Ghrelin Recombinant Rabbit Monoclonal Antibody [PSH08-77]
cat.: HA751242
Product Type: Recombinant Rabbit monoclonal IgG, primary antibodies
Species reactivity: Human, Mouse
Applications: IHC-P, IHC-Fr, IF-Tissue
Clonality: Monoclonal
Clone number: PSH08-77
Form: Liquid
Storage condition: Store at +4℃ after thawing. Aliquot store at -20℃. Avoid repeated freeze / thaw cycles.
Storage buffer: 1*PBS (pH7.4).
Concentration: 1ug/ul
Purification: Protein A affinity purified.
Molecular weight: Predicted band size: 13 kDa
Isotype: IgG
Immunogen: Recombinant protein within human Ghrelin aa 1-117.
Positive control: Human stomach tissue, mouse stomach tissue.
Subcellular location: Secreted.
Recommended Dilutions:
  IHC-P
  IHC-Fr
  IF-Tissue

1:25,000-1:50,000
1:500
1:1,000
Uniprot #: SwissProt: Q9UBU3 Human | Q9EQX0 Mouse
Alternative names: Appetite regulating hormone Ghrelin 27 Ghrelin 28 Ghrelin and obestatin prepropeptide Ghrelin Ghrelin/obestatin prepropeptide ghrl GHRL_HUMAN Growth hormone releasing peptide Growth hormone secretagogue Growth hormone-releasing peptide M46 protein Motilin related peptide Motilin-related peptide MTLRP Obestatin Protein M46
Images
HA751242_1.jpg Fig1: Immunofluorescence analysis of frozen mouse stomach tissue with Rabbit anti-Ghrelin antibody (HA751242) at 1/500 dilution.

The section was pre-treated using heat mediated antigen retrieval with sodium citrate buffer (pH 6.0) for about 2 minutes in microwave oven. The tissues were blocked in 10% negative goat serum for 1 hour at room temperature, washed with PBS, and then probed with the primary antibody (HA751242, green) at 1/500 dilution overnight at 4 ℃, washed with PBS. Goat Anti-Rabbit IgG H&L (iFluor™ 488, HA1121) was used as the secondary antibody at 1/1,000 dilution. Nuclei were counterstained with DAPI (blue).
HA751242_2.jpg Fig2: Immunofluorescence analysis of frozen mouse liver tissue (negative) with Rabbit anti-Ghrelin antibody (HA751242) at 1/500 dilution.

The section was pre-treated using heat mediated antigen retrieval with sodium citrate buffer (pH 6.0) for about 2 minutes in microwave oven. The tissues were blocked in 10% negative goat serum for 1 hour at room temperature, washed with PBS, and then probed with the primary antibody (HA751242, green) at 1/500 dilution overnight at 4 ℃, washed with PBS. Goat Anti-Rabbit IgG H&L (iFluor™ 488, HA1121) was used as the secondary antibody at 1/1,000 dilution. Nuclei were counterstained with DAPI (blue).
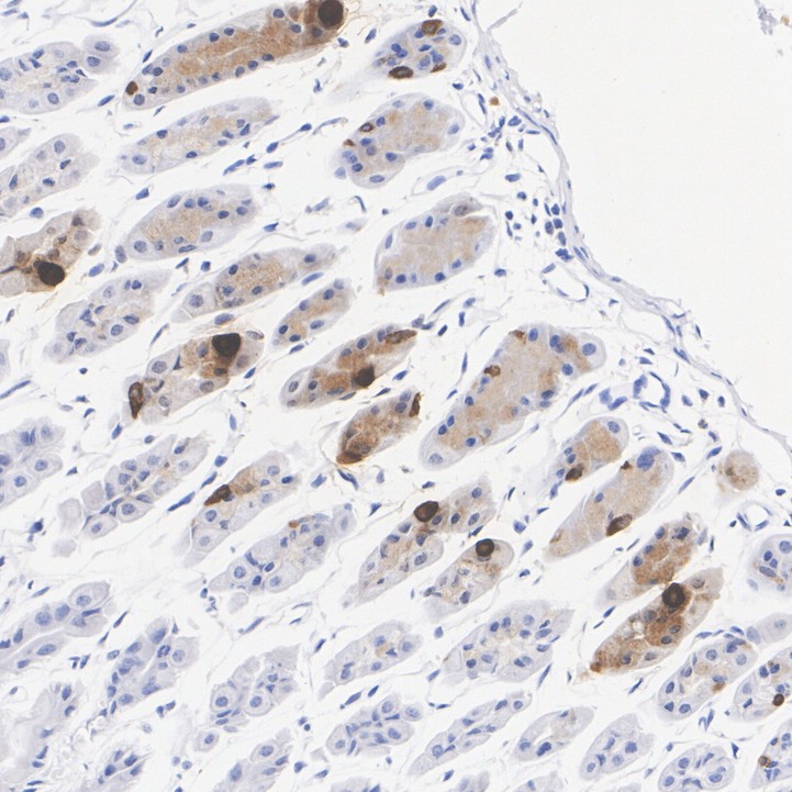
HA751242_3.jpg Fig3: Immunohistochemical analysis of paraffin-embedded human stomach tissue with Rabbit anti-Ghrelin antibody (HA751242) at 1/50,000 dilution.

The section was pre-treated using heat mediated antigen retrieval with Tris-EDTA buffer (pH 9.0) for 20 minutes. The tissues were blocked in 1% BSA for 20 minutes at room temperature, washed with ddH2O and PBS, and then probed with the primary antibody (HA751242) at 1/50,000 dilution for 1 hour at room temperature. The detection was performed using an HRP conjugated compact polymer system. DAB was used as the chromogen. Tissues were counterstained with hematoxylin and mounted with DPX.
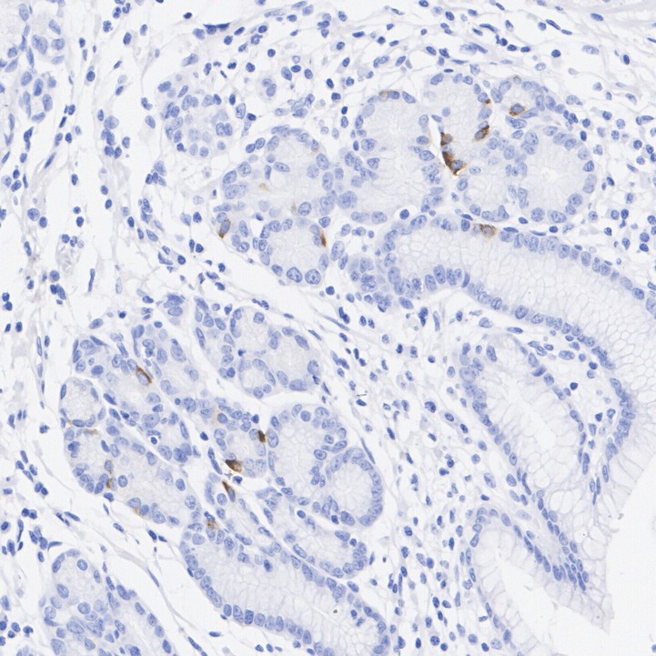
HA751242_4.jpg Fig4: Immunohistochemical analysis of paraffin-embedded mouse stomach tissue with Rabbit anti-Ghrelin antibody (HA751242) at 1/50,000 dilution.

The section was pre-treated using heat mediated antigen retrieval with Tris-EDTA buffer (pH 9.0) for 20 minutes. The tissues were blocked in 1% BSA for 20 minutes at room temperature, washed with ddH2O and PBS, and then probed with the primary antibody (HA751242) at 1/50,000 dilution for 1 hour at room temperature. The detection was performed using an HRP conjugated compact polymer system. DAB was used as the chromogen. Tissues were counterstained with hematoxylin and mounted with DPX.
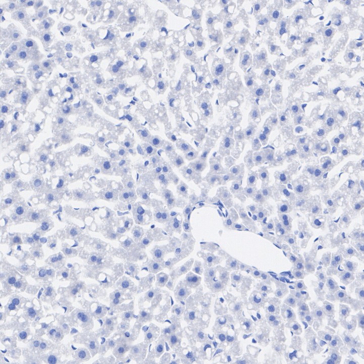
HA751242_5.jpg Fig5: Immunohistochemical analysis of paraffin-embedded mouse liver tissue (negative) with Rabbit anti-Ghrelin antibody (HA751242) at 1/25,000 dilution.

The section was pre-treated using heat mediated antigen retrieval with Tris-EDTA buffer (pH 9.0) for 20 minutes. The tissues were blocked in 1% BSA for 20 minutes at room temperature, washed with ddH2O and PBS, and then probed with the primary antibody (HA751242) at 1/25,000 dilution for 1 hour at room temperature. The detection was performed using an HRP conjugated compact polymer system. DAB was used as the chromogen. Tissues were counterstained with hematoxylin and mounted with DPX.
HA751242_6.jpg Fig6: Application: IF-Tissue

Species: Mouse

Site: stomach

Sample: Paraffin-embedded section

Antibody concentration: 1/1,000
Note: All products are “FOR RESEARCH USE ONLY AND ARE NOT INTENDED FOR DIAGNOSTIC OR THERAPEUTIC USE”.