Myt1 / MTF1 Recombinant Rabbit Monoclonal Antibody [PSH12-97]
cat.: HA751452
Product Type: Recombinant Rabbit monoclonal IgG, primary antibodies
Species reactivity: Human, Mouse, Rat
Applications: WB, IF-Cell, IHC-P, IF-Tissue
Clonality: Monoclonal
Clone number: PSH12-97
Form: Liquid
Storage condition: Store at +4℃ after thawing. Aliquot store at -20℃. Avoid repeated freeze / thaw cycles.
Storage buffer: 1*PBS (pH7.4).
Concentration: 1ug/ul
Purification: Protein A affinity purified.
Molecular weight: Predicted band size: 122 kDa
Isotype: IgG
Immunogen: Recombinant protein within human Myt1 aa 651-800.
Positive control: SH-SY5Y cell lysate, Neuro-2a cell lysate, SH-SY5Y, Neuro-2a, mouse brain tissue, mouse embryonic brain tissue, mouse embryonic eye tissue, rat brain tissue, rat embryonic brain tissue, rat embryos tissue.
Subcellular location: Nucleus.
Recommended Dilutions:
  WB
  IF-Cell
  IHC-P
  IF-Tissue

1:15,000
1:50-1:100
1:200-1:1,000
1:50-1:200
Uniprot #: SwissProt: Q01538 Human | Q8CFC2 Mouse
Entrez Gene: 362291 Rat
Alternative names: C20orf36 KIAA0835 KIAA1050 MTF1 Myelin transcription factor 1 Myelin transcription factor I MYT1 MYT1_HUMAN MyTI PLPB1 Proteolipid protein-binding protein
Images
HA751452_1.jpg Fig1: Western blot analysis of Myt1 / MTF1 on different lysates with Rabbit anti-Myt1 / MTF1 antibody (HA751452) at 1/15,000 dilution.

Lane 1: SH-SY5Y cell lysate
Lane 2: Neuro-2a cell lysate

Lysates/proteins at 20 µg/Lane.

Predicted band size: 122 kDa
Observed band size: 150 kDa

Exposure time: 25 seconds; ECL: K1801;

4-20% SDS-PAGE gel.

Proteins were transferred to a PVDF membrane and blocked with 5% NFDM/TBST for 1 hour at room temperature. The primary antibody (HA751452) at 1/15,000 dilution was used in primary antibody dilution (K1803) at 4℃ overnight. Goat Anti-Rabbit IgG - HRP Secondary Antibody (HA1001) at 1/50,000 dilution was used for 1 hour at room temperature.
HA751452_2.jpg Fig2: Immunocytochemistry analysis of SH-SY5Y cells labeling Myt1 / MTF1 with Rabbit anti-Myt1 / MTF1 antibody (HA751452) at 1/100 dilution.

Cells were fixed in 4% paraformaldehyde for 15 minutes at room temperature, permeabilized with 0.1% Triton X-100 in PBS for 15 minutes at room temperature, then blocked with 1% BSA in 10% negative goat serum for 1 hour at room temperature. Cells were then incubated with Rabbit anti-Myt1 / MTF1 antibody (HA751452) at 1/100 dilution in 1% BSA in PBST overnight at 4 ℃. Goat Anti-Rabbit IgG H&L (iFluor™ 488, HA1121) was used as the secondary antibody at 1/1,000 dilution. PBS instead of the primary antibody was used as the secondary antibody only control. Nuclear DNA was labelled in blue with DAPI.

Beta tubulin (HA601187, red) was stained at 1/100 dilution overnight at +4℃. Goat Anti-Mouse IgG H&L (iFluor™ 594, HA1126) was used as the secondary antibody at 1/1,000 dilution.
HA751452_3.jpg Fig3: Immunocytochemistry analysis of Neuro-2a cells labeling Myt1 / MTF1 with Rabbit anti-Myt1 / MTF1 antibody (HA751452) at 1/50 dilution.

Cells were fixed in 4% paraformaldehyde for 15 minutes at room temperature, permeabilized with 0.1% Triton X-100 in PBS for 15 minutes at room temperature, then blocked with 1% BSA in 10% negative goat serum for 1 hour at room temperature. Cells were then incubated with Rabbit anti-Myt1 / MTF1 antibody (HA751452) at 1/50 dilution in 1% BSA in PBST overnight at 4 ℃. Goat Anti-Rabbit IgG H&L (iFluor™ 488, HA1121) was used as the secondary antibody at 1/1,000 dilution. PBS instead of the primary antibody was used as the secondary antibody only control. Nuclear DNA was labelled in blue with DAPI.

Beta tubulin (HA601187, red) was stained at 1/100 dilution overnight at +4℃. Goat Anti-Mouse IgG H&L (iFluor™ 594, HA1126) was used as the secondary antibody at 1/1,000 dilution.
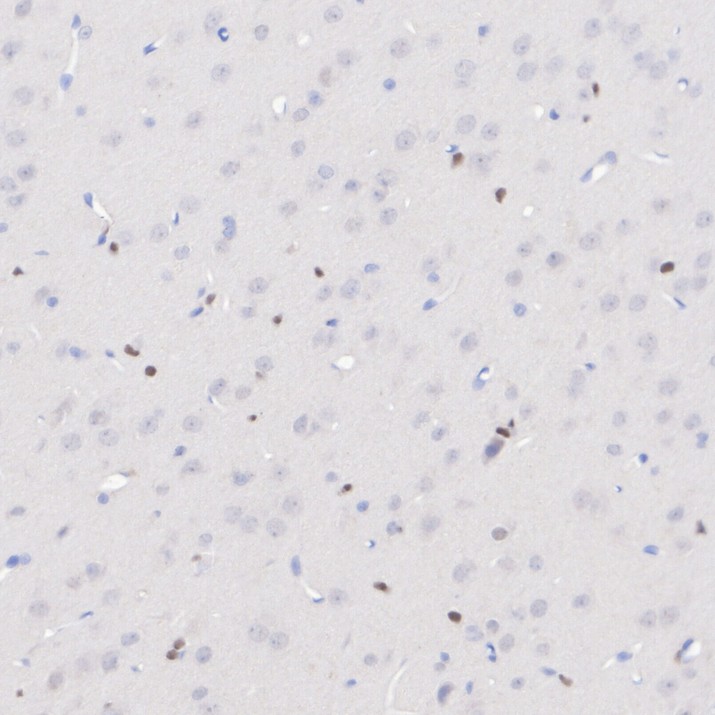
HA751452_4.jpg Fig4: Immunohistochemical analysis of paraffin-embedded mouse brain tissue with Rabbit anti-Myt1 / MTF1 antibody (HA751452) at 1/1,000 dilution.

The section was pre-treated using heat mediated antigen retrieval with Tris-EDTA buffer (pH 9.0) for 20 minutes. The tissues were blocked in 1% BSA for 20 minutes at room temperature, washed with ddH2O and PBS, and then probed with the primary antibody (HA751452) at 1/1,000 dilution for 1 hour at room temperature. The detection was performed using an HRP conjugated compact polymer system. DAB was used as the chromogen. Tissues were counterstained with hematoxylin and mounted with DPX.
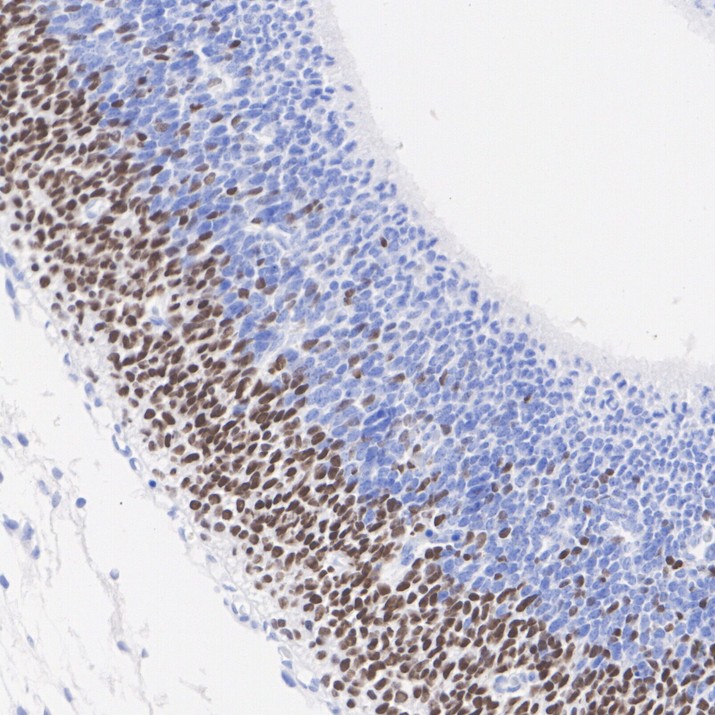
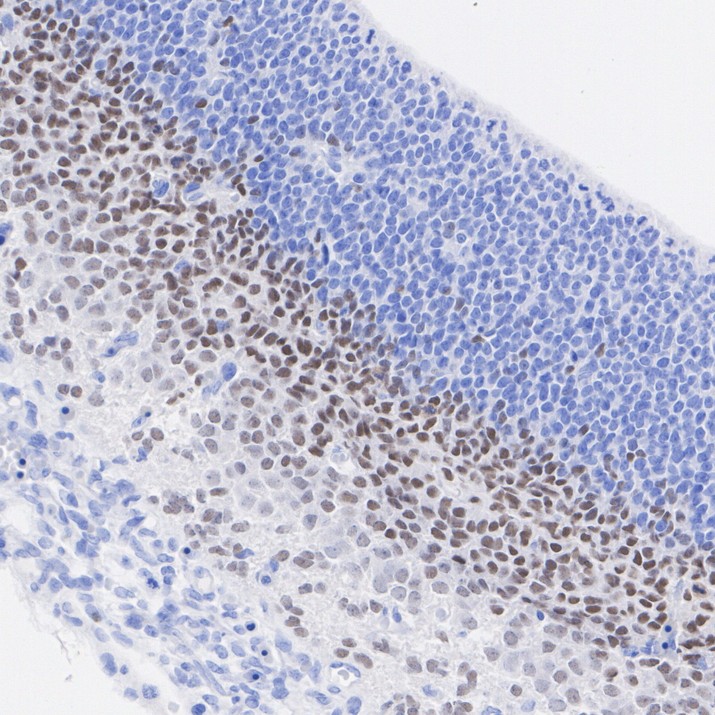
HA751452_5.jpg Fig5: Immunohistochemical analysis of paraffin-embedded mouse embryonic brain tissue with Rabbit anti-Myt1 / MTF1 antibody (HA751452) at 1/1,000 dilution.

The section was pre-treated using heat mediated antigen retrieval with Tris-EDTA buffer (pH 9.0) for 20 minutes. The tissues were blocked in 1% BSA for 20 minutes at room temperature, washed with ddH2O and PBS, and then probed with the primary antibody (HA751452) at 1/1,000 dilution for 1 hour at room temperature. The detection was performed using an HRP conjugated compact polymer system. DAB was used as the chromogen. Tissues were counterstained with hematoxylin and mounted with DPX.
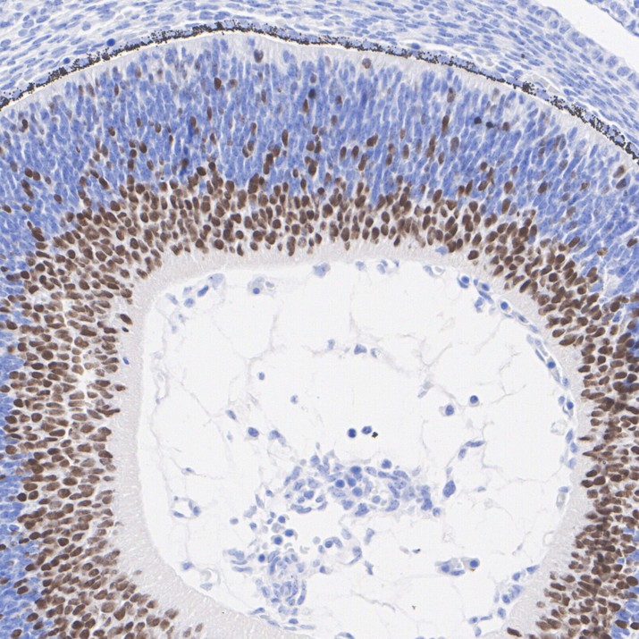
HA751452_6.jpg Fig6: Immunohistochemical analysis of paraffin-embedded mouse embryonic eye tissue with Rabbit anti-Myt1 / MTF1 antibody (HA751452) at 1/1,000 dilution.

The section was pre-treated using heat mediated antigen retrieval with Tris-EDTA buffer (pH 9.0) for 20 minutes. The tissues were blocked in 1% BSA for 20 minutes at room temperature, washed with ddH2O and PBS, and then probed with the primary antibody (HA751452) at 1/1,000 dilution for 1 hour at room temperature. The detection was performed using an HRP conjugated compact polymer system. DAB was used as the chromogen. Tissues were counterstained with hematoxylin and mounted with DPX.
HA751452_7.jpg Fig7: Immunohistochemical analysis of paraffin-embedded rat brain tissue with Rabbit anti-Myt1 / MTF1 antibody (HA751452) at 1/1,000 dilution.

The section was pre-treated using heat mediated antigen retrieval with Tris-EDTA buffer (pH 9.0) for 20 minutes. The tissues were blocked in 1% BSA for 20 minutes at room temperature, washed with ddH2O and PBS, and then probed with the primary antibody (HA751452) at 1/1,000 dilution for 1 hour at room temperature. The detection was performed using an HRP conjugated compact polymer system. DAB was used as the chromogen. Tissues were counterstained with hematoxylin and mounted with DPX.
HA751452_8.jpg Fig8: Immunohistochemical analysis of paraffin-embedded rat embryonic brain tissue with Rabbit anti-Myt1 / MTF1 antibody (HA751452) at 1/1,000 dilution.

The section was pre-treated using heat mediated antigen retrieval with Tris-EDTA buffer (pH 9.0) for 20 minutes. The tissues were blocked in 1% BSA for 20 minutes at room temperature, washed with ddH2O and PBS, and then probed with the primary antibody (HA751452) at 1/1,000 dilution for 1 hour at room temperature. The detection was performed using an HRP conjugated compact polymer system. DAB was used as the chromogen. Tissues were counterstained with hematoxylin and mounted with DPX.
HA751452_9.jpg Fig9: Immunohistochemical analysis of paraffin-embedded rat embryos tissue with Rabbit anti-Myt1 / MTF1 antibody (HA751452) at 1/1,000 dilution.

The section was pre-treated using heat mediated antigen retrieval with Tris-EDTA buffer (pH 9.0) for 20 minutes. The tissues were blocked in 1% BSA for 20 minutes at room temperature, washed with ddH2O and PBS, and then probed with the primary antibody (HA751452) at 1/1,000 dilution for 1 hour at room temperature. The detection was performed using an HRP conjugated compact polymer system. DAB was used as the chromogen. Tissues were counterstained with hematoxylin and mounted with DPX.
Note: All products are “FOR RESEARCH USE ONLY AND ARE NOT INTENDED FOR DIAGNOSTIC OR THERAPEUTIC USE”.