MUL1 Recombinant Rabbit Monoclonal Antibody [PSH15-17]
cat.: HA751546
Product Type: Recombinant Rabbit monoclonal IgG, primary antibodies
Species reactivity: Human, Mouse, Rat
Applications: WB, IHC-P
Clonality: Monoclonal
Clone number: PSH15-17
Form: Liquid
Storage condition: Store at +4℃ after thawing. Aliquot store at -20℃. Avoid repeated freeze / thaw cycles.
Storage buffer: 1*PBS (pH7.4).
Concentration: 1ug/ul
Purification: Protein A affinity purified.
Molecular weight: Predicted band size: 40 kDa
Isotype: IgG
Immunogen: Recombinant protein within human MUL1 aa 260-352.
Positive control: HEK-293 cell lysate, A431 cell lysate, HeLa cell lysate, RD cell lysate, RAW264.7 cell lysate, PC-12 cell lysate, Mouse thymus tissue lysate, Mouse kidney tissue lysate, Rat thymus tissue lysate, Rat kidney tissue lysate, human kidney tissue.
Subcellular location: Mitochondrion outer membrane, Peroxisome.
Recommended Dilutions:
  WB
  IHC-P

1:5,000
1:50-1:200
Uniprot #: SwissProt: Q969V5 Human | Q8VCM5 Mouse
Entrez Gene: 298576 Rat
Alternative names: 0610009K11Rik AV000801 C1orf166 Chromosome 1 open reading frame 166 E3 SUMO-protein ligase MUL1 E3 ubiquitin ligase E3 ubiquitin protein ligase MUL1 E3 ubiquitin-protein ligase MUL1 FLJ12875 GIDE Growth inhibition and death E3 ligase MAPL Mitochondrial anchored protein ligase mitochondrial E3 ubiquitin ligase 1 mitochondrial E3 ubiquitin protein ligase 1 Mitochondrial ubiquitin ligase activator of NFKB 1 Mitochondrial-anchored protein ligase MUL1 MUL1_HUMAN MULAN Putative NF kappa B activating protein 266 Putative NF-kappa-B-activating protein 266 RGD1309944 RING finger protein 218 RNF218 RP11-401M16.2 RP23-25C1.10-002
Images
HA751546_1.jpg Fig1: Western blot analysis of MUL1 on different lysates with Rabbit anti-MUL1 antibody (HA751546) at 1/5,000 dilution.

Lane 1: HEK-293 cell lysate (20 µg/Lane)
Lane 2: A431 cell lysate (20 µg/Lane)
Lane 3: HeLa cell lysate (20 µg/Lane)
Lane 4: RD cell lysate (20 µg/Lane)
Lane 5: RAW264.7 cell lysate (20 µg/Lane)
Lane 6: PC-12 cell lysate (20 µg/Lane)
Lane 7: Mouse thymus tissue lysate (low expression) (40 µg/Lane)
Lane 8: Mouse kidney tissue lysate (40 µg/Lane)
Lane 9: Rat thymus tissue lysate (low expression) (40 µg/Lane)
Lane 10: Rat kidney tissue lysate (40 µg/Lane)

Predicted band size: 40 kDa
Observed band size: 37 kDa

Exposure time: 2 minutes; ECL: K1801;

4-20% SDS-PAGE gel.

Proteins were transferred to a PVDF membrane and blocked with 5% NFDM/TBST for 1 hour at room temperature. The primary antibody (HA751546) at 1/5,000 dilution was used in primary antibody dilution (K1803) at 4℃ overnight. Goat Anti-Rabbit IgG - HRP Secondary Antibody (HA1001) at 1/50,000 dilution was used for 1 hour at room temperature.
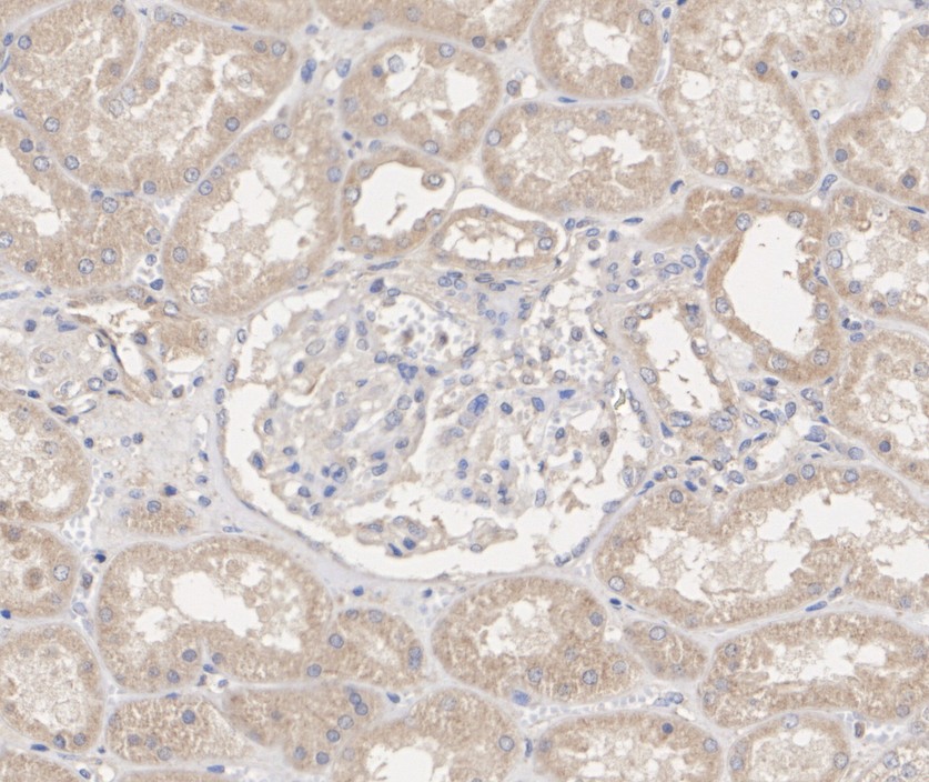
HA751546_2.jpg Fig2: Immunohistochemical analysis of paraffin-embedded human kidney tissue with Rabbit anti-MUL1 antibody (HA751546) at 1/50 dilution.

The section was pre-treated using heat mediated antigen retrieval with Tris-EDTA buffer (pH 9.0) for 20 minutes. The tissues were blocked in 1% BSA for 20 minutes at room temperature, washed with ddH2O and PBS, and then probed with the primary antibody (HA751546) at 1/50 dilution for 1 hour at room temperature. The detection was performed using an HRP conjugated compact polymer system. DAB was used as the chromogen. Tissues were counterstained with hematoxylin and mounted with DPX.
Note: All products are “FOR RESEARCH USE ONLY AND ARE NOT INTENDED FOR DIAGNOSTIC OR THERAPEUTIC USE”.