TBC1D1 Recombinant Rabbit Monoclonal Antibody [PSH13-71]
cat.: HA751484
Product Type: Recombinant Rabbit monoclonal IgG, primary antibodies
Species reactivity: Human, Mouse, Rat
Applications: WB, IHC-P, IP
Clonality: Monoclonal
Clone number: PSH13-71
Form: Liquid
Storage condition: Store at +4℃ after thawing. Aliquot store at -20℃. Avoid repeated freeze / thaw cycles.
Storage buffer: 1*PBS (pH7.4).
Concentration: 1ug/ul
Purification: Protein A affinity purified.
Molecular weight: Predicted band size: 133 kDa
Isotype: IgG
Immunogen: Recombinant protein within human TBC1D1 aa 1-430.
Positive control: LNCaP cell lysate, Jurkat cell lysate, C2C12 cell lysate, PC-12 cell lysate, mouse kidney tissue, mouse testis tissue.
Subcellular location: Nucleus.
Recommended Dilutions:
  WB
  IHC-P
  IP

1:10,000-1:50,000
1:200
1-2μg/sample
Uniprot #: SwissProt: Q86TI0 Human | Q60949 Mouse
Entrez Gene: 360937 Rat
Alternative names: KIAA1108 TBC 1 TBC TBC1 (tre 2/USP6, BUB2, cdc16) domain family, member 1 TBC1 TBC1 domain family member 1 Tbc1d1 TBCD1_HUMAN
Images
HA751484_1.jpg Fig1: Western blot analysis of TBC1D1 on different lysates with Rabbit anti-TBC1D1 antibody (HA751484) at 1/10,000 dilution.

Lane 1: LNCaP cell lysate (20 µg/Lane)
Lane 2: Jurkat cell lysate (20 µg/Lane)
Lane 3: C2C12 cell lysate (20 µg/Lane)
Lane 4: PC-12 cell lysate (20 µg/Lane)

Predicted band size: 133 kDa
Observed band size: 150 kDa

Exposure time: 25 seconds; ECL: K1801;

4-20% SDS-PAGE gel.

Proteins were transferred to a PVDF membrane and blocked with 5% NFDM/TBST for 1 hour at room temperature. The primary antibody (HA751484) at 1/10,000 dilution was used in primary antibody dilution (K1803) at 4℃ overnight. Goat Anti-Rabbit IgG - HRP Secondary Antibody (HA1001) at 1/50,000 dilution was used for 1 hour at room temperature.
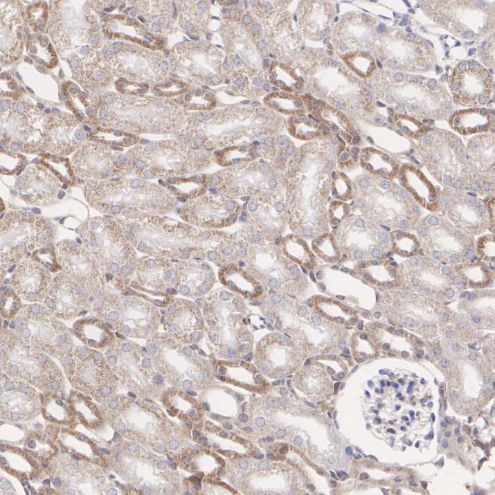
HA751484_2.jpg Fig2: Immunohistochemical analysis of paraffin-embedded mouse kidney tissue with Rabbit anti-TBC1D1 antibody (HA751484) at 1/200 dilution.

The section was pre-treated using heat mediated antigen retrieval with Tris-EDTA buffer (pH 9.0) for 20 minutes. The tissues were blocked in 1% BSA for 20 minutes at room temperature, washed with ddH2O and PBS, and then probed with the primary antibody (HA751484) at 1/200 dilution for 1 hour at room temperature. The detection was performed using an HRP conjugated compact polymer system. DAB was used as the chromogen. Tissues were counterstained with hematoxylin and mounted with DPX.
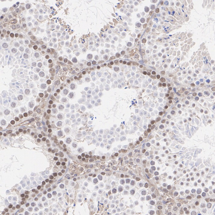
HA751484_3.jpg Fig3: Immunohistochemical analysis of paraffin-embedded mouse testis tissue with Rabbit anti-TBC1D1 antibody (HA751484) at 1/200 dilution.

The section was pre-treated using heat mediated antigen retrieval with Tris-EDTA buffer (pH 9.0) for 20 minutes. The tissues were blocked in 1% BSA for 20 minutes at room temperature, washed with ddH2O and PBS, and then probed with the primary antibody (HA751484) at 1/200 dilution for 1 hour at room temperature. The detection was performed using an HRP conjugated compact polymer system. DAB was used as the chromogen. Tissues were counterstained with hematoxylin and mounted with DPX.
HA751484_4.jpg Fig4: TBC1D1 was immunoprecipitated from 0.2 mg Jurkat cell lysate with HA751484 at 2 µg/10 µl beads. Western blot was performed from the immunoprecipitate using HA751484 at 1/5,000 dilution. HRP Conjugated Anti-Rabbit IgG for IP Nano-secondary antibody at 1/5,000 dilution was used for 1 hour at room temperature.

Lane 1: Jurkat cell lysate (input)
Lane 2: HA751484 IP in Jurkat cell lysate
Lane 3: Rabbit IgG instead of HA751484 in Jurkat cell lysate

Blocking/Dilution buffer: 5% NFDM/TBST
Exposure time: 3 minutes; ECL: K1801
Note: All products are “FOR RESEARCH USE ONLY AND ARE NOT INTENDED FOR DIAGNOSTIC OR THERAPEUTIC USE”.