ENPP1 / PC1 Recombinant Rabbit Monoclonal Antibody [PSH12-11]
cat.: HA751440
Product Type: Recombinant Rabbit monoclonal IgG, primary antibodies
Species reactivity: Human
Applications: WB, IHC-P
Clonality: Monoclonal
Clone number: PSH12-11
Form: Liquid
Storage condition: Store at +4℃ after thawing. Aliquot store at -20℃. Avoid repeated freeze / thaw cycles.
Storage buffer: 1*PBS (pH7.4).
Concentration: 1ug/ul
Purification: Protein A affinity purified.
Molecular weight: Predicted band size: 105 kDa
Isotype: IgG
Immunogen: Recombinant protein within human ENPP1 aa 576-925.
Positive control: HepG2 cell lysate, MDA-MB-231 cell lysate, Huh7 cell lysate, human liver tissue.
Subcellular location: Cell membrane, Basolateral cell membrane, Secreted.
Recommended Dilutions:
  WB
  IHC-P

1:5,000
1:1,000
Uniprot #: SwissProt: P22413 Human
Alternative names: Alkaline phosphodiesterase 1 ARHR2 COLED E-NPP 1 Ectonucleotide pyrophosphatase/phosphodiesterase 1 Ectonucleotide pyrophosphatase/phosphodiesterase family member 1 ENPP1 ENPP1_HUMAN Ly 41 antigen M6S1 Membrane component chromosome 6 surface marker 1 NPP1 NPPase NPPS Nucleotide pyrophosphatase PC 1 PC-1 PCA1 PDNP1 Phosphodiesterase I/nucleotide pyrophosphatase 1 Plasma cell membrane glycoprotein 1 Plasma-cell membrane glycoprotein PC-1
Images
HA751440_1.jpg Fig1: Western blot analysis of ENPP1 / PC1 on different lysates with Rabbit anti-ENPP1 / PC1 antibody (HA751440) at 1/1,000 dilution.

Lane 1: HepG2 cell lysate
Lane 2: MDA-MB-231 cell lysate
Lane 3: Huh7 cell lysate
Lane 4: THP-1 cell lysate (negative)

Lysates/proteins at 20 ug/Lane.

Predicted band size: 105 kDa
Observed band size: 140 kDa

Exposure time: 10 seconds; ECL: K1801;
4-20% SDS-PAGE gel.

Proteins were transferred to a PVDF membrane and blocked with 5% NFDM/TBST for 1 hour at room temperature. The primary antibody (HA751440) at 1/5,000 dilution was used in 5% NFDM/TBST at 4℃ overnight. Goat Anti-Rabbit IgG - HRP Secondary Antibody (HA1001) at 1/50,000 dilution was used for 1 hour at room temperature.
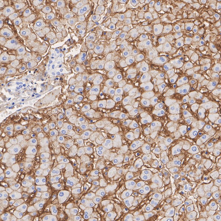
HA751440_2.jpg Fig2: Immunohistochemical analysis of paraffin-embedded human liver tissue with Rabbit anti-ENPP1 / PC1 antibody (HA751440) at 1/1,000 dilution.

The section was pre-treated using heat mediated antigen retrieval with Tris-EDTA buffer (pH 9.0) for 20 minutes. The tissues were blocked in 1% BSA for 20 minutes at room temperature, washed with ddH2O and PBS, and then probed with the primary antibody (HA751440) at 1/1,000 dilution for 1 hour at room temperature. The detection was performed using an HRP conjugated compact polymer system. DAB was used as the chromogen. Tissues were counterstained with hematoxylin and mounted with DPX.
Note: All products are “FOR RESEARCH USE ONLY AND ARE NOT INTENDED FOR DIAGNOSTIC OR THERAPEUTIC USE”.