IDO Recombinant Rabbit Monoclonal Antibody [PSH12-31]
cat.: HA751445
Product Type: Recombinant Rabbit monoclonal IgG, primary antibodies
Species reactivity: Human
Applications: WB, IF-Cell, IHC-P, FC, IP
Clonality: Monoclonal
Clone number: PSH12-31
Form: Liquid
Storage condition: Store at +4℃ after thawing. Aliquot store at -20℃. Avoid repeated freeze / thaw cycles.
Storage buffer: 1*PBS (pH7.4).
Concentration: 1ug/ul
Purification: Protein A affinity purified.
Molecular weight: Predicted band size: 45 kDa
Isotype: IgG
Immunogen: Recombinant protein within human IDO aa 1-403.
Positive control: HeLa treated with 50ng/mL hIFN-γ for 16 hours cell lysate, A549 treated with 50ng/mL hIFN-γ for 24 hours cell lysate, HeLa cells treated with 50ng/mL hIFN-γ for 16 hours, human colon adenocarcinoma tissue, human placenta tissue, human spleen tissue.
Subcellular location: Cytoplasm, cytosol.
Recommended Dilutions:
  WB
  IF-Cell
  IHC-P
  FC
  IP

1:5,000
1:100
1:1,000
1:1,000
1-2μg/sample
Uniprot #: SwissProt: P14902 Human
Alternative names: 3-dioxygenase I23O1_HUMAN IDO 1 IDO IDO-1 IDO1 INDO indolamine 2,3 dioxygenase Indole 2 3 dioxygenase indoleamine 2 3 dioxygenase 1 indoleamine 2 3 dioxygenase Indoleamine 2,3-dioxygenase 1 Indoleamine pyrrole 2 3 dioxygenase Indoleamine-pyrrole 2
Images
HA751445_1.jpg Fig1: Western blot analysis of IDO on different lysates with Rabbit anti-IDO antibody (HA751445) at 1/5,000 dilution.

Lane 1: HeLa cell lysate
Lane 2: HeLa treated with 50ng/mL hIFN-γ for 16 hours cell lysate
Lane 3: A549 cell lysate
Lane 4: A549 treated with 50ng/mL hIFN-γ for 24 hours cell lysate

Lysates/proteins at 20 µg/Lane.

Predicted band size: 45 kDa
Observed band size: 45 kDa

Exposure time: 2 seconds; ECL: K1801;

4-20% SDS-PAGE gel.

Proteins were transferred to a PVDF membrane and blocked with 5% NFDM/TBST for 1 hour at room temperature. The primary antibody (HA751445) at 1/5,000 dilution was used in primary antibody dilution (K1803) at 4℃ overnight. Goat Anti-Rabbit IgG - HRP Secondary Antibody (HA1001) at 1/50,000 dilution was used for 1 hour at room temperature.
HA751445_2.jpg Fig2: Immunocytochemistry analysis of HeLa cells untreated / treated with 50ng/mL hIFN-γ for 16 hours labeling IDO with Rabbit anti-IDO antibody (HA751445) at 1/100 dilution.

Cells were fixed in 4% paraformaldehyde for 15 minutes at room temperature, permeabilized with 0.1% Triton X-100 in PBS for 15 minutes at room temperature, then blocked with 1% BSA in 10% negative goat serum for 1 hour at room temperature. Cells were then incubated with Rabbit anti-IDO antibody (HA751445) at 1/100 dilution in 1% BSA in PBST overnight at 4 ℃. Goat Anti-Rabbit IgG H&L (iFluor™ 488, HA1121) was used as the secondary antibody at 1/1,000 dilution. PBS instead of the primary antibody was used as the secondary antibody only control. Nuclear DNA was labelled in blue with DAPI.

Beta tubulin (HA601187, red) was stained at 1/100 dilution overnight at +4℃. Goat Anti-Mouse IgG H&L (iFluor™ 594, HA1126) was used as the secondary antibody at 1/1,000 dilution.
HA751445_3.jpg Fig3: Immunohistochemical analysis of paraffin-embedded human colon adenocarcinoma tissue with Rabbit anti-IDO antibody (HA751445) at 1/1,000 dilution.

The section was pre-treated using heat mediated antigen retrieval with Tris-EDTA buffer (pH 9.0) for 20 minutes. The tissues were blocked in 1% BSA for 20 minutes at room temperature, washed with ddH2O and PBS, and then probed with the primary antibody (HA751445) at 1/1,000 dilution for 1 hour at room temperature. The detection was performed using an HRP conjugated compact polymer system. DAB was used as the chromogen. Tissues were counterstained with hematoxylin and mounted with DPX.
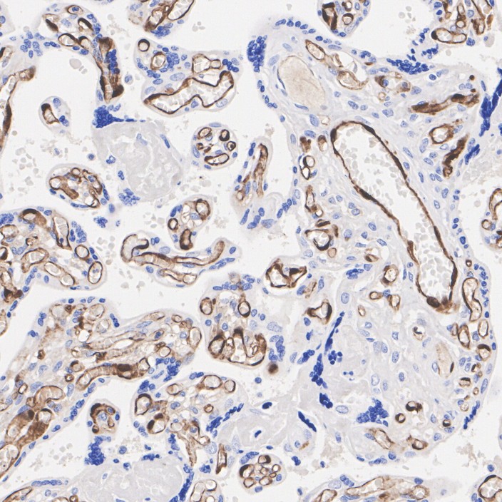
HA751445_4.jpg Fig4: Immunohistochemical analysis of paraffin-embedded human placenta tissue with Rabbit anti-IDO antibody (HA751445) at 1/1,000 dilution.

The section was pre-treated using heat mediated antigen retrieval with Tris-EDTA buffer (pH 9.0) for 20 minutes. The tissues were blocked in 1% BSA for 20 minutes at room temperature, washed with ddH2O and PBS, and then probed with the primary antibody (HA751445) at 1/1,000 dilution for 1 hour at room temperature. The detection was performed using an HRP conjugated compact polymer system. DAB was used as the chromogen. Tissues were counterstained with hematoxylin and mounted with DPX.
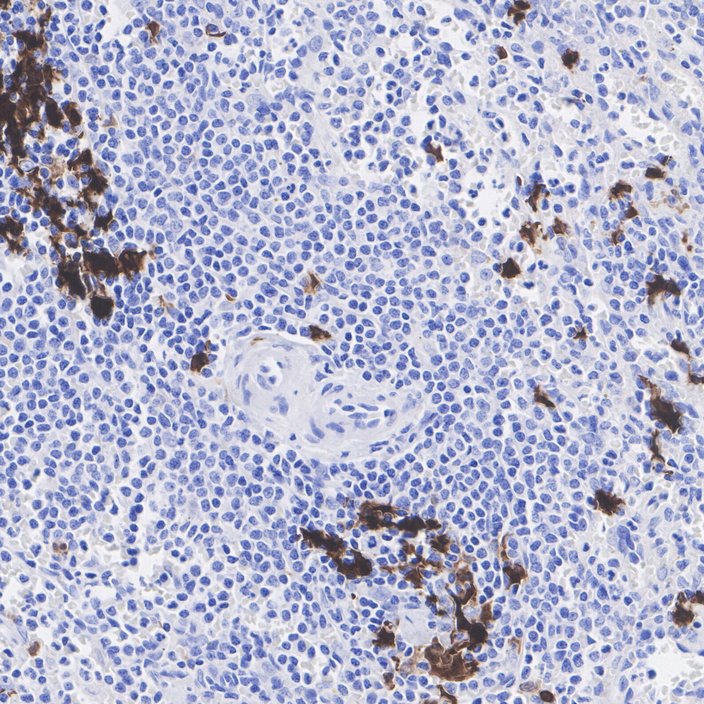
HA751445_5.jpg Fig5: Immunohistochemical analysis of paraffin-embedded human spleen tissue with Rabbit anti-IDO antibody (HA751445) at 1/1,000 dilution.

The section was pre-treated using heat mediated antigen retrieval with Tris-EDTA buffer (pH 9.0) for 20 minutes. The tissues were blocked in 1% BSA for 20 minutes at room temperature, washed with ddH2O and PBS, and then probed with the primary antibody (HA751445) at 1/1,000 dilution for 1 hour at room temperature. The detection was performed using an HRP conjugated compact polymer system. DAB was used as the chromogen. Tissues were counterstained with hematoxylin and mounted with DPX.
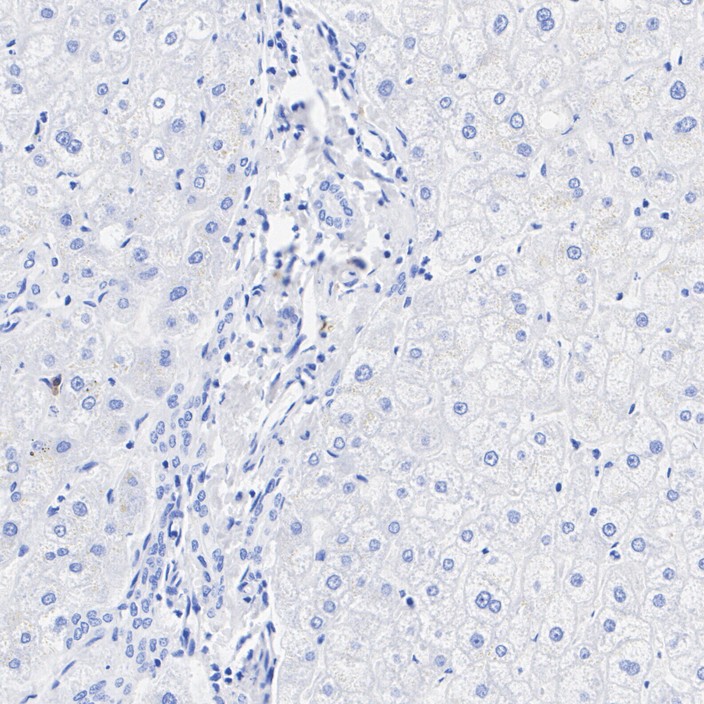
HA751445_6.jpg Fig6: Immunohistochemical analysis of paraffin-embedded human liver tissue (negative) with Rabbit anti-IDO antibody (HA751445) at 1/1,000 dilution.

The section was pre-treated using heat mediated antigen retrieval with Tris-EDTA buffer (pH 9.0) for 20 minutes. The tissues were blocked in 1% BSA for 20 minutes at room temperature, washed with ddH2O and PBS, and then probed with the primary antibody (HA751445) at 1/1,000 dilution for 1 hour at room temperature. The detection was performed using an HRP conjugated compact polymer system. DAB was used as the chromogen. Tissues were counterstained with hematoxylin and mounted with DPX.
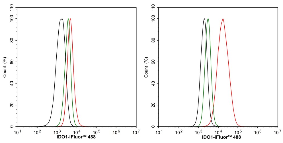
HA751445_7.jpg Fig7: Flow cytometric analysis of HeLa cells untreated (left) / treated with 50ng/mL hIFN-γ for 16 hours (right) labeling IDO.

Cells were fixed and permeabilized. Then stained with the primary antibody (HA751445, 1/1,000) (red) compared with Rabbit IgG Isotype Control (green). After incubation of the primary antibody at +4℃ for an hour, the cells were stained with a iFluor™ 488 conjugate-Goat anti-Rabbit IgG Secondary antibody (HA1121) at 1/1,000 dilution for 30 minutes at +4℃. Unlabelled sample was used as a control (cells without incubation with primary antibody; black).
HA751445_8.jpg Fig8: IDO was immunoprecipitated from 0.2 mg HeLa treated with 50ng/mL hIFN-γ for 16 hours cell lysate with HA751445 at 2 µg/10 µl beads. Western blot was performed from the immunoprecipitate using HA751445 at 1/2,000 dilution. HRP Conjugated Anti-Rabbit IgG for IP Nano-secondary antibody at 1/5,000 dilution was used for 1 hour at room temperature.

Lane 1: HeLa treated with 50ng/mL hIFN-γ for 16 hours cell lysate (input)
Lane 2: HA751445 IP in HeLa treated with 50ng/mL hIFN-γ for 16 hours cell lysate
Lane 3: Rabbit IgG instead of HA751445 in HeLa treated with 50ng/mL hIFN-γ for 16 hours cell lysate

Blocking/Dilution buffer: 5% NFDM/TBST
Exposure time: 6 seconds; ECL: K1801
Note: All products are “FOR RESEARCH USE ONLY AND ARE NOT INTENDED FOR DIAGNOSTIC OR THERAPEUTIC USE”.