Integrin beta 5 Recombinant Rabbit Monoclonal Antibody [PSH10-13]
cat.: HA751342
Product Type: Recombinant Rabbit monoclonal IgG, primary antibodies
Species reactivity: Human, Rat, Monkey
Applications: WB, IHC-P
Clonality: Monoclonal
Clone number: PSH10-13
Form: Liquid
Storage condition: Store at +4℃ after thawing. Aliquot store at -20℃. Avoid repeated freeze / thaw cycles.
Storage buffer: PBS (pH7.4).
Concentration: 1ug/ul
Purification: Protein A affinity purified.
Molecular weight: Predicted band size: 88 kDa
Isotype: IgG
Immunogen: Recombinant protein within human Integrin beta 5 aa 1-719.
Positive control: A549 cell lysate, HT-29 cell lysate, NCI-H1299 cell lysate, PANC-1 cell lysate, COS-1 cell lysate, C6 cell lysate, Rat lung tissue lysate, Rat kidney tissue lysate.
Subcellular location: Cell membrane.
Recommended Dilutions:
  WB
  IHC-P

1:2,000
1:200-1:1,000
Uniprot #: SwissProt: P18084 Human
Entrez Gene: 257645 Rat
Alternative names: FLJ26658 Integrin beta-5 Integrin subunit beta 5 integrin, beta 5 ITB5_HUMAN Itgb5 Testis secretory sperm-binding protein Li 217p
Images
HA751342_1.jpg Fig1: Western blot analysis of Integrin beta 5 on different lysates with Rabbit anti-Integrin beta 5 antibody (HA751342) at 1/2,000 dilution.

Lane 1: A549 cell lysate
Lane 2: HT-29 cell lysate
Lane 3: NCI-H1299 cell lysate
Lane 4: PANC-1 cell lysate
Lane 5: COS-1 cell lysate
Lane 6: C6 cell lysate
Lane 7: Rat lung tissue lysate
Lane 8: Rat kidney tissue lysate

Lysates/proteins at 20 µg/Lane.

Predicted band size: 88 kDa
Observed band size: 88 kDa

Exposure time: 1 minute 20 seconds; ECL: K1802;

4-20% SDS-PAGE gel.

Proteins were transferred to a PVDF membrane and blocked with 5% NFDM/TBST for 1 hour at room temperature. The primary antibody (HA751342) at 1/2,000 dilution was used in 5% NFDM/TBST at 4℃ overnight. Goat Anti-Rabbit IgG - HRP Secondary Antibody (HA1001) at 1/50,000 dilution was used for 1 hour at room temperature.
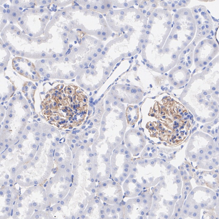
HA751342_2.jpg Fig2: Immunohistochemical analysis of paraffin-embedded rat kidney tissue with Rabbit anti-Integrin beta 5 antibody (HA751342) at 1/1,000 dilution.

The section was pre-treated using heat mediated antigen retrieval with Tris-EDTA buffer (pH 9.0) for 20 minutes. The tissues were blocked in 1% BSA for 20 minutes at room temperature, washed with ddH2O and PBS, and then probed with the primary antibody (HA751342) at 1/1,000 dilution for 1 hour at room temperature. The detection was performed using an HRP conjugated compact polymer system. DAB was used as the chromogen. Tissues were counterstained with hematoxylin and mounted with DPX.
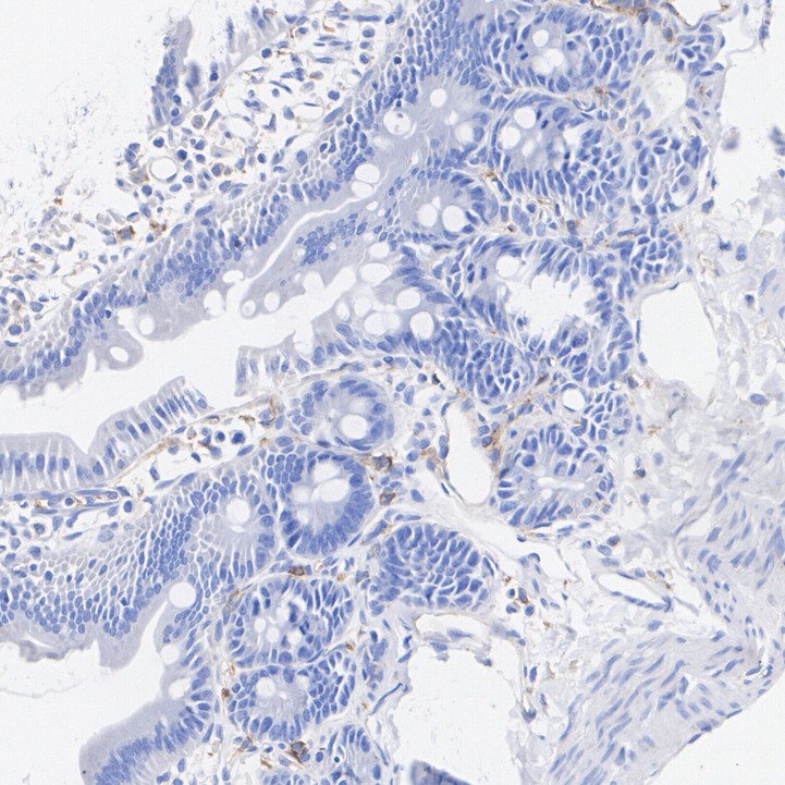
HA751342_3.jpg Fig3: Immunohistochemical analysis of paraffin-embedded rat small intestine tissue with Rabbit anti-Integrin beta 5 antibody (HA751342) at 1/200 dilution.

The section was pre-treated using heat mediated antigen retrieval with Tris-EDTA buffer (pH 9.0) for 20 minutes. The tissues were blocked in 1% BSA for 20 minutes at room temperature, washed with ddH2O and PBS, and then probed with the primary antibody (HA751342) at 1/200 dilution for 1 hour at room temperature. The detection was performed using an HRP conjugated compact polymer system. DAB was used as the chromogen. Tissues were counterstained with hematoxylin and mounted with DPX.
Note: All products are “FOR RESEARCH USE ONLY AND ARE NOT INTENDED FOR DIAGNOSTIC OR THERAPEUTIC USE”.