BDH1 Recombinant Rabbit Monoclonal Antibody [PSH14-69]
cat.: HA751532
Product Type: Recombinant Rabbit monoclonal IgG, primary antibodies
Species reactivity: Human, Mouse, Rat, Monkey
Applications: WB, IF-Cell, IHC-P
Clonality: Monoclonal
Clone number: PSH14-69
Form: Liquid
Storage condition: Store at +4℃ after thawing. Aliquot store at -20℃. Avoid repeated freeze / thaw cycles.
Storage buffer: 1*PBS (pH7.4).
Concentration: 1ug/ul
Purification: Protein A affinity purified.
Molecular weight: Predicted band size: 38 kDa
Isotype: IgG
Immunogen: Recombinant protein within human BDH1 aa 1-343.
Positive control: HepG2 cell lysate, HT-29 cell lysate, COLO205 cell lysate, A549 cell lysate, NIH/3T3 cell lysate, PC-12 cell lysate, COS-1 cell lysate, Mouse liver tissue lysate, Mouse brain tissue lysate, Mouse heart tissue lysate, Rat liver tissue lysate, Rat brain tissue lysate, Rat heart tissue lysate, human colon tissue, human kidney tissue, mouse brain tissue, mouse heart tissue, mouse liver tissue, mouse testis tissue, rat brain tissue, rat liver tissue, rat spleen tissue, HepG2.
Subcellular location: Mitochondrion inner membrane, Mitochondrion matrix.
Recommended Dilutions:
  WB
  IF-Cell
  IHC-P

1:5,000-1:20,000
1:200
1:200-1:1,000
Uniprot #: SwissProt: Q02338 Human | Q80XN0 Mouse | P29147 Rat
Alternative names: 3 hydroxybutyrate dehydrogenase (heart, mitochondrial) 3-hydroxybutyrate dehydrogenase BDH BDH_HUMAN BDH1 D beta hydroxybutyrate dehydrogenase, mitochondrial D-beta-hydroxybutyrate dehydrogenase mitochondrial
Images
HA751532_1.jpg Fig1: Western blot analysis of BDH1 on different lysates with Rabbit anti-BDH1 antibody (HA751532) at 1/5,000 dilution.

Lane 1: HepG2 cell lysate (20 µg/Lane)
Lane 2: HT-29 cell lysate (20 µg/Lane)
Lane 3: COLO205 cell lysate (20 µg/Lane)
Lane 4: A549 cell lysate (20 µg/Lane)
Lane 5: NIH/3T3 cell lysate (20 µg/Lane)
Lane 6: PC-12 cell lysate (20 µg/Lane)

Predicted band size: 38 kDa
Observed band size: 33 kDa

Exposure time: 6 seconds; ECL: K1801;

4-20% SDS-PAGE gel.

Proteins were transferred to a PVDF membrane and blocked with 5% NFDM/TBST for 1 hour at room temperature. The primary antibody (HA751532) at 1/5,000 dilution was used in primary antibody dilution (K1803) at 4℃ overnight. Goat Anti-Rabbit IgG - HRP Secondary Antibody (HA1001) at 1/50,000 dilution was used for 1 hour at room temperature.
HA751532_2.jpg Fig2: Western blot analysis of BDH1 on different lysates with Rabbit anti-BDH1 antibody (HA751532) at 1/20,000 dilution.

Lane 1: COS-1 cell lysate (10 µg/Lane)
Lane 2: Mouse liver tissue lysate (10 µg/Lane)
Lane 3: Mouse brain tissue lysate (10 µg/Lane)
Lane 4: Mouse heart tissue lysate (10 µg/Lane)
Lane 5: Rat liver tissue lysate (10 µg/Lane)
Lane 6: Rat brain tissue lysate (10 µg/Lane)
Lane 7: Rat heart tissue lysate (10 µg/Lane)

Predicted band size: 38 kDa
Observed band size: 33 kDa

Exposure time: 2 seconds; ECL: K1801;

4-20% SDS-PAGE gel.

Proteins were transferred to a PVDF membrane and blocked with 5% NFDM/TBST for 1 hour at room temperature. The primary antibody (HA751532) at 1/20,000 dilution was used in primary antibody dilution (K1803) at 4℃ overnight. Goat Anti-Rabbit IgG - HRP Secondary Antibody (HA1001) at 1/50,000 dilution was used for 1 hour at room temperature.
HA751532_3.jpg Fig3: Immunocytochemistry analysis of HepG2 cells labeling BDH1 with Rabbit anti-BDH1 antibody (HA751532) at 1/200 dilution.

Cells were fixed in 4% paraformaldehyde for 15 minutes at room temperature, permeabilized with 0.1% Triton X-100 in PBS for 15 minutes at room temperature, then blocked with 1% BSA in 10% negative goat serum for 1 hour at room temperature. Cells were then incubated with Rabbit anti-BDH1 antibody (HA751532) at 1/200 dilution in 1% BSA in PBST overnight at 4 ℃. Goat Anti-Rabbit IgG H&L (iFluor™ 488, HA1121) was used as the secondary antibody at 1/1,000 dilution. PBS instead of the primary antibody was used as the secondary antibody only control. Counterstained with Mitotracker. Nuclear DNA was labelled in blue with DAPI.
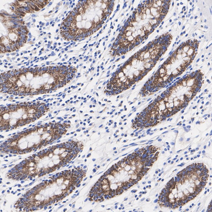
HA751532_4.jpg Fig4: Immunohistochemical analysis of paraffin-embedded human colon tissue with Rabbit anti-BDH1 antibody (HA751532) at 1/1,000 dilution.

The section was pre-treated using heat mediated antigen retrieval with Tris-EDTA buffer (pH 9.0) for 20 minutes. The tissues were blocked in 1% BSA for 20 minutes at room temperature, washed with ddH2O and PBS, and then probed with the primary antibody (HA751532) at 1/1,000 dilution for 1 hour at room temperature. The detection was performed using an HRP conjugated compact polymer system. DAB was used as the chromogen. Tissues were counterstained with hematoxylin and mounted with DPX.
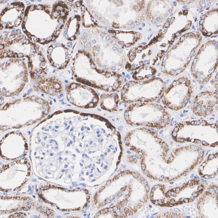
HA751532_5.jpg Fig5: Immunohistochemical analysis of paraffin-embedded human kidney tissue with Rabbit anti-BDH1 antibody (HA751532) at 1/200 dilution.

The section was pre-treated using heat mediated antigen retrieval with Tris-EDTA buffer (pH 9.0) for 20 minutes. The tissues were blocked in 1% BSA for 20 minutes at room temperature, washed with ddH2O and PBS, and then probed with the primary antibody (HA751532) at 1/200 dilution for 1 hour at room temperature. The detection was performed using an HRP conjugated compact polymer system. DAB was used as the chromogen. Tissues were counterstained with hematoxylin and mounted with DPX.
HA751532_6.jpg Fig6: Immunohistochemical analysis of paraffin-embedded mouse brain tissue with Rabbit anti-BDH1 antibody (HA751532) at 1/1,000 dilution.

The section was pre-treated using heat mediated antigen retrieval with Tris-EDTA buffer (pH 9.0) for 20 minutes. The tissues were blocked in 1% BSA for 20 minutes at room temperature, washed with ddH2O and PBS, and then probed with the primary antibody (HA751532) at 1/1,000 dilution for 1 hour at room temperature. The detection was performed using an HRP conjugated compact polymer system. DAB was used as the chromogen. Tissues were counterstained with hematoxylin and mounted with DPX.
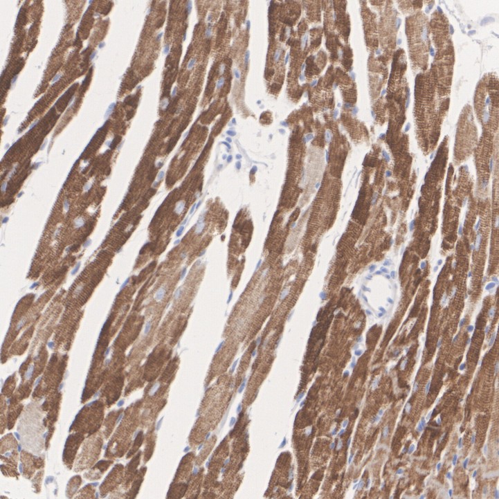
HA751532_7.jpg Fig7: Immunohistochemical analysis of paraffin-embedded mouse heart tissue with Rabbit anti-BDH1 antibody (HA751532) at 1/1,000 dilution.

The section was pre-treated using heat mediated antigen retrieval with Tris-EDTA buffer (pH 9.0) for 20 minutes. The tissues were blocked in 1% BSA for 20 minutes at room temperature, washed with ddH2O and PBS, and then probed with the primary antibody (HA751532) at 1/1,000 dilution for 1 hour at room temperature. The detection was performed using an HRP conjugated compact polymer system. DAB was used as the chromogen. Tissues were counterstained with hematoxylin and mounted with DPX.
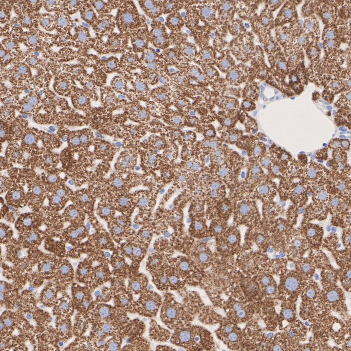
HA751532_8.jpg Fig8: Immunohistochemical analysis of paraffin-embedded mouse liver tissue with Rabbit anti-BDH1 antibody (HA751532) at 1/1,000 dilution.

The section was pre-treated using heat mediated antigen retrieval with Tris-EDTA buffer (pH 9.0) for 20 minutes. The tissues were blocked in 1% BSA for 20 minutes at room temperature, washed with ddH2O and PBS, and then probed with the primary antibody (HA751532) at 1/1,000 dilution for 1 hour at room temperature. The detection was performed using an HRP conjugated compact polymer system. DAB was used as the chromogen. Tissues were counterstained with hematoxylin and mounted with DPX.
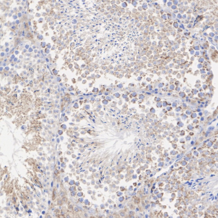
HA751532_9.jpg Fig9: Immunohistochemical analysis of paraffin-embedded mouse testis tissue with Rabbit anti-BDH1 antibody (HA751532) at 1/1,000 dilution.

The section was pre-treated using heat mediated antigen retrieval with Tris-EDTA buffer (pH 9.0) for 20 minutes. The tissues were blocked in 1% BSA for 20 minutes at room temperature, washed with ddH2O and PBS, and then probed with the primary antibody (HA751532) at 1/1,000 dilution for 1 hour at room temperature. The detection was performed using an HRP conjugated compact polymer system. DAB was used as the chromogen. Tissues were counterstained with hematoxylin and mounted with DPX.
HA751532_10.jpg Fig10: Immunohistochemical analysis of paraffin-embedded rat brain tissue with Rabbit anti-BDH1 antibody (HA751532) at 1/1,000 dilution.

The section was pre-treated using heat mediated antigen retrieval with Tris-EDTA buffer (pH 9.0) for 20 minutes. The tissues were blocked in 1% BSA for 20 minutes at room temperature, washed with ddH2O and PBS, and then probed with the primary antibody (HA751532) at 1/1,000 dilution for 1 hour at room temperature. The detection was performed using an HRP conjugated compact polymer system. DAB was used as the chromogen. Tissues were counterstained with hematoxylin and mounted with DPX.
HA751532_11.jpg Fig11: Immunohistochemical analysis of paraffin-embedded rat liver tissue with Rabbit anti-BDH1 antibody (HA751532) at 1/1,000 dilution.

The section was pre-treated using heat mediated antigen retrieval with Tris-EDTA buffer (pH 9.0) for 20 minutes. The tissues were blocked in 1% BSA for 20 minutes at room temperature, washed with ddH2O and PBS, and then probed with the primary antibody (HA751532) at 1/1,000 dilution for 1 hour at room temperature. The detection was performed using an HRP conjugated compact polymer system. DAB was used as the chromogen. Tissues were counterstained with hematoxylin and mounted with DPX.
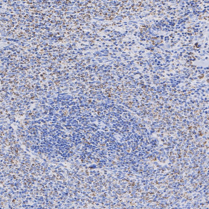
HA751532_12.jpg Fig12: Immunohistochemical analysis of paraffin-embedded rat spleen tissue with Rabbit anti-BDH1 antibody (HA751532) at 1/1,000 dilution.

The section was pre-treated using heat mediated antigen retrieval with Tris-EDTA buffer (pH 9.0) for 20 minutes. The tissues were blocked in 1% BSA for 20 minutes at room temperature, washed with ddH2O and PBS, and then probed with the primary antibody (HA751532) at 1/1,000 dilution for 1 hour at room temperature. The detection was performed using an HRP conjugated compact polymer system. DAB was used as the chromogen. Tissues were counterstained with hematoxylin and mounted with DPX.
Note: All products are “FOR RESEARCH USE ONLY AND ARE NOT INTENDED FOR DIAGNOSTIC OR THERAPEUTIC USE”.