MMP-1 Recombinant Rabbit Monoclonal Antibody [PSH09-56]
cat.: HA751303
Product Type: Recombinant Rabbit monoclonal IgG, primary antibodies
Species reactivity: Human
Applications: WB, IHC-P
Clonality: Monoclonal
Clone number: PSH09-56
Form: Liquid
Storage condition: Store at +4℃ after thawing. Aliquot store at -20℃. Avoid repeated freeze / thaw cycles.
Storage buffer: 1*PBS (pH7.4).
Concentration: 1ug/ul
Purification: Protein A affinity purified.
Molecular weight: Predicted band size: 54 kDa
Isotype: IgG
Immunogen: Recombinant protein within human MMP-1 aa 1-469.
Positive control: MDA-MB-231 cell lysate, U-87 MG cell lysate, HUVEC cell lysate, A375 cell lysate, human breast cancer tissue, human lung adenocarcinoma tissue.
Subcellular location: Secreted, extracellular space, extracellular matrix.
Recommended Dilutions:
  WB
  IHC-P

1:2,000
1:1,000
Uniprot #: SwissProt: P03956 Human
Alternative names: 27 kDa interstitial collagenase CLG CLGN collagenase, fibroblast collagenase, interstitial Fibroblast collagenase Interstitial collagenase Matrix metallopeptidase 1 (interstitial collagenase) Matrix metalloprotease 1 Matrix Metalloproteinase 1 Matrix metalloproteinase-1 MMP 1 MMP-1 MMP1 MMP1_HUMAN OTTHUMP00000045866
Images
HA751303_1.jpg Fig1: Western blot analysis of MMP-1 on different lysates with Rabbit anti-MMP-1 antibody (HA751303) at 1/2,000 dilution.

Lane 1: MDA-MB-231 cell lysate (20 µg/Lane)
Lane 2: U-87 MG cell lysate (20 µg/Lane)
Lane 3: HT-29 cell lysate (negative) (20 µg/Lane)
Lane 4: HUVEC cell lysate (20 µg/Lane)
Lane 5: A375 cell lysate (20 µg/Lane)

Predicted band size: 54 kDa
Observed band size: 54 kDa

Exposure time: 27 seconds; ECL: K1802;
4-20% SDS-PAGE gel.

Proteins were transferred to a PVDF membrane and blocked with 5% NFDM/TBST for 1 hour at room temperature. The primary antibody (HA751303) at 1/2,000 dilution was used in 5% NFDM/TBST at 4℃ overnight. Goat Anti-Rabbit IgG - HRP Secondary Antibody (HA1001) at 1/50,000 dilution was used for 1 hour at room temperature.
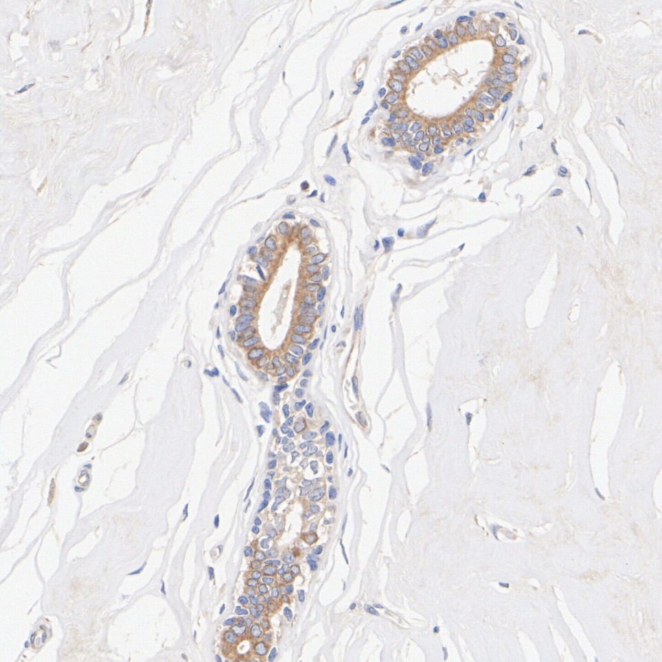
HA751303_2.jpg Fig2: Immunohistochemical analysis of paraffin-embedded human breast cancer tissue with Rabbit anti-MMP-1 antibody (HA751303) at 1/1,000 dilution.

The section was pre-treated using heat mediated antigen retrieval with Tris-EDTA buffer (pH 9.0) for 20 minutes. The tissues were blocked in 1% BSA for 20 minutes at room temperature, washed with ddH2O and PBS, and then probed with the primary antibody (HA751303) at 1/1,000 dilution for 1 hour at room temperature. The detection was performed using an HRP conjugated compact polymer system. DAB was used as the chromogen. Tissues were counterstained with hematoxylin and mounted with DPX.
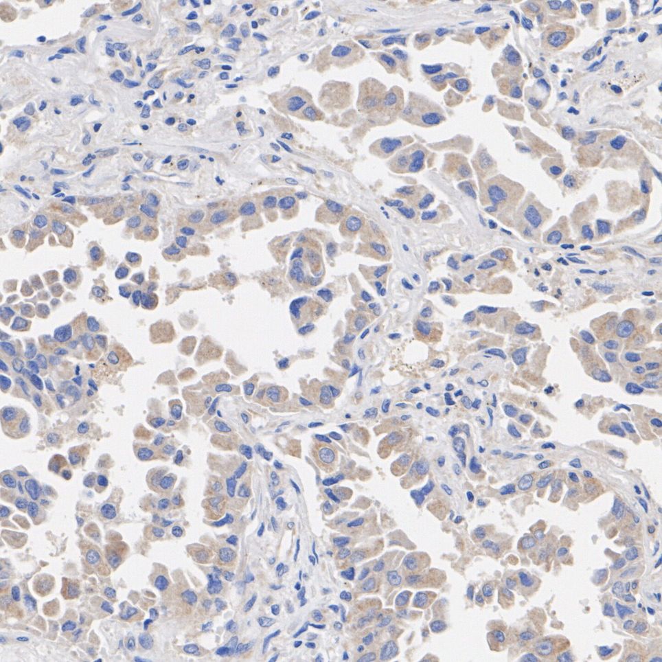
HA751303_3.jpg Fig3: Immunohistochemical analysis of paraffin-embedded human lung adenocarcinoma tissue with Rabbit anti-MMP-1 antibody (HA751303) at 1/1,000 dilution.

The section was pre-treated using heat mediated antigen retrieval with Tris-EDTA buffer (pH 9.0) for 20 minutes. The tissues were blocked in 1% BSA for 20 minutes at room temperature, washed with ddH2O and PBS, and then probed with the primary antibody (HA751303) at 1/1,000 dilution for 1 hour at room temperature. The detection was performed using an HRP conjugated compact polymer system. DAB was used as the chromogen. Tissues were counterstained with hematoxylin and mounted with DPX.
Note: All products are “FOR RESEARCH USE ONLY AND ARE NOT INTENDED FOR DIAGNOSTIC OR THERAPEUTIC USE”.