Bone sialoprotein 2 Recombinant Rabbit Monoclonal Antibody [PSH09-64]
cat.: HA751306
Product Type: Recombinant Rabbit monoclonal IgG, primary antibodies
Species reactivity: Mouse, Rat
Applications: WB, IHC-P, IHC-Fr, IF-Tissue
Clonality: Monoclonal
Clone number: PSH09-64
Form: Liquid
Storage condition: Store at +4℃ after thawing. Aliquot store at -20℃. Avoid repeated freeze / thaw cycles.
Storage buffer: 1*PBS (pH7.4).
Concentration: 1ug/ul
Purification: Protein A affinity purified.
Molecular weight: Predicted band size: 36 kDa
Isotype: IgG
Immunogen: Recombinant protein within mouse Bone sialoprotein 2 aa 1-324/324
Positive control: Mouse articular cartilage tissue lysate, mouse embryo tissue lysate, rat embryo tissue lysate, mouse embryo tissue, rat embryo tissue.
Subcellular location: Secreted
Recommended Dilutions:
  WB
  IHC-P
  IHC-Fr
  IF-Tissue

1:2,000
1:1,000
1:500
1:200
Uniprot #: SwissProt: Q61711 Mouse | P13839 Rat
Alternative names: BNSP Bone sialoprotein 2 Bone sialoprotein II BSP BSP II BSPII Cell binding sialoprotein Cell-binding sialoprotein IBSP Integrin binding sialoprotein Integrin-binding sialoprotein SIAL_HUMAN SPII
Images
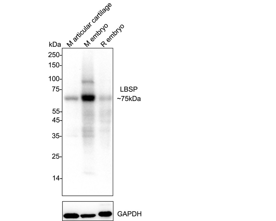
HA751306_1.jpg Fig1: Western blot analysis of Bone sialoprotein 2 on different lysates with Rabbit anti-Bone sialoprotein 2 antibody (HA751306) at 1/2,000 dilution.

Lane 1: mouse articular cartilage tissue lysate
Lane 2: mouse embryo tissue lysate
Lane 3: rat embryo tissue lysate

Lysates/proteins at 40 µg/Lane.

Predicted band size: 70 kDa
Observed band size: 70 kDa

Exposure time: 3 minute ; ECL: K1801;

4-20% SDS-PAGE gel.

Proteins were transferred to a PVDF membrane and blocked with 5% NFDM/TBST for 1 hour at room temperature. The primary antibody (HA751306) at 1/2,000 dilution was used in 5% NFDM/TBST at 4℃ overnight. Goat Anti-Rabbit IgG - HRP Secondary Antibody (HA1001) at 1/50,000 dilution was used for 1 hour at room temperature.
HA751306_2.jpg Fig2: Immunofluorescence analysis of frozen mouse embryonic tissue with Rabbit anti-Bone sialoprotein 2 antibody (HA751306) at 1/500 dilution.

The section was not undergone antigen retrieval. The tissues were blocked in 10% negative goat serum for 1 hour at room temperature, washed with PBS, and then probed with the primary antibody (HA751306, green) at 1/500 dilution overnight at 4 ℃, washed with PBS. Goat Anti-Rabbit IgG H&L (iFluor™ 488, HA1121) was used as the secondary antibody at 1/1,000 dilution. Nuclei were counterstained with DAPI (blue).
HA751306_3.jpg Fig3: Immunohistochemical analysis of paraffin-embedded mouse embryo tissue with Rabbit anti-Bone sialoprotein 2 antibody (HA751306) at 1/1,000 dilution.

The section was pre-treated using heat mediated antigen retrieval with Tris-EDTA buffer (pH 9.0) for 20 minutes. The tissues were blocked in 1% BSA for 20 minutes at room temperature, washed with ddH2O and PBS, and then probed with the primary antibody (HA751306) at 1/1,000 dilution for 1 hour at room temperature. The detection was performed using an HRP conjugated compact polymer system. DAB was used as the chromogen. Tissues were counterstained with hematoxylin and mounted with DPX.
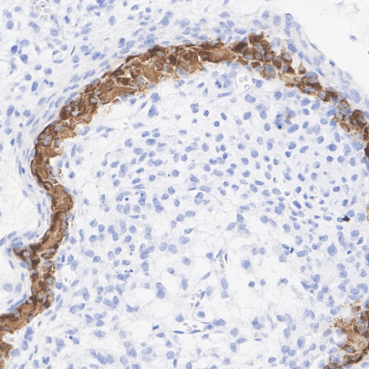
HA751306_4.jpg Fig4: Immunohistochemical analysis of paraffin-embedded rat embryo tissue with Rabbit anti-Bone sialoprotein 2 antibody (HA751306) at 1/1,000 dilution.

The section was pre-treated using heat mediated antigen retrieval with Tris-EDTA buffer (pH 9.0) for 20 minutes. The tissues were blocked in 1% BSA for 20 minutes at room temperature, washed with ddH2O and PBS, and then probed with the primary antibody (HA751306) at 1/1,000 dilution for 1 hour at room temperature. The detection was performed using an HRP conjugated compact polymer system. DAB was used as the chromogen. Tissues were counterstained with hematoxylin and mounted with DPX.
Note: All products are “FOR RESEARCH USE ONLY AND ARE NOT INTENDED FOR DIAGNOSTIC OR THERAPEUTIC USE”.