Antithrombin III / ATIII Recombinant Rabbit Monoclonal Antibody [PSH12-13]
cat.: HA751442
Product Type: Recombinant Rabbit monoclonal IgG, primary antibodies
Species reactivity: Human, Mouse, Rat
Applications: WB, IHC-P
Clonality: Monoclonal
Clone number: PSH12-13
Form: Liquid
Storage condition: Store at +4℃ after thawing. Aliquot store at -20℃. Avoid repeated freeze / thaw cycles.
Storage buffer: 1*PBS (pH7.4).
Concentration: 1ug/ul
Purification: Protein A affinity purified.
Molecular weight: Predicted band size: 53 kDa
Isotype: IgG
Immunogen: Recombinant protein within human Antithrombin III aa 1-464.
Positive control: Mouse liver tissue lysate, Mouse testis tissue lysate, Rat testis tissue lysate, Human plasma tissue lysate, human liver tissue, mouse liver tissue, rat liver tissue.
Subcellular location: Secreted, extracellular space.
Recommended Dilutions:
  WB
  IHC-P

1:5,000
1:200-1:1,000
Uniprot #: SwissProt: P01008 Human | P32261 Mouse | Q5M7T5 Rat
Alternative names: ANT3_HUMAN Antithrombin Antithrombin III Antithrombin-III AntithrombinIII AT 3 AT III AT3 AT3D ATIII Heparin cofactor I MGC22579 Serine (or cysteine) proteinase inhibitor clade C (antithrombin) member 1 Serine cysteine proteinase inhibitor clade C member 1 Serine proteinase inhibitor clade C member 1 Serpin C1 Serpin family C member 1 Serpin peptidase inhibitor clade C (antithrombin) member 1 SERPINC1 THPH7
Images
HA751442_1.jpg Fig1: Western blot analysis of Antithrombin III / ATIII on different lysates with Rabbit anti-Antithrombin III / ATIII antibody (HA751442) at 1/5,000 dilution.

Lane 1: Mouse liver tissue lysate (40 µg/Lane)
Lane 2: Mouse testis tissue lysate (40 µg/Lane)
Lane 3: Rat testis tissue lysate (40 µg/Lane)
Lane 4: Human plasma tissue lysate (40 µg/Lane)

Predicted band size: 53 kDa
Observed band size: 53 kDa

Exposure time: 10 seconds; ECL: K1801;
4-20% SDS-PAGE gel.

Proteins were transferred to a PVDF membrane and blocked with 5% NFDM/TBST for 1 hour at room temperature. The primary antibody (HA751442) at 1/5,000 dilution was used in 5% NFDM/TBST at 4℃ overnight. Goat Anti-Rabbit IgG - HRP Secondary Antibody (HA1001) at 1/50,000 dilution was used for 1 hour at room temperature.
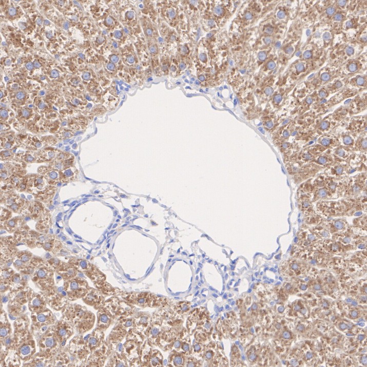
HA751442_2.jpg Fig2: Immunohistochemical analysis of paraffin-embedded human liver tissue with Rabbit anti-Antithrombin III / ATIII antibody (HA751442) at 1/200 dilution.

The section was pre-treated using heat mediated antigen retrieval with Tris-EDTA buffer (pH 9.0) for 20 minutes. The tissues were blocked in 1% BSA for 20 minutes at room temperature, washed with ddH2O and PBS, and then probed with the primary antibody (HA751442) at 1/200 dilution for 1 hour at room temperature. The detection was performed using an HRP conjugated compact polymer system. DAB was used as the chromogen. Tissues were counterstained with hematoxylin and mounted with DPX.
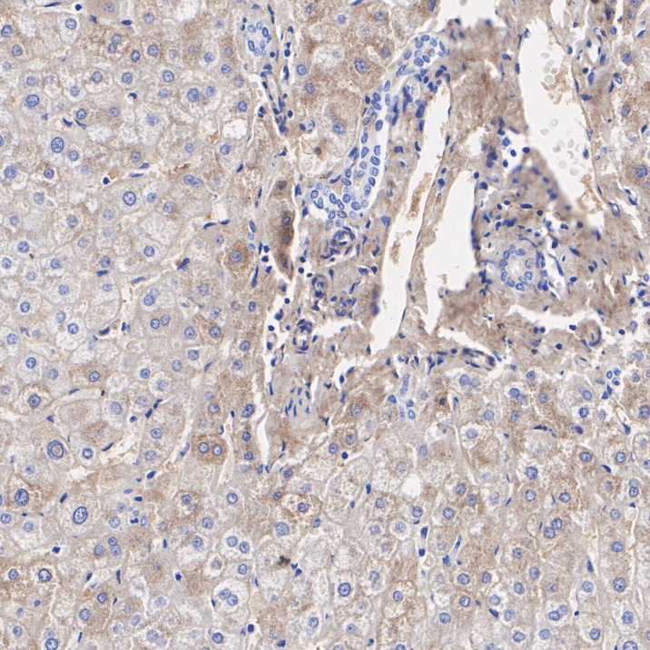
HA751442_3.jpg Fig3: Immunohistochemical analysis of paraffin-embedded mouse liver tissue with Rabbit anti-Antithrombin III / ATIII antibody (HA751442) at 1/1,000 dilution.

The section was pre-treated using heat mediated antigen retrieval with Tris-EDTA buffer (pH 9.0) for 20 minutes. The tissues were blocked in 1% BSA for 20 minutes at room temperature, washed with ddH2O and PBS, and then probed with the primary antibody (HA751442) at 1/1,000 dilution for 1 hour at room temperature. The detection was performed using an HRP conjugated compact polymer system. DAB was used as the chromogen. Tissues were counterstained with hematoxylin and mounted with DPX.
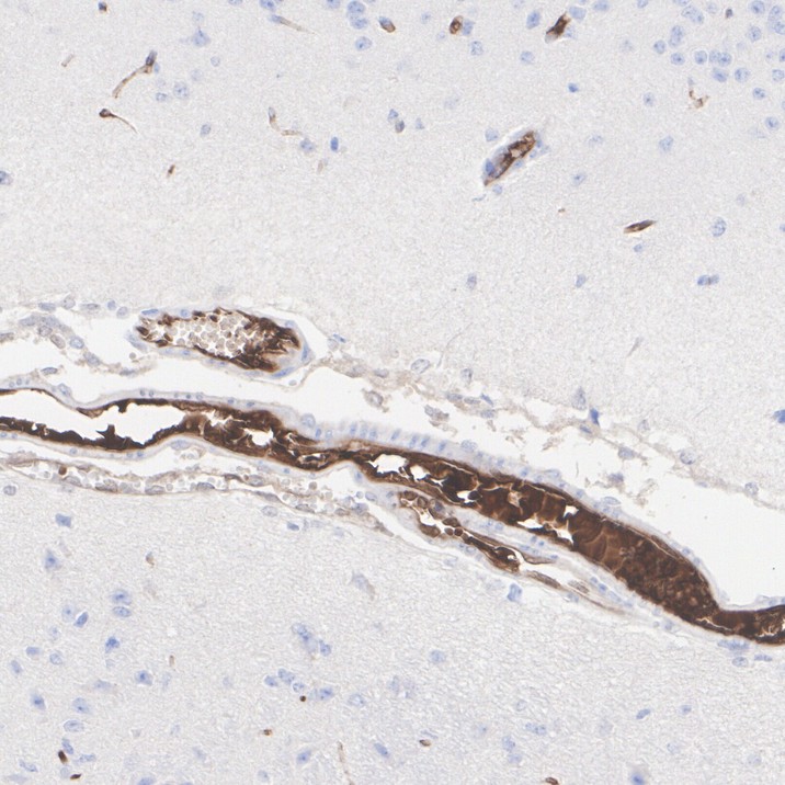
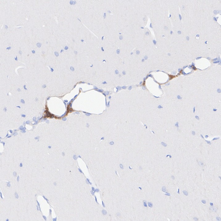
HA751442_4.jpg Fig4: Immunohistochemical analysis of paraffin-embedded mouse brain tissue (positive location is mainly in plasma) with Rabbit anti-Antithrombin III / ATIII antibody (HA751442) at 1/1,000 dilution.

The section was pre-treated using heat mediated antigen retrieval with Tris-EDTA buffer (pH 9.0) for 20 minutes. The tissues were blocked in 1% BSA for 20 minutes at room temperature, washed with ddH2O and PBS, and then probed with the primary antibody (HA751442) at 1/1,000 dilution for 1 hour at room temperature. The detection was performed using an HRP conjugated compact polymer system. DAB was used as the chromogen. Tissues were counterstained with hematoxylin and mounted with DPX.
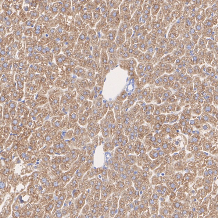
HA751442_5.jpg Fig5: Immunohistochemical analysis of paraffin-embedded rat liver tissue with Rabbit anti-Antithrombin III / ATIII antibody (HA751442) at 1/1,000 dilution.

The section was pre-treated using heat mediated antigen retrieval with Tris-EDTA buffer (pH 9.0) for 20 minutes. The tissues were blocked in 1% BSA for 20 minutes at room temperature, washed with ddH2O and PBS, and then probed with the primary antibody (HA751442) at 1/1,000 dilution for 1 hour at room temperature. The detection was performed using an HRP conjugated compact polymer system. DAB was used as the chromogen. Tissues were counterstained with hematoxylin and mounted with DPX.
HA751442_6.jpg Fig6: Immunohistochemical analysis of paraffin-embedded rat brain tissue (positive location is mainly in plasma) with Rabbit anti-Antithrombin III / ATIII antibody (HA751442) at 1/1,000 dilution.

The section was pre-treated using heat mediated antigen retrieval with Tris-EDTA buffer (pH 9.0) for 20 minutes. The tissues were blocked in 1% BSA for 20 minutes at room temperature, washed with ddH2O and PBS, and then probed with the primary antibody (HA751442) at 1/1,000 dilution for 1 hour at room temperature. The detection was performed using an HRP conjugated compact polymer system. DAB was used as the chromogen. Tissues were counterstained with hematoxylin and mounted with DPX.
Note: All products are “FOR RESEARCH USE ONLY AND ARE NOT INTENDED FOR DIAGNOSTIC OR THERAPEUTIC USE”.