QKI-6 Recombinant Antibody [PSH10-23] - Rabbit IgG (Chimeric) - BSA and Azide free
cat.: HA751497
Product Type: Recombinant Chimeric Antibody, primary antibodies
Species reactivity: Mouse, Rat
Applications: IHC-Fr, IHC-P, WB
Clone number: PSH10-23
Form: Liquid
Storage condition: Store at +4℃ after thawing. Aliquot store at -20℃. Avoid repeated freeze / thaw cycles.
Storage buffer: 1*PBS (pH7.4).
Concentration: 1ug/ul
Purification: Protein A affinity purified.
Molecular weight: Predicted band size: 35 kDa
Immunogen: Synthetic peptide within human QKI-6 aa 281-319 / 319.
Positive control: Mouse cerebellum tissue, Rat cerebellum tissue, Mouse brain tissue lysate, Rat brain tissue lysate.
Subcellular location: Cytoplasm, cytosol, Nucleus.
Recommended Dilutions:
  IHC-Fr
  IHC-P
  WB

1:500
1:5,000
1:5,000
Uniprot #: SwissProt: Q96PU8-9 Human | Q9QYS9 Mouse | Q91XU1 Rat
Alternative names: DKFZp586I0923 HKQ Homolog of mouse quaking QKI KH domain RNA binding protein Hqk HQK1 HqkI OTTHUMP00000017581 OTTHUMP00000017582 OTTHUMP00000017583 Protein quaking QK QK1 QK3 QKI QKI_HUMAN QKI1 Quaking homolog Quaking homolog KH domain RNA binding Quaking homolog KH domain RNA binding mouse Quaking isoform 1 Quaking protein RNA binding protein HQK QKI-6
Images
HA751497_1.jpg Fig1: Application: IHC-Fr

Species: Mouse

Site: cerebellum

Sample: Frozen section

Antibody concentration: 1/500 (QKI-6, HA751497, Rabbit, green); 1/500 (NF-M, HA601443, Mouse, red)

Antigen retrieval: Not required
HA751497_2.jpg Fig2: Application: IHC-Fr

Species: Mouse

Site: cerebellum

Sample: Frozen section

Antibody concentration: 1/500 (QKI-6, HA751497, Rabbit, green); 1/500 (NF-M, HA601444, Guinea pig, red)

Antigen retrieval: Not required
HA751497_3.jpg Fig3: Application: IHC-Fr

Species: Rat

Site: cerebellum

Sample: Frozen section

Antibody concentration: 1/500 (QKI-6, HA751497, Rabbit, green); 1/500 (NF-M, HA601443, Mouse, red)

Antigen retrieval: Not required
HA751497_4.jpg Fig4: Application: IHC-Fr

Species: Rat

Site: cerebellum

Sample: Frozen section

Antibody concentration: 1/500 (QKI-6, HA751497, Rabbit, green); 1/500 (NF-M, HA601444, Guinea pig, red)

Antigen retrieval: Not required
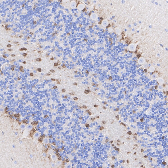
HA751497_5.jpg Fig5: Immunohistochemical analysis of paraffin-embedded mouse cerebellum tissue with Rabbit anti-QKI-6 antibody (HA751497) at 1/5,000 dilution.

The section was pre-treated using heat mediated antigen retrieval with Tris-EDTA buffer (pH 9.0) for 20 minutes. The tissues were blocked in 1% BSA for 20 minutes at room temperature, washed with ddH2O and PBS, and then probed with the primary antibody (HA751497) at 1/5,000 dilution for 1 hour at room temperature. The detection was performed using an HRP conjugated compact polymer system. DAB was used as the chromogen. Tissues were counterstained with hematoxylin and mounted with DPX.
HA751497_6.jpg Fig6: Western blot analysis of QKI-6 on different lysates with Rabbit anti-QKI-6 antibody (HA751497) at 1/5,000 dilution.

Lane 1: Mouse brain tissue lysate
Lane 2: Rat brain tissue lysate

Lysates/proteins at 20 µg/Lane.

Predicted band size: 35 kDa
Observed band size: 35 kDa

Exposure time: 10 seconds; ECL: K1801;

4-20% SDS-PAGE gel.

Proteins were transferred to a PVDF membrane and blocked with 5% NFDM/TBST for 1 hour at room temperature. The primary antibody (HA751497) at 1/5,000 dilution was used in primary antibody dilution (K1803) at 4℃ overnight. Goat Anti-Rabbit IgG - HRP Secondary Antibody (HA1001) at 1/50,000 dilution was used for 1 hour at room temperature.
Note: All products are “FOR RESEARCH USE ONLY AND ARE NOT INTENDED FOR DIAGNOSTIC OR THERAPEUTIC USE”.