PHOS / PDC Recombinant Rabbit Monoclonal Antibody [PSH09-54]
cat.: HA751301
Product Type: Recombinant Rabbit monoclonal IgG, primary antibodies
Species reactivity: Human, Mouse, Rat
Applications: WB, IHC-P, IHC-Fr, IF-Tissue
Clonality: Monoclonal
Clone number: PSH09-54
Form: Liquid
Storage condition: Store at +4℃ after thawing. Aliquot store at -20℃. Avoid repeated freeze / thaw cycles.
Storage buffer: 1*PBS (pH7.4).
Concentration: 1ug/ul
Purification: Protein A affinity purified.
Molecular weight: Predicted band size: 28 kDa
Isotype: IgG
Immunogen: Synthetic peptide within human PHOS/PDC aa 36-69/246
Positive control: Mouse eyeball tissue lysate, rat eyeball tissue lysate, mouse eyeball tissue, rat eyeball tissue.
Subcellular location: Cytoplasm, cytosol, Nucleus, Cell projection, cilium, photoreceptor outer segment, Photoreceptor inner segment,
Recommended Dilutions:
  WB
  IHC-P
  IHC-Fr
  IF-Tissue

1:2,000
1:1,000-1:8,000
1:500
1:200-1:2,000
Uniprot #: SwissProt: P20941 Human | Q9QW08 Mouse | P20942 Rat
Alternative names: 33 kDa phototransducing protein MEKA protein pdc PHD PHOS_HUMAN Phosducin Protein MEKA
Images
HA751301_1.jpg Fig1: Western blot analysis of PHOS / PDC on different lysates with Rabbit anti-PHOS / PDC antibody (HA751301) at 1/2,000 dilution.

Lane 1: mouse eyeball tissue lysate (40 µg/Lane)
Lane 2: mouse liver tissue lysate (negative) (40 µg/Lane)
Lane 3: rat eyeball tissue lysate (40 µg/Lane)
Lane 4: rat liver tissue lysate (negative) (40 µg/Lane)

Predicted band size: 28 kDa
Observed band size: 33 kDa

Exposure time: 3 minutes ; ECL: K1802;
4-20% SDS-PAGE gel.

Proteins were transferred to a PVDF membrane and blocked with 5% NFDM/TBST for 1 hour at room temperature. The primary antibody (HA751301) at 1/2,000 dilution was used in 5% NFDM/TBST at 4℃ overnight. Goat Anti-Rabbit IgG - HRP Secondary Antibody (HA1001) at 1/50,000 dilution was used for 1 hour at room temperature.
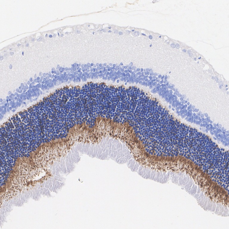
HA751301_2.jpg Fig2: Immunohistochemical analysis of paraffin-embedded mouse eyeball tissue with Rabbit anti-PHOS / PDC antibody (HA751301) at 1/1,000 dilution.

The section was pre-treated using heat mediated antigen retrieval with Tris-EDTA buffer (pH 9.0) for 20 minutes. The tissues were blocked in 1% BSA for 20 minutes at room temperature, washed with ddH2O and PBS, and then probed with the primary antibody (HA751301) at 1/1,000 dilution for 1 hour at room temperature. The detection was performed using an HRP conjugated compact polymer system. DAB was used as the chromogen. Tissues were counterstained with hematoxylin and mounted with DPX.
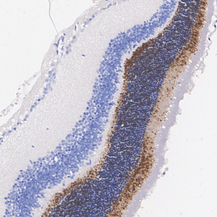
HA751301_3.jpg Fig3: Immunohistochemical analysis of paraffin-embedded rat eyeball tissue with Rabbit anti-PHOS / PDC antibody (HA751301) at 1/8,000 dilution.

The section was pre-treated using heat mediated antigen retrieval with Tris-EDTA buffer (pH 9.0) for 20 minutes. The tissues were blocked in 1% BSA for 20 minutes at room temperature, washed with ddH2O and PBS, and then probed with the primary antibody (HA751301) at 1/8,000 dilution for 1 hour at room temperature. The detection was performed using an HRP conjugated compact polymer system. DAB was used as the chromogen. Tissues were counterstained with hematoxylin and mounted with DPX.
HA751301_4.jpg Fig4: Immunofluorescence analysis of frozen mouse eyeball tissue with Rabbit anti-PHOS / PDC antibody (HA751301) at 1/500 dilution.

The section was not undergone antigen retrieval. The tissues were blocked in 10% negative goat serum for 1 hour at room temperature, washed with PBS, and then probed with the primary antibody (HA751301, green) at 1/500 dilution overnight at 4 ℃, washed with PBS. Goat Anti-Rabbit IgG H&L (iFluor™ 488, HA1121) was used as the secondary antibody at 1/1,000 dilution. Nuclei were counterstained with DAPI (blue).
Note: All products are “FOR RESEARCH USE ONLY AND ARE NOT INTENDED FOR DIAGNOSTIC OR THERAPEUTIC USE”.