Histone H3 (mono+di+tri methyl K79) Recombinant Rabbit Monoclonal Antibody [PSH09-10]
cat.: HA751264
Product Type: Recombinant Rabbit monoclonal IgG, primary antibodies
Species reactivity: Human, Mouse, Rat, Monkey
Applications: WB, IHC-P, IF-Cell, ChIP
Clonality: Monoclonal
Clone number: PSH09-10
Form: Liquid
Storage condition: Store at +4℃ after thawing. Aliquot store at -20℃. Avoid repeated freeze / thaw cycles.
Storage buffer: 1*PBS (pH7.4).
Concentration: 1ug/ul
Purification: Protein A affinity purified.
Molecular weight: Predicted band size: 15 kDa
Isotype: IgG
Immunogen: Synthetic peptide within
Positive control: HeLa cell lysate, THP-1 cell lysate, NIH/3T3 cell lysate, RAW264.7 cell lysate, PC-12 cell lysate, C6 cell lysate, COS-1 cell lysate, human colon tissue, mouse colon tissue, rat colon tissue, HeLa, NIH/3T3, C6.
Subcellular location: Nucleus, Chromosome.
Recommended Dilutions:
  WB
  IHC-P
  IF-Cell
  ChIP

1:2,000
1:1,000
1:100-1:500
Use 0.5~2 μg for 25 μg of chromatin.
Uniprot #: SwissProt: P68431 Human | P84243 Human | Q16695 Human | Q6NXT2 Human | Q71DI3 Human | P68433 Mouse | P84228 Mouse | Q6LED0 Rat
Alternative names: H3 histone family member E pseudogene H3 histone family, member A H3/A H31_HUMAN H3F3 H3FA Hist1h3a HIST1H3B HIST1H3C HIST1H3D HIST1H3E HIST1H3F HIST1H3G HIST1H3H HIST1H3I HIST1H3J HIST3H3 histone 1, H3a Histone cluster 1, H3a Histone H3 3 pseudogene Histone H3.1 Histone H3/a Histone H3/b Histone H3/c Histone H3/d Histone H3/f Histone H3/h Histone H3/i Histone H3/j Histone H3/k Histone H3/l H3K79me1me2me3
Images
HA751264_1.jpg Fig1: Western blot analysis of Histone H3 (mono+di+tri methyl K79) on different lysates with Rabbit anti-Histone H3 (mono+di+tri methyl K79) antibody (HA751264) at 1/2,000 dilution.

Lane 1: HeLa cell lysate
Lane 2: THP-1 cell lysate
Lane 3: NIH/3T3 cell lysate
Lane 4: RAW264.7 cell lysate
Lane 5: PC-12 cell lysate
Lane 6: C6 cell lysate
Lane 7: COS-1 cell lysate

Lysates/proteins at 20 µg/Lane.

Predicted band size: 15 kDa
Observed band size: 15 kDa

Exposure time: 10 seconds; ECL: K1801;

4-20% SDS-PAGE gel.

Proteins were transferred to a PVDF membrane and blocked with 5% NFDM/TBST for 1 hour at room temperature. The primary antibody (HA751264) at 1/2,000 dilution was used in 5% NFDM/TBST at 4℃ overnight. Goat Anti-Rabbit IgG - HRP Secondary Antibody (HA1001) at 1/50,000 dilution was used for 1 hour at room temperature.
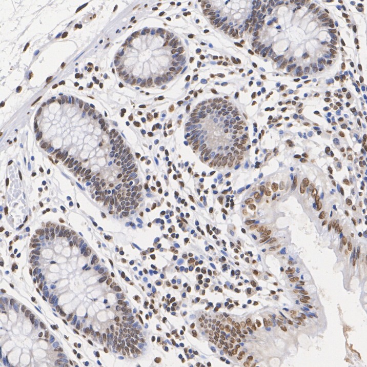
HA751264_2.jpg Fig2: Immunohistochemical analysis of paraffin-embedded human colon tissue with Rabbit anti-Histone H3 (mono+di+tri methyl K79) antibody (HA751264) at 1/1,000 dilution.

The section was pre-treated using heat mediated antigen retrieval with sodium citrate buffer (pH 6.0) (high pressure) for 2 minutes. The tissues were blocked in 1% BSA for 20 minutes at room temperature, washed with ddH2O and PBS, and then probed with the primary antibody (HA751264) at 1/1,000 dilution for 1 hour at room temperature. The detection was performed using an HRP conjugated compact polymer system. DAB was used as the chromogen. Tissues were counterstained with hematoxylin and mounted with DPX.
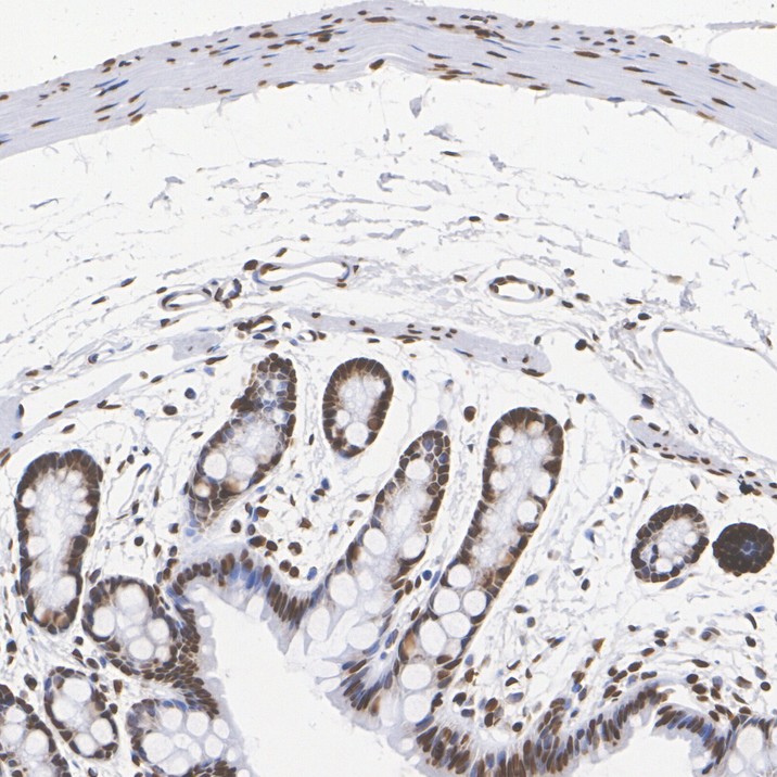
HA751264_3.jpg Fig3: Immunohistochemical analysis of paraffin-embedded mouse colon tissue with Rabbit anti-Histone H3 (mono+di+tri methyl K79) antibody (HA751264) at 1/1,000 dilution.

The section was pre-treated using heat mediated antigen retrieval with sodium citrate buffer (pH 6.0) (high pressure) for 2 minutes. The tissues were blocked in 1% BSA for 20 minutes at room temperature, washed with ddH2O and PBS, and then probed with the primary antibody (HA751264) at 1/1,000 dilution for 1 hour at room temperature. The detection was performed using an HRP conjugated compact polymer system. DAB was used as the chromogen. Tissues were counterstained with hematoxylin and mounted with DPX.
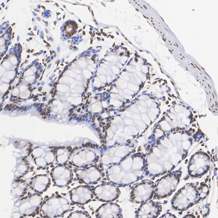
HA751264_4.jpg Fig4: Immunohistochemical analysis of paraffin-embedded rat colon tissue with Rabbit anti-Histone H3 (mono+di+tri methyl K79) antibody (HA751264) at 1/1,000 dilution.

The section was pre-treated using heat mediated antigen retrieval with sodium citrate buffer (pH 6.0) (high pressure) for 2 minutes. The tissues were blocked in 1% BSA for 20 minutes at room temperature, washed with ddH2O and PBS, and then probed with the primary antibody (HA751264) at 1/1,000 dilution for 1 hour at room temperature. The detection was performed using an HRP conjugated compact polymer system. DAB was used as the chromogen. Tissues were counterstained with hematoxylin and mounted with DPX.
HA751264_5.jpg Fig5: Immunocytochemistry analysis of HeLa cells labeling Histone H3 (mono+di+tri methyl K79) with Rabbit anti-Histone H3 (mono+di+tri methyl K79) antibody (HA751264) at 1/100 dilution.

Cells were fixed in 4% paraformaldehyde for 15 minutes at room temperature, permeabilized with 0.1% Triton X-100 in PBS for 15 minutes at room temperature, then blocked with 1% BSA in 10% negative goat serum for 1 hour at room temperature. Cells were then incubated with Rabbit anti-Histone H3 (mono+di+tri methyl K79) antibody (HA751264) at 1/100 dilution in 1% BSA in PBST overnight at 4 ℃. Goat Anti-Rabbit IgG H&L (iFluor™ 488, HA1121) was used as the secondary antibody at 1/1,000 dilution. PBS instead of the primary antibody was used as the secondary antibody only control. Nuclear DNA was labelled in blue with DAPI.

Beta tubulin (HA601187, red) was stained at 1/100 dilution overnight at +4℃. Goat Anti-Mouse IgG H&L (iFluor™ 594, HA1126) was used as the secondary antibody at 1/1,000 dilution.
HA751264_6.jpg Fig6: Immunocytochemistry analysis of NIH/3T3 cells labeling Histone H3 (mono+di+tri methyl K79) with Rabbit anti-Histone H3 (mono+di+tri methyl K79) antibody (HA751264) at 1/500 dilution.

Cells were fixed in 4% paraformaldehyde for 15 minutes at room temperature, permeabilized with 0.1% Triton X-100 in PBS for 15 minutes at room temperature, then blocked with 1% BSA in 10% negative goat serum for 1 hour at room temperature. Cells were then incubated with Rabbit anti-Histone H3 (mono+di+tri methyl K79) antibody (HA751264) at 1/500 dilution in 1% BSA in PBST overnight at 4 ℃. Goat Anti-Rabbit IgG H&L (iFluor™ 488, HA1121) was used as the secondary antibody at 1/1,000 dilution. PBS instead of the primary antibody was used as the secondary antibody only control. Nuclear DNA was labelled in blue with DAPI.

Beta tubulin (HA601187, red) was stained at 1/100 dilution overnight at +4℃. Goat Anti-Mouse IgG H&L (iFluor™ 594, HA1126) was used as the secondary antibody at 1/1,000 dilution.
HA751264_7.jpg Fig7: Immunocytochemistry analysis of C6 cells labeling Histone H3 (mono+di+tri methyl K79) with Rabbit anti-Histone H3 (mono+di+tri methyl K79) antibody (HA751264) at 1/100 dilution.

Cells were fixed in 4% paraformaldehyde for 15 minutes at room temperature, permeabilized with 0.1% Triton X-100 in PBS for 15 minutes at room temperature, then blocked with 1% BSA in 10% negative goat serum for 1 hour at room temperature. Cells were then incubated with Rabbit anti-Histone H3 (mono+di+tri methyl K79) antibody (HA751264) at 1/100 dilution in 1% BSA in PBST overnight at 4 ℃. Goat Anti-Rabbit IgG H&L (iFluor™ 488, HA1121) was used as the secondary antibody at 1/1,000 dilution. PBS instead of the primary antibody was used as the secondary antibody only control. Nuclear DNA was labelled in blue with DAPI.

Beta tubulin (HA601187, red) was stained at 1/100 dilution overnight at +4℃. Goat Anti-Mouse IgG H&L (iFluor™ 594, HA1126) was used as the secondary antibody at 1/1,000 dilution.
HA751264_8.jpg Fig8: Chromatin immunoprecipitations were performed with cross-linked chromatin from HeLa cells with Histone H3 (mono+di+tri methyl K79) (HA751264) or Normal Rabbit IgG according to the ChIP protocol. The enriched DNA was quantified by real-time PCR using indicated primers. The amount of immunoprecipitated DNA in each sample is represented as signal relative to the total amount of input chromatin, which is equivalent to one.
Note: All products are “FOR RESEARCH USE ONLY AND ARE NOT INTENDED FOR DIAGNOSTIC OR THERAPEUTIC USE”.