CD68 Recombinant Antibody [PDM0-13] - Rabbit IgG (Chimeric) - BSA and Azide free
cat.: HA751544
Product Type: Recombinant Chimeric Antibody, primary antibodies
Species reactivity: Human
Applications: IF-Tissue, IHC-P
Clone number: PDM0-13
Form: Liquid
Storage condition: Store at +4℃ after thawing. Aliquot store at -20℃. Avoid repeated freeze / thaw cycles.
Storage buffer: 1*PBS (pH7.4).
Concentration: 1ug/ul
Purification: Protein A affinity purified.
Molecular weight: Predicted band size: 37 kDa
Immunogen: Recombinant protein within Human CD68 aa 1-354.
Positive control: Human liver tissue, human spleen tissue.
Subcellular location: Cell membrane. Endosome membrane, Lysosome membrane.
Recommended Dilutions:
  IF-Tissue
  IHC-P

1:500-1:1,000
1:4,000
Uniprot #: SwissProt: P34810 Human
Alternative names: CD 68 CD68 CD68 antigen CD68 molecule CD68_HUMAN DKFZp686M18236 gp11 Gp110 LAMP4 Macrophage antigen CD68 (microsialin) MACROPHAGE ANTIGEN CD68 Macrosialin SCARD1 Scavenger receptor class D member 1
Images
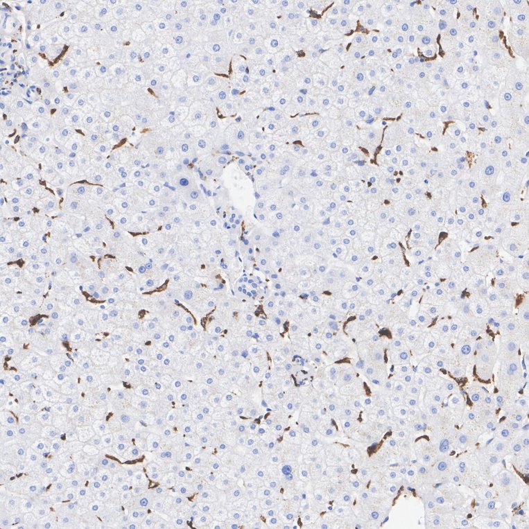
HA751544_1.jpg Fig1: Application: IF-Tissue

Species: Human

Site: liver

Sample: Paraffin-embedded section

Antibody concentration: 1/500
HA751544_2.jpg Fig2: Immunohistochemical analysis of paraffin-embedded human liver tissue with Rabbit anti-CD68 antibody (HA751544) at 1/4,000 dilution.

The section was pre-treated using heat mediated antigen retrieval with Tris-EDTA buffer (pH 9.0) for 20 minutes. The tissues were blocked in 1% BSA for 20 minutes at room temperature, washed with ddH2O and PBS, and then probed with the primary antibody (HA751544) at 1/4,000 dilution for 1 hour at room temperature. The detection was performed using an HRP conjugated compact polymer system. DAB was used as the chromogen. Tissues were counterstained with hematoxylin and mounted with DPX.
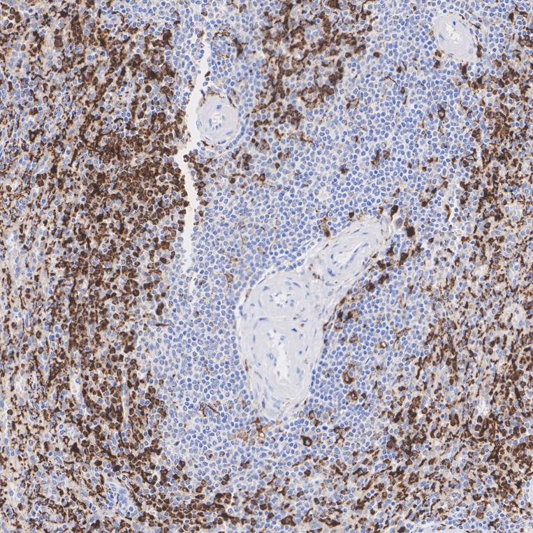
HA751544_3.jpg Fig3: Immunohistochemical analysis of paraffin-embedded human spleen tissue with Rabbit anti-CD68 antibody (HA751544) at 1/4,000 dilution.

The section was pre-treated using heat mediated antigen retrieval with Tris-EDTA buffer (pH 9.0) for 20 minutes. The tissues were blocked in 1% BSA for 20 minutes at room temperature, washed with ddH2O and PBS, and then probed with the primary antibody (HA751544) at 1/4,000 dilution for 1 hour at room temperature. The detection was performed using an HRP conjugated compact polymer system. DAB was used as the chromogen. Tissues were counterstained with hematoxylin and mounted with DPX.
Note: All products are “FOR RESEARCH USE ONLY AND ARE NOT INTENDED FOR DIAGNOSTIC OR THERAPEUTIC USE”.