PDIA3 / ERp57 Recombinant Rabbit Monoclonal Antibody [PSH08-79]
cat.: HA751244
Product Type: Recombinant Rabbit monoclonal IgG, primary antibodies
Species reactivity: Human, Mouse, Rat
Applications: WB, IHC-P, FC, IF-Cell
Clonality: Monoclonal
Clone number: PSH08-79
Form: Liquid
Storage condition: Store at +4℃ after thawing. Aliquot store at -20℃. Avoid repeated freeze / thaw cycles.
Storage buffer: 1*PBS (pH7.4).
Concentration: 1ug/ul
Purification: Protein A affinity purified.
Molecular weight: Predicted band size: 57 kDa
Isotype: IgG
Immunogen: Recombinant protein within human PDIA3 aa 120-370
Positive control: HepG2 cell lysate, HeLa cell lysate, HEK-293 cell lysate, U-87 MG cell lysate, RAW264.7 cell lysate, mouse liver tissue lysate, rat liver tissue lysate, U-87 MG, NIH/3T3, C6, human liver tissue, human placenta tissue, mouse liver tissue, mouse placenta tissue.
Subcellular location: Endoplasmic reticulum Endoplasmic reticulum lumen Melanosome
Recommended Dilutions:
  WB
  IHC-P
  FC
  IF-Cell

1:2,000
1:200-1:1,000
1:1,000
1:100
Uniprot #: SwissProt: P30101 Human | P27773 Mouse | P11598 Rat
Alternative names: 58 kDa glucose regulated protein 58 kDa glucose-regulated protein 58 kDa microsomal protein Disulfide isomerase ER 60 Disulfide isomerase ER-60 Endoplasmic reticulum resident protein 57 Endoplasmic reticulum resident protein 60 ER p57 ER protein 57 ER protein 60 ERp 57 ERp57 ERp60 ERp61 Glucose Regulated Protein 58 Kd GRP 57 GRP 58 GRP57 HsT17083 p58 PDIA 3 PDIA3 PDIA3_HUMAN Phospholipase C alpha PI PLC Protein disulfide isomerase A3 Protein disulfide isomerase family A member 3 Protein disulfide-isomerase A3
Images
HA751244_1.jpg Fig1: Western blot analysis of PDIA3 / ERp57 on different lysates with Rabbit anti-PDIA3 / ERp57 antibody (HA751244) at 1/2,000 dilution.

Lane 1: HepG2 cell lysate
Lane 2: HeLa cell lysate
Lane 3:HEK-293 cell lysate
Lane 4: U-87 MG cell lysate
Lane 5:RAW264.7 cell lysate
Lane 6:mouse liver tissue lysate
Lane 7: rat liver tissue lysate

Lysates/proteins at 20 µg/Lane.

Predicted band size: 57 kDa
Observed band size: 57 kDa

Exposure time: 6 seconds; ECL: K1801;
4-20% SDS-PAGE gel.

Proteins were transferred to a PVDF membrane and blocked with 5% NFDM/TBST for 1 hour at room temperature. The primary antibody (HA751244) at 1/2,000 dilution was used in 5% NFDM/TBST at room temperature for 2 hours. Goat Anti-Rabbit IgG - HRP Secondary Antibody (HA1001) at 1/50,000 dilution was used for 1 hour at room temperature.
HA751244_2.jpg Fig2: Western blot analysis of PDIA3 / ERp57 on different lysates with Rabbit anti-PDIA3 / ERp57 antibody (HA751244) at 1/1,000 dilution.

Lane 1: HAP1-parental cell lysate
Lane 2: HAP1-PDIA3 / ERp57 KD cell lysate

Lysates/proteins at 10 µg/Lane.

Predicted band size: 57 kDa
Observed band size: 57 kDa

Exposure time: 6 seconds; ECL: K1801;
4-20% SDS-PAGE gel.

Proteins were transferred to a PVDF membrane and blocked with 5% NFDM/TBST for 1 hour at room temperature. The primary antibody (HA751244) at 1/1,000 dilution was used in primary antibody dilution (K1803) at 4℃ overnight. Goat Anti-Rabbit IgG - HRP Secondary Antibody (HA1001) at 1/50,000 dilution was used for 1 hour at room temperature.
HA751244_3.jpg Fig3: Immunocytochemistry analysis of U-87 MG cells labeling PDIA3 / ERp57 with Rabbit anti-PDIA3 / ERp57 antibody (HA751244) at 1/100 dilution.

Cells were fixed in 4% paraformaldehyde for 15 minutes at room temperature, permeabilized with 0.1% Triton X-100 in PBS for 15 minutes at room temperature, then blocked with 1% BSA in 10% negative goat serum for 1 hour at room temperature. Cells were then incubated with Rabbit anti-PDIA3 / ERp57 antibody (HA751244) at 1/100 dilution in 1% BSA in PBST overnight at 4 ℃. Goat Anti-Rabbit IgG H&L (iFluor™ 488, HA1121) was used as the secondary antibody at 1/1,000 dilution. PBS instead of the primary antibody was used as the secondary antibody only control. Nuclear DNA was labelled in blue with DAPI.

Beta tubulin (HA601187, red) was stained at 1/100 dilution overnight at +4℃. Goat Anti-Mouse IgG H&L (iFluor™ 594, HA1126) was used as the secondary antibody at 1/1,000 dilution.
HA751244_4.jpg Fig4: Immunocytochemistry analysis of NIH/3T3 cells labeling PDIA3 / ERp57 with Rabbit anti-PDIA3 / ERp57 antibody (HA751244) at 1/100 dilution.

Cells were fixed in 4% paraformaldehyde for 15 minutes at room temperature, permeabilized with 0.1% Triton X-100 in PBS for 15 minutes at room temperature, then blocked with 1% BSA in 10% negative goat serum for 1 hour at room temperature. Cells were then incubated with Rabbit anti-PDIA3 / ERp57 antibody (HA751244) at 1/100 dilution in 1% BSA in PBST overnight at 4 ℃. Goat Anti-Rabbit IgG H&L (iFluor™ 488, HA1121) was used as the secondary antibody at 1/1,000 dilution. PBS instead of the primary antibody was used as the secondary antibody only control. Nuclear DNA was labelled in blue with DAPI.

Beta tubulin (HA601187, red) was stained at 1/100 dilution overnight at +4℃. Goat Anti-Mouse IgG H&L (iFluor™ 594, HA1126) was used as the secondary antibody at 1/1,000 dilution.
HA751244_5.jpg Fig5: Immunocytochemistry analysis of C6 cells labeling PDIA3 / ERp57 with Rabbit anti-PDIA3 / ERp57 antibody (HA751244) at 1/100 dilution.

Cells were fixed in 4% paraformaldehyde for 15 minutes at room temperature, permeabilized with 0.1% Triton X-100 in PBS for 15 minutes at room temperature, then blocked with 1% BSA in 10% negative goat serum for 1 hour at room temperature. Cells were then incubated with Rabbit anti-PDIA3 / ERp57 antibody (HA751244) at 1/100 dilution in 1% BSA in PBST overnight at 4 ℃. Goat Anti-Rabbit IgG H&L (iFluor™ 488, HA1121) was used as the secondary antibody at 1/1,000 dilution. PBS instead of the primary antibody was used as the secondary antibody only control. Nuclear DNA was labelled in blue with DAPI.

Beta tubulin (HA601187, red) was stained at 1/100 dilution overnight at +4℃. Goat Anti-Mouse IgG H&L (iFluor™ 594, HA1126) was used as the secondary antibody at 1/1,000 dilution.
HA751244_6.jpg Fig6: Immunohistochemical analysis of paraffin-embedded human liver tissue with Rabbit anti-PDIA3 / ERp57 antibody (HA751244) at 1/1,000 dilution.

The section was pre-treated using heat mediated antigen retrieval with Tris-EDTA buffer (pH 9.0) for 20 minutes. The tissues were blocked in 1% BSA for 20 minutes at room temperature, washed with ddH2O and PBS, and then probed with the primary antibody (HA751244) at 1/1,000 dilution for 1 hour at room temperature. The detection was performed using an HRP conjugated compact polymer system. DAB was used as the chromogen. Tissues were counterstained with hematoxylin and mounted with DPX.
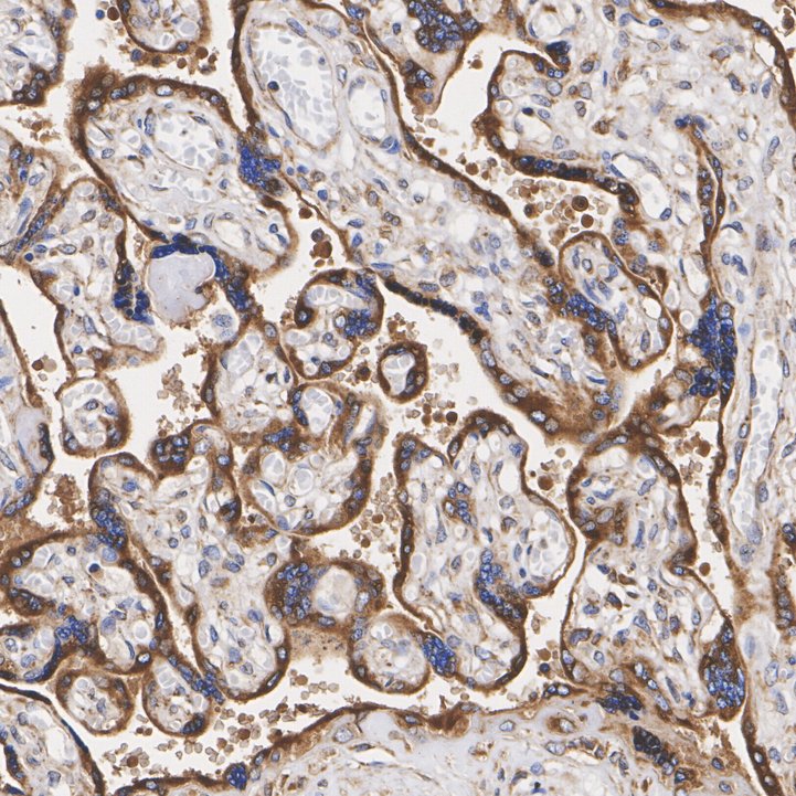
HA751244_7.jpg Fig7: Immunohistochemical analysis of paraffin-embedded human placenta tissue with Rabbit anti-PDIA3 / ERp57 antibody (HA751244) at 1/1,000 dilution.

The section was pre-treated using heat mediated antigen retrieval with Tris-EDTA buffer (pH 9.0) for 20 minutes. The tissues were blocked in 1% BSA for 20 minutes at room temperature, washed with ddH2O and PBS, and then probed with the primary antibody (HA751244) at 1/1,000 dilution for 1 hour at room temperature. The detection was performed using an HRP conjugated compact polymer system. DAB was used as the chromogen. Tissues were counterstained with hematoxylin and mounted with DPX.
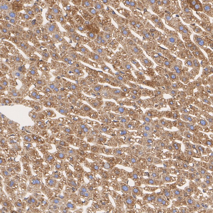
HA751244_8.jpg Fig8: Immunohistochemical analysis of paraffin-embedded mouse liver tissue with Rabbit anti-PDIA3 / ERp57 antibody (HA751244) at 1/1,000 dilution.

The section was pre-treated using heat mediated antigen retrieval with Tris-EDTA buffer (pH 9.0) for 20 minutes. The tissues were blocked in 1% BSA for 20 minutes at room temperature, washed with ddH2O and PBS, and then probed with the primary antibody (HA751244) at 1/1,000 dilution for 1 hour at room temperature. The detection was performed using an HRP conjugated compact polymer system. DAB was used as the chromogen. Tissues were counterstained with hematoxylin and mounted with DPX.
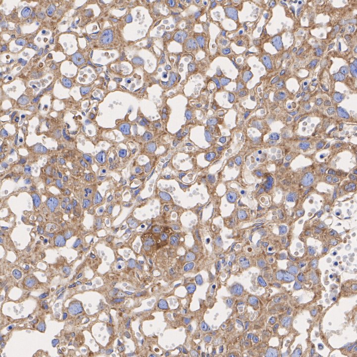
HA751244_9.jpg Fig9: Immunohistochemical analysis of paraffin-embedded mouse placenta tissue with Rabbit anti-PDIA3 / ERp57 antibody (HA751244) at 1/1,000 dilution.

The section was pre-treated using heat mediated antigen retrieval with Tris-EDTA buffer (pH 9.0) for 20 minutes. The tissues were blocked in 1% BSA for 20 minutes at room temperature, washed with ddH2O and PBS, and then probed with the primary antibody (HA751244) at 1/1,000 dilution for 1 hour at room temperature. The detection was performed using an HRP conjugated compact polymer system. DAB was used as the chromogen. Tissues were counterstained with hematoxylin and mounted with DPX.
HA751244_10.jpg Fig10: Flow cytometric analysis of U-87 MG cells labeling PDIA3 / ERp57.

Cells were fixed and permeabilized. Then stained with the primary antibody (HA751244, 1μg/mL) (red) compared with Rabbit IgG Isotype Control (green). After incubation of the primary antibody at +4℃ for an hour, the cells were stained with a iFluor™ 488 conjugate-Goat anti-Rabbit IgG Secondary antibody (HA1121) at 1/1,000 dilution for 30 minutes at +4℃. Unlabelled sample was used as a control (cells without incubation with primary antibody; black).
HA751244_11.jpg Fig11: Flow cytometric analysis of NIH/3T3 cells labeling PDIA3 / ERp57.

Cells were fixed and permeabilized. Then stained with the primary antibody (HA751244, 1μg/mL) (red) compared with Rabbit IgG Isotype Control (green). After incubation of the primary antibody at +4℃ for an hour, the cells were stained with a iFluor™ 488 conjugate-Goat anti-Rabbit IgG Secondary antibody (HA1121) at 1/1,000 dilution for 30 minutes at +4℃. Unlabelled sample was used as a control (cells without incubation with primary antibody; black).
HA751244_12.jpg Fig12: Flow cytometric analysis of C6 cells labeling PDIA3 / ERp57.

Cells were fixed and permeabilized. Then stained with the primary antibody (HA751244, 1μg/mL) (red) compared with Rabbit IgG Isotype Control (green). After incubation of the primary antibody at +4℃ for an hour, the cells were stained with a iFluor™ 488 conjugate-Goat anti-Rabbit IgG Secondary antibody (HA1121) at 1/1,000 dilution for 30 minutes at +4℃. Unlabelled sample was used as a control (cells without incubation with primary antibody; black).
Note: All products are “FOR RESEARCH USE ONLY AND ARE NOT INTENDED FOR DIAGNOSTIC OR THERAPEUTIC USE”.