PINK1 Recombinant Rabbit Monoclonal Antibody [PSH08-69]
cat.: HA751234
Product Type: Recombinant Rabbit monoclonal IgG, primary antibodies
Species reactivity: Human, Mouse, Rat, Cynomolgus monkey, Pig
Applications: WB, IHC-P, IHC-Fr
Clonality: Monoclonal
Clone number: PSH08-69
Form: Liquid
Storage condition: Store at +4℃ after thawing. Aliquot store at -20℃. Avoid repeated freeze / thaw cycles.
Storage buffer: 1*PBS (pH7.4).
Concentration: 1ug/ul
Purification: Protein A affinity purified.
Molecular weight: Predicted band size: 63 kDa
Isotype: IgG
Immunogen: Recombinant protein within Human PINK1 aa 94-581 / 581.
Positive control: HeLa treated with 10μM CCCP for 24 hours cell lysate, MDA-MB-231 cell lysate, human kidney tissue, human brain tissue, mouse brain tissue, rat brain tissue.
Subcellular location: Mitochondrion outer membrane, Mitochondrion inner membrane, Cytoplasm, cytosol.
Recommended Dilutions:
  WB
  IHC-P
  IHC-Fr

1:2,000
1:50-1:1,000
1:500
Uniprot #: SwissProt: Q9BXM7 Human | Q99MQ3 Mouse | B5DFG1 Rat
Alternative names: BRPK FLJ27236 mitochondrial PARK 6 PARK6 Phosphatase and Tensin Homolog PINK 1 PINK1 PINK1_HUMAN Protein kinase BRPK PTEN induced putative kinase 1 PTEN induced putative kinase protein 1 PTEN-induced putative kinase protein 1 Serine/threonine kinase PINK1 mitochondrial Serine/threonine protein kinase PINK1 mitochondrial Serine/threonine-protein kinase PINK1
Images
HA751234_1.jpg Fig1: Application: IHC-Fr

Species: Mouse

Site: Cerebral cortex

Sample: Frozen section

Antibody concentration: 1/500

Antigen retrieval: The section was pre-treated using heat mediated antigen retrieval with sodium citrate buffer (pH 6.0) for about 2 minutes in microwave oven.
HA751234_2.jpg Fig2: Application: IHC-Fr

Species: Rat

Site: Cerebral cortex

Sample: Frozen section

Antibody concentration: 1/500

Antigen retrieval: The section was pre-treated using heat mediated antigen retrieval with sodium citrate buffer (pH 6.0) for about 2 minutes in microwave oven.
HA751234_3.jpg Fig3: Western blot analysis of PINK1 on different lysates with Rabbit anti-PINK1 antibody (HA751234) at 1/2,000 dilution.

Lane 1: HeLa cell lysate
Lane 2: HeLa treated with 10μM CCCP for 24 hours cell lysate
Lane 3: MDA-MB-231 cell lysate

Lysates/proteins at 20 µg/Lane.

Predicted band size: 63 kDa
Observed band size: 63 kDa

Exposure time: 10 seconds; ECL: K1802;
4-20% SDS-PAGE gel.

Proteins were transferred to a PVDF membrane and blocked with 5% NFDM/TBST for 1 hour at room temperature. The primary antibody (HA751234) at 1/2,000 dilution was used in 5% NFDM/TBST at 4℃ overnight. Goat Anti-Rabbit IgG - HRP Secondary Antibody (HA1001) at 1/50,000 dilution was used for 1 hour at room temperature.
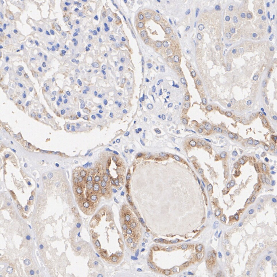
HA751234_4.jpg Fig4: Immunohistochemical analysis of paraffin-embedded human kidney tissue with Rabbit anti-PINK1 antibody (HA751234) at 1/50 dilution.

The section was pre-treated using heat mediated antigen retrieval with Tris-EDTA buffer (pH 9.0) for 20 minutes. The tissues were blocked in 1% BSA for 20 minutes at room temperature, washed with ddH2O and PBS, and then probed with the primary antibody (HA751234) at 1/50 dilution for 1 hour at room temperature. The detection was performed using an HRP conjugated compact polymer system. DAB was used as the chromogen. Tissues were counterstained with hematoxylin and mounted with DPX.
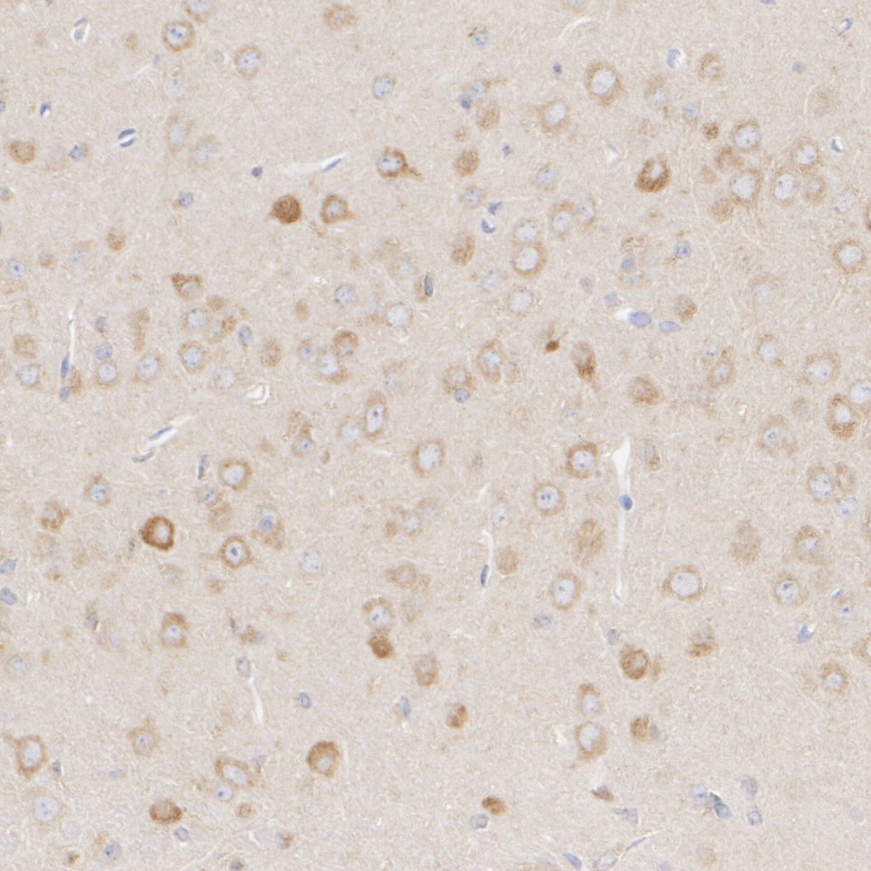
HA751234_5.jpg Fig5: Immunohistochemical analysis of paraffin-embedded human brain tissue with Rabbit anti-PINK1 antibody (HA751234) at 1/50 dilution.

The section was pre-treated using heat mediated antigen retrieval with Tris-EDTA buffer (pH 9.0) for 20 minutes. The tissues were blocked in 1% BSA for 20 minutes at room temperature, washed with ddH2O and PBS, and then probed with the primary antibody (HA751234) at 1/50 dilution for 1 hour at room temperature. The detection was performed using an HRP conjugated compact polymer system. DAB was used as the chromogen. Tissues were counterstained with hematoxylin and mounted with DPX.
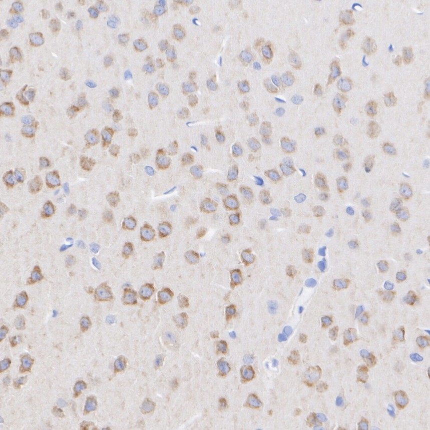
HA751234_6.jpg Fig6: Immunohistochemical analysis of paraffin-embedded mouse brain tissue with Rabbit anti-PINK1 antibody (HA751234) at 1/50 dilution.

The section was pre-treated using heat mediated antigen retrieval with Tris-EDTA buffer (pH 9.0) for 20 minutes. The tissues were blocked in 1% BSA for 20 minutes at room temperature, washed with ddH2O and PBS, and then probed with the primary antibody (HA751234) at 1/50 dilution for 1 hour at room temperature. The detection was performed using an HRP conjugated compact polymer system. DAB was used as the chromogen. Tissues were counterstained with hematoxylin and mounted with DPX.
HA751234_7.jpg Fig7: Immunohistochemical analysis of paraffin-embedded rat brain tissue with Rabbit anti-PINK1 antibody (HA751234) at 1/1,000 dilution.

The section was pre-treated using heat mediated antigen retrieval with Tris-EDTA buffer (pH 9.0) for 20 minutes. The tissues were blocked in 1% BSA for 20 minutes at room temperature, washed with ddH2O and PBS, and then probed with the primary antibody (HA751234) at 1/1,000 dilution for 1 hour at room temperature. The detection was performed using an HRP conjugated compact polymer system. DAB was used as the chromogen. Tissues were counterstained with hematoxylin and mounted with DPX.
Note: All products are “FOR RESEARCH USE ONLY AND ARE NOT INTENDED FOR DIAGNOSTIC OR THERAPEUTIC USE”.