TCF-4 Recombinant Rabbit Monoclonal Antibody [PSH15-19]
cat.: HA751548
Product Type: Recombinant Rabbit monoclonal IgG, primary antibodies
Species reactivity: Human, Mouse, Rat
Applications: WB, IF-Cell, IHC-P
Clonality: Monoclonal
Clone number: PSH15-19
Form: Liquid
Storage condition: Store at +4℃ after thawing. Aliquot store at -20℃. Avoid repeated freeze / thaw cycles.
Storage buffer: 1*PBS (pH7.4).
Concentration: 1ug/ul
Purification: Protein A affinity purified.
Molecular weight: Predicted band size: 71 kDa
Isotype: IgG
Immunogen: Recombinant protein within human TCF-4 aa 51-550.
Positive control: SH-SY5Y cell lysate, RPMI 8226 cell lysate, C6 cell lysate, SH-SY5Y, Neuro-2a, C6, mouse brain tissue, mouse colon tissue, rat brain tissue, rat colon tissue.
Subcellular location: Nucleus.
Recommended Dilutions:
  WB
  IF-Cell
  IHC-P

1:5,000
1:100-1:500
1:200
Uniprot #: SwissProt: P15884 Human | Q60722 Mouse
Entrez Gene: 84382 Rat
Alternative names: bHLHb19 Class B basic helix-loop-helix protein 19 E2 2 FECD3 Immunoglobulin transcription factor 2 ITF 2 ITF-2 ITF2 ITF2_HUMAN MGC149723 MGC149724 PTHS SEF 2 SEF-2 SEF2 1 SEF2 1A SEF2 1B SEF2 1D SEF2 SL3 3 enhancer factor 2 SL3-3 enhancer factor 2 TCF 4 TCF-4 TCF4 Transcription factor 4 Transcription factor 4, isoform C Transcription factor 4, isoform D Transcription factor 4, isoform E Transcription factor 4, isoform L Transcription factor 4, isoform M Transcription factor 4, isoform R
Images
HA751548_1.jpg Fig1: Western blot analysis of TCF-4 on different lysates with Rabbit anti-TCF-4 antibody (HA751548) at 1/5,000 dilution.

Lane 1: SH-SY5Y cell lysate
Lane 2: RPMI 8226 cell lysate
Lane 3: A549 cell lysate (negative)

Lysates/proteins at 20 µg/Lane.

Predicted band size: 71 kDa
Observed band size: 60/75 kDa

Exposure time: 10 seconds; ECL: K1801;

4-20% SDS-PAGE gel.

Proteins were transferred to a PVDF membrane and blocked with 5% NFDM/TBST for 1 hour at room temperature. The primary antibody (HA751548) at 1/5,000 dilution was used in primary antibody dilution (K1803) at 4℃ overnight. Goat Anti-Rabbit IgG - HRP Secondary Antibody (HA1001) at 1/50,000 dilution was used for 1 hour at room temperature.
HA751548_2.jpg Fig2: Western blot analysis of TCF-4 on C6 cell lysates with Rabbit anti-TCF-4 antibody (HA751548) at 1/5,000 dilution.

Lysates/proteins at 20 µg/Lane.

Predicted band size: 71 kDa
Observed band size: 60/75 kDa

Exposure time: 1 minute; ECL: K1801;

4-20% SDS-PAGE gel.

Proteins were transferred to a PVDF membrane and blocked with 5% NFDM/TBST for 1 hour at room temperature. The primary antibody (HA751548) at 1/5,000 dilution was used in 5% NFDM/TBST at 4℃ overnight. Goat Anti-Rabbit IgG - HRP Secondary Antibody (HA1001) at 1/50,000 dilution was used for 1 hour at room temperature.
HA751548_3.jpg Fig3: Immunocytochemistry analysis of SH-SY5Y (positive) and A549 (negative) labeling TCF-4 with Rabbit anti-TCF-4 antibody (HA751548) at 1/500 dilution.

Cells were fixed in 4% paraformaldehyde for 15 minutes at room temperature, permeabilized with 0.1% Triton X-100 in PBS for 15 minutes at room temperature, then blocked with 1% BSA in 10% negative goat serum for 1 hour at room temperature. Cells were then incubated with Rabbit anti-TCF-4 antibody (HA751548) at 1/500 dilution in 1% BSA in PBST overnight at 4 ℃. Goat Anti-Rabbit IgG H&L (iFluor™ 488, HA1121) was used as the secondary antibody at 1/1,000 dilution. PBS instead of the primary antibody was used as the secondary antibody only control. Nuclear DNA was labelled in blue with DAPI.

Beta tubulin (HA601187, red) was stained at 1/100 dilution overnight at +4℃. Goat Anti-Mouse IgG H&L (iFluor™ 594, HA1126) was used as the secondary antibody at 1/1,000 dilution.
HA751548_4.jpg Fig4: Immunocytochemistry analysis of Neuro-2a (positive) and EL4 (negative) labeling TCF-4 with Rabbit anti-TCF-4 antibody (HA751548) at 1/250 dilution.

Cells were fixed in 4% paraformaldehyde for 15 minutes at room temperature, permeabilized with 0.1% Triton X-100 in PBS for 15 minutes at room temperature, then blocked with 1% BSA in 10% negative goat serum for 1 hour at room temperature. Cells were then incubated with Rabbit anti-TCF-4 antibody (HA751548) at 1/250 dilution in 1% BSA in PBST overnight at 4 ℃. Goat Anti-Rabbit IgG H&L (iFluor™ 488, HA1121) was used as the secondary antibody at 1/1,000 dilution. PBS instead of the primary antibody was used as the secondary antibody only control. Nuclear DNA was labelled in blue with DAPI.

Beta tubulin (HA601187, red) was stained at 1/100 dilution overnight at +4℃. Goat Anti-Mouse IgG H&L (iFluor™ 594, HA1126) was used as the secondary antibody at 1/1,000 dilution.
HA751548_5.jpg Fig5: Immunocytochemistry analysis of C6 cells labeling TCF-4 with Rabbit anti-TCF-4 antibody (HA751548) at 1/100 dilution.

Cells were fixed in 4% paraformaldehyde for 15 minutes at room temperature, permeabilized with 0.1% Triton X-100 in PBS for 15 minutes at room temperature, then blocked with 1% BSA in 10% negative goat serum for 1 hour at room temperature. Cells were then incubated with Rabbit anti-TCF-4 antibody (HA751548) at 1/100 dilution in 1% BSA in PBST overnight at 4 ℃. Goat Anti-Rabbit IgG H&L (iFluor™ 488, HA1121) was used as the secondary antibody at 1/1,000 dilution. PBS instead of the primary antibody was used as the secondary antibody only control. Nuclear DNA was labelled in blue with DAPI.

Beta tubulin (HA601187, red) was stained at 1/100 dilution overnight at +4℃. Goat Anti-Mouse IgG H&L (iFluor™ 594, HA1126) was used as the secondary antibody at 1/1,000 dilution.
HA751548_6.jpg Fig6: Immunohistochemical analysis of paraffin-embedded mouse brain tissue with Rabbit anti-TCF-4 antibody (HA751548) at 1/200 dilution.

The section was pre-treated using heat mediated antigen retrieval with Tris-EDTA buffer (pH 9.0) for 20 minutes. The tissues were blocked in 1% BSA for 20 minutes at room temperature, washed with ddH2O and PBS, and then probed with the primary antibody (HA751548) at 1/200 dilution for 1 hour at room temperature. The detection was performed using an HRP conjugated compact polymer system. DAB was used as the chromogen. Tissues were counterstained with hematoxylin and mounted with DPX.
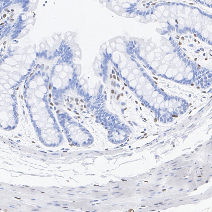
HA751548_7.jpg Fig7: Immunohistochemical analysis of paraffin-embedded mouse colon tissue with Rabbit anti-TCF-4 antibody (HA751548) at 1/200 dilution.

The section was pre-treated using heat mediated antigen retrieval with Tris-EDTA buffer (pH 9.0) for 20 minutes. The tissues were blocked in 1% BSA for 20 minutes at room temperature, washed with ddH2O and PBS, and then probed with the primary antibody (HA751548) at 1/200 dilution for 1 hour at room temperature. The detection was performed using an HRP conjugated compact polymer system. DAB was used as the chromogen. Tissues were counterstained with hematoxylin and mounted with DPX.
HA751548_8.jpg Fig8: Immunohistochemical analysis of paraffin-embedded rat brain tissue with Rabbit anti-TCF-4 antibody (HA751548) at 1/200 dilution.

The section was pre-treated using heat mediated antigen retrieval with Tris-EDTA buffer (pH 9.0) for 20 minutes. The tissues were blocked in 1% BSA for 20 minutes at room temperature, washed with ddH2O and PBS, and then probed with the primary antibody (HA751548) at 1/200 dilution for 1 hour at room temperature. The detection was performed using an HRP conjugated compact polymer system. DAB was used as the chromogen. Tissues were counterstained with hematoxylin and mounted with DPX.
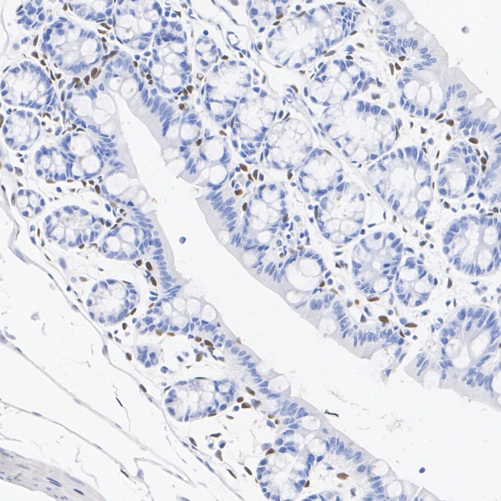
HA751548_9.jpg Fig9: Immunohistochemical analysis of paraffin-embedded rat colon tissue with Rabbit anti-TCF-4 antibody (HA751548) at 1/200 dilution.

The section was pre-treated using heat mediated antigen retrieval with Tris-EDTA buffer (pH 9.0) for 20 minutes. The tissues were blocked in 1% BSA for 20 minutes at room temperature, washed with ddH2O and PBS, and then probed with the primary antibody (HA751548) at 1/200 dilution for 1 hour at room temperature. The detection was performed using an HRP conjugated compact polymer system. DAB was used as the chromogen. Tissues were counterstained with hematoxylin and mounted with DPX.
Note: All products are “FOR RESEARCH USE ONLY AND ARE NOT INTENDED FOR DIAGNOSTIC OR THERAPEUTIC USE”.