Histone H3 (acetyl K27) Recombinant Rabbit Monoclonal Antibody [PSH13-93]
cat.: HA751495
Product Type: Recombinant Rabbit monoclonal IgG, primary antibodies
Species reactivity: Human, Mouse, Rat
Applications: WB, IHC-P, IF-Cell
Clonality: Monoclonal
Clone number: PSH13-93
Form: Liquid
Storage condition: Store at +4℃ after thawing. Aliquot store at -20℃. Avoid repeated freeze / thaw cycles.
Storage buffer: 1*PBS (pH7.4).
Concentration: 1ug/ul
Purification: Protein A affinity purified.
Molecular weight: Predicted band size: 15 kDa
Isotype: IgG
Immunogen: Synthetic peptide within human Histone H3 aa 20-40 (acetyl K27).
Positive control: HeLa cell lysate, HeLa treated with 500ng/mL TSA for 4 hours cell lysate, NIH/3T3 cell lysate, NIH/3T3 treated with 400nM TSA for 18 hours cell lysate, C6 cell lysate, C6 treated with 1μM TSA for 18 hours cell lysate, mouse colon tissue, mouse skin tissue, rat skin tissue, HeLa treated with 500ng/mL TSA for 4 hours, NIH/3T3 treated with 500ng/mL TSA for 4 hours, C6 treated with 500ng/mL TSA for 4 hours.
Subcellular location: Chromosome, Nucleosome core, Nucleus.
Recommended Dilutions:
  WB
  IHC-P
  IF-Cell

1:5,000
1:200
1:200
Uniprot #: SwissProt: P68431 Human | P84243 Human | Q16695 Human | Q71DI3 Human | Q6NXT2 Human
Alternative names: H3 histone family member E pseudogene H3 histone family, member A H3/A H31_HUMAN H3F3 H3FA Hist1h3a HIST1H3B HIST1H3C HIST1H3D HIST1H3E HIST1H3F HIST1H3G HIST1H3H HIST1H3I HIST1H3J HIST3H3 histone 1, H3a Histone cluster 1, H3a Histone H3 3 pseudogene Histone H3.1 Histone H3/a Histone H3/b Histone H3/c Histone H3/d Histone H3/f Histone H3/h Histone H3/i Histone H3/j Histone H3/k Histone H3/l H3K27ac
Images
HA751495_1.jpg Fig1: Western blot analysis of Histone H3 (acetyl K27) on different lysates with Rabbit anti-Histone H3 (acetyl K27) antibody (HA751495) at 1/5,000 dilution.

Lane 1: HeLa cell lysate
Lane 2: HeLa treated with 500ng/mL TSA for 4 hours cell lysate
Lane 3: NIH/3T3 cell lysate
Lane 4: NIH/3T3 treated with 400nM TSA for 18 hours cell lysate
Lane 5: C6 cell lysate
Lane 6: C6 treated with 1μM TSA for 18 hours cell lysate

Lysates/proteins at 20 µg/Lane.

Predicted band size: 15 kDa
Observed band size: 15 kDa

Exposure time: 25 seconds; ECL: K1801;
4-20% SDS-PAGE gel.

Proteins were transferred to a PVDF membrane and blocked with 5% NFDM/TBST for 1 hour at room temperature. The primary antibody (HA751495) at 1/5,000 dilution was used in primary antibody dilution (K1803) at 4℃ overnight. Goat Anti-Rabbit IgG - HRP Secondary Antibody (HA1001) at 1/50,000 dilution was used for 1 hour at room temperature.
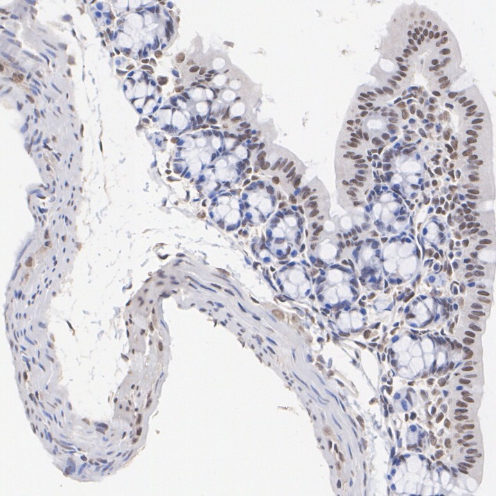
HA751495_2.jpg Fig2: Immunohistochemical analysis of paraffin-embedded mouse colon tissue with Rabbit anti-Histone H3 (acetyl K27) antibody (HA751495) at 1/200 dilution.

The section was pre-treated using heat mediated antigen retrieval with Tris-EDTA buffer (pH 9.0) for 20 minutes. The tissues were blocked in 1% BSA for 20 minutes at room temperature, washed with ddH2O and PBS, and then probed with the primary antibody (HA751495) at 1/200 dilution for 1 hour at room temperature. The detection was performed using an HRP conjugated compact polymer system. DAB was used as the chromogen. Tissues were counterstained with hematoxylin and mounted with DPX.
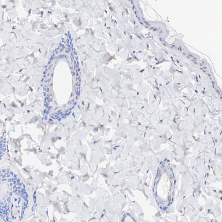
HA751495_3.jpg Fig3: Immunohistochemical analysis of paraffin-embedded mouse skin tissue with Rabbit anti-Histone H3 (acetyl K27) antibody (HA751495) at 1/200 dilution.

The section was pre-treated using heat mediated antigen retrieval with Tris-EDTA buffer (pH 9.0) for 20 minutes. The tissues were blocked in 1% BSA for 20 minutes at room temperature, washed with ddH2O and PBS, and then probed with the primary antibody (HA751495) at 1/200 dilution for 1 hour at room temperature. The detection was performed using an HRP conjugated compact polymer system. DAB was used as the chromogen. Tissues were counterstained with hematoxylin and mounted with DPX.
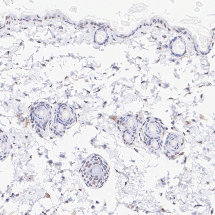
HA751495_4.jpg Fig4: Immunohistochemical analysis of paraffin-embedded rat skin tissue with Rabbit anti-Histone H3 (acetyl K27) antibody (HA751495) at 1/200 dilution.

The section was pre-treated using heat mediated antigen retrieval with Tris-EDTA buffer (pH 9.0) for 20 minutes. The tissues were blocked in 1% BSA for 20 minutes at room temperature, washed with ddH2O and PBS, and then probed with the primary antibody (HA751495) at 1/200 dilution for 1 hour at room temperature. The detection was performed using an HRP conjugated compact polymer system. DAB was used as the chromogen. Tissues were counterstained with hematoxylin and mounted with DPX.
HA751495_5.jpg Fig5: Immunocytochemistry analysis of HeLa cells untreated / treated with 500ng/mL TSA for 4 hours labeling Histone H3 (acetyl K27) with Rabbit anti-Histone H3 (acetyl K27) antibody (HA751495) at 1/200 dilution.

Cells were fixed in 4% paraformaldehyde for 15 minutes at room temperature, permeabilized with 0.1% Triton X-100 in PBS for 15 minutes at room temperature, then blocked with 1% BSA in 10% negative goat serum for 1 hour at room temperature. Cells were then incubated with Rabbit anti-Histone H3 (acetyl K27) antibody (HA751495) at 1/200 dilution in 1% BSA in PBST overnight at 4 ℃. Goat Anti-Rabbit IgG H&L (iFluor™ 488, HA1121) was used as the secondary antibody at 1/1,000 dilution. PBS instead of the primary antibody was used as the secondary antibody only control. Nuclear DNA was labelled in blue with DAPI.

Beta tubulin (HA601187, red) was stained at 1/100 dilution overnight at +4℃. Goat Anti-Mouse IgG H&L (iFluor™ 594, HA1126) was used as the secondary antibody at 1/1,000 dilution.
HA751495_6.jpg Fig6: Immunocytochemistry analysis of NIH/3T3 cells untreated / treated with 500ng/mL TSA for 4 hours labeling Histone H3 (acetyl K27) with Rabbit anti-Histone H3 (acetyl K27) antibody (HA751495) at 1/200 dilution.

Cells were fixed in 4% paraformaldehyde for 15 minutes at room temperature, permeabilized with 0.1% Triton X-100 in PBS for 15 minutes at room temperature, then blocked with 1% BSA in 10% negative goat serum for 1 hour at room temperature. Cells were then incubated with Rabbit anti-Histone H3 (acetyl K27) antibody (HA751495) at 1/200 dilution in 1% BSA in PBST overnight at 4 ℃. Goat Anti-Rabbit IgG H&L (iFluor™ 488, HA1121) was used as the secondary antibody at 1/1,000 dilution. PBS instead of the primary antibody was used as the secondary antibody only control. Nuclear DNA was labelled in blue with DAPI.

Beta tubulin (HA601187, red) was stained at 1/100 dilution overnight at +4℃. Goat Anti-Mouse IgG H&L (iFluor™ 594, HA1126) was used as the secondary antibody at 1/1,000 dilution.
HA751495_7.jpg Fig7: Immunocytochemistry analysis of C6 cells untreated / treated with 500ng/mL TSA for 4 hours labeling Histone H3 (acetyl K27) with Rabbit anti-Histone H3 (acetyl K27) antibody (HA751495) at 1/200 dilution.

Cells were fixed in 4% paraformaldehyde for 15 minutes at room temperature, permeabilized with 0.1% Triton X-100 in PBS for 15 minutes at room temperature, then blocked with 1% BSA in 10% negative goat serum for 1 hour at room temperature. Cells were then incubated with Rabbit anti-Histone H3 (acetyl K27) antibody (HA751495) at 1/200 dilution in 1% BSA in PBST overnight at 4 ℃. Goat Anti-Rabbit IgG H&L (iFluor™ 488, HA1121) was used as the secondary antibody at 1/1,000 dilution. PBS instead of the primary antibody was used as the secondary antibody only control. Nuclear DNA was labelled in blue with DAPI.

Beta tubulin (HA601187, red) was stained at 1/100 dilution overnight at +4℃. Goat Anti-Mouse IgG H&L (iFluor™ 594, HA1126) was used as the secondary antibody at 1/1,000 dilution.
Note: All products are “FOR RESEARCH USE ONLY AND ARE NOT INTENDED FOR DIAGNOSTIC OR THERAPEUTIC USE”.