MyT1L Recombinant Rabbit Monoclonal Antibody [PSH09-71]
cat.: HA751313
Product Type: Recombinant Rabbit monoclonal IgG, primary antibodies
Species reactivity: Human, Mouse, Rat, Cynomolgus monkey
Applications: WB, IHC-P, IHC-Fr
Clonality: Monoclonal
Clone number: PSH09-71
Form: Liquid
Storage condition: Store at +4℃ after thawing. Aliquot store at -20℃. Avoid repeated freeze / thaw cycles.
Storage buffer: 1*PBS (pH7.4).
Concentration: 1ug/ul
Purification: Protein A affinity purified.
Molecular weight: Predicted band size: 133 kDa
Isotype: IgG
Immunogen: Recombinant protein within human MyT1L aa 151-500.
Positive control: Human brain tissue lysate, Mouse brain tissue lysate, Rat brain tissue lysate, mouse hippocampus tissue, mouse brain tissue, rat brain tissue, rat striatum tissue, human brain tissue.
Subcellular location: Nucleus, Chromosome.
Recommended Dilutions:
  WB
  IHC-P
  IHC-Fr

1:2,000
1:1,000
1:500
Uniprot #: SwissProt: Q9UL68 Human | P97500 Mouse | P70475 Rat
Alternative names: Myelin transcription factor 1-like protein MyT1-L MyT1L MYT1L_HUMAN neural zinc finger transcription factor 1
Images
HA751313_1.jpg Fig1: Application: IHC-Fr

Species: Mouse

Site: Cerebral cortex

Sample: Frozen section

Antibody concentration: 1:500

Antigen retrieval: Recommend. The section was pre-treated using heat mediated antigen retrieval with sodium citrate buffer (pH 6.0) for about 2 minutes in microwave oven.
HA751313_2.jpg Fig2: Application: IHC-Fr

Species: Rat

Site: Cerebral cortex

Sample: Frozen section

Antibody concentration: 1:500

Antigen retrieval: Recommend. The section was pre-treated using heat mediated antigen retrieval with sodium citrate buffer (pH 6.0) for about 2 minutes in microwave oven.
HA751313_3.jpg Fig3: Western blot analysis of MyT1L on different lysates with Rabbit anti-MyT1L antibody (HA751313) at 1/1,000 dilution.

Lane 1: Human brain tissue lysate
Lane 2: Mouse brain tissue lysate
Lane 3: Rat brain tissue lysate

Lysates/proteins at 20 µg/Lane.

Predicted band size: 133 kDa
Observed band size: 170 kDa

Exposure time: 3 minutes; ECL: K1801;
4-20% SDS-PAGE gel.

Proteins were transferred to a PVDF membrane and blocked with 5% NFDM/TBST for 1 hour at room temperature. The primary antibody (HA751313) at 1/2,000 dilution was used in 5% NFDM/TBST at 4℃ overnight. Goat Anti-Rabbit IgG - HRP Secondary Antibody (HA1001) at 1/50,000 dilution was used for 1 hour at room temperature.
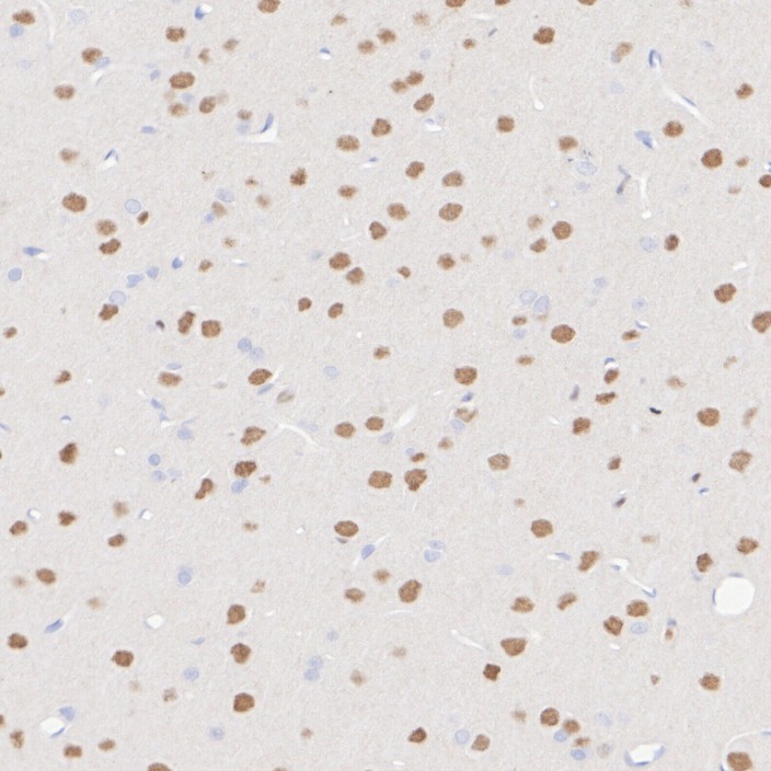
HA751313_4.jpg Fig4: Immunohistochemical analysis of paraffin-embedded mouse hippocampus tissue with Rabbit anti-MyT1L antibody (HA751313) at 1/1,000 dilution.

The section was pre-treated using heat mediated antigen retrieval with Tris-EDTA buffer (pH 9.0) for 20 minutes. The tissues were blocked in 1% BSA for 20 minutes at room temperature, washed with ddH2O and PBS, and then probed with the primary antibody (HA751313) at 1/1,000 dilution for 1 hour at room temperature. The detection was performed using an HRP conjugated compact polymer system. DAB was used as the chromogen. Tissues were counterstained with hematoxylin and mounted with DPX.
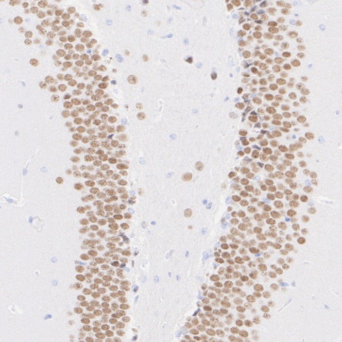
HA751313_5.jpg Fig5: Immunohistochemical analysis of paraffin-embedded mouse hippocampus tissue with Rabbit anti-MyT1L antibody (HA751313) at 1/1,000 dilution.

The section was pre-treated using heat mediated antigen retrieval with Tris-EDTA buffer (pH 9.0) for 20 minutes. The tissues were blocked in 1% BSA for 20 minutes at room temperature, washed with ddH2O and PBS, and then probed with the primary antibody (HA751313) at 1/1,000 dilution for 1 hour at room temperature. The detection was performed using an HRP conjugated compact polymer system. DAB was used as the chromogen. Tissues were counterstained with hematoxylin and mounted with DPX.
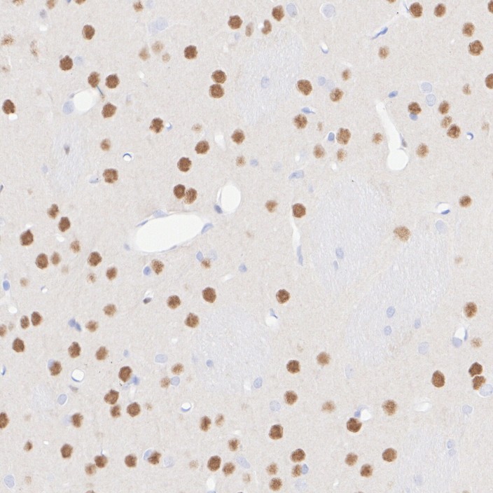
HA751313_6.jpg Fig6: Immunohistochemical analysis of paraffin-embedded mouse brain tissue with Rabbit anti-MyT1L antibody (HA751313) at 1/1,000 dilution.

The section was pre-treated using heat mediated antigen retrieval with Tris-EDTA buffer (pH 9.0) for 20 minutes. The tissues were blocked in 1% BSA for 20 minutes at room temperature, washed with ddH2O and PBS, and then probed with the primary antibody (HA751313) at 1/1,000 dilution for 1 hour at room temperature. The detection was performed using an HRP conjugated compact polymer system. DAB was used as the chromogen. Tissues were counterstained with hematoxylin and mounted with DPX.
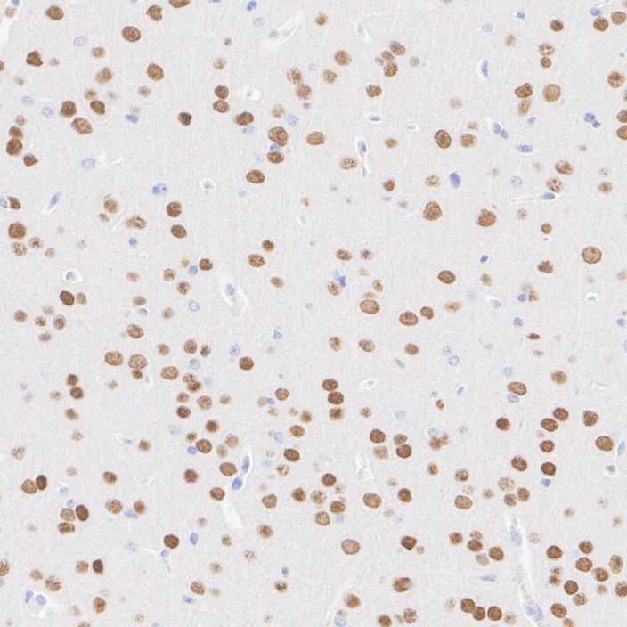
HA751313_7.jpg Fig7: Immunohistochemical analysis of paraffin-embedded rat brain tissue with Rabbit anti-MyT1L antibody (HA751313) at 1/1,000 dilution.

The section was pre-treated using heat mediated antigen retrieval with Tris-EDTA buffer (pH 9.0) for 20 minutes. The tissues were blocked in 1% BSA for 20 minutes at room temperature, washed with ddH2O and PBS, and then probed with the primary antibody (HA751313) at 1/1,000 dilution for 1 hour at room temperature. The detection was performed using an HRP conjugated compact polymer system. DAB was used as the chromogen. Tissues were counterstained with hematoxylin and mounted with DPX.
HA751313_8.jpg Fig8: Immunohistochemical analysis of paraffin-embedded rat striatum tissue with Rabbit anti-MyT1L antibody (HA751313) at 1/1,000 dilution.

The section was pre-treated using heat mediated antigen retrieval with Tris-EDTA buffer (pH 9.0) for 20 minutes. The tissues were blocked in 1% BSA for 20 minutes at room temperature, washed with ddH2O and PBS, and then probed with the primary antibody (HA751313) at 1/1,000 dilution for 1 hour at room temperature. The detection was performed using an HRP conjugated compact polymer system. DAB was used as the chromogen. Tissues were counterstained with hematoxylin and mounted with DPX.
HA751313_9.jpg Fig9: Immunohistochemical analysis of paraffin-embedded human brain tissue with Rabbit anti-MyT1L antibody (HA751313) at 1/1,000 dilution.

The section was pre-treated using heat mediated antigen retrieval with Tris-EDTA buffer (pH 9.0) for 20 minutes. The tissues were blocked in 1% BSA for 20 minutes at room temperature, washed with ddH2O and PBS, and then probed with the primary antibody (HA751313) at 1/1,000 dilution for 1 hour at room temperature. The detection was performed using an HRP conjugated compact polymer system. DAB was used as the chromogen. Tissues were counterstained with hematoxylin and mounted with DPX.
Note: All products are “FOR RESEARCH USE ONLY AND ARE NOT INTENDED FOR DIAGNOSTIC OR THERAPEUTIC USE”.