RAB27B Recombinant Rabbit Monoclonal Antibody [PSH14-68]
cat.: HA751529
Product Type: Recombinant Rabbit monoclonal IgG, primary antibodies
Species reactivity: Human, Mouse, Rat
Applications: WB, IHC-P
Clonality: Monoclonal
Clone number: PSH14-68
Form: Liquid
Storage condition: Store at +4℃ after thawing. Aliquot store at -20℃. Avoid repeated freeze / thaw cycles.
Storage buffer: 1*PBS (pH7.4).
Concentration: 1ug/ul
Purification: Protein A affinity purified.
Molecular weight: Predicted band size: 25 kDa
Isotype: IgG
Immunogen: Recombinant protein within human RAB27B aa 1-218.
Positive control: U-87 MG cell lysate, Mouse stomach tissue lysate, Rat colon tissue lysate, human colon tissue, human stomach tissue.
Subcellular location: Membrane, Late endosome.
Recommended Dilutions:
  WB
  IHC-P

1:50,000
1:1,000
Uniprot #: SwissProt: O00194 Human | Q99P58 Mouse | Q99P74 Rat
Alternative names: C25KG Rab27b RAB27B member RAS oncogene family RAS associated protein RAB27B Ras related protein Rab 27b Ras related protein Rab27b Ras-related protein Rab-27B RB27B_HUMAN Small GTP binding protein rab27b
Images
HA751529_1.jpg Fig1: Western blot analysis of RAB27B on different lysates with Rabbit anti-RAB27B antibody (HA751529) at 1/50,000 dilution.

Lane 1: U-87 MG cell lysate (20 µg/Lane)
Lane 2: Mouse stomach tissue lysate (30 µg/Lane)
Lane 2: Mouse skeletal muscle tissue lysate (negative) (30 µg/Lane)
Lane 2: Rat colon tissue lysate (30 µg/Lane)

Predicted band size: 25 kDa
Observed band size: 25 kDa

Exposure time: 10 seconds; ECL: K1801;
4-20% SDS-PAGE gel.

Proteins were transferred to a PVDF membrane and blocked with 5% NFDM/TBST for 1 hour at room temperature. The primary antibody (HA751529) at 1/50,000 dilution was used in primary antibody dilution (K1803) at 4℃ overnight. Goat Anti-Rabbit IgG - HRP Secondary Antibody (HA1001) at 1/50,000 dilution was used for 1 hour at room temperature.
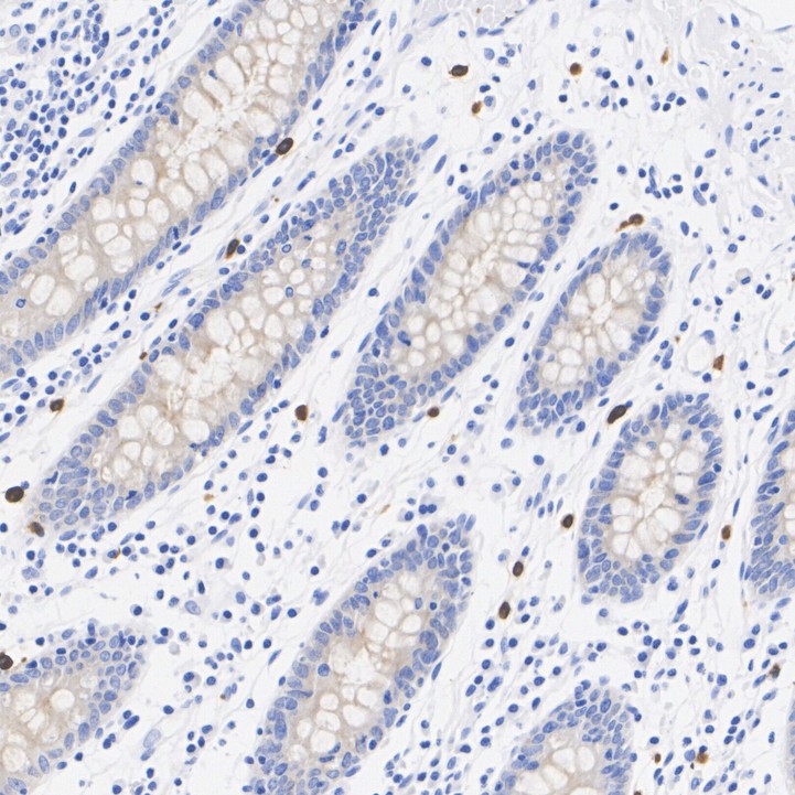
HA751529_2.jpg Fig2: Immunohistochemical analysis of paraffin-embedded human colon tissue with Rabbit anti-RAB27B antibody (HA751529) at 1/1,000 dilution.

The section was pre-treated using heat mediated antigen retrieval with Tris-EDTA buffer (pH 9.0) for 20 minutes. The tissues were blocked in 1% BSA for 20 minutes at room temperature, washed with ddH2O and PBS, and then probed with the primary antibody (HA751529) at 1/1,000 dilution for 1 hour at room temperature. The detection was performed using an HRP conjugated compact polymer system. DAB was used as the chromogen. Tissues were counterstained with hematoxylin and mounted with DPX.
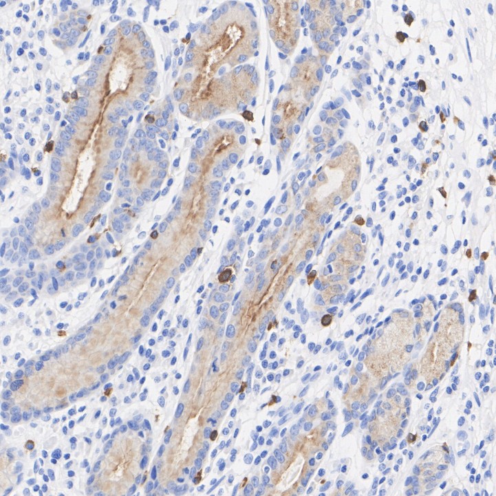
HA751529_3.jpg Fig3: Immunohistochemical analysis of paraffin-embedded human stomach tissue with Rabbit anti-RAB27B antibody (HA751529) at 1/1,000 dilution.

The section was pre-treated using heat mediated antigen retrieval with Tris-EDTA buffer (pH 9.0) for 20 minutes. The tissues were blocked in 1% BSA for 20 minutes at room temperature, washed with ddH2O and PBS, and then probed with the primary antibody (HA751529) at 1/1,000 dilution for 1 hour at room temperature. The detection was performed using an HRP conjugated compact polymer system. DAB was used as the chromogen. Tissues were counterstained with hematoxylin and mounted with DPX.
HA751529_4.jpg Fig4: Immunohistochemical analysis of paraffin-embedded human liver tissue (negative) with Rabbit anti-RAB27B antibody (HA751529) at 1/200 dilution.

The section was pre-treated using heat mediated antigen retrieval with Tris-EDTA buffer (pH 9.0) for 20 minutes. The tissues were blocked in 1% BSA for 20 minutes at room temperature, washed with ddH2O and PBS, and then probed with the primary antibody (HA751529) at 1/200 dilution for 1 hour at room temperature. The detection was performed using an HRP conjugated compact polymer system. DAB was used as the chromogen. Tissues were counterstained with hematoxylin and mounted with DPX.
HA751529_5.jpg Fig5: Western blot analysis of RAB27B on different lysates with Rabbit anti-RAB27B antibody (HA751529) at 1/5,000 dilution.

Lane 1: His-tagged RARB27A recombinant protein
Lane 2: His-tagged RARB27B recombinant protein

Lysates/proteins at 20 ng/Lane.

Exposure time: 2 seconds; ECL: K1801;

4-20% SDS-PAGE gel.

Proteins were transferred to a PVDF membrane and blocked with 5% NFDM/TBST for 1 hour at room temperature. The primary antibody (HA751529) at 1/5,000 dilution was used in primary antibody dilution (K1803) at 4℃ overnight. Goat Anti-Rabbit IgG - HRP Secondary Antibody (HA1001) at 1/50,000 dilution was used for 1 hour at room temperature.
Note: All products are “FOR RESEARCH USE ONLY AND ARE NOT INTENDED FOR DIAGNOSTIC OR THERAPEUTIC USE”.