TCF7 Recombinant Rabbit Monoclonal Antibody [PSH13-89]
cat.: HA751491
Product Type: Recombinant Rabbit monoclonal IgG, primary antibodies
Species reactivity: Human, Mouse, Rat
Applications: WB, IHC-P, IP
Clonality: Monoclonal
Clone number: PSH13-89
Form: Liquid
Storage condition: Store at +4℃ after thawing. Aliquot store at -20℃. Avoid repeated freeze / thaw cycles.
Storage buffer: 1*PBS (pH7.4).
Concentration: 1ug/ul
Purification: Protein A affinity purified.
Molecular weight: Predicted band size: 42 kDa
Isotype: IgG
Immunogen: Recombinant protein within human TCF7 aa 1-300.
Positive control: MOLT-4 cell lysate, Jurkat cell lysate, COLO205 cell lysate, human lymph node tissue, human thymus tissue, human tonsil tissue, mouse lymph node tissue, mouse thymus tissue, rat lymph node tissue, rat thymus tissue.
Subcellular location: Nucleus.
Recommended Dilutions:
  WB
  IHC-P
  IP

1:5,000
1:200
1-2μg/sample
Uniprot #: SwissProt: P36402 Human | Q00417 Mouse
Entrez Gene: 363595 Rat
Alternative names: FLJ36364 MGC47735 OTTHUMP00000159391 T cell factor 1 T cell specific transcription factor 1 T-cell factor 1 T-cell-specific transcription factor 1 TCF-1 TCF-7 TCF1 Tcf7 TCF7 transcription factor 7 TCF7_HUMAN Transcription factor 7 (T cell specific HMG box) Transcription factor 7 Transcription factor-7, T-cell specific Transcription factor-7, T-cell specific, 1
Images
HA751491_1.jpg Fig1: Western blot analysis of TCF7 on different lysates with Rabbit anti-TCF7 antibody (HA751491) at 1/5,000 dilution.

Lane 1: MOLT-4 cell lysate (20 µg/Lane)
Lane 3: Jurkat cell lysate (20 µg/Lane)
Lane 2: COLO205 cell lysate (20 µg/Lane)
Lane 4: LNCaP cell lysate (negative) (20 µg/Lane)

Predicted band size: 42 kDa
Observed band size: 45-50 kDa

Exposure time: 16 seconds; ECL: K1801;

4-20% SDS-PAGE gel.

Proteins were transferred to a PVDF membrane and blocked with 5% NFDM/TBST for 1 hour at room temperature. The primary antibody (HA751491) at 1/5,000 dilution was used in primary antibody dilution (K1803) at 4℃ overnight. Goat Anti-Rabbit IgG - HRP Secondary Antibody (HA1001) at 1/50,000 dilution was used for 1 hour at room temperature.
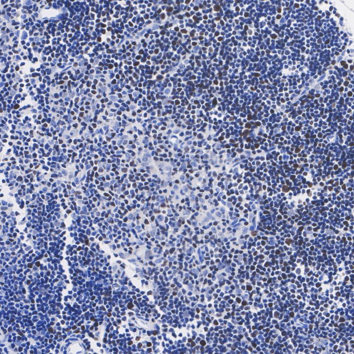
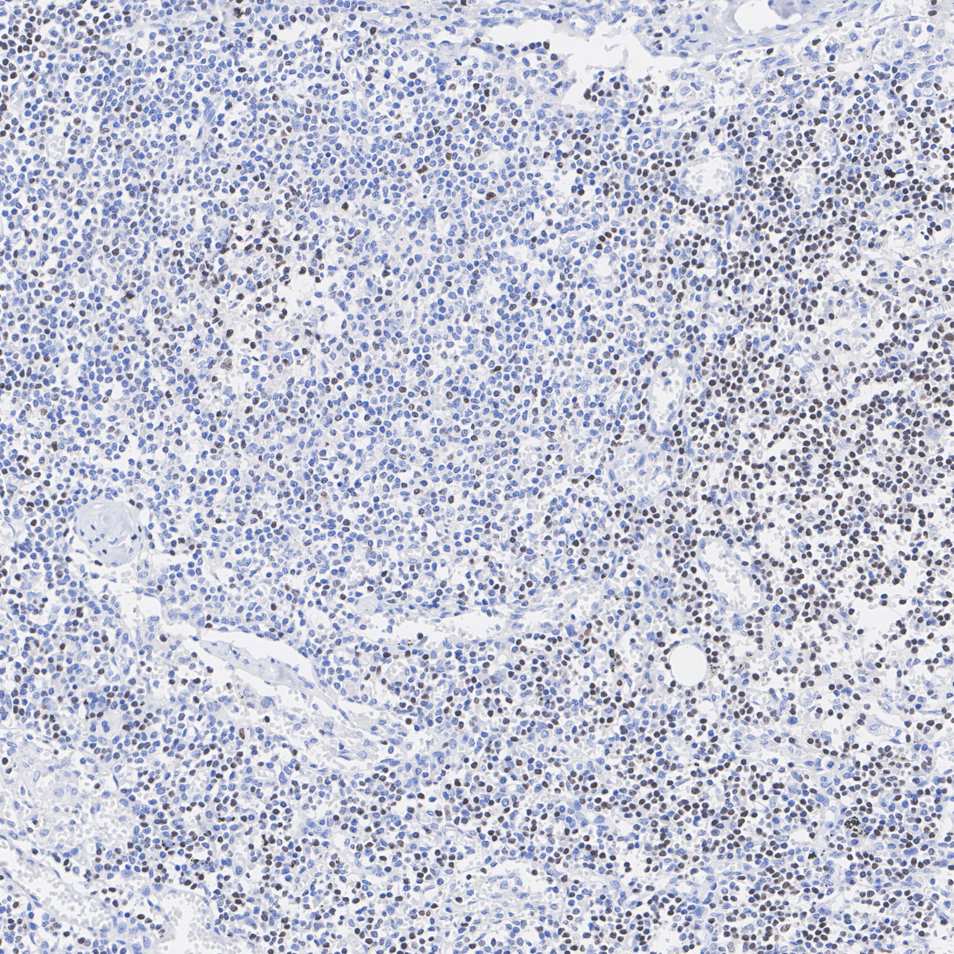
HA751491_2.jpg Fig2: Immunohistochemical analysis of paraffin-embedded human lymph node tissue with Rabbit anti-TCF7 antibody (HA751491) at 1/200 dilution.

The section was pre-treated using heat mediated antigen retrieval with Tris-EDTA buffer (pH 9.0) for 20 minutes. The tissues were blocked in 1% BSA for 20 minutes at room temperature, washed with ddH2O and PBS, and then probed with the primary antibody (HA751491) at 1/200 dilution for 1 hour at room temperature. The detection was performed using an HRP conjugated compact polymer system. DAB was used as the chromogen. Tissues were counterstained with hematoxylin and mounted with DPX.
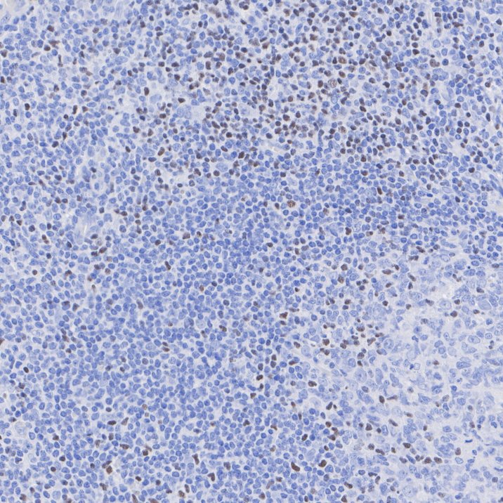
HA751491_3.jpg Fig3: Immunohistochemical analysis of paraffin-embedded human thymus tissue with Rabbit anti-TCF7 antibody (HA751491) at 1/200 dilution.

The section was pre-treated using heat mediated antigen retrieval with Tris-EDTA buffer (pH 9.0) for 20 minutes. The tissues were blocked in 1% BSA for 20 minutes at room temperature, washed with ddH2O and PBS, and then probed with the primary antibody (HA751491) at 1/200 dilution for 1 hour at room temperature. The detection was performed using an HRP conjugated compact polymer system. DAB was used as the chromogen. Tissues were counterstained with hematoxylin and mounted with DPX.
HA751491_4.jpg Fig4: Immunohistochemical analysis of paraffin-embedded human tonsil tissue with Rabbit anti-TCF7 antibody (HA751491) at 1/200 dilution.

The section was pre-treated using heat mediated antigen retrieval with Tris-EDTA buffer (pH 9.0) for 20 minutes. The tissues were blocked in 1% BSA for 20 minutes at room temperature, washed with ddH2O and PBS, and then probed with the primary antibody (HA751491) at 1/200 dilution for 1 hour at room temperature. The detection was performed using an HRP conjugated compact polymer system. DAB was used as the chromogen. Tissues were counterstained with hematoxylin and mounted with DPX.
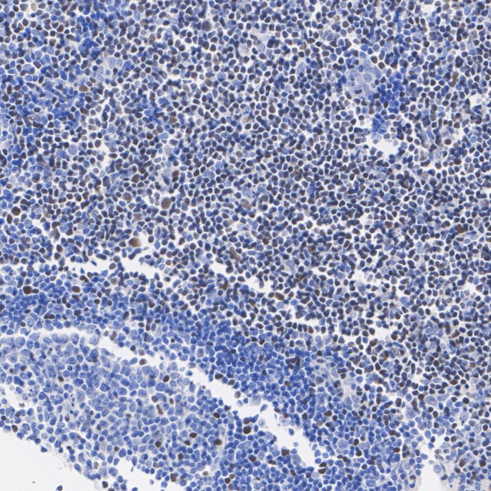
HA751491_5.jpg Fig5: Immunohistochemical analysis of paraffin-embedded mouse lymph node tissue with Rabbit anti-TCF7 antibody (HA751491) at 1/200 dilution.

The section was pre-treated using heat mediated antigen retrieval with Tris-EDTA buffer (pH 9.0) for 20 minutes. The tissues were blocked in 1% BSA for 20 minutes at room temperature, washed with ddH2O and PBS, and then probed with the primary antibody (HA751491) at 1/200 dilution for 1 hour at room temperature. The detection was performed using an HRP conjugated compact polymer system. DAB was used as the chromogen. Tissues were counterstained with hematoxylin and mounted with DPX.
HA751491_6.jpg Fig6: Immunohistochemical analysis of paraffin-embedded mouse thymus tissue with Rabbit anti-TCF7 antibody (HA751491) at 1/200 dilution.

The section was pre-treated using heat mediated antigen retrieval with Tris-EDTA buffer (pH 9.0) for 20 minutes. The tissues were blocked in 1% BSA for 20 minutes at room temperature, washed with ddH2O and PBS, and then probed with the primary antibody (HA751491) at 1/200 dilution for 1 hour at room temperature. The detection was performed using an HRP conjugated compact polymer system. DAB was used as the chromogen. Tissues were counterstained with hematoxylin and mounted with DPX.
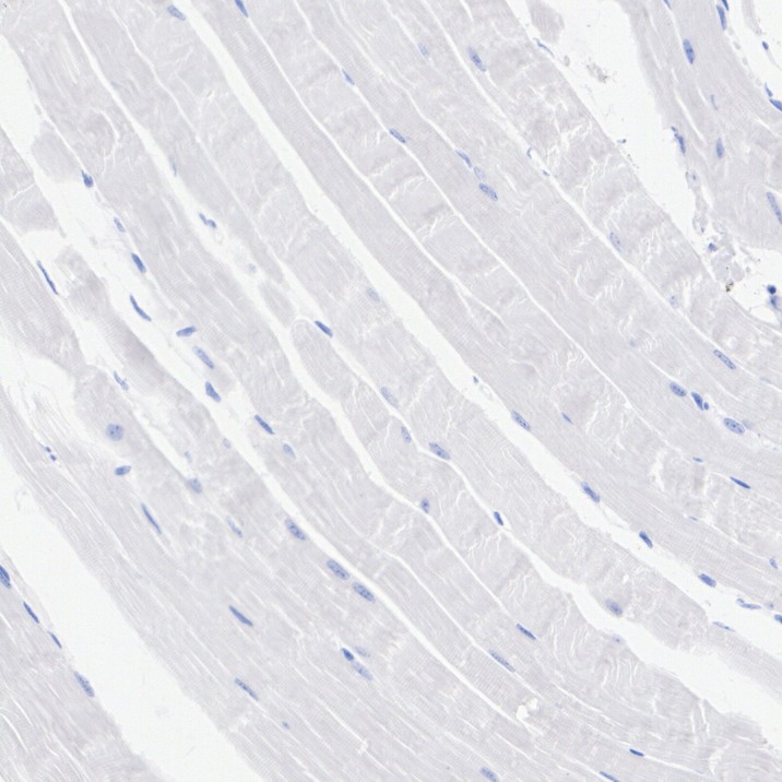
HA751491_7.jpg Fig7: Immunohistochemical analysis of paraffin-embedded mouse skeletal muscle tissue (negative) with Rabbit anti-TCF7 antibody (HA751491) at 1/200 dilution.

The section was pre-treated using heat mediated antigen retrieval with Tris-EDTA buffer (pH 9.0) for 20 minutes. The tissues were blocked in 1% BSA for 20 minutes at room temperature, washed with ddH2O and PBS, and then probed with the primary antibody (HA751491) at 1/200 dilution for 1 hour at room temperature. The detection was performed using an HRP conjugated compact polymer system. DAB was used as the chromogen. Tissues were counterstained with hematoxylin and mounted with DPX.
HA751491_8.jpg Fig8: Immunohistochemical analysis of paraffin-embedded rat lymph node tissue with Rabbit anti-TCF7 antibody (HA751491) at 1/200 dilution.

The section was pre-treated using heat mediated antigen retrieval with Tris-EDTA buffer (pH 9.0) for 20 minutes. The tissues were blocked in 1% BSA for 20 minutes at room temperature, washed with ddH2O and PBS, and then probed with the primary antibody (HA751491) at 1/200 dilution for 1 hour at room temperature. The detection was performed using an HRP conjugated compact polymer system. DAB was used as the chromogen. Tissues were counterstained with hematoxylin and mounted with DPX.
HA751491_9.jpg Fig9: Immunohistochemical analysis of paraffin-embedded rat thymus tissue with Rabbit anti-TCF7 antibody (HA751491) at 1/200 dilution.

The section was pre-treated using heat mediated antigen retrieval with Tris-EDTA buffer (pH 9.0) for 20 minutes. The tissues were blocked in 1% BSA for 20 minutes at room temperature, washed with ddH2O and PBS, and then probed with the primary antibody (HA751491) at 1/200 dilution for 1 hour at room temperature. The detection was performed using an HRP conjugated compact polymer system. DAB was used as the chromogen. Tissues were counterstained with hematoxylin and mounted with DPX.
HA751491_10.jpg Fig10: TCF7 was immunoprecipitated from 0.2 mg Jurkat cell lysate with HA751491 at 2 µg/10 µl beads. Western blot was performed from the immunoprecipitate using HA751491 at 1/5,000 dilution. HRP Conjugated Anti-Rabbit IgG for IP Nano-secondary antibody at 1/5,000 dilution was used for 1 hour at room temperature.

Lane 1: Jurkat cell lysate (input)
Lane 2: HA751491 IP in Jurkat cell lysate
Lane 3: Rabbit IgG instead of HA751491 in Jurkat cell lysate

Blocking/Dilution buffer: 5% NFDM/TBST
Exposure time: 25 seconds; ECL: K1801
Note: All products are “FOR RESEARCH USE ONLY AND ARE NOT INTENDED FOR DIAGNOSTIC OR THERAPEUTIC USE”.