S100A8 Recombinant Rabbit Monoclonal Antibody [PSH09-70]
cat.: HA751312
Product Type: Recombinant Rabbit monoclonal IgG, primary antibodies
Species reactivity: Human
Applications: WB, IHC-P, IF-Cell, FC, IF-Tissue, IP
Clonality: Monoclonal
Clone number: PSH09-70
Form: Liquid
Storage condition: Store at +4℃ after thawing. Aliquot store at -20℃. Avoid repeated freeze / thaw cycles.
Storage buffer: 1*PBS (pH7.4).
Concentration: 1ug/ul
Purification: Protein A affinity purified.
Molecular weight: Predicted band size: 11 kDa
Isotype: IgG
Immunogen: Recombinant protein within human S100A8 aa 1-93/93
Positive control: SK-Br-3 cell lysate, human breast carcinoma tissue, human liver tissue, human spleen tissue, human tonsil tissue, SK-Br-3.
Subcellular location: Secreted; Cytoplasm; Cytoplasm, cytoskeleton; Cell membrane.
Recommended Dilutions:
  WB
  IHC-P
  IF-Cell
  FC
  IF-Tissue
  IP

1:2,000-1:5,000
1:10,000
1:50,000
1:1,000
1:1,000-1:3,000
1-2μg/sample
Uniprot #: SwissProt: P05109 Human
Alternative names: Calgranulin-A Calprotectin L1L subunit CFAG Cystic fibrosis antigen Leukocyte L1 complex light chain Migration inhibitory factor-related protein 8 MRP-8 N-terminally processed p8 Protein S100-A8 S100 calcium-binding protein A8 S100A8 S10A8_HUMAN Urinary stone protein band A
Images
HA751312_1.jpg Fig1: Western blot analysis of S100A8 on different lysates with Rabbit anti-S100A8 antibody (HA751312) at 1/5,000 dilution.

Lane 1: SK-Br-3 cell lysate (20 µg/Lane)
Lane 2: 293T cell lysate (negative) (20 µg/Lane)
Lane 3: HeLa cell lysate (negative) (20 µg/Lane)

Predicted band size: 11 kDa
Observed band size: 14 kDa

Exposure time: 20 seconds; ECL: K1801;

4-20% SDS-PAGE gel.

Proteins were transferred to a PVDF membrane and blocked with 5% NFDM/TBST for 1 hour at room temperature. The primary antibody (HA751312) at 1/5,000 dilution was used in 5% NFDM/TBST at 4℃ overnight. Goat Anti-Rabbit IgG - HRP Secondary Antibody (HA1001) at 1/50,000 dilution was used for 1 hour at room temperature.
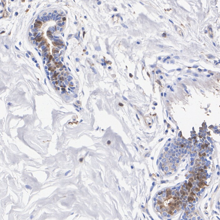
HA751312_2.jpg Fig2: Immunohistochemical analysis of paraffin-embedded human breast carcinoma tissue with Rabbit anti-S100A8 antibody (HA751312) at 1/10,000 dilution.

The section was pre-treated using heat mediated antigen retrieval with Tris-EDTA buffer (pH 9.0) for 20 minutes. The tissues were blocked in 1% BSA for 20 minutes at room temperature, washed with ddH2O and PBS, and then probed with the primary antibody (HA751312) at 1/10,000 dilution for 1 hour at room temperature. The detection was performed using an HRP conjugated compact polymer system. DAB was used as the chromogen. Tissues were counterstained with hematoxylin and mounted with DPX.
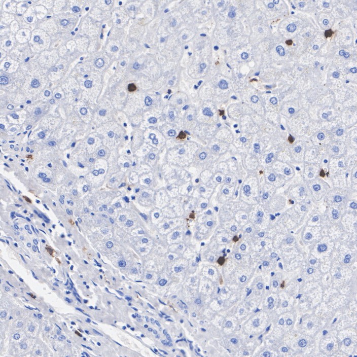
HA751312_3.jpg Fig3: Immunohistochemical analysis of paraffin-embedded human liver tissue with Rabbit anti-S100A8 antibody (HA751312) at 1/10,000 dilution.

The section was pre-treated using heat mediated antigen retrieval with Tris-EDTA buffer (pH 9.0) for 20 minutes. The tissues were blocked in 1% BSA for 20 minutes at room temperature, washed with ddH2O and PBS, and then probed with the primary antibody (HA751312) at 1/10,000 dilution for 1 hour at room temperature. The detection was performed using an HRP conjugated compact polymer system. DAB was used as the chromogen. Tissues were counterstained with hematoxylin and mounted with DPX.
HA751312_4.jpg Fig4: Immunohistochemical analysis of paraffin-embedded human spleen tissue with Rabbit anti-S100A8 antibody (HA751312) at 1/10,000 dilution.

The section was pre-treated using heat mediated antigen retrieval with Tris-EDTA buffer (pH 9.0) for 20 minutes. The tissues were blocked in 1% BSA for 20 minutes at room temperature, washed with ddH2O and PBS, and then probed with the primary antibody (HA751312) at 1/10,000 dilution for 1 hour at room temperature. The detection was performed using an HRP conjugated compact polymer system. DAB was used as the chromogen. Tissues were counterstained with hematoxylin and mounted with DPX.
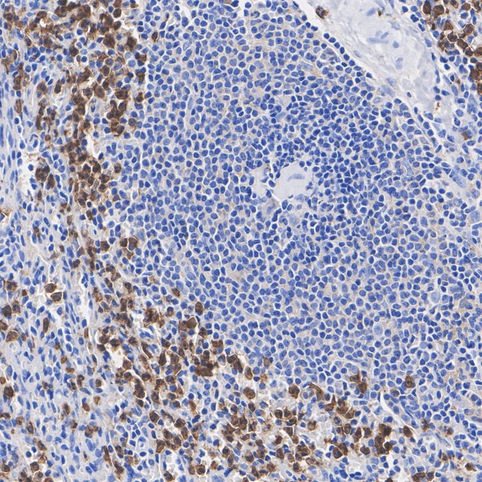
HA751312_5.jpg Fig5: Immunohistochemical analysis of paraffin-embedded human tonsil tissue with Rabbit anti-S100A8 antibody (HA751312) at 1/10,000 dilution.

The section was pre-treated using heat mediated antigen retrieval with Tris-EDTA buffer (pH 9.0) for 20 minutes. The tissues were blocked in 1% BSA for 20 minutes at room temperature, washed with ddH2O and PBS, and then probed with the primary antibody (HA751312) at 1/10,000 dilution for 1 hour at room temperature. The detection was performed using an HRP conjugated compact polymer system. DAB was used as the chromogen. Tissues were counterstained with hematoxylin and mounted with DPX.
HA751312_6.jpg Fig6: Immunocytochemistry analysis of SK-Br-3 (positive) and HeLa (negative) labeling S100A8 with Rabbit anti-S100A8 antibody (HA751312) at 1/50,000 dilution.

Cells were fixed in 4% paraformaldehyde for 15 minutes at room temperature, permeabilized with 0.1% Triton X-100 in PBS for 15 minutes at room temperature, then blocked with 1% BSA in 10% negative goat serum for 1 hour at room temperature. Cells were then incubated with Rabbit anti-S100A8 antibody (HA751312) at 1/50,000 dilution in 1% BSA in PBST overnight at 4 ℃. Goat Anti-Rabbit IgG H&L (iFluor™ 488, HA1121) was used as the secondary antibody at 1/1,000 dilution. PBS instead of the primary antibody was used as the secondary antibody only control. Nuclear DNA was labelled in blue with DAPI.

Beta tubulin (HA601187, red) was stained at 1/100 dilution overnight at +4℃. Goat Anti-Mouse IgG H&L (iFluor™ 594, HA1126) was used as the secondary antibody at 1/1,000 dilution.
HA751312_7.jpg Fig7: Flow cytometric analysis of 293T (left, negative) and SK-Br-3 (right, positive) cells labeling S100A8.

Cells were fixed and permeabilized. Then stained with the primary antibody (HA751312, 1/1,000) (red) compared with Rabbit IgG Isotype Control (green). After incubation of the primary antibody at +4℃ for an hour, the cells were stained with a iFluor™ 488 conjugate-Goat anti-Rabbit IgG Secondary antibody (HA1121) at 1/1,000 dilution for 30 minutes at +4℃. Unlabelled sample was used as a control (cells without incubation with primary antibody; black).
HA751312_8.jpg Fig8: S100A8 was immunoprecipitated from 0.2 mg SK-Br-3 cell lysate with HA751312 at 2 µg/10 µl beads. Western blot was performed from the immunoprecipitate using HA751312 at 1/1,000 dilution. HRP Conjugated Anti-Rabbit IgG for IP Nano-secondary antibody at 1/5,000 dilution was used for 1 hour at room temperature.

Lane 1: SK-Br-3 cell lysate (input)
Lane 2: HA751312 IP in SK-Br-3 cell lysate
Lane 3: Rabbit IgG instead of HA751312 in SK-Br-3 cell lysate

Blocking/Dilution buffer: 5% NFDM/TBST
Exposure time: 3 minutes; ECL: K1801
Note: All products are “FOR RESEARCH USE ONLY AND ARE NOT INTENDED FOR DIAGNOSTIC OR THERAPEUTIC USE”.