Alpha-Synuclein Recombinant Rabbit Monoclonal Antibody [PSH08-83]
cat.: HA751248
Product Type: Recombinant Rabbit monoclonal IgG, primary antibodies
Species reactivity: Human, Mouse, Rat, Cynomolgus monkey, Pig
Applications: WB, IHC-P, IHC-Fr, IF-Tissue
Clonality: Monoclonal
Clone number: PSH08-83
Form: Liquid
Storage condition: Store at +4℃ after thawing. Aliquot store at -20℃. Avoid repeated freeze / thaw cycles.
Storage buffer: 1*PBS (pH7.4).
Concentration: 1ug/ul
Purification: Protein A affinity purified.
Molecular weight: Predicted band size: 14 kDa
Isotype: IgG
Immunogen: Recombinant protein within human Alpha-Synuclein aa 1-140.
Positive control: Mouse cerebellum tissue, rat cerebellum tissue.
Subcellular location: Cytoplasm, Membrane, Nucleus, Synapse, Secreted, Cell projection, axon.
Recommended Dilutions:
  WB
  IHC-P
  IHC-Fr
  IF-Tissue

1:2,000-1:5,000
1:5,000
1:500
1:500-1:1,000
Uniprot #: SwissProt: P37840 Human | O55042 Mouse | P37377 Rat
Alternative names: Alpha synuclein Alpha-synuclein Alpha-synuclein, isoform NACP140 alphaSYN MGC105443 MGC110988 MGC127560 MGC64356 NACP Non A beta component of AD amyloid Non A4 component of amyloid Non A4 component of amyloid precursor Non-A beta component of AD amyloid Non-A-beta component of alzheimers disease amyloid , precursor of Non-A4 component of amyloid precursor Non-A4 component of amyloid, precursor of OTTHUMP00000218549 OTTHUMP00000218551 OTTHUMP00000218552 OTTHUMP00000218553 OTTHUMP00000218554 PARK 1 PARK 4 PARK1 PARK4 Parkinson disease (autosomal dominant, Lewy body) 4 Parkinson disease familial 1 SNCA Snca synuclein Snca synuclein, alpha (non A4 component of amyloid precursor) SYN Synuclein alpha Synuclein alpha 140 Synuclein, alpha (non A4 component of amyloid precursor) SYUA_HUMAN
Images
HA751248_1.jpg Fig1: Application: IHC-Fr

Species: Mouse

Site: Cerebellum

Sample: Frozen section

Antibody concentration: 1/500

Antigen retrieval: The section was pre-treated using heat mediated antigen retrieval with sodium citrate buffer (pH 6.0) for about 2 minutes in microwave oven.
HA751248_2.jpg Fig2: Application: IHC-Fr

Species: Rat

Site: Cerebellum

Sample: Frozen section

Antibody concentration: 1/500

Antigen retrieval: The section was pre-treated using heat mediated antigen retrieval with sodium citrate buffer (pH 6.0) for about 2 minutes in microwave oven.
HA751248_3.jpg Fig3: Western blot analysis of Alpha-Synuclein on different lysates with Rabbit anti-Alpha-Synuclein antibody (HA751248) at 1/2,000 dilution.

Lane 1: 293T transfected with empty control cell lysate
Lane 2: 293T transfected with Alpha-Synuclein cell lysate

Lysates/proteins at 15 µg/Lane.

Predicted band size: 14 kDa
Observed band size: 25 kDa

Exposure time: 3 minutes; ECL: K1801;
4-20% SDS-PAGE gel.

Proteins were transferred to a PVDF membrane and blocked with 5% NFDM/TBST for 1 hour at room temperature. The primary antibody (HA751248) at 1/2,000 dilution was used in 5% NFDM/TBST at 4℃ overnight. Goat Anti-Rabbit IgG - HRP Secondary Antibody (HA1001) at 1/50,000 dilution was used for 1 hour at room temperature.
HA751248_4.jpg Fig4: Western blot analysis of Alpha-Synuclein on different lysates with Rabbit anti-Alpha-Synuclein antibody (HA751248) at 1/5,000 dilution.

Lane 1: Human SCNA recombinant protein, 30ng/Lane
Lane 2: Human SCNB recombinant protein, 30ng/Lane

Exposure time: 4 seconds; ECL: K1801;

4-20% SDS-PAGE gel.

Proteins were transferred to a PVDF membrane and blocked with 5% NFDM/TBST for 1 hour at room temperature. The primary antibody (HA751248) at 1/5,000 dilution was used in 5% NFDM/TBST at 4℃ overnight. Goat Anti-Rabbit IgG - HRP Secondary Antibody (HA1001) at 1/50,000 dilution was used for 1 hour at room temperature.
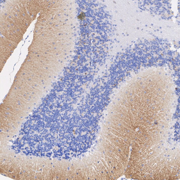
HA751248_5.jpg Fig5: Immunohistochemical analysis of paraffin-embedded mouse cerebellum tissue with Rabbit anti-Alpha-Synuclein antibody (HA751248) at 1/5,000 dilution.

The section was pre-treated using heat mediated antigen retrieval with Tris-EDTA buffer (pH 9.0) for 20 minutes. The tissues were blocked in 1% BSA for 20 minutes at room temperature, washed with ddH2O and PBS, and then probed with the primary antibody (HA751248) at 1/5,000 dilution for 1 hour at room temperature. The detection was performed using an HRP conjugated compact polymer system. DAB was used as the chromogen. Tissues were counterstained with hematoxylin and mounted with DPX.
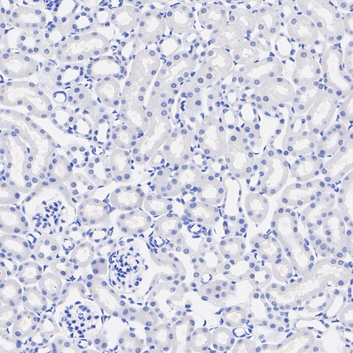
HA751248_6.jpg Fig6: Immunohistochemical analysis of paraffin-embedded mouse kidney tissue (low expression) with Rabbit anti-Alpha-Synuclein antibody (HA751248) at 1/5,000 dilution.

The section was pre-treated using heat mediated antigen retrieval with Tris-EDTA buffer (pH 9.0) for 20 minutes. The tissues were blocked in 1% BSA for 20 minutes at room temperature, washed with ddH2O and PBS, and then probed with the primary antibody (HA751248) at 1/5,000 dilution for 1 hour at room temperature. The detection was performed using an HRP conjugated compact polymer system. DAB was used as the chromogen. Tissues were counterstained with hematoxylin and mounted with DPX.
Note: All products are “FOR RESEARCH USE ONLY AND ARE NOT INTENDED FOR DIAGNOSTIC OR THERAPEUTIC USE”.