Caspase-7 Recombinant Rabbit Monoclonal Antibody [PSH13-69]
cat.: HA751482
Product Type: Recombinant Rabbit monoclonal IgG, primary antibodies
Species reactivity: Human, Mouse, Rat
Applications: WB, IHC-P
Clonality: Monoclonal
Clone number: PSH13-69
Form: Liquid
Storage condition: Store at +4℃ after thawing. Aliquot store at -20℃. Avoid repeated freeze / thaw cycles.
Storage buffer: 1*PBS (pH7.4).
Concentration: 1ug/ul
Purification: Protein A affinity purified.
Molecular weight: Predicted band size: 34 kDa
Isotype: IgG
Immunogen: Recombinant protein within human Caspase-7 aa 1-303.
Positive control: HeLa cell lysate, HeLa treated with 1μM staurosporine for 3 hours cell lysate, C2C12 cell lysate, C2C12 treated with 1μM staurosporine for 3 hours cell lysate, human colon tissue, mouse colon tissue, rat colon tissue.
Subcellular location: Cytoplasm, cytosol, Nucleus, Secreted, extracellular space.
Recommended Dilutions:
  WB
  IHC-P

1:5,000
1:200-1:1,000
Uniprot #: SwissProt: P55210 Human | P97864 Mouse
Entrez Gene: 64026 Rat
Alternative names: Apoptotic protease Mch-3 Apoptotic protease MCH3 CASP-7 CASP7 CASP7_HUMAN Caspase 7 Caspase 7 apoptosis related cysteine peptidase Caspase-7 subunit p11 Caspase7 CMH 1 CMH-1 CMH1 ICE LAP3 ICE-LAP3 ICE-like apoptotic protease 3 LICE2 MCH3
Images
HA751482_1.jpg Fig1: Western blot analysis of Caspase-7 on different lysates with Rabbit anti-Caspase-7 antibody (HA751482) at 1/5,000 dilution.

Lane 1: HeLa cell lysate
Lane 2: HeLa treated with 1μM staurosporine for 3 hours cell lysate
Lane 3: C2C12 cell lysate
Lane 4: C2C12 treated with 1μM staurosporine for 3 hours cell lysate

Lysates/proteins at 20 µg/Lane.

Predicted band size: 34 kDa
Observed band size: 34/32/20/18 kDa

Exposure time: 2 minute 30 seconds; ECL: K1801;

4-20% SDS-PAGE gel.

Proteins were transferred to a PVDF membrane and blocked with 5% NFDM/TBST for 1 hour at room temperature. The primary antibody (HA751482) at 1/5,000 dilution was used in primary antibody dilution (K1803) at 4℃ overnight. Goat Anti-Rabbit IgG - HRP Secondary Antibody (HA1001) at 1/50,000 dilution was used for 1 hour at room temperature.
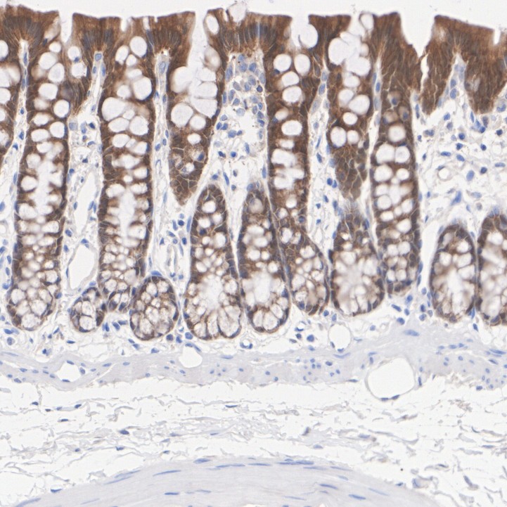
HA751482_2.jpg Fig2: Immunohistochemical analysis of paraffin-embedded human colon tissue with Rabbit anti-Caspase-7 antibody (HA751482) at 1/200 dilution.

The section was pre-treated using heat mediated antigen retrieval with Tris-EDTA buffer (pH 9.0) for 20 minutes. The tissues were blocked in 1% BSA for 20 minutes at room temperature, washed with ddH2O and PBS, and then probed with the primary antibody (HA751482) at 1/200 dilution for 1 hour at room temperature. The detection was performed using an HRP conjugated compact polymer system. DAB was used as the chromogen. Tissues were counterstained with hematoxylin and mounted with DPX.
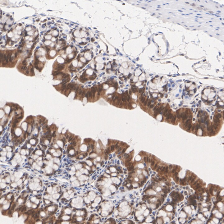
HA751482_3.jpg Fig3: Immunohistochemical analysis of paraffin-embedded mouse colon tissue with Rabbit anti-Caspase-7 antibody (HA751482) at 1/1,000 dilution.

The section was pre-treated using heat mediated antigen retrieval with Tris-EDTA buffer (pH 9.0) for 20 minutes. The tissues were blocked in 1% BSA for 20 minutes at room temperature, washed with ddH2O and PBS, and then probed with the primary antibody (HA751482) at 1/1,000 dilution for 1 hour at room temperature. The detection was performed using an HRP conjugated compact polymer system. DAB was used as the chromogen. Tissues were counterstained with hematoxylin and mounted with DPX.
HA751482_4.jpg Fig4: Immunohistochemical analysis of paraffin-embedded rat colon tissue with Rabbit anti-Caspase-7 antibody (HA751482) at 1/1,000 dilution.

The section was pre-treated using heat mediated antigen retrieval with Tris-EDTA buffer (pH 9.0) for 20 minutes. The tissues were blocked in 1% BSA for 20 minutes at room temperature, washed with ddH2O and PBS, and then probed with the primary antibody (HA751482) at 1/1,000 dilution for 1 hour at room temperature. The detection was performed using an HRP conjugated compact polymer system. DAB was used as the chromogen. Tissues were counterstained with hematoxylin and mounted with DPX.
Note: All products are “FOR RESEARCH USE ONLY AND ARE NOT INTENDED FOR DIAGNOSTIC OR THERAPEUTIC USE”.