CHCHD2 Recombinant Rabbit Monoclonal Antibody [PSH13-87]
cat.: HA751489
Product Type: Recombinant Rabbit monoclonal IgG, primary antibodies
Species reactivity: Human, Mouse, Rat
Applications: WB, IF-Cell, FC, IP
Clonality: Monoclonal
Clone number: PSH13-87
Form: Liquid
Storage condition: Store at +4℃ after thawing. Aliquot store at -20℃. Avoid repeated freeze / thaw cycles.
Storage buffer: 1*PBS (pH7.4).
Concentration: 1ug/ul
Purification: Protein A affinity purified.
Molecular weight: Predicted band size: 16 kDa
Isotype: IgG
Immunogen: Recombinant protein within human CHCHD2 aa 1-151.
Positive control: A431 cell lysate, HeLa cell lysate, HepG2 cell lysate, K-562 cell lysate, Jurkat cell lysate, HEK-293 cell lysate, LNCaP cell lysate, Neuro-2a cell lysate, PC-12 cell lysate, Mouse kidney tissue lysate, A431.
Subcellular location: Nucleus, Mitochondrion, Mitochondrion intermembrane space.
Recommended Dilutions:
  WB
  IF-Cell
  FC
  IP

1:5,000
1:100
1:1,000
1-2μg/sample
Uniprot #: SwissProt: Q9Y6H1 Human | Q9D1L0 Mouse
Entrez Gene: 100910788 Rat
Alternative names: 16.7kD protein Aging Associated Gene 10 Protein Aging-associated gene 10 protein C7orf17 CHCH2_HUMAN CHCHD 2 CHCHD2 Coiled Coil Helix Coiled Coil Helix Domain Containing 2 Coiled coil helix coiled coil helix domain containing protein 2, mitochondrial Coiled-coil-helix-coiled-coil-helix domain-containing protein 2, mitochondrial HCV NS2 trans regulated protein HCV NS2 trans-regulated protein NS2TP
Images
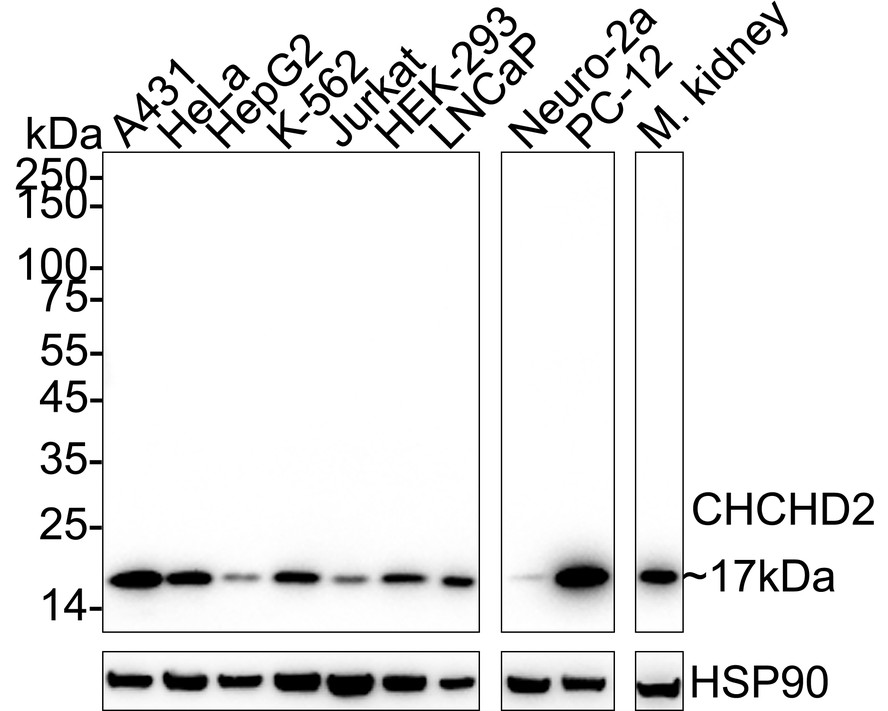
HA751489_1.jpg Fig1: Western blot analysis of CHCHD2 on different lysates with Rabbit anti-CHCHD2 antibody (HA751489) at 1/5,000 dilution.

Lane 1: A431 cell lysate (20 µg/Lane)
Lane 2: HeLa cell lysate (20 µg/Lane)
Lane 3: HepG2 cell lysate (20 µg/Lane)
Lane 4: K-562 cell lysate (20 µg/Lane)
Lane 5: Jurkat cell lysate (20 µg/Lane)
Lane 6: HEK-293 cell lysate (20 µg/Lane)
Lane 7: LNCaP cell lysate (20 µg/Lane)
Lane 8: Neuro-2a cell lysate (20 µg/Lane)
Lane 9: PC-12 cell lysate (20 µg/Lane)
Lane 10: Mouse kidney tissue lysate (40 µg/Lane)

Predicted band size: 16 kDa
Observed band size: 17 kDa

Exposure time: 3 minutes; ECL: K1801;

4-20% SDS-PAGE gel.

Proteins were transferred to a PVDF membrane and blocked with 5% NFDM/TBST for 1 hour at room temperature. The primary antibody (HA751489) at 1/5,000 dilution was used in primary antibody dilution (K1803) at 4℃ overnight. Goat Anti-Rabbit IgG - HRP Secondary Antibody (HA1001) at 1/50,000 dilution was used for 1 hour at room temperature.
HA751489_2.jpg Fig2: Immunocytochemistry analysis of A431 cells labeling CHCHD2 with Rabbit anti-CHCHD2 antibody (HA751489) at 1/100 dilution.

Cells were fixed in 4% paraformaldehyde for 15 minutes at room temperature, permeabilized with 0.1% Triton X-100 in PBS for 15 minutes at room temperature, then blocked with 1% BSA in 10% negative goat serum for 1 hour at room temperature. Cells were then incubated with Rabbit anti-CHCHD2 antibody (HA751489) at 1/100 dilution in 1% BSA in PBST overnight at 4 ℃. Goat Anti-Rabbit IgG H&L (iFluor™ 488, HA1121) was used as the secondary antibody at 1/1,000 dilution. PBS instead of the primary antibody was used as the secondary antibody only control. Counterstained with Mitotracker. Nuclear DNA was labelled in blue with DAPI.
HA751489_3.jpg Fig3: Flow cytometric analysis of A431 cells labeling CHCHD2.

Cells were fixed and permeabilized. Then stained with the primary antibody (HA751489, 1/1,000) (red) compared with Rabbit IgG Isotype Control (green). After incubation of the primary antibody at +4℃ for an hour, the cells were stained with a iFluor™ 488 conjugate-Goat anti-Rabbit IgG Secondary antibody (HA1121) at 1/1,000 dilution for 30 minutes at +4℃. Unlabelled sample was used as a control (cells without incubation with primary antibody; black).
HA751489_4.jpg Fig4: CHCHD2 was immunoprecipitated from 0.2 mg A431 cell lysate with HA751489 at 2 µg/10 µl beads. Western blot was performed from the immunoprecipitate using HA751489 at 1/5,000 dilution. HRP Conjugated Anti-Rabbit IgG for IP Nano-secondary antibody at 1/5,000 dilution was used for 1 hour at room temperature.

Lane 1: A431 cell lysate (input)
Lane 2: HA751489 IP in A431 cell lysate
Lane 3: Rabbit IgG instead of HA751489 in A431 cell lysate

Blocking/Dilution buffer: 5% NFDM/TBST
Exposure time: 6 seconds; ECL: K1801
Note: All products are “FOR RESEARCH USE ONLY AND ARE NOT INTENDED FOR DIAGNOSTIC OR THERAPEUTIC USE”.