Prosurfactant Protein C Recombinant Rabbit Monoclonal Antibody [PSH15-28]
cat.: HA751550
Product Type: Recombinant Rabbit monoclonal IgG, primary antibodies
Species reactivity: Human, Mouse, Rat
Applications: WB, IHC-P, IF-Cell, FC, IF-Tissue
Clonality: Monoclonal
Clone number: PSH15-28
Form: Liquid
Storage condition: Store at +4℃ after thawing. Aliquot store at -20℃. Avoid repeated freeze / thaw cycles.
Storage buffer: 1*PBS (pH7.4).
Concentration: 1ug/ul
Purification: Protein A affinity purified.
Molecular weight: Predicted band size: 21 kDa
Isotype: IgG
Immunogen: Synthetic peptide within human Prosurfactant Protein C aa 1-50.
Positive control: Mouse lung tissue lysate, Rat lung tissue lysate, human lung tissue, mouse lung tissue, rat lung tissue, HeLa cells transfected with Prosurfactant Protein C, 293T cells transfected with Prosurfactant Protein C.
Subcellular location: Secreted, extracellular space, surface film.
Recommended Dilutions:
  WB
  IHC-P
  IF-Cell
  FC
  IF-Tissue

1:5,000
1:3,000
1:2,000
1:1,000
1:1,000
Uniprot #: SwissProt: P11686 Human | P21841 Mouse | P11685 Rat
Alternative names: BRICD6 BRICHOS domain containing 6 PSP C PSPC PSPC_HUMAN Pulmonary surfactant apoprotein 2 Pulmonary surfactant apoprotein PSP C pulmonary surfactant apoprotein-2 SP-C Pulmonary surfactant associated protein C Pulmonary surfactant associated proteolipid SPL pVal Pulmonary surfactant associated proteolipid SPL(Val) Pulmonary surfactant protein SP5 Pulmonary surfactant-associated protein C Pulmonary surfactant-associated proteolipid SPL(Val) SFTP 2 SFTP2 SFTPC SFTPC surfactant pulmonary associated protein C SMDP2 SP 5 SP C SP-C SP5 SPC Surfactant associated protein pulmonary 2 Surfactant protein c Surfactant proteolipid SPL-pVal Surfactant pulmonary associated protein C
Images
HA751550_1.jpg Fig1: Western blot analysis of Prosurfactant Protein C on different lysates with Rabbit anti-Prosurfactant Protein C antibody (HA751550) at 1/5,000 dilution.

Lane 1: Mouse lung tissue lysate
Lane 2: Mouse spleen tissue lysate (negative)
Lane 3: Rat lung tissue lysate
Lane 4: Rat spleen tissue lysate (negative)

Lysates/proteins at 40 µg/Lane.

Predicted band size: 21 kDa
Observed band size: 21 kDa

Exposure time: 1 minute; ECL: K1801;

4-20% SDS-PAGE gel.

Proteins were transferred to a PVDF membrane and blocked with 5% NFDM/TBST for 1 hour at room temperature. The primary antibody (HA751550) at 1/5,000 dilution was used in primary antibody dilution (K1803) at 4℃ overnight. Goat Anti-Rabbit IgG - HRP Secondary Antibody (HA1001) at 1/50,000 dilution was used for 1 hour at room temperature.
HA751550_2.jpg Fig2: Western blot analysis of Prosurfactant Protein C on different lysates with Rabbit anti-Prosurfactant Protein C antibody (HA751550) at 1/5,000 dilution.

Lane 1: 293T transfected with empty control cell lysate
Lane 2: 293T transfected with Prosurfactant Protein C cell lysate

Lysates/proteins at 10 µg/Lane.

Predicted band size: 21 kDa
Observed band size: 21 kDa

Exposure time: 4 seconds; ECL: K1801;

4-20% SDS-PAGE gel.

Proteins were transferred to a PVDF membrane and blocked with 5% NFDM/TBST for 1 hour at room temperature. The primary antibody (HA751550) at 1/5,000 dilution was used in 5% NFDM/TBST at 4℃ overnight. Goat Anti-Rabbit IgG - HRP Secondary Antibody (HA1001) at 1/50,000 dilution was used for 1 hour at room temperature.
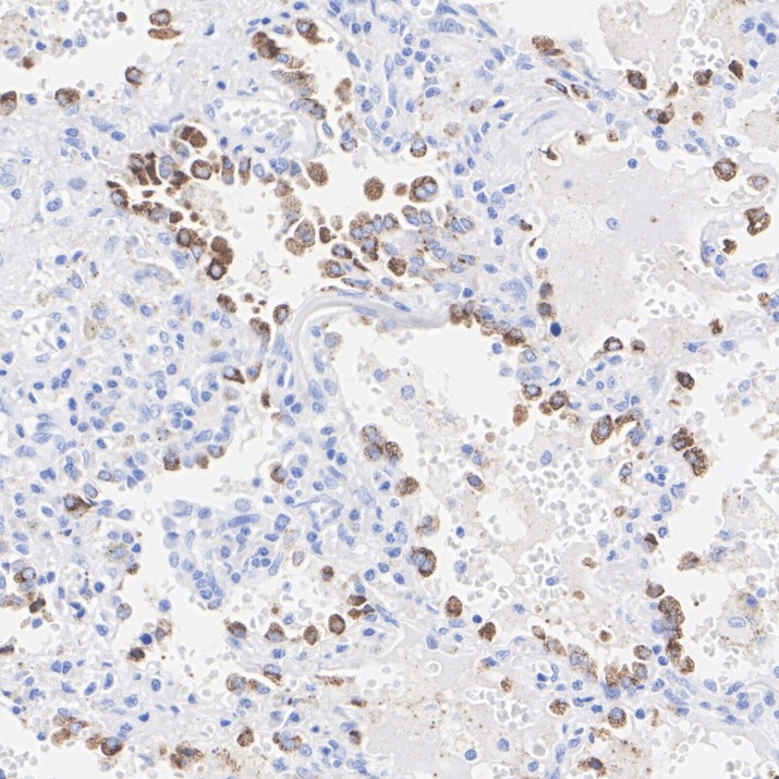
HA751550_3.jpg Fig3: Immunohistochemical analysis of paraffin-embedded human lung tissue with Rabbit anti-Prosurfactant Protein C antibody (HA751550) at 1/3,000 dilution.

The section was pre-treated using heat mediated antigen retrieval with Tris-EDTA buffer (pH 9.0) for 20 minutes. The tissues were blocked in 1% BSA for 20 minutes at room temperature, washed with ddH2O and PBS, and then probed with the primary antibody (HA751550) at 1/3,000 dilution for 1 hour at room temperature. The detection was performed using an HRP conjugated compact polymer system. DAB was used as the chromogen. Tissues were counterstained with hematoxylin and mounted with DPX.
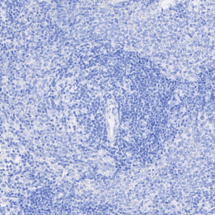
HA751550_4.jpg Fig4: Immunohistochemical analysis of paraffin-embedded human spleen tissue (negative) with Rabbit anti-Prosurfactant Protein C antibody (HA751550) at 1/3,000 dilution.

The section was pre-treated using heat mediated antigen retrieval with Tris-EDTA buffer (pH 9.0) for 20 minutes. The tissues were blocked in 1% BSA for 20 minutes at room temperature, washed with ddH2O and PBS, and then probed with the primary antibody (HA751550) at 1/3,000 dilution for 1 hour at room temperature. The detection was performed using an HRP conjugated compact polymer system. DAB was used as the chromogen. Tissues were counterstained with hematoxylin and mounted with DPX.
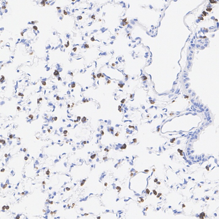
HA751550_5.jpg Fig5: Immunohistochemical analysis of paraffin-embedded mouse lung tissue with Rabbit anti-Prosurfactant Protein C antibody (HA751550) at 1/3,000 dilution.

The section was pre-treated using heat mediated antigen retrieval with Tris-EDTA buffer (pH 9.0) for 20 minutes. The tissues were blocked in 1% BSA for 20 minutes at room temperature, washed with ddH2O and PBS, and then probed with the primary antibody (HA751550) at 1/3,000 dilution for 1 hour at room temperature. The detection was performed using an HRP conjugated compact polymer system. DAB was used as the chromogen. Tissues were counterstained with hematoxylin and mounted with DPX.
HA751550_6.jpg Fig6: Immunohistochemical analysis of paraffin-embedded mouse spleen tissue (negative) with Rabbit anti-Prosurfactant Protein C antibody (HA751550) at 1/3,000 dilution.

The section was pre-treated using heat mediated antigen retrieval with Tris-EDTA buffer (pH 9.0) for 20 minutes. The tissues were blocked in 1% BSA for 20 minutes at room temperature, washed with ddH2O and PBS, and then probed with the primary antibody (HA751550) at 1/3,000 dilution for 1 hour at room temperature. The detection was performed using an HRP conjugated compact polymer system. DAB was used as the chromogen. Tissues were counterstained with hematoxylin and mounted with DPX.
HA751550_7.jpg Fig7: Immunohistochemical analysis of paraffin-embedded rat lung tissue with Rabbit anti-Prosurfactant Protein C antibody (HA751550) at 1/3,000 dilution.

The section was pre-treated using heat mediated antigen retrieval with Tris-EDTA buffer (pH 9.0) for 20 minutes. The tissues were blocked in 1% BSA for 20 minutes at room temperature, washed with ddH2O and PBS, and then probed with the primary antibody (HA751550) at 1/3,000 dilution for 1 hour at room temperature. The detection was performed using an HRP conjugated compact polymer system. DAB was used as the chromogen. Tissues were counterstained with hematoxylin and mounted with DPX.
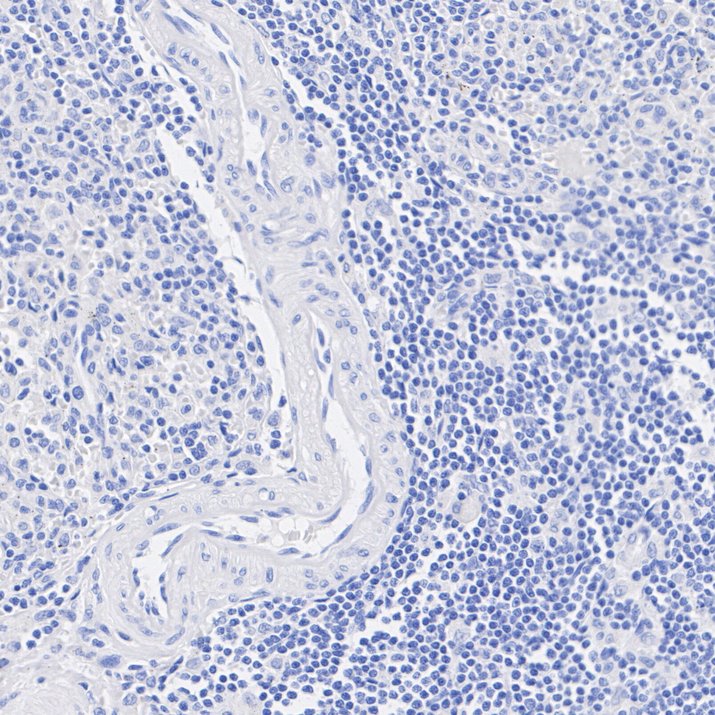
HA751550_8.jpg Fig8: Immunohistochemical analysis of paraffin-embedded rat spleen tissue (negative) with Rabbit anti-Prosurfactant Protein C antibody (HA751550) at 1/3,000 dilution.

The section was pre-treated using heat mediated antigen retrieval with Tris-EDTA buffer (pH 9.0) for 20 minutes. The tissues were blocked in 1% BSA for 20 minutes at room temperature, washed with ddH2O and PBS, and then probed with the primary antibody (HA751550) at 1/3,000 dilution for 1 hour at room temperature. The detection was performed using an HRP conjugated compact polymer system. DAB was used as the chromogen. Tissues were counterstained with hematoxylin and mounted with DPX.
HA751550_9.jpg Fig9: Immunocytochemistry analysis of HeLa cells transfected with or without Prosurfactant Protein C labeling Prosurfactant Protein C with Rabbit anti-Prosurfactant Protein C antibody (HA751550) at 1/2,000 dilution.

Cells were fixed in 4% paraformaldehyde for 15 minutes at room temperature, permeabilized with 0.1% Triton X-100 in PBS for 15 minutes at room temperature, then blocked with 1% BSA in 10% negative goat serum for 1 hour at room temperature. Cells were then incubated with Rabbit anti-Prosurfactant Protein C antibody (HA751550) at 1/2,000 dilution in 1% BSA in PBST overnight at 4 ℃. Goat Anti-Rabbit IgG H&L (iFluor™ 488, HA1121) was used as the secondary antibody at 1/1,000 dilution. PBS instead of the primary antibody was used as the secondary antibody only control. Nuclear DNA was labelled in blue with DAPI.

Beta tubulin (HA601187, red) was stained at 1/100 dilution overnight at +4℃. Goat Anti-Mouse IgG H&L (iFluor™ 594, HA1126) was used as the secondary antibody at 1/1,000 dilution.
HA751550_10.jpg Fig10: Flow cytometric analysis of 293T cells (left) / 293T cells transfected with Prosurfactant Protein C (right) labeling Prosurfactant Protein C.

Cells were fixed and permeabilized. Then stained with the primary antibody (HA751550, 1/1,000) (red) compared with Rabbit IgG Isotype Control (green). After incubation of the primary antibody at +4℃ for an hour, the cells were stained with a iFluor™ 488 conjugate-Goat anti-Rabbit IgG Secondary antibody (HA1121) at 1/1,000 dilution for 30 minutes at +4℃. Unlabelled sample was used as a control (cells without incubation with primary antibody; black).
HA751550_11.jpg Fig11: Application: IF-Tissue

Species: Mouse

Site: lung

Sample: Paraffin-embedded section

Antibody concentration: 1/1,000
Note: All products are “FOR RESEARCH USE ONLY AND ARE NOT INTENDED FOR DIAGNOSTIC OR THERAPEUTIC USE”.