Livin Recombinant Rabbit Monoclonal Antibody [PSH12-72]
cat.: HA751448
Product Type: Recombinant Rabbit monoclonal IgG, primary antibodies
Species reactivity: Human
Applications: WB, IHC-P, IP
Clonality: Monoclonal
Clone number: PSH12-72
Form: Liquid
Storage condition: Store at +4℃ after thawing. Aliquot store at -20℃. Avoid repeated freeze / thaw cycles.
Storage buffer: 1*PBS (pH7.4).
Concentration: 1ug/ul
Purification: Protein A affinity purified.
Molecular weight: Predicted band size: 33 kDa
Isotype: IgG
Immunogen: Recombinant protein within human Livin aa 1-250.
Positive control: SK-MEL-28 cell lysate, human breast cancer tissue, human placenta tissue.
Subcellular location: Nucleus, Cytoplasm, Golgi apparatus
Recommended Dilutions:
  WB
  IHC-P
  IP

1:5,000
1:2,000
1-2μg/sample
Uniprot #: SwissProt: Q96CA5 Human
Alternative names: Baculoviral IAP repeat containing 7 Baculoviral IAP repeat containing protein 7 Baculoviral IAP repeat-containing protein 7 BIRC 7 birc7 BIRC7_HUMAN KIAP Kidney inhibitor of apoptosis protein Livin Livin inhibitor of apotosis Melanoma inhibitor of apoptosis protein ML IAP ML-IAP MLIAP RING finger protein 50 RNF 50 RNF50
Images
HA751448_1.jpg Fig1: Western blot analysis of Livin on different lysates with Rabbit anti-Livin antibody (HA751448) at 1/5,000 dilution.

Lane 1: SK-MEL-28 cell lysate
Lane 2: HeLa cell lysate (negative)

Lysates/proteins at 20 µg/Lane.

Predicted band size: 33 kDa
Observed band size: 35 kDa

Exposure time: 30 seconds; ECL: K1801;
4-20% SDS-PAGE gel.

Proteins were transferred to a PVDF membrane and blocked with 5% NFDM/TBST for 1 hour at room temperature. The primary antibody (HA751448) at 1/5,000 dilution was used in 5% NFDM/TBST at 4℃ overnight. Goat Anti-Rabbit IgG - HRP Secondary Antibody (HA1001) at 1/50,000 dilution was used for 1 hour at room temperature.
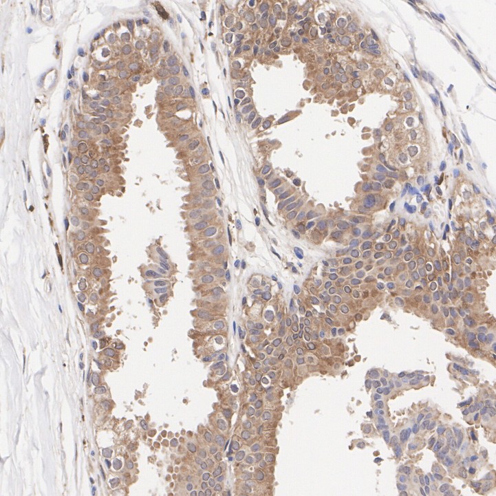
HA751448_2.jpg Fig2: Immunohistochemical analysis of paraffin-embedded human breast cancer tissue with Rabbit anti-Livin antibody (HA751448) at 1/2,000 dilution.

The section was pre-treated using heat mediated antigen retrieval with Tris-EDTA buffer (pH 9.0) for 20 minutes. The tissues were blocked in 1% BSA for 20 minutes at room temperature, washed with ddH2O and PBS, and then probed with the primary antibody (HA751448) at 1/2,000 dilution for 1 hour at room temperature. The detection was performed using an HRP conjugated compact polymer system. DAB was used as the chromogen. Tissues were counterstained with hematoxylin and mounted with DPX.
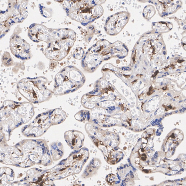
HA751448_3.jpg Fig3: Immunohistochemical analysis of paraffin-embedded human placenta tissue with Rabbit anti-Livin antibody (HA751448) at 1/2,000 dilution.

The section was pre-treated using heat mediated antigen retrieval with Tris-EDTA buffer (pH 9.0) for 20 minutes. The tissues were blocked in 1% BSA for 20 minutes at room temperature, washed with ddH2O and PBS, and then probed with the primary antibody (HA751448) at 1/2,000 dilution for 1 hour at room temperature. The detection was performed using an HRP conjugated compact polymer system. DAB was used as the chromogen. Tissues were counterstained with hematoxylin and mounted with DPX.
HA751448_4.jpg Fig4: Livin was immunoprecipitated from 0.2 mg SK-MEL-28 cell lysate with HA751448 at 2 µg/10 µl beads. Western blot was performed from the immunoprecipitate using HA751448 at 1/5,000 dilution. HRP Conjugated Anti-Rabbit IgG for IP Nano-secondary antibody at 1/5,000 dilution was used for 1 hour at room temperature.

Lane 1: SK-MEL-28 cell lysate (input)
Lane 2: HA751448 IP in SK-MEL-28 cell lysate
Lane 3: Rabbit IgG instead of HA751448 in SK-MEL-28 cell lysate

Blocking/Dilution buffer: 5% NFDM/TBST
Exposure time: 12 seconds; ECL: K1801
Note: All products are “FOR RESEARCH USE ONLY AND ARE NOT INTENDED FOR DIAGNOSTIC OR THERAPEUTIC USE”.