Hexokinase II Recombinant Rabbit Monoclonal Antibody [PSH08-81]
cat.: HA751246
Product Type: Recombinant Rabbit monoclonal IgG, primary antibodies
Species reactivity: Human, Mouse, Rat
Applications: WB, IHC-P, IF-Cell, IP
Clonality: Monoclonal
Clone number: PSH08-81
Form: Liquid
Storage condition: Store at +4℃ after thawing. Aliquot store at -20℃. Avoid repeated freeze / thaw cycles.
Storage buffer: 1*PBS (pH7.4).
Concentration: 1ug/ul
Purification: Protein A affinity purified.
Molecular weight: Predicted band size: 102 kDa
Isotype: IgG
Immunogen: Recombinant protein within human Hexokinase II aa 1-500.
Positive control: HeLa cell lysate, 293T cell lysate, HepG2 cell lysate, Jurkat cell lysate, LNCaP cell lysate, NIH/3T3 cell lysate, 4T1 cell lysate, PC-12 cell lysate, Mouse skeletal muscle tissue lysate, Mouse testis tissue lysate, Rat skeletal muscle tissue lysate, Rat testis tissue lysate, mouse skeletal muscle tissue, mouse testis tissue, PC-12.
Subcellular location: Mitochondrion outer membrane, Cytoplasm, cytosol.
Recommended Dilutions:
  WB
  IHC-P
  IF-Cell
  IP

1:2,000
1:200-1:1,000
1:50
1-2μg/sample
Uniprot #: SwissProt: P52789 Human | O08528 Mouse | P27881 Rat
Alternative names: DKFZp686M1669 Hexokinase 2 Hexokinase 2 muscle Hexokinase type II Hexokinase-2 HK 2 HK II HK2 HKII HxK 2 HxK2 HXK2_HUMAN Muscle form hexokinase
Images
HA751246_1.jpg Fig1: Western blot analysis of Hexokinase II on different lysates with Rabbit anti-Hexokinase II antibody (HA751246) at 1/2,000 dilution.

Lane 1: HeLa cell lysate (20 µg/Lane)
Lane 2: 293T cell lysate (20 µg/Lane)
Lane 3: HepG2 cell lysate (20 µg/Lane)
Lane 4: Jurkat cell lysate (20 µg/Lane)
Lane 5: A549 cell lysate (negative) (20 µg/Lane)
Lane 6: LNCaP cell lysate (20 µg/Lane)
Lane 7: NIH/3T3 cell lysate (20 µg/Lane)
Lane 8: 4T1 cell lysate (20 µg/Lane)
Lane 9: PC-12 cell lysate (20 µg/Lane)
Lane 10: Mouse skeletal muscle tissue lysate (40 µg/Lane)
Lane 11: Mouse testis tissue lysate (40 µg/Lane)
Lane 12: Rat skeletal muscle tissue lysate (40 µg/Lane)
Lane 13: Rat testis tissue lysate (40 µg/Lane)

Predicted band size: 102 kDa
Observed band size: 102 kDa

Exposure time: 2 minutes 18 seconds; ECL: K1801;

4-20% SDS-PAGE gel.

Proteins were transferred to a PVDF membrane and blocked with 5% NFDM/TBST for 1 hour at room temperature. The primary antibody (HA751246) at 1/2,000 dilution was used in 5% NFDM/TBST at 4℃ overnight. Goat Anti-Rabbit IgG - HRP Secondary Antibody (HA1001) at 1/50,000 dilution was used for 1 hour at room temperature.
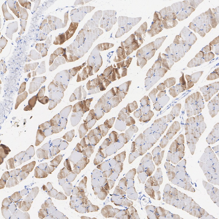
HA751246_2.jpg Fig2: Immunohistochemical analysis of paraffin-embedded mouse skeletal muscle tissue with Rabbit anti-Hexokinase II antibody (HA751246) at 1/200 dilution.

The section was pre-treated using heat mediated antigen retrieval with Tris-EDTA buffer (pH 9.0) for 20 minutes. The tissues were blocked in 1% BSA for 20 minutes at room temperature, washed with ddH2O and PBS, and then probed with the primary antibody (HA751246) at 1/200 dilution for 1 hour at room temperature. The detection was performed using an HRP conjugated compact polymer system. DAB was used as the chromogen. Tissues were counterstained with hematoxylin and mounted with DPX.
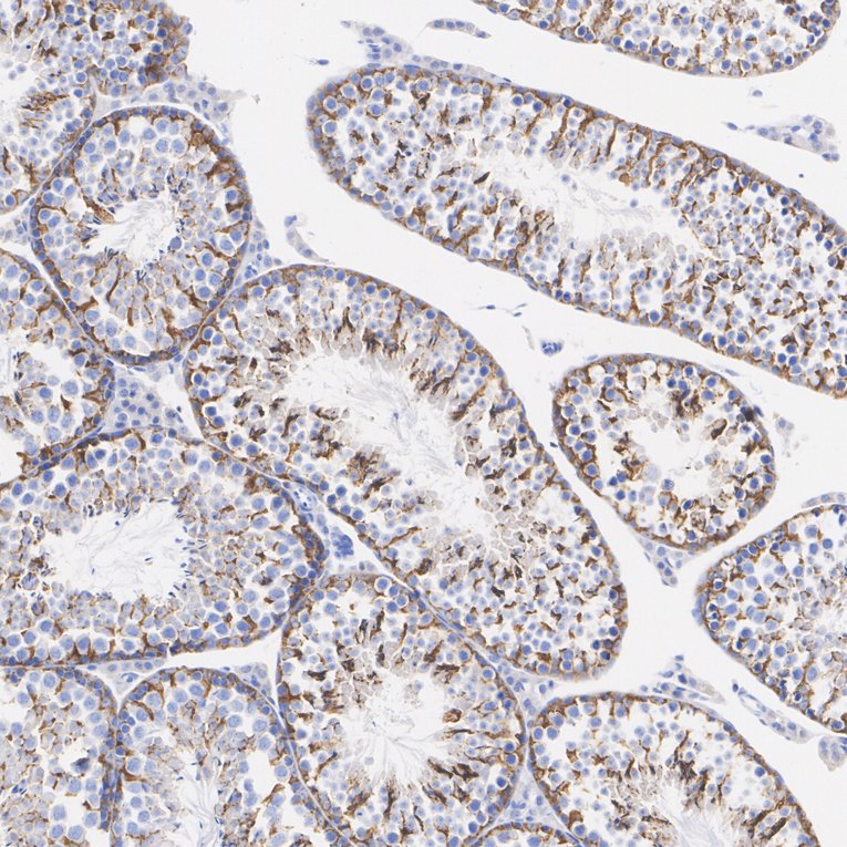
HA751246_3.jpg Fig3: Immunohistochemical analysis of paraffin-embedded mouse testis tissue with Rabbit anti-Hexokinase II antibody (HA751246) at 1/1,000 dilution.

The section was pre-treated using heat mediated antigen retrieval with Tris-EDTA buffer (pH 9.0) for 20 minutes. The tissues were blocked in 1% BSA for 20 minutes at room temperature, washed with ddH2O and PBS, and then probed with the primary antibody (HA751246) at 1/1,000 dilution for 1 hour at room temperature. The detection was performed using an HRP conjugated compact polymer system. DAB was used as the chromogen. Tissues were counterstained with hematoxylin and mounted with DPX.
HA751246_4.jpg Fig4: Immunocytochemistry analysis of PC-12 cells labeling Hexokinase II with Rabbit anti-Hexokinase II antibody (HA751246) at 1/50 dilution.

Cells were fixed in 4% paraformaldehyde for 15 minutes at room temperature, permeabilized with 0.1% Triton X-100 in PBS for 15 minutes at room temperature, then blocked with 1% BSA in 10% negative goat serum for 1 hour at room temperature. Cells were then incubated with Rabbit anti-Hexokinase II antibody (HA751246) at 1/50 dilution in 1% BSA in PBST overnight at 4 ℃. Goat Anti-Rabbit IgG H&L (iFluor™ 488, HA1121) was used as the secondary antibody at 1/1,000 dilution. PBS instead of the primary antibody was used as the secondary antibody only control. Nuclear DNA was labelled in blue with DAPI.

Beta tubulin (HA601187, red) was stained at 1/100 dilution overnight at +4℃. Goat Anti-Mouse IgG H&L (iFluor™ 594, HA1126) was used as the secondary antibody at 1/1,000 dilution.
HA751246_5.jpg Fig5: Hexokinase II was immunoprecipitated from 0.2 mg HeLa cell lysate with HA751246 at 2 µg/10 µl beads. Western blot was performed from the immunoprecipitate using HA751246 at 1/2,000 dilution. Mouse Anti-Rabbit IgG kappa light chain secondary antibody (M1208-2) at 1/5,000 dilution was used for 1 hour at room temperature.

Lane 1: HeLa cell lysate (input)
Lane 2: HA751246 IP in HeLa cell lysate
Lane 3: Rabbit IgG instead of HA751246 in HeLa cell lysate

Blocking/Dilution buffer: 5% NFDM/TBST
Exposure time: 3 seconds; ECL: K1801
Note: All products are “FOR RESEARCH USE ONLY AND ARE NOT INTENDED FOR DIAGNOSTIC OR THERAPEUTIC USE”.