KAT3B / p300 Recombinant Rabbit Monoclonal Antibody [PSH15-30]
cat.: HA751552
Product Type: Recombinant Rabbit monoclonal IgG, primary antibodies
Species reactivity: Human, Mouse, Rat
Applications: WB, IHC-P, IF-Cell, FC, IP
Clonality: Monoclonal
Clone number: PSH15-30
Form: Liquid
Storage condition: Store at +4℃ after thawing. Aliquot store at -20℃. Avoid repeated freeze / thaw cycles.
Storage buffer: 1*PBS (pH7.4).
Concentration: 1ug/ul
Purification: Protein A affinity purified.
Molecular weight: Predicted band size: 264 kDa
Isotype: IgG
Immunogen: Recombinant protein within human KAT3B / p300 aa 51-350.
Positive control: 293T cell lysate, HeLa cell lysate, human squamous cell lung carcinoma tissue, human colon tissue, mouse colon tissue, rat colon tissue, 293T.
Subcellular location: Cytoplasm, Nucleus, Chromosome.
Recommended Dilutions:
  WB
  IHC-P
  IF-Cell
  FC
  IP

1:5,000
1:200-1:1,000
1:100
1:1,000
1-2μg/sample
Uniprot #: SwissProt: Q09472 Human | B2RWS6 Mouse
Entrez Gene: 170915 Rat
Alternative names: E1A associated protein p300 E1A binding protein p300 E1A-associated protein p300 EP300 EP300: E1A binding protein p300 EP300_HUMAN Histone acetyltransferase p300 KAT3B p300 HAT RSTS2
Images
HA751552_1.jpg Fig1: Western blot analysis of KAT3B / p300 on different lysates with Rabbit anti-KAT3B / p300 antibody (HA751552) at 1/5,000 dilution.

Lane 1: 293T cell lysate
Lane 2: HeLa cell lysate

Lysates/proteins at 20 µg/Lane.

Predicted band size: 264 kDa
Observed band size: 300 kDa

Exposure time: 3 minutes; ECL: K1801;
4-20% SDS-PAGE gel.

Proteins were transferred to a PVDF membrane and blocked with 5% NFDM/TBST for 1 hour at room temperature. The primary antibody (HA751552) at 1/5,000 dilution was used in primary antibody dilution (K1803) at 4℃ overnight. Goat Anti-Rabbit IgG - HRP Secondary Antibody (HA1001) at 1/50,000 dilution was used for 1 hour at room temperature.
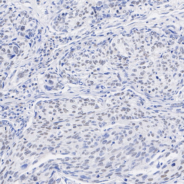
HA751552_2.jpg Fig2: Immunohistochemical analysis of paraffin-embedded human squamous cell lung carcinoma tissue with Rabbit anti-KAT3B / p300 antibody (HA751552) at 1/200 dilution.

The section was pre-treated using heat mediated antigen retrieval with Tris-EDTA buffer (pH 9.0) for 20 minutes. The tissues were blocked in 1% BSA for 20 minutes at room temperature, washed with ddH2O and PBS, and then probed with the primary antibody (HA751552) at 1/200 dilution for 1 hour at room temperature. The detection was performed using an HRP conjugated compact polymer system. DAB was used as the chromogen. Tissues were counterstained with hematoxylin and mounted with DPX.
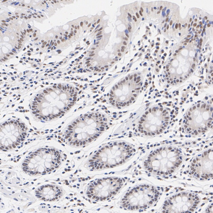
HA751552_3.jpg Fig3: Immunohistochemical analysis of paraffin-embedded human colon tissue with Rabbit anti-KAT3B / p300 antibody (HA751552) at 1/200 dilution.

The section was pre-treated using heat mediated antigen retrieval with Tris-EDTA buffer (pH 9.0) for 20 minutes. The tissues were blocked in 1% BSA for 20 minutes at room temperature, washed with ddH2O and PBS, and then probed with the primary antibody (HA751552) at 1/200 dilution for 1 hour at room temperature. The detection was performed using an HRP conjugated compact polymer system. DAB was used as the chromogen. Tissues were counterstained with hematoxylin and mounted with DPX.
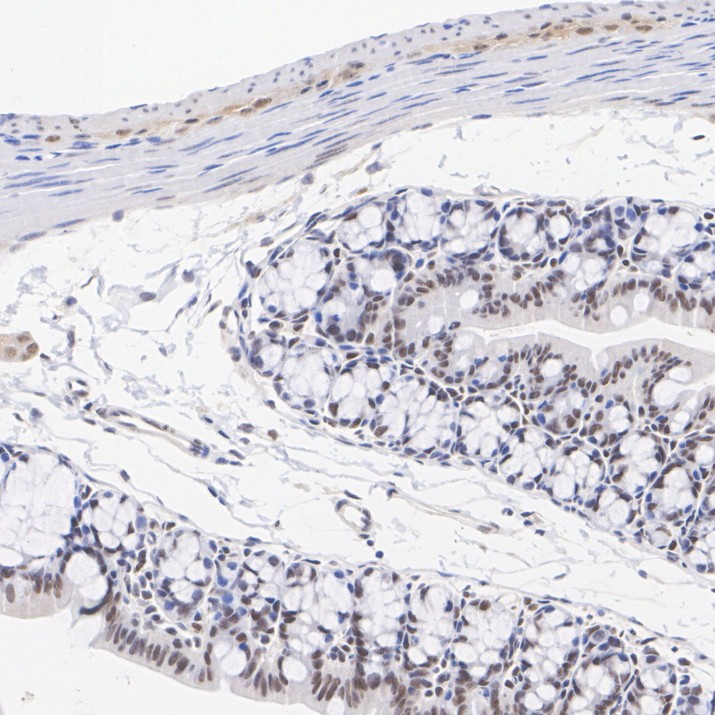
HA751552_4.jpg Fig4: Immunohistochemical analysis of paraffin-embedded mouse colon tissue with Rabbit anti-KAT3B / p300 antibody (HA751552) at 1/1,000 dilution.

The section was pre-treated using heat mediated antigen retrieval with Tris-EDTA buffer (pH 9.0) for 20 minutes. The tissues were blocked in 1% BSA for 20 minutes at room temperature, washed with ddH2O and PBS, and then probed with the primary antibody (HA751552) at 1/1,000 dilution for 1 hour at room temperature. The detection was performed using an HRP conjugated compact polymer system. DAB was used as the chromogen. Tissues were counterstained with hematoxylin and mounted with DPX.
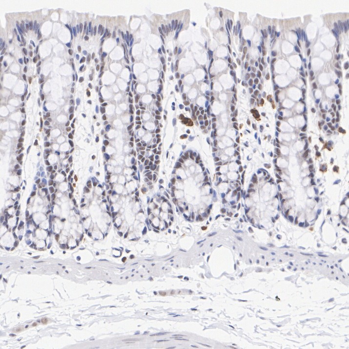
HA751552_5.jpg Fig5: Immunohistochemical analysis of paraffin-embedded rat colon tissue with Rabbit anti-KAT3B / p300 antibody (HA751552) at 1/1,000 dilution.

The section was pre-treated using heat mediated antigen retrieval with Tris-EDTA buffer (pH 9.0) for 20 minutes. The tissues were blocked in 1% BSA for 20 minutes at room temperature, washed with ddH2O and PBS, and then probed with the primary antibody (HA751552) at 1/1,000 dilution for 1 hour at room temperature. The detection was performed using an HRP conjugated compact polymer system. DAB was used as the chromogen. Tissues were counterstained with hematoxylin and mounted with DPX.
HA751552_6.jpg Fig6: Immunocytochemistry analysis of 293T cells labeling KAT3B / p300 with Rabbit anti-KAT3B / p300 antibody (HA751552) at 1/100 dilution.

Cells were fixed in 4% paraformaldehyde for 15 minutes at room temperature, permeabilized with 0.1% Triton X-100 in PBS for 15 minutes at room temperature, then blocked with 1% BSA in 10% negative goat serum for 1 hour at room temperature. Cells were then incubated with Rabbit anti-KAT3B / p300 antibody (HA751552) at 1/100 dilution in 1% BSA in PBST overnight at 4 ℃. Goat Anti-Rabbit IgG H&L (iFluor™ 488, HA1121) was used as the secondary antibody at 1/1,000 dilution. PBS instead of the primary antibody was used as the secondary antibody only control. Nuclear DNA was labelled in blue with DAPI.

Beta tubulin (HA601187, red) was stained at 1/100 dilution overnight at +4℃. Goat Anti-Mouse IgG H&L (iFluor™ 594, HA1126) was used as the secondary antibody at 1/1,000 dilution.
HA751552_7.jpg Fig7: Flow cytometric analysis of 293T cells labeling KAT3B / p300.

Cells were fixed and permeabilized. Then stained with the primary antibody (HA751552, 1/1,000) (red) compared with Rabbit IgG Isotype Control (green). After incubation of the primary antibody at +4℃ for an hour, the cells were stained with a iFluor™ 488 conjugate-Goat anti-Rabbit IgG Secondary antibody (HA1121) at 1/1,000 dilution for 30 minutes at +4℃. Unlabelled sample was used as a control (cells without incubation with primary antibody; black).
HA751552_8.jpg Fig8: KAT3B / p300 was immunoprecipitated from 0.2 mg 293T cell lysate with HA751552 at 2 µg/10 µl beads. Western blot was performed from the immunoprecipitate using HA751552 at 1/5,000 dilution. HRP Conjugated Anti-Rabbit IgG for IP Nano-secondary antibody at 1/5,000 dilution was used for 1 hour at room temperature.

Lane 1: 293T cell lysate (input)
Lane 2: HA751552 IP in 293T cell lysate
Lane 3: Rabbit IgG instead of HA751552 in 293T cell lysate

Blocking/Dilution buffer: primary antibody dilution (K1803)
Exposure time: 3 minutes; ECL: K1802
Note: All products are “FOR RESEARCH USE ONLY AND ARE NOT INTENDED FOR DIAGNOSTIC OR THERAPEUTIC USE”.