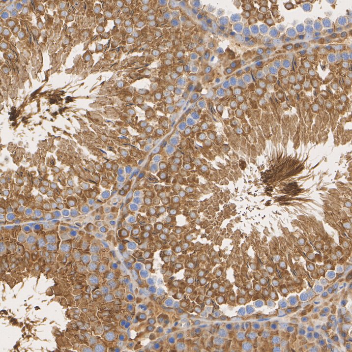
HA751232_5.jpg Fig5: Immunohistochemical analysis of paraffin-embedded human testis tissue with Rabbit anti-PKA C-alpha antibody (HA751232) at 1/1,000 dilution.

The section was pre-treated using heat mediated antigen retrieval with Tris-EDTA buffer (pH 9.0) for 20 minutes. The tissues were blocked in 1% BSA for 20 minutes at room temperature, washed with ddH2O and PBS, and then probed with the primary antibody (HA751232) at 1/1,000 dilution for 1 hour at room temperature. The detection was performed using an HRP conjugated compact polymer system. DAB was used as the chromogen. Tissues were counterstained with hematoxylin and mounted with DPX.
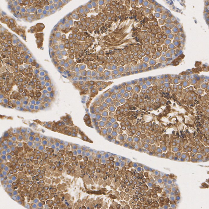
HA751232_6.jpg Fig6: Immunohistochemical analysis of paraffin-embedded mouse testis tissue with Rabbit anti-PKA C-alpha antibody (HA751232) at 1/1,000 dilution.

The section was pre-treated using heat mediated antigen retrieval with Tris-EDTA buffer (pH 9.0) for 20 minutes. The tissues were blocked in 1% BSA for 20 minutes at room temperature, washed with ddH2O and PBS, and then probed with the primary antibody (HA751232) at 1/1,000 dilution for 1 hour at room temperature. The detection was performed using an HRP conjugated compact polymer system. DAB was used as the chromogen. Tissues were counterstained with hematoxylin and mounted with DPX.
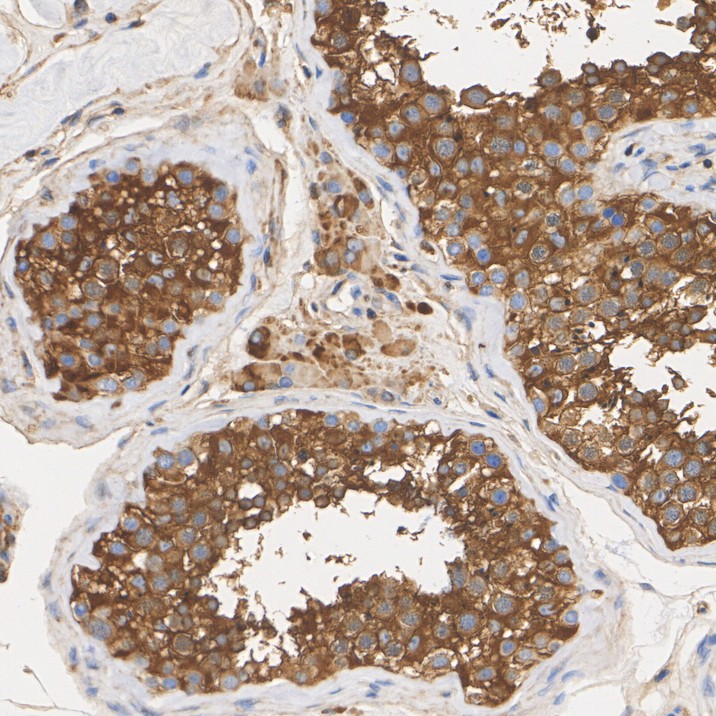
HA751232_7.jpg Fig7: Immunohistochemical analysis of paraffin-embedded rat testis tissue with Rabbit anti-PKA C-alpha antibody (HA751232) at 1/1,000 dilution.

The section was pre-treated using heat mediated antigen retrieval with Tris-EDTA buffer (pH 9.0) for 20 minutes. The tissues were blocked in 1% BSA for 20 minutes at room temperature, washed with ddH2O and PBS, and then probed with the primary antibody (HA751232) at 1/1,000 dilution for 1 hour at room temperature. The detection was performed using an HRP conjugated compact polymer system. DAB was used as the chromogen. Tissues were counterstained with hematoxylin and mounted with DPX.
HA751232_8.jpg Fig8: Immunocytochemistry analysis of MCF7 cells labeling PKA C-alpha with Rabbit anti-PKA C-alpha antibody (HA751232) at 1/50 dilution.

Cells were fixed in 4% paraformaldehyde for 15 minutes at room temperature, permeabilized with 0.1% Triton X-100 in PBS for 15 minutes at room temperature, then blocked with 1% BSA in 10% negative goat serum for 1 hour at room temperature. Cells were then incubated with Rabbit anti-PKA C-alpha antibody (HA751232) at 1/50 dilution in 1% BSA in PBST overnight at 4 ℃. Goat Anti-Rabbit IgG H&L (iFluor™ 488, HA1121) was used as the secondary antibody at 1/1,000 dilution. PBS instead of the primary antibody was used as the secondary antibody only control. Nuclear DNA was labelled in blue with DAPI.

Beta tubulin (HA601187, red) was stained at 1/100 dilution overnight at +4℃. Goat Anti-Mouse IgG H&L (iFluor™ 594, HA1126) was used as the secondary antibody at 1/1,000 dilution.
HA751232_9.jpg Fig9: Immunocytochemistry analysis of NIH/3T3 cells labeling PKA C-alpha with Rabbit anti-PKA C-alpha antibody (HA751232) at 1/50 dilution.

Cells were fixed in 4% paraformaldehyde for 15 minutes at room temperature, permeabilized with 0.1% Triton X-100 in PBS for 15 minutes at room temperature, then blocked with 1% BSA in 10% negative goat serum for 1 hour at room temperature. Cells were then incubated with Rabbit anti-PKA C-alpha antibody (HA751232) at 1/50 dilution in 1% BSA in PBST overnight at 4 ℃. Goat Anti-Rabbit IgG H&L (iFluor™ 488, HA1121) was used as the secondary antibody at 1/1,000 dilution. PBS instead of the primary antibody was used as the secondary antibody only control. Nuclear DNA was labelled in blue with DAPI.

Beta tubulin (HA601187, red) was stained at 1/100 dilution overnight at +4℃. Goat Anti-Mouse IgG H&L (iFluor™ 594, HA1126) was used as the secondary antibody at 1/1,000 dilution.
HA751232_10.jpg Fig10: Immunocytochemistry analysis of C6 cells labeling PKA C-alpha with Rabbit anti-PKA C-alpha antibody (HA751232) at 1/50 dilution.

Cells were fixed in 4% paraformaldehyde for 15 minutes at room temperature, permeabilized with 0.1% Triton X-100 in PBS for 15 minutes at room temperature, then blocked with 1% BSA in 10% negative goat serum for 1 hour at room temperature. Cells were then incubated with Rabbit anti-PKA C-alpha antibody (HA751232) at 1/50 dilution in 1% BSA in PBST overnight at 4 ℃. Goat Anti-Rabbit IgG H&L (iFluor™ 488, HA1121) was used as the secondary antibody at 1/1,000 dilution. PBS instead of the primary antibody was used as the secondary antibody only control. Nuclear DNA was labelled in blue with DAPI.

Beta tubulin (HA601187, red) was stained at 1/100 dilution overnight at +4℃. Goat Anti-Mouse IgG H&L (iFluor™ 594, HA1126) was used as the secondary antibody at 1/1,000 dilution.
HA751232_11.jpg Fig11: Flow cytometric analysis of HEK-293 cells labeling PKA C-alpha.

Cells were fixed and permeabilized. Then stained with the primary antibody (HA751232, 1/1,000) (red) compared with Rabbit IgG Isotype Control (green). After incubation of the primary antibody at +4℃ for an hour, the cells were stained with a iFluor™ 488 conjugate-Goat anti-Rabbit IgG Secondary antibody (HA1121) at 1/1,000 dilution for 30 minutes at +4℃. Unlabelled sample was used as a control (cells without incubation with primary antibody; black).
HA751232_12.jpg Fig12: Flow cytometric analysis of NIH/3T3 cells labeling PKA C-alpha.

Cells were fixed and permeabilized. Then stained with the primary antibody (HA751232, 1/1,000) (red) compared with Rabbit IgG Isotype Control (green). After incubation of the primary antibody at +4℃ for an hour, the cells were stained with a iFluor™ 488 conjugate-Goat anti-Rabbit IgG Secondary antibody (HA1121) at 1/1,000 dilution for 30 minutes at +4℃. Unlabelled sample was used as a control (cells without incubation with primary antibody; black).
HA751232_13.jpg Fig13: Flow cytometric analysis of C6 cells labeling PKA C-alpha.

Cells were fixed and permeabilized. Then stained with the primary antibody (HA751232, 1/1,000) (red) compared with Rabbit IgG Isotype Control (green). After incubation of the primary antibody at +4℃ for an hour, the cells were stained with a iFluor™ 488 conjugate-Goat anti-Rabbit IgG Secondary antibody (HA1121) at 1/1,000 dilution for 30 minutes at +4℃. Unlabelled sample was used as a control (cells without incubation with primary antibody; black).
HA751232_14.jpg Fig14: PKA C-alpha was immunoprecipitated from 0.2 mg HEK-293 cell lysate with HA751232 at 2 µg/10 µl beads. Western blot was performed from the immunoprecipitate using HA751232 at 1/2,000 dilution. HRP Conjugated Anti-Rabbit IgG for IP Nano-secondary antibody at 1/5,000 dilution was used for 1 hour at room temperature.

Lane 1: HEK-293 cell lysate (input)
Lane 2: HA751232 IP in HEK-293 cell lysate
Lane 3: Rabbit IgG instead of HA751232 in HEK-293 cell lysate

Blocking/Dilution buffer: 5% NFDM/TBST
Exposure time: 3 minutes; ECL: K1801
Note: All products are “FOR RESEARCH USE ONLY AND ARE NOT INTENDED FOR DIAGNOSTIC OR THERAPEUTIC USE”.