CD45 Recombinant Rabbit Monoclonal Antibody [PSH13-01]
cat.: HA751456
Product Type: Recombinant Rabbit monoclonal IgG, primary antibodies
Species reactivity: Mouse
Applications: WB, IHC-P, IHC-Fr, FC, IF-Cell, IF-Tissue
Clonality: Monoclonal
Clone number: PSH13-01
Form: Liquid
Storage condition: Store at +4℃ after thawing. Aliquot store at -20℃. Avoid repeated freeze / thaw cycles.
Storage buffer: 1*PBS (pH7.4).
Concentration: 1ug/ul
Purification: Protein A affinity purified.
Molecular weight: Predicted band size: 145 kDa
Isotype: IgG
Immunogen: Recombinant protein within mouse CD45 aa 1-566.
Positive control: RAW264.7 cell lysate, A20 cell lysate, mouse spleen tissue, mouse stomach tissue, RAW264.7, C57BL/6 mouse spleen cells.
Subcellular location: Cell membrane, Membrane raft, Synapse.
Recommended Dilutions:
  WB
  IHC-P
  IHC-Fr
  FC
  IF-Cell
  IF-Tissue

1:5,000
1:1,000
1:500
1:1,000
1:100
1:200
Uniprot #: SwissProt: P06800 Mouse
Alternative names: B220 CD 45 CD45 CD45 antigen CD45R GP180 L-CA LCA Leukocyte common antigen loc Ly-5 LY5 Ly5, homolog of Lyt-4 OTTHUMP00000033813 OTTHUMP00000033816 OTTHUMP00000033817 OTTHUMP00000038574 Protein tyrosine phosphatase receptor type c polypeptide Protein tyrosine phosphatase, receptor type C protein tyrosine phosphatase, receptor type, C Protein tyrosine phosphatase, receptor type, c polypeptide Ptprc PTPRC_HUMAN Receptor-type tyrosine-protein phosphatase C T200 T200 glycoprotein T200 leukocyte common antigen
Images
HA751456_1.jpg Fig1: Western blot analysis of CD45 on different lysates with Rabbit anti-CD45 antibody (HA751456) at 1/5,000 dilution.

Lane 1: RAW264.7 cell lysate
Lane 2: C2C12 cell lysate (negative)
Lane 3: A20 cell lysate

Lysates/proteins at 20 µg/Lane.

Predicted band size: 145 kDa
Observed band size: 250 kDa

Exposure time: 3 minutes; ECL: K1802;
4-20% SDS-PAGE gel.

Proteins were transferred to a PVDF membrane and blocked with 5% NFDM/TBST for 1 hour at room temperature. The primary antibody (HA751456) at 1/5,000 dilution was used in primary antibody dilution (K1803) at 4℃ overnight. Goat Anti-Rabbit IgG - HRP Secondary Antibody (HA1001) at 1/50,000 dilution was used for 1 hour at room temperature.
HA751456_2.jpg Fig2: Immunohistochemical analysis of paraffin-embedded mouse spleen tissue with Rabbit anti-CD45 antibody (HA751456) at 1/1,000 dilution.

The section was pre-treated using heat mediated antigen retrieval with Tris-EDTA buffer (pH 9.0) for 20 minutes. The tissues were blocked in 1% BSA for 20 minutes at room temperature, washed with ddH2O and PBS, and then probed with the primary antibody (HA751456) at 1/1,000 dilution for 1 hour at room temperature. The detection was performed using an HRP conjugated compact polymer system. DAB was used as the chromogen. Tissues were counterstained with hematoxylin and mounted with DPX.
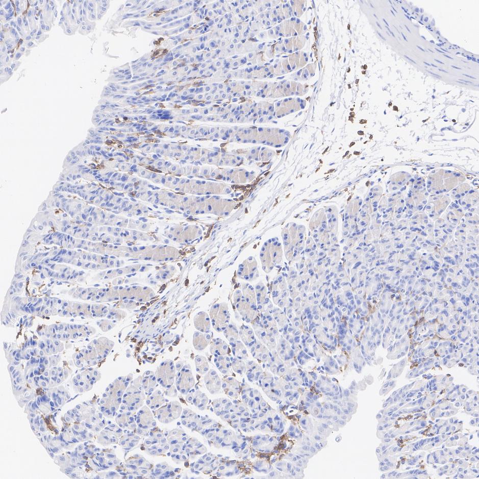
HA751456_3.jpg Fig3: Immunohistochemical analysis of paraffin-embedded mouse stomach tissue with Rabbit anti-CD45 antibody (HA751456) at 1/1,000 dilution.

The section was pre-treated using heat mediated antigen retrieval with Tris-EDTA buffer (pH 9.0) for 20 minutes. The tissues were blocked in 1% BSA for 20 minutes at room temperature, washed with ddH2O and PBS, and then probed with the primary antibody (HA751456) at 1/1,000 dilution for 1 hour at room temperature. The detection was performed using an HRP conjugated compact polymer system. DAB was used as the chromogen. Tissues were counterstained with hematoxylin and mounted with DPX.
HA751456_4.jpg Fig4: Application: IHC-Fr

Species: Mouse

Site: spleen

Sample: Frozen section

Antibody concentration: 1/500

Antigen retrieval: Not required
HA751456_5.jpg Fig5: Application: IF-Tissue

Species: Mouse

Site: spleen

Sample: Paraffin-embedded section

Antibody concentration: 1/200
HA751456_6.jpg Fig6: Immunocytochemistry analysis of RAW264.7 (positive) and C2C12 (negative) labeling CD45 with Rabbit anti-CD45 antibody (HA751456) at 1/100 dilution.

Cells were fixed in 4% paraformaldehyde for 15 minutes at room temperature, permeabilized with 0.1% Triton X-100 in PBS for 15 minutes at room temperature, then blocked with 1% BSA in 10% negative goat serum for 1 hour at room temperature. Cells were then incubated with Rabbit anti-CD45 antibody (HA751456) at 1/100 dilution in 1% BSA in PBST overnight at 4 ℃. Goat Anti-Rabbit IgG H&L (iFluor™ 488, HA1121) was used as the secondary antibody at 1/1,000 dilution. PBS instead of the primary antibody was used as the secondary antibody only control. Nuclear DNA was labelled in blue with DAPI.

Beta tubulin (HA601187, red) was stained at 1/100 dilution overnight at +4℃. Goat Anti-Mouse IgG H&L (iFluor™ 594, HA1126) was used as the secondary antibody at 1/1,000 dilution.
HA751456_7.jpg Fig7: Flow cytometric analysis of C57BL/6 mouse spleen cells labeling CD45.

Cells were washed twice with cold PBS and resuspend. Then stained with the primary antibody (HA751456, 1/1,000) (red) compared with Rabbit IgG Isotype Control (green). After incubation of the primary antibody at +4℃ for an hour, the cells were stained with a iFluor™ 488 conjugate-Goat anti-Rabbit IgG Secondary antibody (HA1121) at 1/1,000 dilution for 30 minutes at +4℃. Unlabelled sample was used as a control (cells without incubation with primary antibody; black).
Note: All products are “FOR RESEARCH USE ONLY AND ARE NOT INTENDED FOR DIAGNOSTIC OR THERAPEUTIC USE”.