Golgin 97 Recombinant Rabbit Monoclonal Antibody [PSH13-73]
cat.: HA751486
Product Type: Recombinant Rabbit monoclonal IgG, primary antibodies
Species reactivity: Human, Mouse, Rat
Applications: WB, IF-Cell, IHC-P, IP
Clonality: Monoclonal
Clone number: PSH13-73
Form: Liquid
Storage condition: Store at +4℃ after thawing. Aliquot store at -20℃. Avoid repeated freeze / thaw cycles.
Storage buffer: 1*PBS (pH7.4).
Concentration: 1ug/ul
Purification: Protein A affinity purified.
Molecular weight: Predicted band size: 88 kDa
Isotype: IgG
Immunogen: Recombinant protein within human Golgin 97 aa 1-767.
Positive control: HeLa cell lysate, HepG2 cell lysate, MCF7 cell lysate, SW480 cell lysate, C2C12 cell lysate, C6 cell lysate, PC-12 cell lysate, HeLa, C2C12, C6, mouse pancreas tissue, rat pancreas tissue.
Subcellular location: Golgi apparatus membrane, Golgi apparatus, trans-Golgi network membrane, Cytoplasmic vesicle, secretory vesicle, acrosome.
Recommended Dilutions:
  WB
  IF-Cell
  IHC-P
  IP

1:10,000-1:50,000
1:100
1:200
1-2μg/sample
Uniprot #: SwissProt: Q92805 Human | Q9CW79 Mouse
Entrez Gene: 311919 Rat
Alternative names: Gap junction protein alpha 4 37kD GOGA1_HUMAN Golga 1 GOLGA1 Golgi autoantigen golgin subfamily a 1 Golgi autoantigen golgin subfamily A member 1 Golgi autoantigen golgin subfamily a1. Golgin A1 Golgin subfamily A member 1 Golgin-97 Golgin97 MGC33154
Images
HA751486_1.jpg Fig1: Western blot analysis of Golgin 97 on different lysates with Rabbit anti-Golgin 97 antibody (HA751486) at 1/10,000 dilution.

Lane 1: HeLa cell lysate
Lane 2: HepG2 cell lysate
Lane 3: MCF7 cell lysate
Lane 4: SW480 cell lysate
Lane 5: C2C12 cell lysate
Lane 6: C6 cell lysate
Lane 7: PC-12 cell lysate

Lysates/proteins at 20 µg/Lane.

Predicted band size: 88 kDa
Observed band size: 97 kDa

Exposure time: 30 seconds; ECL: K1801;

4-20% SDS-PAGE gel.

Proteins were transferred to a PVDF membrane and blocked with 5% NFDM/TBST for 1 hour at room temperature. The primary antibody (HA751486) at 1/10,000 dilution was used in primary antibody dilution (K1803) at 4℃ overnight. Goat Anti-Rabbit IgG - HRP Secondary Antibody (HA1001) at 1/50,000 dilution was used for 1 hour at room temperature.
HA751486_2.jpg Fig2: Immunocytochemistry analysis of HeLa cells labeling Golgin 97 with Rabbit anti-Golgin 97 antibody (HA751486) at 1/100 dilution.

Cells were fixed in 4% paraformaldehyde for 15 minutes at room temperature, permeabilized with 0.1% Triton X-100 in PBS for 15 minutes at room temperature, then blocked with 1% BSA in 10% negative goat serum for 1 hour at room temperature. Cells were then incubated with Rabbit anti-Golgin 97 antibody (HA751486) at 1/100 dilution in 1% BSA in PBST overnight at 4 ℃. Goat Anti-Rabbit IgG H&L (iFluor™ 488, HA1121) was used as the secondary antibody at 1/1,000 dilution. PBS instead of the primary antibody was used as the secondary antibody only control. Nuclear DNA was labelled in blue with DAPI.

Beta tubulin (HA601187, red) was stained at 1/100 dilution overnight at +4℃. Goat Anti-Mouse IgG H&L (iFluor™ 594, HA1126) was used as the secondary antibody at 1/1,000 dilution.
HA751486_3.jpg Fig3: Immunocytochemistry analysis of C2C12 cells labeling Golgin 97 with Rabbit anti-Golgin 97 antibody (HA751486) at 1/100 dilution.

Cells were fixed in 4% paraformaldehyde for 15 minutes at room temperature, permeabilized with 0.1% Triton X-100 in PBS for 15 minutes at room temperature, then blocked with 1% BSA in 10% negative goat serum for 1 hour at room temperature. Cells were then incubated with Rabbit anti-Golgin 97 antibody (HA751486) at 1/100 dilution in 1% BSA in PBST overnight at 4 ℃. Goat Anti-Rabbit IgG H&L (iFluor™ 488, HA1121) was used as the secondary antibody at 1/1,000 dilution. PBS instead of the primary antibody was used as the secondary antibody only control. Nuclear DNA was labelled in blue with DAPI.

Beta tubulin (HA601187, red) was stained at 1/100 dilution overnight at +4℃. Goat Anti-Mouse IgG H&L (iFluor™ 594, HA1126) was used as the secondary antibody at 1/1,000 dilution.
HA751486_4.jpg Fig4: Immunocytochemistry analysis of C6 cells labeling Golgin 97 with Rabbit anti-Golgin 97 antibody (HA751486) at 1/100 dilution.

Cells were fixed in 4% paraformaldehyde for 15 minutes at room temperature, permeabilized with 0.1% Triton X-100 in PBS for 15 minutes at room temperature, then blocked with 1% BSA in 10% negative goat serum for 1 hour at room temperature. Cells were then incubated with Rabbit anti-Golgin 97 antibody (HA751486) at 1/100 dilution in 1% BSA in PBST overnight at 4 ℃. Goat Anti-Rabbit IgG H&L (iFluor™ 488, HA1121) was used as the secondary antibody at 1/1,000 dilution. PBS instead of the primary antibody was used as the secondary antibody only control. Nuclear DNA was labelled in blue with DAPI.

Beta tubulin (HA601187, red) was stained at 1/100 dilution overnight at +4℃. Goat Anti-Mouse IgG H&L (iFluor™ 594, HA1126) was used as the secondary antibody at 1/1,000 dilution.
HA751486_5.jpg Fig5: Immunohistochemical analysis of paraffin-embedded mouse pancreas tissue with Rabbit anti-Golgin 97 antibody (HA751486) at 1/200 dilution.

The section was pre-treated using heat mediated antigen retrieval with Tris-EDTA buffer (pH 9.0) for 20 minutes. The tissues were blocked in 1% BSA for 20 minutes at room temperature, washed with ddH2O and PBS, and then probed with the primary antibody (HA751486) at 1/200 dilution for 1 hour at room temperature. The detection was performed using an HRP conjugated compact polymer system. DAB was used as the chromogen. Tissues were counterstained with hematoxylin and mounted with DPX.
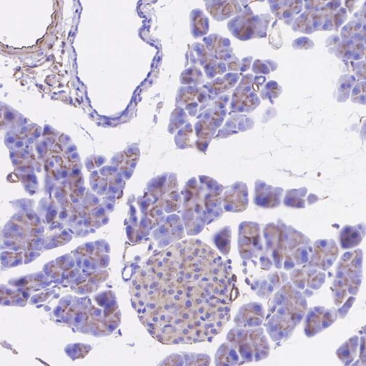
HA751486_6.jpg Fig6: Immunohistochemical analysis of paraffin-embedded rat pancreas tissue with Rabbit anti-Golgin 97 antibody (HA751486) at 1/200 dilution.

The section was pre-treated using heat mediated antigen retrieval with Tris-EDTA buffer (pH 9.0) for 20 minutes. The tissues were blocked in 1% BSA for 20 minutes at room temperature, washed with ddH2O and PBS, and then probed with the primary antibody (HA751486) at 1/200 dilution for 1 hour at room temperature. The detection was performed using an HRP conjugated compact polymer system. DAB was used as the chromogen. Tissues were counterstained with hematoxylin and mounted with DPX.
HA751486_7.jpg Fig7: Golgin 97 was immunoprecipitated from 0.2 mg HeLa cell lysate with HA751486 at 2 µg/10 µl beads. Western blot was performed from the immunoprecipitate using HA751486 at 1/5,000 dilution. HRP Conjugated Anti-Rabbit IgG for IP Nano-secondary antibody at 1/5,000 dilution was used for 1 hour at room temperature.

Lane 1: HeLa cell lysate (input)
Lane 2: HA751486 IP in HeLa cell lysate
Lane 3: Rabbit IgG instead of HA751486 in HeLa cell lysate

Blocking/Dilution buffer: 5% NFDM/TBST
Exposure time: 42 seconds; ECL: K1801
Note: All products are “FOR RESEARCH USE ONLY AND ARE NOT INTENDED FOR DIAGNOSTIC OR THERAPEUTIC USE”.