Bcl-2 Recombinant Rabbit Monoclonal Antibody [PSH09-49]
cat.: HA751296
Product Type: Recombinant Rabbit monoclonal IgG, primary antibodies
Species reactivity: Human, Mouse, Rat
Applications: WB, IF-Cell, IHC-P, FC, IP
Clonality: Monoclonal
Clone number: PSH09-49
Form: Liquid
Storage condition: Store at +4℃ after thawing. Aliquot store at -20℃. Avoid repeated freeze / thaw cycles.
Storage buffer: 1*PBS (pH7.4).
Concentration: 1ug/ul
Purification: Protein A affinity purified.
Molecular weight: Predicted band size: 26 kDa
Isotype: IgG
Immunogen: Recombinant protein within human Bcl-2 aa 1-233.
Positive control: HeLa cell lysate, 293T cell lysate, NIH/3T3 cell lysate, RAW264.7 cell lysate, C2C12 cell lysate, Mouse kidney tissue lysate, Rat spleen tissue lysate, Rat kidney tissue lysate, mouse spleen tissue, mouse kidney tissue, PC-12.
Subcellular location: Mitochondrion outer membrane, Nucleus membrane, Endoplasmic reticulum membrane, Cytoplasm.
Recommended Dilutions:
  WB
  IF-Cell
  IHC-P
  FC
  IP

1:2,000
1:500
1:200
1:1,000
1-2μg/sample
Uniprot #: SwissProt: P10415 Human | P10417 Mouse | P49950 Rat
Alternative names: Apoptosis regulator Bcl 2 Apoptosis regulator Bcl-2 Apoptosis regulator Bcl2 AW986256 B cell CLL/lymphoma 2 B cell leukemia/lymphoma 2 Bcl-2 Bcl2 BCL2_HUMAN C430015F12Rik D630044D05Rik D830018M01Rik Leukemia/lymphoma, B-cell, 2 Oncogene B-cell leukemia 2 PPP1R50 Protein phosphatase 1, regulatory subunit 50 Bcl 2
Images
HA751296_1.jpg Fig1: Western blot analysis of Bcl-2 on different lysates with Rabbit anti-Bcl-2 antibody (HA751296) at 1/2,000 dilution.

Lane 1: HeLa cell lysate (20 µg/Lane)
Lane 2: 293T cell lysate (20 µg/Lane)
Lane 3: NIH/3T3 cell lysate (20 µg/Lane)
Lane 4: RAW264.7 cell lysate (20 µg/Lane)
Lane 5: C2C12 cell lysate (20 µg/Lane)
Lane 6: Mouse kidney tissue lysate (40 µg/Lane)
Lane 7: Rat spleen tissue lysate (40 µg/Lane)
Lane 8: Rat kidney tissue lysate (40 µg/Lane)

Predicted band size: 26 kDa
Observed band size: 25 kDa

Exposure time: Lane 1-6: 20 seconds; Lane 7-8: 3 minutes; ECL: K1801;

4-20% SDS-PAGE gel.

Proteins were transferred to a PVDF membrane and blocked with 5% NFDM/TBST for 1 hour at room temperature. The primary antibody (HA751296) at 1/2,000 dilution was used in 5% NFDM/TBST at 4℃ overnight. Goat Anti-Rabbit IgG - HRP Secondary Antibody (HA1001) at 1/50,000 dilution was used for 1 hour at room temperature.
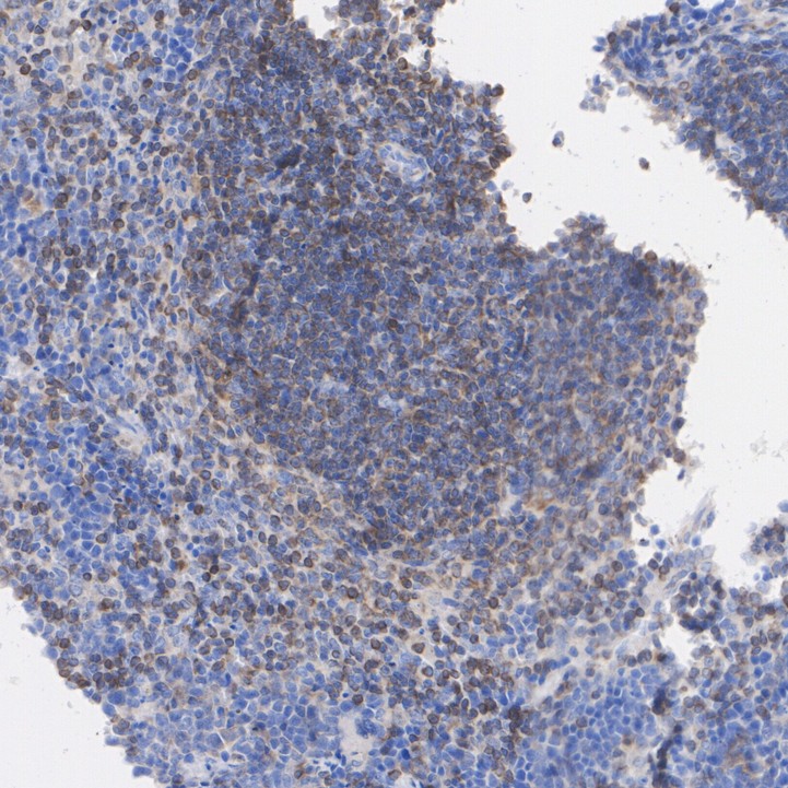
HA751296_2.jpg Fig2: Immunohistochemical analysis of paraffin-embedded mouse spleen tissue with Rabbit anti-Bcl-2 antibody (HA751296) at 1/200 dilution.

The section was pre-treated using heat mediated antigen retrieval with Tris-EDTA buffer (pH 9.0) for 20 minutes. The tissues were blocked in 1% BSA for 20 minutes at room temperature, washed with ddH2O and PBS, and then probed with the primary antibody (HA751296) at 1/200 dilution for 1 hour at room temperature. The detection was performed using an HRP conjugated compact polymer system. DAB was used as the chromogen. Tissues were counterstained with hematoxylin and mounted with DPX.
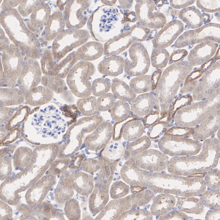
HA751296_3.jpg Fig3: Immunohistochemical analysis of paraffin-embedded mouse kidney tissue with Rabbit anti-Bcl-2 antibody (HA751296) at 1/200 dilution.

The section was pre-treated using heat mediated antigen retrieval with Tris-EDTA buffer (pH 9.0) for 20 minutes. The tissues were blocked in 1% BSA for 20 minutes at room temperature, washed with ddH2O and PBS, and then probed with the primary antibody (HA751296) at 1/200 dilution for 1 hour at room temperature. The detection was performed using an HRP conjugated compact polymer system. DAB was used as the chromogen. Tissues were counterstained with hematoxylin and mounted with DPX.
HA751296_4.jpg Fig4: Immunocytochemistry analysis of PC-12 cells labeling Bcl-2 with Rabbit anti-Bcl-2 antibody (HA751296) at 1/500 dilution.

Cells were fixed in 4% paraformaldehyde for 15 minutes at room temperature, permeabilized with 0.1% Triton X-100 in PBS for 15 minutes at room temperature, then blocked with 1% BSA in 10% negative goat serum for 1 hour at room temperature. Cells were then incubated with Rabbit anti-Bcl-2 antibody (HA751296) at 1/500 dilution in 1% BSA in PBST overnight at 4 ℃. Goat Anti-Rabbit IgG H&L (iFluor™ 488, HA1121) was used as the secondary antibody at 1/1,000 dilution. PBS instead of the primary antibody was used as the secondary antibody only control. Nuclear DNA was labelled in blue with DAPI.

Beta tubulin (HA601187, red) was stained at 1/100 dilution overnight at +4℃. Goat Anti-Mouse IgG H&L (iFluor™ 594, HA1126) was used as the secondary antibody at 1/1,000 dilution.
HA751296_5.jpg Fig5: Flow cytometric analysis of PC-12 cells labeling Bcl-2.

Cells were fixed and permeabilized. Then stained with the primary antibody (HA751296, 1μg/mL) (red) compared with Rabbit IgG Isotype Control (green). After incubation of the primary antibody at +4℃ for an hour, the cells were stained with a iFluor™ 488 conjugate-Goat anti-Rabbit IgG Secondary antibody (HA1121) at 1/1,000 dilution for 30 minutes at +4℃. Unlabelled sample was used as a control (cells without incubation with primary antibody; black).
HA751296_6.jpg Fig6: Bcl-2 was immunoprecipitated from 0.2 mg NIH/3T3 cell lysate with HA751296 at 2 µg/10 µl beads. Western blot was performed from the immunoprecipitate using HA751296 at 1/1,000 dilution. Mouse anti Rabbit IgG heavy chain (Fc) secondary antibody (M1003-7) at 1/10,000 dilution was used for 1 hour at room temperature.

Lane 1: NIH/3T3 cell lysate (input)
Lane 2: HA751296 IP in NIH/3T3 cell lysate
Lane 3: Rabbit IgG instead of HA751296 in NIH/3T3 cell lysate

Blocking/Dilution buffer: 5% NFDM/TBST
Exposure time: 14 seconds; ECL: K1801
Note: All products are “FOR RESEARCH USE ONLY AND ARE NOT INTENDED FOR DIAGNOSTIC OR THERAPEUTIC USE”.