MCU Recombinant Rabbit Monoclonal Antibody [PSH13-74]
cat.: HA751487
Product Type: Recombinant Rabbit monoclonal IgG, primary antibodies
Species reactivity: Human, Mouse, Rat, Monkey
Applications: WB, IHC-Fr, IHC-P, IF-Cell, IP
Clonality: Monoclonal
Clone number: PSH13-74
Form: Liquid
Storage condition: Store at +4℃ after thawing. Aliquot store at -20℃. Avoid repeated freeze / thaw cycles.
Storage buffer: 1*PBS (pH7.4).
Concentration: 1ug/ul
Purification: Protein A affinity purified.
Molecular weight: Predicted band size: 40 kDa
Isotype: IgG
Immunogen: Recombinant protein within human MCU aa 51-233.
Positive control: HCT 116 cell lysate, PANC-1 cell lysate, A549 cell lysate, HeLa cell lysate, COS-1 cell lysate, NIH/3T3 cell lysate, C2C12 cell lysate, C6 cell lysate, PC-12 cell lysate, Mouse colon tissue lysate, Mouse heart tissue lysate, Mouse testis tissue lysate, Rat colon tissue lysate, Rat heart tissue lysate, human colon tissue, human colon cancer tissue, HCT 116, NIH/3T3, C6.
Subcellular location: Mitochondrion inner membrane.
Recommended Dilutions:
  WB
  IHC-Fr
  IHC-P
  IF-Cell
  IP

1:5,000-1:10,000
1:500
1:50-1:200
1:100
1-2μg/sample
Uniprot #: SwissProt: Q8NE86 Human | Q3UMR5 Mouse
Entrez Gene: 294560 Rat
Alternative names: C109A_HUMAN C10orf42 Calcium uniporter protein mitochondrial Ccdc109a Coiled-coil domain-containing protein 109A HsMCU Mitochondrial Calcium Uniporter
Images
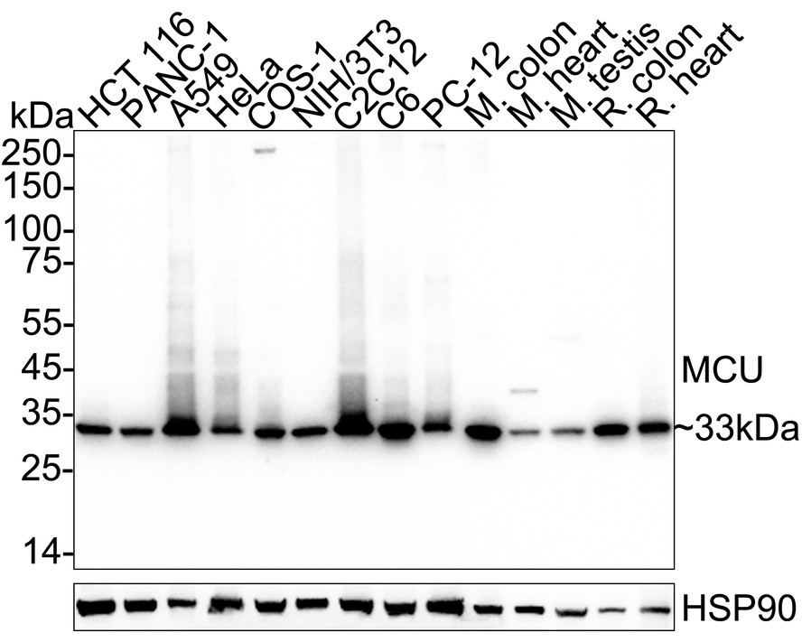
HA751487_1.jpg Fig1: Western blot analysis of MCU on different lysates with Rabbit anti-MCU antibody (HA751487) at 1/5,000 dilution.

Lane 1: HCT 116 cell lysate (20 µg/Lane)
Lane 2: PANC-1 cell lysate (20 µg/Lane)
Lane 3: A549 cell lysate (20 µg/Lane)
Lane 4: HeLa cell lysate (20 µg/Lane)
Lane 5: COS-1 cell lysate (20 µg/Lane)
Lane 6: NIH/3T3 cell lysate (20 µg/Lane)
Lane 7: C2C12 cell lysate (20 µg/Lane)
Lane 8: C6 cell lysate (20 µg/Lane)
Lane 9: PC-12 cell lysate (20 µg/Lane)
Lane 10: Mouse colon tissue lysate (20 µg/Lane)
Lane 11: Mouse heart tissue lysate (20 µg/Lane)
Lane 12: Mouse testis tissue lysate (20 µg/Lane)
Lane 13: Rat colon tissue lysate (20 µg/Lane)
Lane 14: Rat heart tissue lysate (20 µg/Lane)

Predicted band size: 40 kDa
Observed band size: 33 kDa

Exposure time: 25 seconds; ECL: K1801;

4-20% SDS-PAGE gel.

Proteins were transferred to a PVDF membrane and blocked with 5% NFDM/TBST for 1 hour at room temperature. The primary antibody (HA751487) at 1/5,000 dilution was used in primary antibody dilution (K1803) at 4℃ overnight. Goat Anti-Rabbit IgG - HRP Secondary Antibody (HA1001) at 1/50,000 dilution was used for 1 hour at room temperature.
HA751487_2.jpg Fig2: Application: IHC-Fr

Species: Mouse

Site: eye

Sample: Frozen section

Antibody concentration: 1/500

Antigen retrieval: Not required
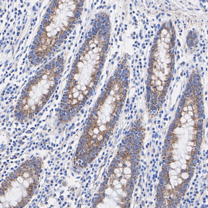
HA751487_3.jpg Fig3: Immunohistochemical analysis of paraffin-embedded human colon tissue with Rabbit anti-MCU antibody (HA751487) at 1/50 dilution.

The section was pre-treated using heat mediated antigen retrieval with Tris-EDTA buffer (pH 9.0) for 20 minutes. The tissues were blocked in 1% BSA for 20 minutes at room temperature, washed with ddH2O and PBS, and then probed with the primary antibody (HA751487) at 1/50 dilution for 1 hour at room temperature. The detection was performed using an HRP conjugated compact polymer system. DAB was used as the chromogen. Tissues were counterstained with hematoxylin and mounted with DPX.
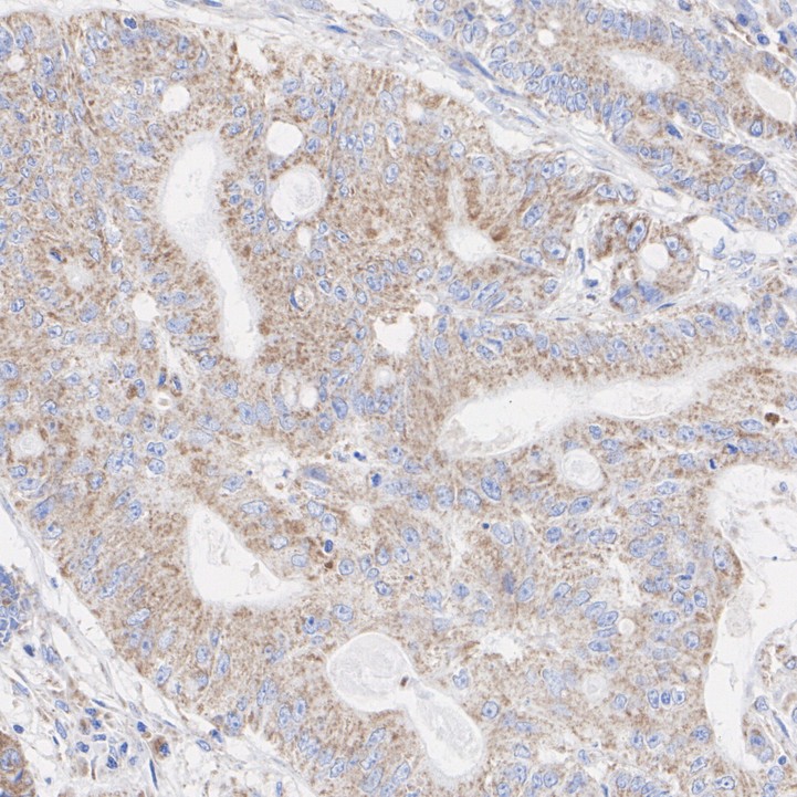
HA751487_4.jpg Fig4: Immunohistochemical analysis of paraffin-embedded human colon cancer tissue with Rabbit anti-MCU antibody (HA751487) at 1/200 dilution.

The section was pre-treated using heat mediated antigen retrieval with Tris-EDTA buffer (pH 9.0) for 20 minutes. The tissues were blocked in 1% BSA for 20 minutes at room temperature, washed with ddH2O and PBS, and then probed with the primary antibody (HA751487) at 1/200 dilution for 1 hour at room temperature. The detection was performed using an HRP conjugated compact polymer system. DAB was used as the chromogen. Tissues were counterstained with hematoxylin and mounted with DPX.
HA751487_5.jpg Fig5: Immunocytochemistry analysis of HCT 116 cells labeling MCU with Rabbit anti-MCU antibody (HA751487) at 1/100 dilution.

Cells were fixed in 4% paraformaldehyde for 15 minutes at room temperature, permeabilized with 0.1% Triton X-100 in PBS for 15 minutes at room temperature, then blocked with 1% BSA in 10% negative goat serum for 1 hour at room temperature. Cells were then incubated with Rabbit anti-MCU antibody (HA751487) at 1/100 dilution in 1% BSA in PBST overnight at 4 ℃. Goat Anti-Rabbit IgG H&L (iFluor™ 488, HA1121) was used as the secondary antibody at 1/1,000 dilution. PBS instead of the primary antibody was used as the secondary antibody only control. Counterstained with Mitotracker. Nuclear DNA was labelled in blue with DAPI.
HA751487_6.jpg Fig6: Immunocytochemistry analysis of NIH/3T3 cells labeling MCU with Rabbit anti-MCU antibody (HA751487) at 1/100 dilution.

Cells were fixed in 4% paraformaldehyde for 15 minutes at room temperature, permeabilized with 0.1% Triton X-100 in PBS for 15 minutes at room temperature, then blocked with 1% BSA in 10% negative goat serum for 1 hour at room temperature. Cells were then incubated with Rabbit anti-MCU antibody (HA751487) at 1/100 dilution in 1% BSA in PBST overnight at 4 ℃. Goat Anti-Rabbit IgG H&L (iFluor™ 488, HA1121) was used as the secondary antibody at 1/1,000 dilution. PBS instead of the primary antibody was used as the secondary antibody only control. Counterstained with Mitotracker. Nuclear DNA was labelled in blue with DAPI.
HA751487_7.jpg Fig7: Immunocytochemistry analysis of C6 cells labeling MCU with Rabbit anti-MCU antibody (HA751487) at 1/100 dilution.

Cells were fixed in 4% paraformaldehyde for 15 minutes at room temperature, permeabilized with 0.1% Triton X-100 in PBS for 15 minutes at room temperature, then blocked with 1% BSA in 10% negative goat serum for 1 hour at room temperature. Cells were then incubated with Rabbit anti-MCU antibody (HA751487) at 1/100 dilution in 1% BSA in PBST overnight at 4 ℃. Goat Anti-Rabbit IgG H&L (iFluor™ 488, HA1121) was used as the secondary antibody at 1/1,000 dilution. PBS instead of the primary antibody was used as the secondary antibody only control. Counterstained with Mitotracker. Nuclear DNA was labelled in blue with DAPI.
HA751487_8.jpg Fig8: MCU was immunoprecipitated from 0.2 mg HCT 116 cell lysate with HA751487 at 2 µg/10 µl beads. Western blot was performed from the immunoprecipitate using HA751487 at 1/5,000 dilution. HRP Conjugated Anti-Rabbit IgG for IP Nano-secondary antibody at 1/5,000 dilution was used for 1 hour at room temperature.

Lane 1: HCT 116 cell lysate (input)
Lane 2: HA751487 IP in HCT 116 cell lysate
Lane 3: Rabbit IgG instead of HA751487 in HCT 116 cell lysate

Blocking/Dilution buffer: 5% NFDM/TBST
Exposure time: 46 seconds; ECL: K1801
Note: All products are “FOR RESEARCH USE ONLY AND ARE NOT INTENDED FOR DIAGNOSTIC OR THERAPEUTIC USE”.