beta 2 Microglobulin Recombinant Rabbit Monoclonal Antibody [PSH12-14]
cat.: HA751443
Product Type: Recombinant Rabbit monoclonal IgG, primary antibodies
Species reactivity: Human
Applications: WB, IF-Cell, IHC-P, FC, IP
Clonality: Monoclonal
Clone number: PSH12-14
Form: Liquid
Storage condition: Store at +4℃ after thawing. Aliquot store at -20℃. Avoid repeated freeze / thaw cycles.
Storage buffer: 1*PBS (pH7.4).
Concentration: 1ug/ul
Purification: Protein A affinity purified.
Molecular weight: Predicted band size: 14 kDa
Isotype: IgG
Immunogen: Recombinant protein within human beta 2 Microglobulin aa 1-119.
Positive control: HeLa cell lysate, Raji cell lysate, U-937 cell lysate, human lymph node tissue, human kidney tissue, HeLa.
Subcellular location: Secreted, Cell surface.
Recommended Dilutions:
  WB
  IF-Cell
  IHC-P
  FC
  IP

1:2,000
1:1,000
1:1,000
1:1,000
1-2μg/sample
Uniprot #: SwissProt: P61769 Human
Alternative names: B2M B2MG_HUMAN Beta 2 microglobin Beta 2 microglobulin Beta 2 microglobulin precursor Beta chain of mhc class 1 proteins Beta chain of MHC class I molecules Beta-2-microglobulin form pI 5.3 CDABP0092 Hdcma22p IMD43
Images
HA751443_1.jpg Fig1: Western blot analysis of beta 2 Microglobulin on different lysates with Rabbit anti-beta 2 Microglobulin antibody (HA751443) at 1/2,000 dilution.

Lane 1: HeLa cell lysate (20 µg/Lane)
Lane 2: Raji cell lysate (20 µg/Lane)
Lane 3: SH-SY5Y cell lysate (negative) (20 µg/Lane)
Lane 4: U-937 cell lysate (20 µg/Lane)

Predicted band size: 14 kDa
Observed band size: 12 kDa

Exposure time: 3 minutes; ECL: K1801;
4-20% SDS-PAGE gel.

Proteins were transferred to a PVDF membrane and blocked with 5% NFDM/TBST for 1 hour at room temperature. The primary antibody (HA751443) at 1/2,000 dilution was used in primary antibody dilution (K1803) at 4℃ overnight. Goat Anti-Rabbit IgG - HRP Secondary Antibody (HA1001) at 1/50,000 dilution was used for 1 hour at room temperature.
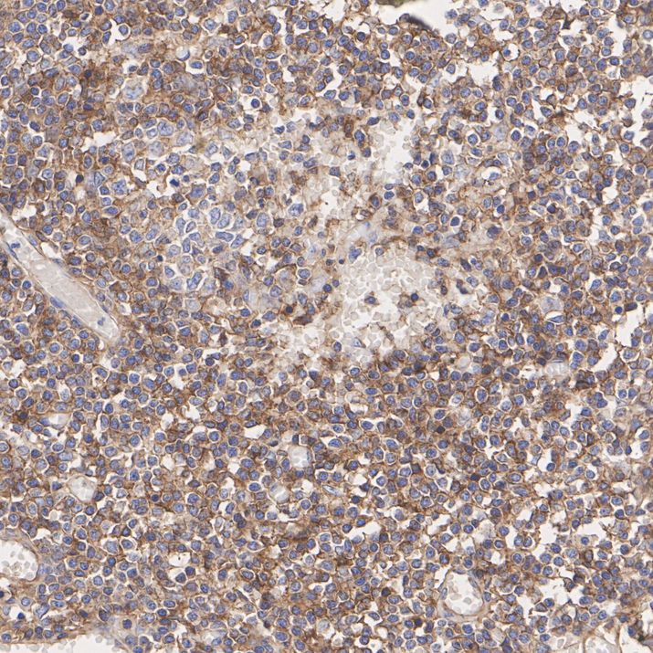
HA751443_2.jpg Fig2: Immunohistochemical analysis of paraffin-embedded human lymph node tissue with Rabbit anti-beta 2 Microglobulin antibody (HA751443) at 1/1,000 dilution.

The section was pre-treated using heat mediated antigen retrieval with Tris-EDTA buffer (pH 9.0) for 20 minutes. The tissues were blocked in 1% BSA for 20 minutes at room temperature, washed with ddH2O and PBS, and then probed with the primary antibody (HA751443) at 1/1,000 dilution for 1 hour at room temperature. The detection was performed using an HRP conjugated compact polymer system. DAB was used as the chromogen. Tissues were counterstained with hematoxylin and mounted with DPX.
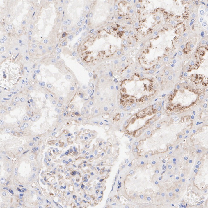
HA751443_3.jpg Fig3: Immunohistochemical analysis of paraffin-embedded human kidney tissue with Rabbit anti-beta 2 Microglobulin antibody (HA751443) at 1/1,000 dilution.

The section was pre-treated using heat mediated antigen retrieval with Tris-EDTA buffer (pH 9.0) for 20 minutes. The tissues were blocked in 1% BSA for 20 minutes at room temperature, washed with ddH2O and PBS, and then probed with the primary antibody (HA751443) at 1/1,000 dilution for 1 hour at room temperature. The detection was performed using an HRP conjugated compact polymer system. DAB was used as the chromogen. Tissues were counterstained with hematoxylin and mounted with DPX.
HA751443_4.jpg Fig4: Immunocytochemistry analysis of HeLa (positive) and SH-SY5Y (negative) labeling beta 2 Microglobulin with Rabbit anti-beta 2 Microglobulin antibody (HA751443) at 1/1,000 dilution.

Cells were fixed in 4% paraformaldehyde for 15 minutes at room temperature, permeabilized with 0.1% Triton X-100 in PBS for 15 minutes at room temperature, then blocked with 1% BSA in 10% negative goat serum for 1 hour at room temperature. Cells were then incubated with Rabbit anti-beta 2 Microglobulin antibody (HA751443) at 1/1,000 dilution in 1% BSA in PBST overnight at 4 ℃. Goat Anti-Rabbit IgG H&L (iFluor™ 488, HA1121) was used as the secondary antibody at 1/1,000 dilution. PBS instead of the primary antibody was used as the secondary antibody only control. Nuclear DNA was labelled in blue with DAPI.

Beta tubulin (HA601187, red) was stained at 1/100 dilution overnight at +4℃. Goat Anti-Mouse IgG H&L (iFluor™ 594, HA1126) was used as the secondary antibody at 1/1,000 dilution.
HA751443_5.jpg Fig5: Flow cytometric analysis of SH-SY5Y (left, negative) and HeLa (right, positive) cells labeling beta 2 Microglobulin.

Cells were washed twice with cold PBS and resuspend. Then stained with the primary antibody (HA751443, 1/1,000) (red) compared with Rabbit IgG Isotype Control (green). After incubation of the primary antibody at +4℃ for an hour, the cells were stained with a iFluor™ 488 conjugate-Goat anti-Rabbit IgG Secondary antibody (HA1121) at 1/1,000 dilution for 30 minutes at +4℃. Unlabelled sample was used as a control (cells without incubation with primary antibody; black).
HA751443_6.jpg Fig6: beta 2 Microglobulin was immunoprecipitated from 0.2 mg Raji cell lysate with HA751443 at 2 µg/10 µl beads. Western blot was performed from the immunoprecipitate using HA751443 at 1/2,000 dilution. HRP Conjugated Anti-Rabbit IgG for IP Nano-secondary antibody at 1/5,000 dilution was used for 1 hour at room temperature.

Lane 1: Raji cell lysate (input)
Lane 2: HA751443 IP in Raji cell lysate
Lane 3: Rabbit IgG instead of HA751443 in Raji cell lysate

Blocking/Dilution buffer: 5% NFDM/TBST
Exposure time: 3 minutes; ECL: K1802
Note: All products are “FOR RESEARCH USE ONLY AND ARE NOT INTENDED FOR DIAGNOSTIC OR THERAPEUTIC USE”.