LDHA + LDHB Recombinant Rabbit Monoclonal Antibody [PSH12-75]
cat.: HA751451
Product Type: Recombinant Rabbit monoclonal IgG, primary antibodies
Species reactivity: Human, Mouse, Rat
Applications: WB, IHC-P, IF-Cell, FC, IP
Clonality: Monoclonal
Clone number: PSH12-75
Form: Liquid
Storage condition: Store at +4℃ after thawing. Aliquot store at -20℃. Avoid repeated freeze / thaw cycles.
Storage buffer: 1*PBS (pH7.4).
Concentration: 1ug/ul
Purification: Protein A affinity purified.
Molecular weight: Predicted band size: 37 kDa
Isotype: IgG
Immunogen: Synthetic peptide within Human LDHA aa 1-50 / 332.
Positive control: HepG2 cell lysate, HeLa cell lysate, MCF7 cell lysate, A431 cell lysate, 293T cell lysate, PANC-1 cell lysate, U-87 MG cell lysate, MDA-MB-231 cell lysate, NIH/3T3 cell lysate, RAW264.7 cell lysate, Neuro-2a cell lysate, C2C12 cell lysate, C6 cell lysate, PC-12 cell lysate, human breast cancer tissue, human liver tissue, mouse liver tissue, mouse heart tissue, rat heart tissue, HeLa, C2C12, PC-12.
Subcellular location: Cytoplasm.
Recommended Dilutions:
  WB
  IHC-P
  IF-Cell
  FC
  IP

1:5,000
1:20,000
1:100
1:1,000
1-2μg/sample
Uniprot #: SwissProt: P07195 Human | P00338 Human | P16125 Mouse | P06151 Mouse | P42123 Rat | P04642 Rat
Alternative names: Cell proliferation-inducing gene 19 protein GSD11 L lactate dehydrogenase B chain L-lactate dehydrogenase A chain Lactate dehydrogenase A Lactate dehydrogenase B Lactate dehydrogenase c variant 1 Lactate dehydrogenase c variant 3 Lactate dehydrogenase c variant 4 Lactate dehydrogenase C4 Lactate dehydrogenase H chain Lactate dehydrogenase M LDH A LDH B LDH H LDH heart subunit LDH M LDH muscle subunit LDH-A LDH-M LDH1 ldha LDHA_HUMAN LDHBD LDHM MS1111 PIG19 Proliferation inducing gene 19 Proliferation-inducing gene 19 Renal carcinoma antigen NY REN 46 Renal carcinoma antigen NY-REN-59 TRG 5 TRG5
Images
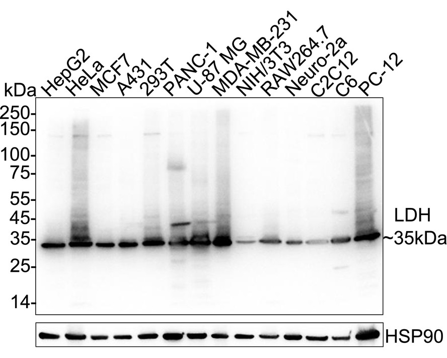
HA751451_1.jpg Fig1: Western blot analysis of LDHA + LDHB on different lysates with Rabbit anti-LDHA + LDHB antibody (HA751451) at 1/5,000 dilution.

Lane 1: HepG2 cell lysate
Lane 2: HeLa cell lysate
Lane 3: MCF7 cell lysate
Lane 4: A431 cell lysate
Lane 5: 293T cell lysate
Lane 6: PANC-1 cell lysate
Lane 7: U-87 MG cell lysate
Lane 8: MDA-MB-231 cell lysate
Lane 9: NIH/3T3 cell lysate
Lane 10: RAW264.7 cell lysate
Lane 11: Neuro-2a cell lysate
Lane 12: C2C12 cell lysate
Lane 13: C6 cell lysate
Lane 14: PC-12 cell lysate

Lysates/proteins at 20 µg/Lane.

Predicted band size: 37 kDa
Observed band size: 35 kDa

Exposure time: 6 seconds; ECL: K1801;

4-20% SDS-PAGE gel.

Proteins were transferred to a PVDF membrane and blocked with 5% NFDM/TBST for 1 hour at room temperature. The primary antibody (HA751451) at 1/5,000 dilution was used in 5% NFDM/TBST at 4℃ overnight. Goat Anti-Rabbit IgG - HRP Secondary Antibody (HA1001) at 1/50,000 dilution was used for 1 hour at room temperature.
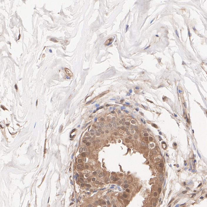
HA751451_2.jpg Fig2: Immunohistochemical analysis of paraffin-embedded human breast cancer tissue with Rabbit anti-LDHA + LDHB antibody (HA751451) at 1/20,000 dilution.

The section was pre-treated using heat mediated antigen retrieval with Tris-EDTA buffer (pH 9.0) for 20 minutes. The tissues were blocked in 1% BSA for 20 minutes at room temperature, washed with ddH2O and PBS, and then probed with the primary antibody (HA751451) at 1/20,000 dilution for 1 hour at room temperature. The detection was performed using an HRP conjugated compact polymer system. DAB was used as the chromogen. Tissues were counterstained with hematoxylin and mounted with DPX.
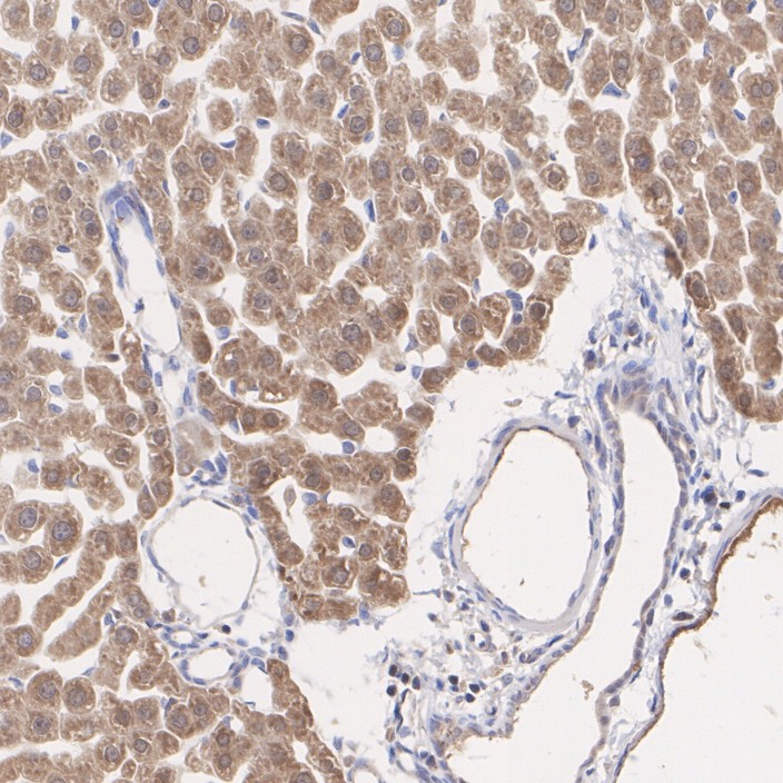
HA751451_3.jpg Fig3: Immunohistochemical analysis of paraffin-embedded human liver tissue with Rabbit anti-LDHA + LDHB antibody (HA751451) at 1/20,000 dilution.

The section was pre-treated using heat mediated antigen retrieval with Tris-EDTA buffer (pH 9.0) for 20 minutes. The tissues were blocked in 1% BSA for 20 minutes at room temperature, washed with ddH2O and PBS, and then probed with the primary antibody (HA751451) at 1/20,000 dilution for 1 hour at room temperature. The detection was performed using an HRP conjugated compact polymer system. DAB was used as the chromogen. Tissues were counterstained with hematoxylin and mounted with DPX.
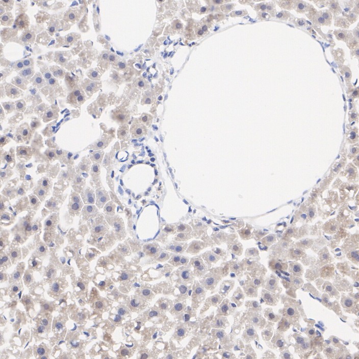
HA751451_4.jpg Fig4: Immunohistochemical analysis of paraffin-embedded mouse liver tissue with Rabbit anti-LDHA + LDHB antibody (HA751451) at 1/20,000 dilution.

The section was pre-treated using heat mediated antigen retrieval with Tris-EDTA buffer (pH 9.0) for 20 minutes. The tissues were blocked in 1% BSA for 20 minutes at room temperature, washed with ddH2O and PBS, and then probed with the primary antibody (HA751451) at 1/20,000 dilution for 1 hour at room temperature. The detection was performed using an HRP conjugated compact polymer system. DAB was used as the chromogen. Tissues were counterstained with hematoxylin and mounted with DPX.
HA751451_5.jpg Fig5: Immunohistochemical analysis of paraffin-embedded mouse heart tissue with Rabbit anti-LDHA + LDHB antibody (HA751451) at 1/20,000 dilution.

The section was pre-treated using heat mediated antigen retrieval with Tris-EDTA buffer (pH 9.0) for 20 minutes. The tissues were blocked in 1% BSA for 20 minutes at room temperature, washed with ddH2O and PBS, and then probed with the primary antibody (HA751451) at 1/20,000 dilution for 1 hour at room temperature. The detection was performed using an HRP conjugated compact polymer system. DAB was used as the chromogen. Tissues were counterstained with hematoxylin and mounted with DPX.
HA751451_6.jpg Fig6: Immunohistochemical analysis of paraffin-embedded rat heart tissue with Rabbit anti-LDHA + LDHB antibody (HA751451) at 1/20,000 dilution.

The section was pre-treated using heat mediated antigen retrieval with Tris-EDTA buffer (pH 9.0) for 20 minutes. The tissues were blocked in 1% BSA for 20 minutes at room temperature, washed with ddH2O and PBS, and then probed with the primary antibody (HA751451) at 1/20,000 dilution for 1 hour at room temperature. The detection was performed using an HRP conjugated compact polymer system. DAB was used as the chromogen. Tissues were counterstained with hematoxylin and mounted with DPX.
HA751451_7.jpg Fig7: Immunocytochemistry analysis of HeLa cells labeling LDHA + LDHB with Rabbit anti-LDHA + LDHB antibody (HA751451) at 1/100 dilution.

Cells were fixed in 4% paraformaldehyde for 15 minutes at room temperature, permeabilized with 0.1% Triton X-100 in PBS for 15 minutes at room temperature, then blocked with 1% BSA in 10% negative goat serum for 1 hour at room temperature. Cells were then incubated with Rabbit anti-LDHA + LDHB antibody (HA751451) at 1/100 dilution in 1% BSA in PBST overnight at 4 ℃. Goat Anti-Rabbit IgG H&L (iFluor™ 488, HA1121) was used as the secondary antibody at 1/1,000 dilution. PBS instead of the primary antibody was used as the secondary antibody only control. Nuclear DNA was labelled in blue with DAPI.

Beta tubulin (HA601187, red) was stained at 1/100 dilution overnight at +4℃. Goat Anti-Mouse IgG H&L (iFluor™ 594, HA1126) was used as the secondary antibody at 1/1,000 dilution.
HA751451_8.jpg Fig8: Immunocytochemistry analysis of C2C12 cells labeling LDHA + LDHB with Rabbit anti-LDHA + LDHB antibody (HA751451) at 1/100 dilution.

Cells were fixed in 4% paraformaldehyde for 15 minutes at room temperature, permeabilized with 0.1% Triton X-100 in PBS for 15 minutes at room temperature, then blocked with 1% BSA in 10% negative goat serum for 1 hour at room temperature. Cells were then incubated with Rabbit anti-LDHA + LDHB antibody (HA751451) at 1/100 dilution in 1% BSA in PBST overnight at 4 ℃. Goat Anti-Rabbit IgG H&L (iFluor™ 488, HA1121) was used as the secondary antibody at 1/1,000 dilution. PBS instead of the primary antibody was used as the secondary antibody only control. Nuclear DNA was labelled in blue with DAPI.

Beta tubulin (HA601187, red) was stained at 1/100 dilution overnight at +4℃. Goat Anti-Mouse IgG H&L (iFluor™ 594, HA1126) was used as the secondary antibody at 1/1,000 dilution.
HA751451_9.jpg Fig9: Immunocytochemistry analysis of PC-12 cells labeling LDHA + LDHB with Rabbit anti-LDHA + LDHB antibody (HA751451) at 1/100 dilution.

Cells were fixed in 4% paraformaldehyde for 15 minutes at room temperature, permeabilized with 0.1% Triton X-100 in PBS for 15 minutes at room temperature, then blocked with 1% BSA in 10% negative goat serum for 1 hour at room temperature. Cells were then incubated with Rabbit anti-LDHA + LDHB antibody (HA751451) at 1/100 dilution in 1% BSA in PBST overnight at 4 ℃. Goat Anti-Rabbit IgG H&L (iFluor™ 488, HA1121) was used as the secondary antibody at 1/1,000 dilution. PBS instead of the primary antibody was used as the secondary antibody only control. Nuclear DNA was labelled in blue with DAPI.

Beta tubulin (HA601187, red) was stained at 1/100 dilution overnight at +4℃. Goat Anti-Mouse IgG H&L (iFluor™ 594, HA1126) was used as the secondary antibody at 1/1,000 dilution.
HA751451_10.jpg Fig10: Flow cytometric analysis of HeLa cells labeling LDHA + LDHB.

Cells were fixed and permeabilized. Then stained with the primary antibody (HA751451, 1/1,000) (red) compared with Rabbit IgG Isotype Control (green). After incubation of the primary antibody at +4℃ for an hour, the cells were stained with a iFluor™ 488 conjugate-Goat anti-Rabbit IgG Secondary antibody (HA1121) at 1/1,000 dilution for 30 minutes at +4℃. Unlabelled sample was used as a control (cells without incubation with primary antibody; black).
HA751451_11.jpg Fig11: Flow cytometric analysis of C2C12 cells labeling LDHA + LDHB.

Cells were fixed and permeabilized. Then stained with the primary antibody (HA751451, 1/1,000) (red) compared with Rabbit IgG Isotype Control (green). After incubation of the primary antibody at +4℃ for an hour, the cells were stained with a iFluor™ 488 conjugate-Goat anti-Rabbit IgG Secondary antibody (HA1121) at 1/1,000 dilution for 30 minutes at +4℃. Unlabelled sample was used as a control (cells without incubation with primary antibody; black).
HA751451_12.jpg Fig12: Flow cytometric analysis of PC-12 cells labeling LDHA + LDHB.

Cells were fixed and permeabilized. Then stained with the primary antibody (HA751451, 1/1,000) (red) compared with Rabbit IgG Isotype Control (green). After incubation of the primary antibody at +4℃ for an hour, the cells were stained with a iFluor™ 488 conjugate-Goat anti-Rabbit IgG Secondary antibody (HA1121) at 1/1,000 dilution for 30 minutes at +4℃. Unlabelled sample was used as a control (cells without incubation with primary antibody; black).
HA751451_13.jpg Fig13: LDHA + LDHB was immunoprecipitated from 0.2 mg HepG2 cell lysate with HA751451 at 2 µg/10 µl beads. Western blot was performed from the immunoprecipitate using HA751451 at 1/5,000 dilution. HRP Conjugated Anti-Rabbit IgG for IP Nano-secondary antibody at 1/5,000 dilution was used for 1 hour at room temperature.

Lane 1: HepG2 cell lysate (input)
Lane 2: HA751451 IP in HepG2 cell lysate
Lane 3: Rabbit IgG instead of HA751451 in HepG2 cell lysate

Blocking/Dilution buffer: 5% NFDM/TBST
Exposure time: 9 seconds; ECL: K1801
Note: All products are “FOR RESEARCH USE ONLY AND ARE NOT INTENDED FOR DIAGNOSTIC OR THERAPEUTIC USE”.