Synaptopodin Recombinant Rabbit Monoclonal Antibody [PSH10-45]
cat.: HA751350
Product Type: Recombinant Rabbit monoclonal IgG, primary antibodies
Species reactivity: Human, Mouse, Rat
Applications: WB, IHC-Fr, IHC-P
Clonality: Monoclonal
Clone number: PSH10-45
Form: Liquid
Storage condition: Store at +4℃ after thawing. Aliquot store at -20℃. Avoid repeated freeze / thaw cycles.
Storage buffer: 1*PBS (pH7.4).
Concentration: 1ug/ul
Purification: Protein A affinity purified.
Molecular weight: Predicted band size: 100 kDa
Isotype: IgG
Immunogen: Recombinant protein within Mouse Synaptopodin aa 1-929.
Positive control: Mouse brain tissue lysate, Rat brain tissue lysate, human kidney tissue, mouse brain tissue, mouse kidney tissue, rat kidney tissue.
Subcellular location: Cytoplasm, cytoskeletonm Cell junction, tight junctionm Perikaryonm Cell projection, dendritic spinem Postsynaptic densitym Synapse, Cytoplasm, cytosol.
Recommended Dilutions:
  WB
  IHC-Fr
  IHC-P

1:2,000
1:500
1:1,000
Uniprot #: SwissProt: Q8N3V7 Human | Q8CC35 Mouse | Q9Z327 Rat
Alternative names: KIAA1029 Synaptopodin SYNPO SYNPO_HUMAN
Images
HA751350_1.jpg Fig1: Western blot analysis of Synaptopodin on different lysates with Rabbit anti-Synaptopodin antibody (HA751350) at 1/2,000 dilution.

Lane 1: Mouse brain tissue lysate
Lane 2: Mouse liver tissue lysate (negative)
Lane 3: Rat brain tissue lysate
Lane 4: Rat liver tissue lysate (negative)

Lysates/proteins at 20 µg/Lane.

Predicted band size: 100 kDa
Observed band size: 100 kDa

Exposure time: 25 seconds; ECL: K1801;

4-20% SDS-PAGE gel.

Proteins were transferred to a PVDF membrane and blocked with 5% NFDM/TBST for 1 hour at room temperature. The primary antibody (HA751350) at 1/2,000 dilution was used in 5% NFDM/TBST at 4℃ overnight. Goat Anti-Rabbit IgG - HRP Secondary Antibody (HA1001) at 1/50,000 dilution was used for 1 hour at room temperature.
HA751350_2.jpg Fig2: Immunofluorescence analysis of frozen mouse brain tissue with Rabbit anti-Synaptopodin antibody (HA751350) at 1/500 dilution.

The section was not undergone antigen retrieval. The tissues were blocked in 10% negative goat serum for 1 hour at room temperature, washed with PBS, and then probed with the primary antibody (HA751350, green) at 1/500 dilution overnight at 4 ℃, washed with PBS. Goat Anti-Rabbit IgG H&L (iFluor™ 488, HA1121) was used as the secondary antibody at 1/1,000 dilution. Nuclei were counterstained with DAPI (blue).
HA751350_3.jpg Fig3: Immunofluorescence analysis of frozen mouse kidney tissue with Rabbit anti-Synaptopodin antibody (HA751350) at 1/500 dilution.

The section was not undergone antigen retrieval. The tissues were blocked in 10% negative goat serum for 1 hour at room temperature, washed with PBS, and then probed with the primary antibody (HA751350, green) at 1/500 dilution overnight at 4 ℃, washed with PBS. Goat Anti-Rabbit IgG H&L (iFluor™ 488, HA1121) was used as the secondary antibody at 1/1,000 dilution. Nuclei were counterstained with DAPI (blue).
HA751350_4.jpg Fig4: Immunofluorescence analysis of frozen rat brain tissue with Rabbit anti-Synaptopodin antibody (HA751350) at 1/500 dilution.

The section was not undergone antigen retrieval. The tissues were blocked in 10% negative goat serum for 1 hour at room temperature, washed with PBS, and then probed with the primary antibody (HA751350, green) at 1/500 dilution overnight at 4 ℃, washed with PBS. Goat Anti-Rabbit IgG H&L (iFluor™ 488, HA1121) was used as the secondary antibody at 1/1,000 dilution. Nuclei were counterstained with DAPI (blue).
HA751350_5.jpg Fig5: Immunofluorescence analysis of frozen rat kidney tissue with Rabbit anti-Synaptopodin antibody (HA751350) at 1/500 dilution.

The section was not undergone antigen retrieval. The tissues were blocked in 10% negative goat serum for 1 hour at room temperature, washed with PBS, and then probed with the primary antibody (HA751350, green) at 1/500 dilution overnight at 4 ℃, washed with PBS. Goat Anti-Rabbit IgG H&L (iFluor™ 488, HA1121) was used as the secondary antibody at 1/1,000 dilution. Nuclei were counterstained with DAPI (blue).
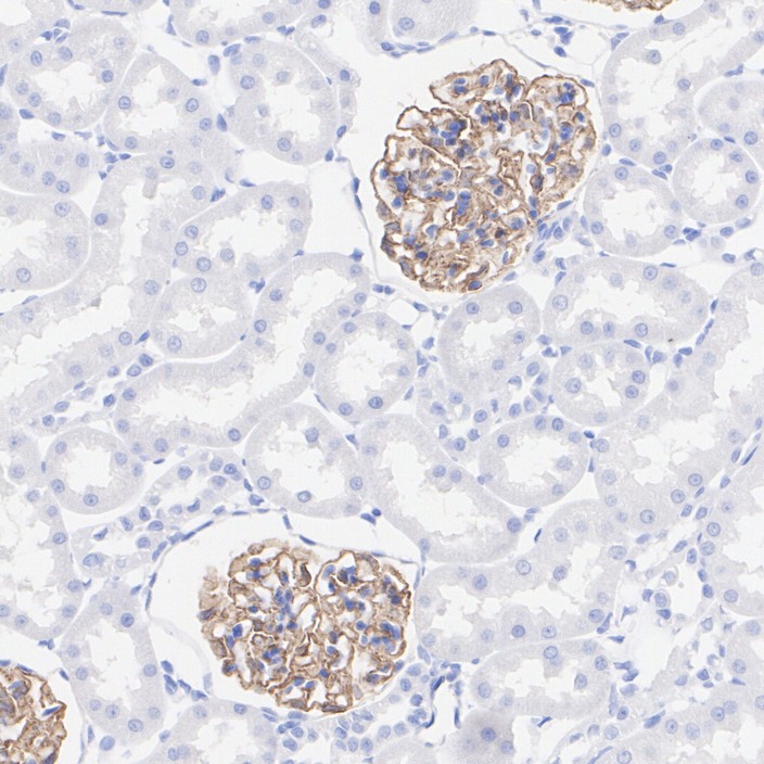
HA751350_6.jpg Fig6: Immunohistochemical analysis of paraffin-embedded human kidney tissue with Rabbit anti-Synaptopodin antibody (HA751350) at 1/1,000 dilution.

The section was pre-treated using heat mediated antigen retrieval with Tris-EDTA buffer (pH 9.0) for 20 minutes. The tissues were blocked in 1% BSA for 20 minutes at room temperature, washed with ddH2O and PBS, and then probed with the primary antibody (HA751350) at 1/1,000 dilution for 1 hour at room temperature. The detection was performed using an HRP conjugated compact polymer system. DAB was used as the chromogen. Tissues were counterstained with hematoxylin and mounted with DPX.
HA751350_7.jpg Fig7: Immunohistochemical analysis of paraffin-embedded mouse brain tissue with Rabbit anti-Synaptopodin antibody (HA751350) at 1/1,000 dilution.

The section was pre-treated using heat mediated antigen retrieval with Tris-EDTA buffer (pH 9.0) for 20 minutes. The tissues were blocked in 1% BSA for 20 minutes at room temperature, washed with ddH2O and PBS, and then probed with the primary antibody (HA751350) at 1/1,000 dilution for 1 hour at room temperature. The detection was performed using an HRP conjugated compact polymer system. DAB was used as the chromogen. Tissues were counterstained with hematoxylin and mounted with DPX.
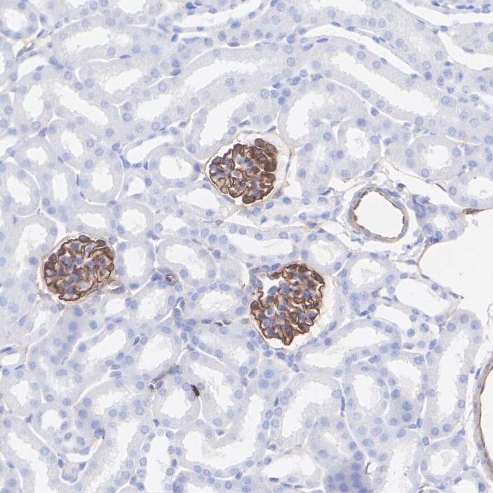
HA751350_8.jpg Fig8: Immunohistochemical analysis of paraffin-embedded mouse kidney tissue with Rabbit anti-Synaptopodin antibody (HA751350) at 1/1,000 dilution.

The section was pre-treated using heat mediated antigen retrieval with Tris-EDTA buffer (pH 9.0) for 20 minutes. The tissues were blocked in 1% BSA for 20 minutes at room temperature, washed with ddH2O and PBS, and then probed with the primary antibody (HA751350) at 1/1,000 dilution for 1 hour at room temperature. The detection was performed using an HRP conjugated compact polymer system. DAB was used as the chromogen. Tissues were counterstained with hematoxylin and mounted with DPX.
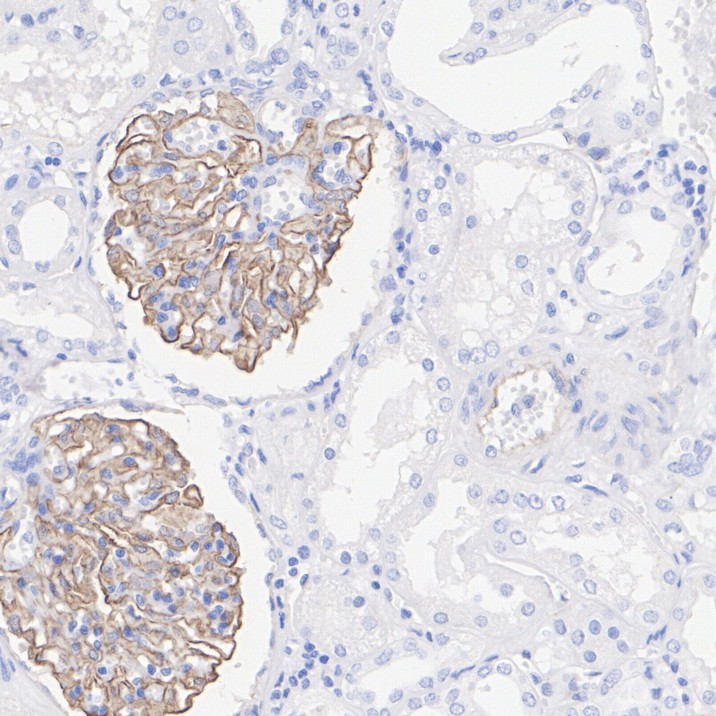
HA751350_9.jpg Fig9: Immunohistochemical analysis of paraffin-embedded rat kidney tissue with Rabbit anti-Synaptopodin antibody (HA751350) at 1/1,000 dilution.

The section was pre-treated using heat mediated antigen retrieval with Tris-EDTA buffer (pH 9.0) for 20 minutes. The tissues were blocked in 1% BSA for 20 minutes at room temperature, washed with ddH2O and PBS, and then probed with the primary antibody (HA751350) at 1/1,000 dilution for 1 hour at room temperature. The detection was performed using an HRP conjugated compact polymer system. DAB was used as the chromogen. Tissues were counterstained with hematoxylin and mounted with DPX.
Note: All products are “FOR RESEARCH USE ONLY AND ARE NOT INTENDED FOR DIAGNOSTIC OR THERAPEUTIC USE”.