HDAC5 Recombinant Rabbit Monoclonal Antibody [PSH08-70]
cat.: HA751235
Product Type: Recombinant Rabbit monoclonal IgG, primary antibodies
Species reactivity: Human, Mouse, Rat
Applications: WB, IHC-P, IF-Cell, IP, ChIP
Clonality: Monoclonal
Clone number: PSH08-70
Form: Liquid
Storage condition: Store at +4℃ after thawing. Aliquot store at -20℃. Avoid repeated freeze / thaw cycles.
Storage buffer: 1*PBS (pH7.4).
Concentration: 1ug/ul
Purification: Protein A affinity purified.
Molecular weight: Predicted band size: 122 kDa
Isotype: IgG
Immunogen: Synthetic peptide within human HDAC5 aa 171-220.
Positive control: THP-1 cell lysates, HepG2, NIH/3T3, C6, human stomach tissue, mouse stomach tissue, rat stomach tissue.
Subcellular location: Nucleus, Cytoplasm.
Recommended Dilutions:
  WB
  IHC-P
  IF-Cell
  IP
  ChIP

1:2,000
1:1,000
1:100
1-2μg/sample
Use 0.5~2 μg for 25 μg of chromatin.
Uniprot #: SwissProt: Q9UQL6 Human | Q9Z2V6 Mouse
Entrez Gene: 84580 Rat
Alternative names: Antigen NY CO 9 Antigen NY-CO-9 HD5 HDAC 5 HDAC5 HDAC5_HUMAN Histone deacetylase 5 NY CO 9
Images
HA751235_1.jpg Fig1: Western blot analysis of HDAC5 on THP-1 cell lysates with Rabbit anti-HDAC5 antibody (HA751235) at 1/2,000 dilution.

Lysates/proteins at 20 µg/Lane.

Predicted band size: 122 kDa
Observed band size: 150 kDa

Exposure time: 2 minutes 7 seconds; ECL: K1801;

4-20% SDS-PAGE gel.

Proteins were transferred to a PVDF membrane and blocked with 5% NFDM/TBST for 1 hour at room temperature. The primary antibody (HA751235) at 1/2,000 dilution was used in 5% NFDM/TBST at 4℃ overnight. Goat Anti-Rabbit IgG - HRP Secondary Antibody (HA1001) at 1/50,000 dilution was used for 1 hour at room temperature.
HA751235_2.jpg Fig2: Immunocytochemistry analysis of HepG2 cells labeling HDAC5 with Rabbit anti-HDAC5 antibody (HA751235) at 1/100 dilution.

Cells were fixed in 4% paraformaldehyde for 15 minutes at room temperature, permeabilized with 0.1% Triton X-100 in PBS for 15 minutes at room temperature, then blocked with 1% BSA in 10% negative goat serum for 1 hour at room temperature. Cells were then incubated with Rabbit anti-HDAC5 antibody (HA751235) at 1/100 dilution in 1% BSA in PBST overnight at 4 ℃. Goat Anti-Rabbit IgG H&L (iFluor™ 488, HA1121) was used as the secondary antibody at 1/1,000 dilution. PBS instead of the primary antibody was used as the secondary antibody only control. Nuclear DNA was labelled in blue with DAPI.

Beta tubulin (HA601187, red) was stained at 1/100 dilution overnight at +4℃. Goat Anti-Mouse IgG H&L (iFluor™ 594, HA1126) was used as the secondary antibody at 1/1,000 dilution.
HA751235_3.jpg Fig3: Immunocytochemistry analysis of NIH/3T3 cells labeling HDAC5 with Rabbit anti-HDAC5 antibody (HA751235) at 1/100 dilution.

Cells were fixed in 4% paraformaldehyde for 15 minutes at room temperature, permeabilized with 0.1% Triton X-100 in PBS for 15 minutes at room temperature, then blocked with 1% BSA in 10% negative goat serum for 1 hour at room temperature. Cells were then incubated with Rabbit anti-HDAC5 antibody (HA751235) at 1/100 dilution in 1% BSA in PBST overnight at 4 ℃. Goat Anti-Rabbit IgG H&L (iFluor™ 488, HA1121) was used as the secondary antibody at 1/1,000 dilution. PBS instead of the primary antibody was used as the secondary antibody only control. Nuclear DNA was labelled in blue with DAPI.

Beta tubulin (HA601187, red) was stained at 1/100 dilution overnight at +4℃. Goat Anti-Mouse IgG H&L (iFluor™ 594, HA1126) was used as the secondary antibody at 1/1,000 dilution.
HA751235_4.jpg Fig4: Immunocytochemistry analysis of C6 cells labeling HDAC5 with Rabbit anti-HDAC5 antibody (HA751235) at 1/100 dilution.

Cells were fixed in 4% paraformaldehyde for 15 minutes at room temperature, permeabilized with 0.1% Triton X-100 in PBS for 15 minutes at room temperature, then blocked with 1% BSA in 10% negative goat serum for 1 hour at room temperature. Cells were then incubated with Rabbit anti-HDAC5 antibody (HA751235) at 1/100 dilution in 1% BSA in PBST overnight at 4 ℃. Goat Anti-Rabbit IgG H&L (iFluor™ 488, HA1121) was used as the secondary antibody at 1/1,000 dilution. PBS instead of the primary antibody was used as the secondary antibody only control. Nuclear DNA was labelled in blue with DAPI.

Beta tubulin (HA601187, red) was stained at 1/100 dilution overnight at +4℃. Goat Anti-Mouse IgG H&L (iFluor™ 594, HA1126) was used as the secondary antibody at 1/1,000 dilution.
HA751235_5.jpg Fig5: Immunohistochemical analysis of paraffin-embedded human stomach tissue with Rabbit anti-HDAC5 antibody (HA751235) at 1/1,000 dilution.

The section was pre-treated using heat mediated antigen retrieval with sodium citrate buffer (pH 6.0) (high pressure) for 2 minutes. The tissues were blocked in 1% BSA for 20 minutes at room temperature, washed with ddH2O and PBS, and then probed with the primary antibody (HA751235) at 1/1,000 dilution for 1 hour at room temperature. The detection was performed using an HRP conjugated compact polymer system. DAB was used as the chromogen. Tissues were counterstained with hematoxylin and mounted with DPX.
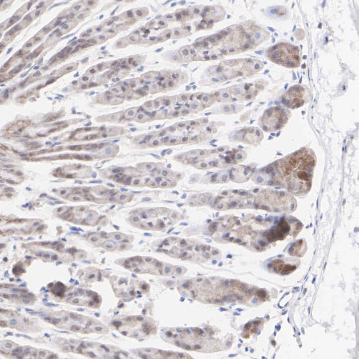
HA751235_6.jpg Fig6: Immunohistochemical analysis of paraffin-embedded mouse stomach tissue with Rabbit anti-HDAC5 antibody (HA751235) at 1/1,000 dilution.

The section was pre-treated using heat mediated antigen retrieval with sodium citrate buffer (pH 6.0) (high pressure) for 2 minutes. The tissues were blocked in 1% BSA for 20 minutes at room temperature, washed with ddH2O and PBS, and then probed with the primary antibody (HA751235) at 1/1,000 dilution for 1 hour at room temperature. The detection was performed using an HRP conjugated compact polymer system. DAB was used as the chromogen. Tissues were counterstained with hematoxylin and mounted with DPX.
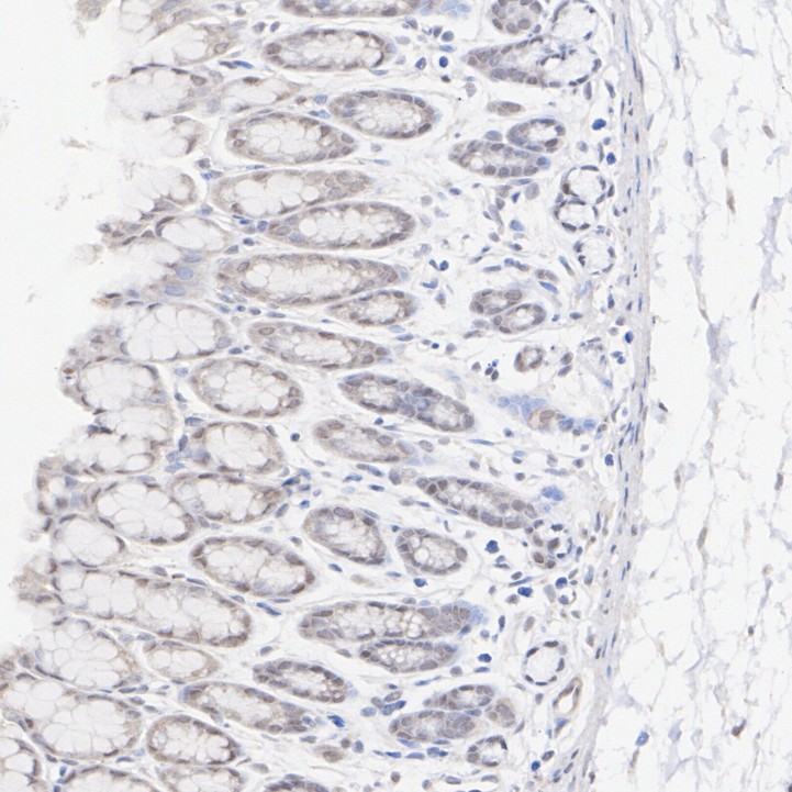
HA751235_7.jpg Fig7: Immunohistochemical analysis of paraffin-embedded rat stomach tissue with Rabbit anti-HDAC5 antibody (HA751235) at 1/1,000 dilution.

The section was pre-treated using heat mediated antigen retrieval with sodium citrate buffer (pH 6.0) (high pressure) for 2 minutes. The tissues were blocked in 1% BSA for 20 minutes at room temperature, washed with ddH2O and PBS, and then probed with the primary antibody (HA751235) at 1/1,000 dilution for 1 hour at room temperature. The detection was performed using an HRP conjugated compact polymer system. DAB was used as the chromogen. Tissues were counterstained with hematoxylin and mounted with DPX.
HA751235_8.jpg Fig8: HDAC5 was immunoprecipitated from 0.2 mg THP-1 cell lysate with HA751235 at 2 µg/10 µl beads. Western blot was performed from the immunoprecipitate using HA751235 at 1/5,000 dilution. HRP Conjugated Anti-Rabbit IgG for IP Nano-secondary antibody at 1/5,000 dilution was used for 1 hour at room temperature.

Lane 1: THP-1 cell lysate (input)
Lane 2: HA751235 IP in THP-1 cell lysate
Lane 3: Rabbit IgG instead of HA751235 in THP-1 cell lysate

Blocking/Dilution buffer: primary antibody dilution (K1803)
Exposure time: 20 seconds; ECL: K1801
HA751235_9.jpg Fig9: Chromatin immunoprecipitations were performed with cross-linked chromatin from NIH/3T3 cells with HDAC5 (HA751235) or Normal Rabbit IgG according to the ChIP protocol. The enriched DNA was quantified by real-time PCR using indicated primers. The amount of immunoprecipitated DNA in each sample is represented as signal relative to the total amount of input chromatin, which is equivalent to one.
Note: All products are “FOR RESEARCH USE ONLY AND ARE NOT INTENDED FOR DIAGNOSTIC OR THERAPEUTIC USE”.