DPP4 / CD26 Recombinant Rabbit Monoclonal Antibody [PSH12-59]
cat.: HA751446
Product Type: Recombinant Rabbit monoclonal IgG, primary antibodies
Species reactivity: Human
Applications: WB, IHC-P, IF-Cell, FC, IP
Clonality: Monoclonal
Clone number: PSH12-59
Form: Liquid
Storage condition: Store at +4℃ after thawing. Aliquot store at -20℃. Avoid repeated freeze / thaw cycles.
Storage buffer: 1*PBS (pH7.4).
Concentration: 1ug/ul
Purification: Protein A affinity purified.
Molecular weight: Predicted band size: 88 kDa
Isotype: IgG
Immunogen: Recombinant protein within Human DPP4 aa 1-766.
Positive control: LoVo cell lysate, Caco-2 cell lysate, HT-29 cell lysate, human colon carcinoma tissue, human kidney tissue, human liver tissue, Caco-2, LoVo.
Subcellular location: Cell membrane, Apical cell membrane, Cell projection, invadopodium membrane, Cell projection, lamellipodium membraneCell junction, Membrane raft.
Recommended Dilutions:
  WB
  IHC-P
  IF-Cell
  FC
  IP

1:5,000
1:1,000
1:100
1:1,000
1-2μg/sample
Uniprot #: SwissProt: P27487 Human
Alternative names: CD26 antigen ADA-binding protein ADABP ADCP 2 ADCP-2 ADCP2 Adenosine deaminase complexing protein 2 CD 26 CD26 CD26 antigen 3 Dipeptidyl peptidase 4 Dipeptidyl peptidase 4 soluble form Dipeptidyl peptidase IV Dipeptidyl peptidase IV membrane form Dipeptidyl peptidase IV soluble form Dipeptidyl peptidase, intestinal Dipeptidylpeptidase 4 Dipeptidylpeptidase IV (CD26, adenosine deaminase complexing protein 2) Dipeptidylpeptidase IV DPP 4 DPP IV DPP IV estoenzyme DPP4 DPP4_HUMAN DPPIV Intestinal dipeptidyl peptidase T cell activation antigen CD26 T-cell activation antigen CD26 TP 103 TP103
Images
HA751446_1.jpg Fig1: Western blot analysis of DPP4 / CD26 on different lysates with Rabbit anti-DPP4 / CD26 antibody (HA751446) at 1/5,000 dilution.

Lane 1: LoVo cell lysate
Lane 2: Caco-2 cell lysate
Lane 3: HT-29 cell lysate

Lysates/proteins at 20 µg/Lane.

Predicted band size: 88 kDa
Observed band size: 120 kDa

Exposure time: 30 seconds; ECL: K1801;
4-20% SDS-PAGE gel.

Proteins were transferred to a PVDF membrane and blocked with 5% NFDM/TBST for 1 hour at room temperature. The primary antibody (HA751446) at 1/5,000 dilution was used in primary antibody dilution (K1803) at 4℃ overnight. Goat Anti-Rabbit IgG - HRP Secondary Antibody (HA1001) at 1/50,000 dilution was used for 1 hour at room temperature.
HA751446_2.jpg Fig2: Western blot analysis of DPP4 / CD26 on different lysates with Rabbit anti-DPP4 / CD26 antibody (HA751446) at 1/5,000 dilution.

Lane 1: HT-29 cell lysate
Lane 2: HT-29 cell lysate treated with deglycosylation

Lysates/proteins at 20 µg/Lane.

Predicted band size: 88 kDa
Observed band size: 120/88 kDa

Exposure time: 1 minute 16 seconds; ECL: K1801;

4-20% SDS-PAGE gel.

Proteins were transferred to a PVDF membrane and blocked with 5% NFDM/TBST for 1 hour at room temperature. The primary antibody (HA751446) at 1/5,000 dilution was used in primary antibody dilution (K1803) at 4℃ overnight. Goat Anti-Rabbit IgG - HRP Secondary Antibody (HA1001) at 1/50,000 dilution was used for 1 hour at room temperature.
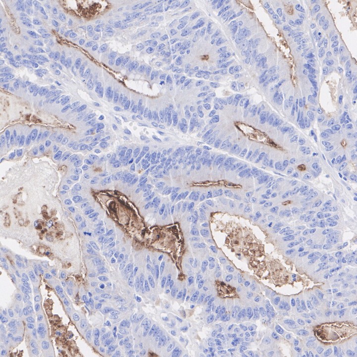
HA751446_3.jpg Fig3: Immunohistochemical analysis of paraffin-embedded human colon carcinoma tissue with Rabbit anti-DPP4 / CD26 antibody (HA751446) at 1/1,000 dilution.

The section was pre-treated using heat mediated antigen retrieval with Tris-EDTA buffer (pH 9.0) for 20 minutes. The tissues were blocked in 1% BSA for 20 minutes at room temperature, washed with ddH2O and PBS, and then probed with the primary antibody (HA751446) at 1/1,000 dilution for 1 hour at room temperature. The detection was performed using an HRP conjugated compact polymer system. DAB was used as the chromogen. Tissues were counterstained with hematoxylin and mounted with DPX.
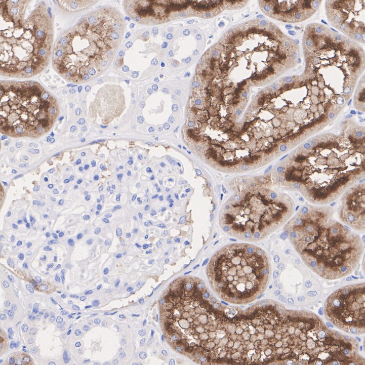
HA751446_4.jpg Fig4: Immunohistochemical analysis of paraffin-embedded human kidney tissue with Rabbit anti-DPP4 / CD26 antibody (HA751446) at 1/1,000 dilution.

The section was pre-treated using heat mediated antigen retrieval with Tris-EDTA buffer (pH 9.0) for 20 minutes. The tissues were blocked in 1% BSA for 20 minutes at room temperature, washed with ddH2O and PBS, and then probed with the primary antibody (HA751446) at 1/1,000 dilution for 1 hour at room temperature. The detection was performed using an HRP conjugated compact polymer system. DAB was used as the chromogen. Tissues were counterstained with hematoxylin and mounted with DPX.
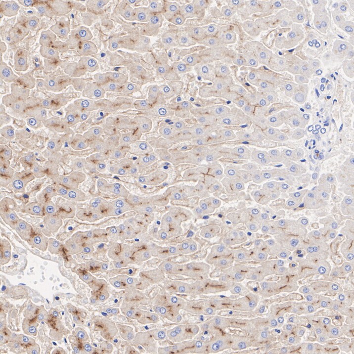
HA751446_5.jpg Fig5: Immunohistochemical analysis of paraffin-embedded human liver tissue with Rabbit anti-DPP4 / CD26 antibody (HA751446) at 1/1,000 dilution.

The section was pre-treated using heat mediated antigen retrieval with Tris-EDTA buffer (pH 9.0) for 20 minutes. The tissues were blocked in 1% BSA for 20 minutes at room temperature, washed with ddH2O and PBS, and then probed with the primary antibody (HA751446) at 1/1,000 dilution for 1 hour at room temperature. The detection was performed using an HRP conjugated compact polymer system. DAB was used as the chromogen. Tissues were counterstained with hematoxylin and mounted with DPX.
HA751446_6.jpg Fig6: Immunocytochemistry analysis of Caco-2 cells labeling DPP4 / CD26 with Rabbit anti-DPP4 / CD26 antibody (HA751446) at 1/100 dilution.

Cells were fixed in 4% paraformaldehyde for 15 minutes at room temperature, permeabilized with 0.1% Triton X-100 in PBS for 15 minutes at room temperature, then blocked with 1% BSA in 10% negative goat serum for 1 hour at room temperature. Cells were then incubated with Rabbit anti-DPP4 / CD26 antibody (HA751446) at 1/100 dilution in 1% BSA in PBST overnight at 4 ℃. Goat Anti-Rabbit IgG H&L (iFluor™ 488, HA1121) was used as the secondary antibody at 1/1,000 dilution. PBS instead of the primary antibody was used as the secondary antibody only control. Nuclear DNA was labelled in blue with DAPI.

Beta tubulin (HA601187, red) was stained at 1/100 dilution overnight at +4℃. Goat Anti-Mouse IgG H&L (iFluor™ 594, HA1126) was used as the secondary antibody at 1/1,000 dilution.
HA751446_7.jpg Fig7: Immunocytochemistry analysis of LoVo cells labeling DPP4 / CD26 with Rabbit anti-DPP4 / CD26 antibody (HA751446) at 1/100 dilution.

Cells were fixed in 4% paraformaldehyde for 15 minutes at room temperature, permeabilized with 0.1% Triton X-100 in PBS for 15 minutes at room temperature, then blocked with 1% BSA in 10% negative goat serum for 1 hour at room temperature. Cells were then incubated with Rabbit anti-DPP4 / CD26 antibody (HA751446) at 1/100 dilution in 1% BSA in PBST overnight at 4 ℃. Goat Anti-Rabbit IgG H&L (iFluor™ 488, HA1121) was used as the secondary antibody at 1/1,000 dilution. PBS instead of the primary antibody was used as the secondary antibody only control. Nuclear DNA was labelled in blue with DAPI.

Beta tubulin (HA601187, red) was stained at 1/100 dilution overnight at +4℃. Goat Anti-Mouse IgG H&L (iFluor™ 594, HA1126) was used as the secondary antibody at 1/1,000 dilution.
HA751446_8.jpg Fig8: Flow cytometric analysis of Caco-2 cells labeling DPP4 / CD26.

Cells were washed twice with cold PBS and resuspend. Then stained with the primary antibody (HA751446, 1/1,000) (red) compared with Rabbit IgG Isotype Control (green). After incubation of the primary antibody at +4℃ for an hour, the cells were stained with a iFluor™ 488 conjugate-Goat anti-Rabbit IgG Secondary antibody (HA1121) at 1/1,000 dilution for 30 minutes at +4℃. Unlabelled sample was used as a control (cells without incubation with primary antibody; black).
HA751446_9.jpg Fig9: Flow cytometric analysis of LoVo cells labeling DPP4 / CD26.

Cells were washed twice with cold PBS and resuspend. Then stained with the primary antibody (HA751446, 1/1,000) (red) compared with Rabbit IgG Isotype Control (green). After incubation of the primary antibody at +4℃ for an hour, the cells were stained with a iFluor™ 488 conjugate-Goat anti-Rabbit IgG Secondary antibody (HA1121) at 1/1,000 dilution for 30 minutes at +4℃. Unlabelled sample was used as a control (cells without incubation with primary antibody; black).
HA751446_10.jpg Fig10: DPP4 / CD26 was immunoprecipitated from 0.2 mg HT-29 cell lysate with HA751446 at 2 µg/10 µl beads. Western blot was performed from the immunoprecipitate using HA751446 at 1/5,000 dilution. HRP Conjugated Anti-Rabbit IgG for IP Nano-secondary antibody at 1/5,000 dilution was used for 1 hour at room temperature.

Lane 1: HT-29 cell lysate (input)
Lane 2: HA751446 IP in HT-29 cell lysate
Lane 3: Rabbit IgG instead of HA751446 in HT-29 cell lysate

Blocking/Dilution buffer: primary antibody dilution (K1803)
Exposure time: 10 seconds; ECL: K1801
Note: All products are “FOR RESEARCH USE ONLY AND ARE NOT INTENDED FOR DIAGNOSTIC OR THERAPEUTIC USE”.