Frataxin Recombinant Rabbit Monoclonal Antibody [PSH15-18]
cat.: HA751547
Product Type: Recombinant Rabbit monoclonal IgG, primary antibodies
Species reactivity: Human, Rat
Applications: WB, IHC-P
Clonality: Monoclonal
Clone number: PSH15-18
Form: Liquid
Storage condition: Store at +4℃ after thawing. Aliquot store at -20℃. Avoid repeated freeze / thaw cycles.
Storage buffer: 1*PBS (pH7.4).
Concentration: 1ug/ul
Purification: Protein A affinity purified.
Molecular weight: Predicted band size: 23 kDa
Isotype: IgG
Immunogen: Recombinant protein within human Frataxin aa 42-210.
Positive control: SW480 cell lysate, HCT 116 cell lysate, TF-1 cell lysate, Huh7 cell lysate, PC-12 cell lysate, human kidney tissue, human liver tissue.
Subcellular location: Mitochondrion; Cytoplasm, cytosol.
Recommended Dilutions:
  WB
  IHC-P

1:2,000-1:5,000
1:1,000
Uniprot #: SwissProt: Q16595 Human | O35943 Mouse | D3ZYW7 Rat
Alternative names: CyaY d-FXN FA FARR Frataxin mature form Frataxin(81-210) FRDA FRDA_HUMAN Friedreich ataxia protein Fxn i-FXN m56-FXN m78-FXN m81-FXN MGC57199 X25
Images
HA751547_1.jpg Fig1: Western blot analysis of Frataxin on different lysates with Rabbit anti-Frataxin antibody (HA751547) at 1/5,000 dilution.

Lane 1: SW480 cell lysate (20 µg/Lane)
Lane 2: HCT 116 cell lysate (20 µg/Lane)
Lane 3: TF-1 cell lysate (20 µg/Lane)
Lane 4: Huh7 cell lysate (20 µg/Lane)
Lane 5: PC-12 cell lysate (20 µg/Lane)

Predicted band size: 23 kDa
Observed band size: 14/19 kDa

Exposure time: 3 minutes; ECL: K1801;
4-20% SDS-PAGE gel.

Proteins were transferred to a PVDF membrane and blocked with 5% NFDM/TBST for 1 hour at room temperature. The primary antibody (HA751547) at 1/5,000 dilution was used in primary antibody dilution (K1803) at 4℃ overnight. Goat Anti-Rabbit IgG - HRP Secondary Antibody (HA1001) at 1/50,000 dilution was used for 1 hour at room temperature.
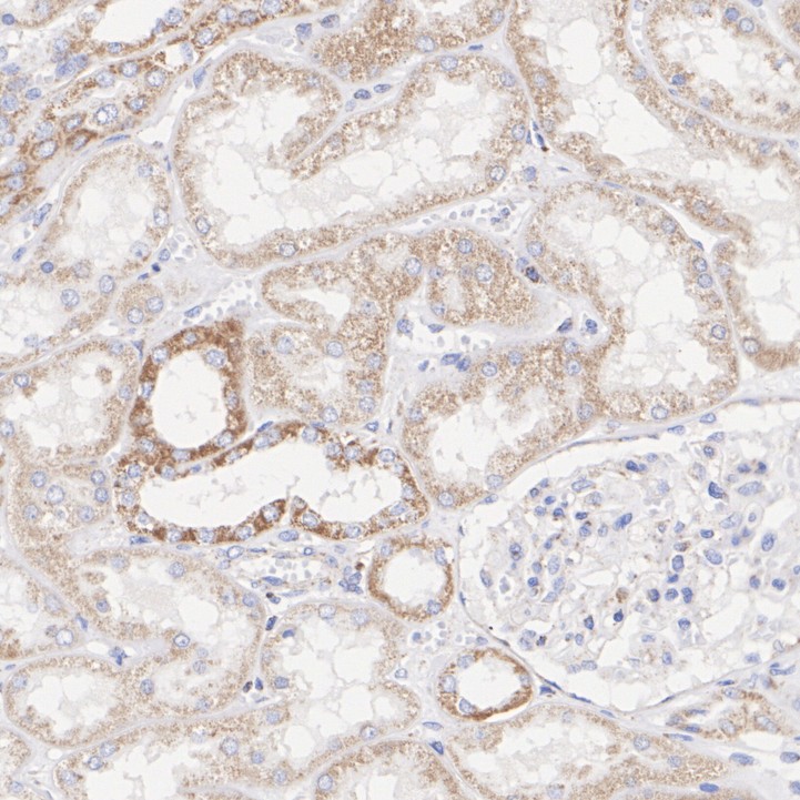
HA751547_2.jpg Fig2: Immunohistochemical analysis of paraffin-embedded human kidney tissue with Rabbit anti-Frataxin antibody (HA751547) at 1/1,000 dilution.

The section was pre-treated using heat mediated antigen retrieval with Tris-EDTA buffer (pH 9.0) for 20 minutes. The tissues were blocked in 1% BSA for 20 minutes at room temperature, washed with ddH2O and PBS, and then probed with the primary antibody (HA751547) at 1/1,000 dilution for 1 hour at room temperature. The detection was performed using an HRP conjugated compact polymer system. DAB was used as the chromogen. Tissues were counterstained with hematoxylin and mounted with DPX.
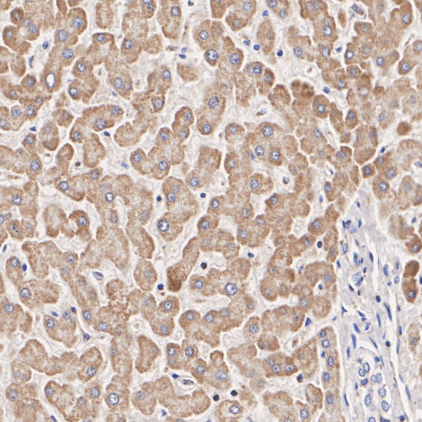
HA751547_3.jpg Fig3: Immunohistochemical analysis of paraffin-embedded human liver tissue with Rabbit anti-Frataxin antibody (HA751547) at 1/1,000 dilution.

The section was pre-treated using heat mediated antigen retrieval with Tris-EDTA buffer (pH 9.0) for 20 minutes. The tissues were blocked in 1% BSA for 20 minutes at room temperature, washed with ddH2O and PBS, and then probed with the primary antibody (HA751547) at 1/1,000 dilution for 1 hour at room temperature. The detection was performed using an HRP conjugated compact polymer system. DAB was used as the chromogen. Tissues were counterstained with hematoxylin and mounted with DPX.
Note: All products are “FOR RESEARCH USE ONLY AND ARE NOT INTENDED FOR DIAGNOSTIC OR THERAPEUTIC USE”.